Il processo decisionale che porta ad una estrazione dentale è cambiato molto nella storia dell’odontoiatria. Siamo passati dal concetto di eliminazione della fonte infettiva a quello di conservazione e rigenerazione ossea degli alveoli post-estrattivi. Con l’avvento di nuove terapie farmacologiche e la collaborazione tra diverse specialità mediche, oggi possiamo considerare l’estrazione come una procedura totalmente sicura per il paziente, anche se dovrebbe essere procrastinata il più possibile a favore di tecniche sempre più avanzate di rigenerazione e di recupero dell’elemento compromesso.
Ma quando, sfortunatamente per il paziente, si rende inevitabile l’estrazione, come la stessa viene gestita? E qual è il processo decisionale a cui possiamo fare riferimento oggi? Questo tipo di trattamento, spesso sottovalutato ma che risulta rilevante per ogni singola specialità odontoiatrica e particolarmente importante per i medici generici, viene spesso sottovalutato, anche se è di grande importanza per il paziente, sia nell’immediato che nel futuro (Tab. 1).
Tab. 1
Anestesia L’anestesia è la fase iniziale di qualsiasi trattamento dentale. Procedura spesso sottovalutata dall’operatore, svolge un ruolo chiave – e non solo per ragioni cliniche – nel garantire una maggiore collaborazione da parte del paziente. Il paziente, infatti, giudicherà il lavoro del proprio dentista quasi esclusivamente sulla base del dolore percepito: prima nella fase d’iniezione, poi in relazione al dolore avvertito durante l’operazione e infine al termine del trattamento.
È quindi opportuno che un anestetico topico venga preliminarmente usato per rendere la fase di iniezione la meno sgradevole possibile, che l’iniezione venga eseguita applicando la giusta pressione, in modo da non sovradistendere i tessuti molli (una delle causa di dolore) e che sia fatta nel corretto sito anatomico (Figg. 1, 2). Il tempo di iniezione raccomandato è 1 ml/minuto. Tuttavia, l’84% dei dentisti inietta 1,8 ml in 20 secondi o meno. Inoltre la molecola opportuna per l’intervento programmato dovrà essere selezionata in base alla durata attesa della sua azione e, quindi, della sua efficacia, prestando attenzione anche alla quantità di vasocostrittore presente e alla condizione di salute generale del paziente.
Per quanto riguarda la molecola da utilizzare, ovviamente dovranno sempre essere considerati con attenzione il tempo di assorbimento e la durata di azione e questa scelta non potrà essere arbitraria, ma legata al tipo di estrazione pianificata, in modo da avere sempre la copertura del dolore più adeguata non solo durante l’intervento ma anche nell’immediato postoperatorio.
L’articaina è uno dei farmaci anestetici locali di più recente sviluppo disponibili per i dentisti di tutto il mondo e l’anestetico locale più utilizzato in Europa essendo la molecola anestetica più vicina al pH fisiologico e quindi la sua insorgenza di azione è più rapida rispetto ad altre sostanze a pH più basso. Grazie alla sua maggiore liposolubilità rispetto alle altre molecole, l’articaina è più potente e ha una durata di azione più lunga a confronto con la lidocaina grazie al suo legame proteico più elevato. Essendo sia un ammide che un estere, la sua degradazione inizia non appena raggiunge il flusso sanguigno, ed essendo il suo metabolismo più veloce è, quindi, anche più sicura da usare anche in gravidanza.
La lidocaina è uno degli anestetici maggiormente impiegati, anche se ci sono molte altre molecole di analoga efficacia; questi prodotti differiscono essenzialmente in termini di parametri farmacocinetici. Per le procedure di maggiore durata la bupivacaina è la scelta più logica per la sua lunga durata di azione nei tessuti molli, anche se, secondo alcuni studi, è anche la più dolorosa durante l’iniezione. Va ricordato che la presenza di un vasocostrittore è spesso fondamentale non solo per un buon controllo dell’emostasi, ma anche e soprattutto per antagonizzare l’effetto vasodilatatore indotto da qualsiasi anestetico locale. L’uso inadeguato del vasocostrittore può rendere complessa una semplice estrazione qualora l’effetto emostatico non fosse adeguatamente ottenuto. Per contro la somministrazione di un’alta concentrazione di vasocostrittore (con l’anestetico locale) può creare gravi complicanze se usata in modo inappropriato (per esempio con un’infiltrazione intraligamentosa). Ad esempio, ciò potrebbe contribuire all’insorgere di una alveolite secca, che potrebbe derivare da un’eccessiva vasocostrizione indotta nell’area dell’intervento, insieme ad altri possibili fattori infettivi concomitanti.
