Case Report
Il paziente di anni 22 si è presentato alla mia osservazione nel mese di settembre 2007 a 2 mesi da un trauma facciale avuto cadendo dalla bicicletta, con conseguente frattura del condilo destro, avulsione dell’elemento 2.2, lussazione degli elementi 2.1 e 2.3, nonché frattura coronale a livello degli elementi 1.1, 2.1 e 2.3 (Figg. 1-3).
La riduzione chirurgica del condilo e il bloccaggio mandibolare sono stati effettuati in ospedale subito dopo l’incidente (Figg. 4, 5), mentre la richiesta del paziente al momento della prima visita è stata quella di ottenere una corretta restitutio ad integrum degli elementi dell’arcata superiore.
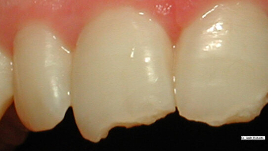
Dopo l’esame clinico, l’elemento 2.1 non risponde a nessun test di vitalità, mentre una risposta positiva è pervenuta dagli altri denti che avevano subito il trauma.
L’occlusione evidenzia un morso aperto anteriore con chiara assenza dei contatti occlusali soprattutto a livello del secondo quadrante (Figg. 6, 7), dall’incisivo centrale al primo premolare compresi (il paziente riferisce di non aver riscontrato differenze sostanziali all’occlusione dopo l’intervento di riduzione chirurgica del trauma, ormai avvenuta due mesi prima, ma lamenta la mancanza dell’elemento 2.2 e le fratture coronali del margine incisale a livello degli elementi 1.1, 2.1 e 2.3).
Alla luce di quanto esaminato in prima visita e tenendo conto delle aspettative del paziente, il piano di trattamento deciso prevedeva:
- Terapia canalare del 2.1;
- Ricostruzione degli elementi 1.1, 2.1 e 2.3;
- Inserimento di un impianto in sede 2.2 e successiva protesizzazione.
Dopo le terapie, endodontica e conservative (Fig. 8), effettuate nei giorni successivi, si è atteso l’esito degli esami radiografici necessari (T.C. mascellare superiore) sostituendo l’elemento mancante con l’ausilio di un Maryland Bridge provvisorio attaccato palatalmente agli elementi 2.1 e 2.3 (Figg. 9-11).
Dopo la valutazione dei dati forniti dalla T.C. si è provveduto a posizionare un impianto Astra Tech 3.5 Osseo Speed di lunghezza 11 mm e diametro 3.5 mm (Figg. 12, 13).
Dato il quadro clinico del paziente e la delicata situazione dell’articolazione temporo-mandibolare, è stato deciso di utilizzare una tecnica implantare Two Stage (Fig. 14).
Dopo circa 3 mesi, si è provveduto al rientro chirurgico (Figg. 15, 16) e all’inserimento di un provvisorio singolo avvitando un Temporary Abutment in titanio sormontato da una corona in resina (Figg. 17, 18).
A guarigione terminata della mucosa (Figg. 19, 20), si è proceduto con la presa dell’impronta e alla richiesta di un abutment Atlantis personalizzato in zirconio. Una volta verificato il corretto posizionamento dell’abutment in relazione ai tessuti molli adiacenti (Figg. 21-23), si è provveduto alla copertura definitiva con corona in ceramica (Figg. 24-26).
I successivi controlli fotografici e radiografici eseguiti a 1 anno (Figg. 27, 28) e a 2 anni e 9 mesi (Fig. 29) e a 4 anni e 5 mesi dall’intervento (Figg. 30, 31) dall’intervento dimostrano l’ottimo risultato ottenuto sia dal punto di vista estetico che biologico con il mantenimento dei tessuti molli nonché dell’altezza dei picchi ossei interprossimali all’impianto.
Conclusioni
La scelta dei monconi personalizzabili si sta dimostrando essere estremamente vantaggiosa, e sempre più affidabile nel tempo, nel raggiungimento di un’ottima condizione dei tessuti parodontali attorno all’impianto.
La possibilità di avere abutment così versatili, mettono il professionista al riparo dalla formazione di “bordi sottogengivali scuri”, poco graditi dal paziente (talvolta visibili utilizzando monconi in titanio in presenza di margini gengivali sottili) o eccessivi spessori della corona in ceramica che non si adatterebbero in maniera adeguata e armonica alle dimensioni dei denti adiacenti, e quindi all’estetica dell’intera arcata. Non va inoltre trascurata la semplificazione delle procedure di protesizzazione degli impianti che tale metodica garantisce, grazie all’elevata precisione del manufatto prodotto con tecnologia CAD/CAM e alla ridottissima gestione del materiale protesico che essa richiede all’odontoiatra.
L'articolo è stato pubblicato sul numero 3 di Implant Tribune Italy 2012.
embedImagecenter("Imagecenter_2_603",603,"small");
LEIPZIG, Germania: Esistono opinioni e prove contrastanti sull’uso degli antibiotici prima e dopo la chirurgia implantare e nel trattamento della ...
La riabilitazione con impianti dei settori ad alta valenza estetica può risultare complessa sia per ragioni tecniche sia per le alte aspettative che ...
La riabilitazione con impianti dei settori ad alta valenza estetica può risultare complessa sia per ragioni tecniche sia per le alte aspettative che ...
Le tecniche di rigenerazione ossea guidata, siano esse di tipo orizzontale, verticale, piuttosto che combinata, sono ormai procedure ben codificate e ...
Introduzione
Ogniqualvolta dobbiamo affrontare un caso clinico le nostre scelte procedurali devono sempre basarsi su un’attenta diagnosi. Il termine ...
Le anomalie dento-facciali sono alterazioni delle proporzioni facciali e dei rapporti dentali, molto spesso di entità tale da rappresentare un ...
La ridefinizione dell’armonia ideale del viso è un obiettivo che implica la ricerca del giusto equilibrio tra denti, tessuti molli, labbra, ...
Lo scopo del seguente articolo è quello di determinare I fattori di rischio estetici in grado di influenzare un risultato a lungo termine negli ...
La molteplicità e la sofisticatezza nell’ambito degli elementi protesici in implantologia permettono al professionista di fare la scelta ...
La molteplicità e la sofisticatezza nell’ambito degli elementi protesici in implantologia permettono al professionista di fare la scelta ...
Live webinar
mer. 15 aprile 2026
20:00 (CET) Rome
Live webinar
gio. 16 aprile 2026
2:00 (CET) Rome
Linda Hecker MS, BSDH, RDH
Live webinar
gio. 16 aprile 2026
18:00 (CET) Rome
Dr. Pär-Olov Östman, Dr. Robert Gottlander DDS
Live webinar
ven. 17 aprile 2026
18:00 (CET) Rome
Live webinar
ven. 17 aprile 2026
19:00 (CET) Rome
Dr. Stuart Yeaton BDentSc, MOrth
Live webinar
lun. 20 aprile 2026
19:00 (CET) Rome
Dr. Alberto Monje DDS, MS, PhD
Live webinar
mer. 22 aprile 2026
17:00 (CET) Rome
MDT Andreas Chatzimpatzakis
To post a reply please login or register