Estrazione e gestione dell’alveolo Dopo aver effettuato un’adeguata anestesia, il dente o la radice possono essere estratti cosi come programmato. E ovviamente la scelta del dentista per quanto riguarda il trattamento dell’alveolo post-estrattivo rifletterà ciò che deve essere fatto nel sito coinvolto durante l’estrazione. Come è ben noto, dopo l’estrazione si verificano cambiamenti dimensionali ed estetici del tessuto orale; per questo motivo è importante contestualizzare la procedura (se non è urgente) all’interno di un piano di trattamento più ampio.
Le ragioni per un’estrazione possono essere numerose. Secondo le direttive della Società Italiana di Chirurgia Orale e Implantare (SICOI), le indicazioni che portano a optare per l’estrazione di un dente possono essere le seguenti:
La presenza di una lesione cariosa che ha portato a un’ampia distruzione della corona dentale, coinvolgendo il margine gengivale tanto da rendere impossibile il recupero dell’elemento;
Lesioni apicali irreversibili;
Grave malattia parodontale con perdita non reversibile di osso alveolare;
Radici fratturate;
Trattamento ortodontico;
Disodontiasi dei terzi molari;
Gestione di loci infettivi in pazienti che devono sottoporsi a radioterapia;
Pazienti immunodepressi;
Pazienti sottoposti a trattamento con bifosfonati o anticoagulanti di ultima generazione;
Denti inclusi o permanenza oltre tempo di elementi decidui
Una volta effettuata l’estrazione, sarà quindi possibile optare per:
Un trattamento rigenerativo immediato;
Un trattamento rigenerativo ritardato;
Nessun trattamento.
La conservazione del processo alveolare dopo un’estrazione dentale per preservare il volume dell’osso e il tessuto molle circostante e per semplificare la successiva riabilitazione è ovviamente molto importante e consigliata. È ampiamente dimostrato in letteratura che ogni volta in cui viene eseguita un’estrazione dentale avviene una ristrutturazione dell’osso nel sito di estrazione, portando ad una diminuzione del volume, accompagnata da cambiamenti qualitativi e quantitativi che condizionano il risultato di una riabilitazione protesica, specie se ad essere coinvolta è la zona anteriore, particolarmente influenzata dai significativi cambiamenti estetici. Va ricordato che con l’estrazione di un dente il parodonto viene eliminato e con esso la ricca rete vascolare che lo caratterizza. L’apporto di sangue e linfa è essenziale per il ricambio delle cellule gengivali e del legamento parodontale stesso e, anche se in misura minore, contribuisce altresì al nutrimento della porzione di osso adiacente. Un altro fattore determinante per il riassorbimento osseo è la tecnica chirurgica adottata durante l’estrazione; infatti se si effettua un lembo a tutto spessore, l’apporto di sangue nella corticale esterna verrà interrotto, inducendo un rimodellamento dell’area interessata.
Dobbiamo sottolineare che l’osso alveolare è una struttura strettamente legata alla presenza del dente e subisce importanti cambiamenti in assenza di quest’ultimo. Vi sono numerosi studi che dimostrano che la più alta riduzione del volume osseo si verifica principalmente nei primi tre mesi, continuando in percentuali più basse per tutto il primo anno dopo l’intervento.
Nei primi sei mesi, la variazione volumetrica è quantificabile in 3,80 mm di larghezza e 1,24 mm di altezza, con spostamento del profilo crestale di due terzi rispetto alla posizione originale. In base a un’analisi della correlazione, lo spessore vestibolare della parete ossea inferiore a 1 mm è stato identificato come un fattore critico associato all’estensione del riassorbimento osseo. Il fenotipo osseo a parete sottile mostra un significativo riassorbimento osseo con una perdita ossea media di 7,5 mm rispetto ai fenotipi ossei a parete spessa, con una perdita prevista di 1,0 mm.
Benefici di un innesto osseo Gli studi condotti su campioni di pazienti sottoposti a estrazione dentale hanno confermato che il posizionamento di biomateriale nel sito alveolare immediatamente dopo l’estrazione, rispetto ai campioni in cui non è stato inserito nulla, ha portato ad una significativa riduzione del processo di rimodellamento, con la conservazione del volume osseo dopo la guarigione, convalidando il concetto di conservazione del profilo crestale. È stato anche dimostrato in numerosi studi istologici, condotti su diversi campioni di osso prelevati da siti trattati con diversi tipi di biomateriali, che il beta-fosfato tricalcico è uno dei pochi materiali sintetici completamente riassorbibili, senza alcuna traccia residua dopo un anno in nessuno dei campioni esaminati.
Inoltre è stato osservato un miglioramento tra il 6 e il 23% nei siti trattati con innesto rispetto ai siti trattati solo con la presenza del coagulo (Figg. 3-11).
Di recente, in una revisione sistematica, Ten Heggeler ha dimostrato che l’uso di biomateriali nel sito post-estrattivo ha portato alla conservazione del volume alveolare durante la guarigione. Va anche notato che i siti alveolari riempiti solo con spugne di fibrina non registrano alcun miglioramento significativo.
La tecnica di conservazione del sito di estrazione si è dimostrata quindi efficace sia nel minimizzare il riassorbimento del tessuto osseo che nell’espansione del volume osseo per il successivo trattamento con impianti. In alcune situazioni, quando non sono previsti direttamente dopo l’estrazione interventi d’implantologia o di rigenerazione, può essere opportuno limitarsi a controllare l’emostasi e la chiusura del lembo in modo appropriato, al fine di rendere più facile la fase postoperatoria e quindi ridurre il rischio di emorragia, infezione del sito o insorgenza di alveoliti. Sarà importante il controllo dell’emostasi, ma allo stesso tempo sarà essenziale per il dentista verificare che ci sia sanguinamento negli alveoli post-estrattivi alla fine dell’estrazione. In caso di mancato sanguinamento, il sito dovrà essere cruentato per garantire il fondamentale apporto di sangue necessario per la completa guarigione del difetto. Una mancanza di sanguinamento spontaneo potrebbe invece essere prodromica alla insorgenza di alveolite secca.
Gestione del sanguinamento e spugne di collagene Sono riportati in letteratura diversi fattori di rischio associati a complicazioni dentali post-estrattive, tra cui età, sesso, farmaci, sito di estrazione, fumo, scarsa igiene orale ed esperienza dell’operatore. Alcuni studi hanno suggerito che l’uso di sostanze antimicrobiche locali, anti-fibrinolitiche e anti-infiammatorie nel sito post-estrattivo possano ridurre le complicanze postoperatorie.
Un’emorragia eccessiva e incontrollabile degli alveoli è una delle complicanze più comuni e, se non adeguatamente trattata, può portare a gravi conseguenze. Nel processo decisionale che porta all’estrazione dentale è quindi importante valutare l’assunzione da parte del paziente di farmaci anticoagulanti e anti-piastrinici. Le procedure da attuare in questi pazienti sono ben note, sebbene i rischi associati al sanguinamento non siano mai completamente assenti.
Oltre all’ovvia necessità di un’adeguata sutura del lembo, è risaputo che l’inserimento di spugne di collagene di tipo I riduce al minimo il rischio di complicanze controllando il sanguinamento, proteggendo la ferita e stabilizzando il coagulo. Il suo riassorbimento avviene normalmente in 10-14 giorni attraverso l’azione di collagenasi e peptidasi. Spugne o altri materiali devono essere posizionati attentamente per evitare una compressione eccessiva, che potrebbe causare ischemia e causare un problema nella rivascolarizzazione (Figg. 12-14).
Fig. 1 - Anestesia del nervo inferiore alveolare.
Fig. 2 - Anestesia del nervo buccale.
Fig. 3 - Dente fratturato 2.4.
Fig. 4 - Estrazione del dente 2.4.
Fig. 5 - Posizionamento del biomateriale (cono R.T.R., Septodont) nell’alveolo.
Fig. 6 - Biomateriale in situ.
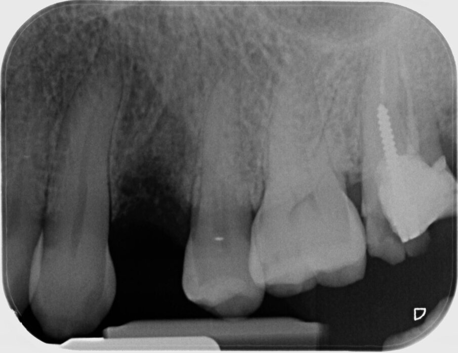
Fig. 7 - Radiografia postoperatoria che mostra il biomateriale in situ.
Fig. 8 - Sutura post-op.
Fig. 9 - Situazione dopo sei giorni.
Fig. 10 - Rimozione della sutura dopo sei giorni.
Fig. 11 - Situazione due settimane dopo: buona guarigione senza interferenze da parte del biomateriale.
Fig.12 - Gli elementi 3.3 e 3.4 devono essere estratti.
Fig. 13 - Avulsione di 3.3 e 3.4.
Fig. 14 - Spugne emostatiche (Hemocollagene, Septodont) sono state inserite nei siti di estrazione.
Complicazioni post-estrattive Anche se nella maggior parte dei casi l’estrazione non è considerata tra le operazioni chirurgiche principali, non dovrebbe mai essere sottovalutata la possibilità di complicanze intra e postoperatorie più o meno significative, che possono essere causate da procedure errate da parte del dentista, o da malattie sistemiche del paziente, e che possono interferire con la corretta guarigione del sito di estrazione.
Tra le complicazioni meno gravi ma certamente più fastidiose che possono insorgere dopo l’estrazione dentale troviamo l’alveolite. Questo fenomeno si verifica in percentuali molto basse (dall’1% al 5% dei casi) ed è localizzato principalmente nella regione molare. L’eziopatogenesi è causata da un’infiammazione dell’osso alveolare dovuta a un processo di fibrinolisi innescato dalla contaminazione batterica, a sua volta causato da diversi fattori, come una scarsa igiene orale, uso di anestetici con vasocostrittori spesso iniettati con la tecnica intraligamentosa o l’uso quotidiano da parte delle donne di contraccettivi orali.
Il paziente che soffre di alveolite secca spesso riferisce di dolori lancinanti e persistenti, non risponde agli analgesici e riscontra un picco nella sintomatologia dopo tre o quattro giorni. Il gonfiore locale è sempre associato al gonfiore dei linfonodi locali-regionali e alla iperestesia cutanea, e, soprattutto, c’è sempre la presenza di alitosi a causa del pus maleodorante. La gengiva attorno all’alveolo è relativamente gonfia con un aspetto liscio e lucido. Nei casi più gravi può essere osservata all’interno degli alveoli la presenza di una secrezione di pus bianca o grigiastra.
Uno studio condotto da Poveda-Roda ha dimostrato che, nel caso di alveolite, tra il 43 e il 96% dei casi si rivela la presenza di streptococchi viridans, presenza molto pericolosa specialmente per i pazienti con endocardite batterica o immunodepressiva. Una pratica comune per prevenire l’insorgenza di alveolite, specialmente quando si trattano pazienti con malattie che possono interferire con il normale processo di guarigione, comporta la sutura dei bordi della ferita o l’inserimento di principi attivi negli alveoli post-estrattivi per ridurre il rischio di infezioni postoperatorie. È ampiamente documentato in letteratura che prima di eseguire qualsiasi intervento chirurgico l’asepsi dell’area operativa e la sterilità degli strumenti utilizzati devono essere rigorosamente rispettati e, se necessario, bisogna intraprendere una decontaminazione preliminare della cavità orale con clorexidina allo 0,2%.
Nel caso di alveolite, Syrjänen e Syrjänen consigliano l’uso locale di una piccola dose di Alveogyl, che, grazie della presenza di fibre Penghawar, produce un effetto calmante sul tessuto. Nel diciannovesimo secolo queste fibre, ottenute da alcune felci, venivano già utilizzate per il loro effetto emostatico, producendo un risultato discreto. Inoltre è consigliato l’uso di spugne di clorexidina gluconato per una settimana, dopo un accurato curettage alveolare.
Conclusioni L’estrazione dentale è sempre stata considerata una procedura semplice e senza necessità di particolari preoccupazioni. Tuttavia, questa è una procedura importante dal punto di vista del paziente e dal punto di vista clinico. È rilevante per tutte le categorie di dentisti, indipendentemente dalla loro specialità, e deve essere sempre pianificata correttamente, al fine di evitare rischi e ottenere i risultati attesi per una corretta riabilitazione futura. I pazienti di oggi si aspettano questo approccio dai dentisti e se lo meritano.
L'articolo è stato pubblicato su Implant Tribune Italian Edition n. 1 2019.
«Siamo pronti a ragionare con il governo su un grande progetto di prevenzione rivolto a tutti gli italiani e in particolare alle fasce deboli. Studieremo ...
PHILADELPHIA, U.S.: I disturbi del gusto e altri difetti neurosensoriali sono stati riportati, a seguito dell’estrazione dei terzi molari, da un certo ...
«Due settimane fa ho ricevuto una telefonata da una intervistatrice dell'ISTAT che chiedeva che lavoro svolgo, quanto lontano, quanto tempo impiego ...
Komet, azienda leader nel settore odontoiatrico, è entusiasta di annunciare che a gennaio 2025 aprirà le porte della nuova sede della sua Academy, un ...
COLLEGE STATION, Texas, USA: Un nuovo biosensore intraorale sviluppato negli Stati Uniti potrebbe trasformare il modo in cui la malattia parodontale viene ...
To post a reply please login or register