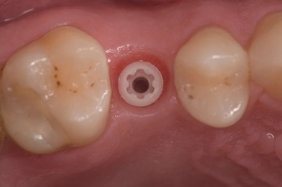
Fig. 3 - Visione occlusale, posizionamento impiantare secondo la tecnica flapp-less e riempimento tra gli spazi intraosseo-impianto. Sull’impianto è stato posizionato un tappo di guarigione a pressione.
L’obiettivo è di presentare un posizionamento immediato post-estrattivo con un impianto in Zirconia, confrontando la percentuale di successo osteointegrativo degli impianti in titanio, associato a una migliore risposta dei tessuti molli perimplantari e a un recente concetto di Globale Restauro Metal Free (Global Metal Free Restoration – GMFR). La scelta di un impianto in Zirconia bifasico consente di protesizzare la corona con l’avvitamento del moncone e la cementazione della corona o dell’intero restauro. Il restauro protesico potrà esaltare la mimesi riabilitativa e funzionale grazie alla padronanza odontotecnica e alla gestione del materiale. Il progetto e la realizzazione viene facilitato da una gestione del flusso digitale CAD/CAM.
Introduzione
La Zirconia in odontoiatria è storicamente conosciuta per le caratteristiche di resistenza e di biocompatibilità impiegata nelle riabilitazioni protesiche semplici o complesse. Solo nell’ultimo decennio è diventato di maggior uso anche in implantologia. La Zirconia (ZrO2) è una miscela di compositi a base di biossido di zirconio. Lo Zirconio (Zr) è il metallo da cui deriva l’omonimo biossido. Lo Zircone invece (ZrSiO4 o silicato di zirconio) è un minerale molto comune, il cui nome origina dal persiano Zar-Gun per via delle caratteristiche colorazioni. Le polveri usate per ottenere la Zirconia hanno un grado molto elevato di purezza e sono ottenuti grazie a complesse procedure chimiche e di co-precipitazione (Vatteroni).
La struttura cristallina della Zirconia si presenta con forme geometriche diverse a seconda della temperatura a cui sono sottoposte e in maniera reversibile passa da un stato monoclino a temperatura ambiente, a uno tetragonale sino a 1.100°C sino a cubico verso i 2.400°C. Pertanto la densità del materiale è determinata dalla forma e dalla dimensione dello stato geometrico (Lughi). Questo determina una diversa dimensione finale in base al trattamento termico definendo anche una differente proprietà fisica. La sinterizzazione avviene a temperature superiori ai 1.170°C determinando un cambiamento di stato che da tetragonale passa a monoclino, ciò causa delle tensioni che portano a frattura dei manufatti, per questo motivo sono stati introdotti degli ossidi come il biossido di Zirconia che stabilizzano il composito realizzato e ne impediscono la frattura.
In campo medicale sono impiegati vari ossidi in minime percentuali come il MgO, TiO2, Al2O3, Y2O3, CeO2 che associati al biossido di Zirconia (ZrO2) riescono a creare una stabilità nei vari processi di sinterizzazione, creano una famiglia di ceramica a base di Zirconia con differenti caratteristiche chimiche, fisiche e strutturali (Christel). Lo sviluppo odontoiatrico in campo implantare è avvenuto grazie all’associazione con ossido di Ittrio generando l’yttria tetragonal stabilized zirconia (Y-TZP). Pur essendo recente il raggiungimento di un così alto valore clinico gli studi iniziali risalgono ai primi anni ’60 con materiali ceramici che hanno permesso una maturazione e una conoscenza tale da consentire oggi un grado di eccellenza per biomeccanica e biocompatibilità integrativa coi tessuti duri e molli del cavo orale (Piconi). L’ambito scientifico è concorde con l’assenza di citotossicità sistemica e locale da parte della Zirconia mentre è acclamata la citocompatibilità in vivo e in vitro (Covacci).
L’osteointegrazione è stata ampiamente dimostrata in maniera sperimentale e clinica sin dagli anni ‘90 (Miani. Akagawa) su animali e nelle revisioni di letteratura (Depprich, Gahlert). Le proprietà osteointegrative sono state implementate dal trattamento di superficie aumentando l’idrofilicità con diverse lavorazioni volte ad accelerare il periodo di guarigione (Watanabe). La colonizzazione batterica e la sua adesione alla superficie implantare è correlata al tipo di materiale impiegato, l’YTZP presenta notevoli vantaggi rispetto al Titanio (Spriano). Prove in vitro hanno dimostrato un minor accumulo dei vari ceppi batterici presenti nel cavo orale (Rimondini, Röhling, Oda, Scarano), anche in vivo sono stati dimostrati significativi risultati di minor adesione su monconi in Zirconia o in titanio (Nascimento).
Il caratteristico color bianco degli impianti in Zirconia riesce a mimetizzarsi meglio al di sotto dei tessuti gengivali, specie nei fenotipi sottili ove anche in trasparenza non crea quelle antiestetiche ombreggiature grigie proprie degli impianti in titanio, specie per quei modelli implantari in cui è presente un collarino liscio. Inoltre anche in caso di recessione gengivale non avviene alcuna esposizione di porzioni metalliche (Blaschke). L’assenza di ossidi metallici consente di migliorare la risposta biologica dei tessuti gengivali con conseguente riduzione della formazione batterica e conseguente insorgenza flogistica (Scaringi). Un aspetto importante che ha caratterizzato la prima generazione di impianti in Zirconia è associata ad una serie di rotture, circa il 4% specie nel primo anno di carico, nei casi di particolare serraggio dei monconi con viti metalliche e negli impianti a sezione ridotta inferiore ai 3,5 mm di diametro degli impianti bifasici (Gahlert). La percentuale è scesa al di sotto dello 0.5% grazie allo sviluppo del processo produttivo, nella preparazione dei materiali e nella realizzazione implantare sia essa per fresaggio che per pressatura isostatica (Kobayashi). Come ulteriore dato da rilevare nella conoscenza di questo nuovo materiale implantare è associato ad un invecchiamento (aging) della struttura meglio conosciuta come degradazione idrotermica della Zirconia (low temperature degradation – LTD) che è possibile registrare a temperature superiori ai 150°C immersi in ambiente con presenza di acqua (Lughi). Al fine di un pieno controllo sull’LTD è stato inserito nel composito di polvere di Zirconia dell’ossido di Ceria (CeO2) o di Allumina (Al2O3) (Ross). Sulla base dell’esperienza maturata in questi 30 anni di ricerca e sviluppo, possiamo oggi ritenere l’uso degli impianti in Zirconia un valido sostituto degli impianti in titanio, specie nelle zone altamente estetiche o in quei pazienti in cui la qualità dei tessuti o la particolare predisposizione alla raccolta batterica possano richiedere una maggior garanzia di risultato a lungo termine (Reveron. Denkena).
Materiali e metodi
La gestione di questo caso clinico è contraddistinta da una fase estrusiva dell’elemento compromesso da frattura verticale e una fase di inserimento implantare a cui è seguita la riabilitazione protesica. Le due fasi avrebbero potuto essere distinte se al momento dell’estrazione non si fosse reso possibile il contestuale inserimento implantare. La scelta implantare è ricaduta su un impianto bifasico in Zirconia stabilizzata con Yttria (CERALOG, BioHorizons Camlog), realizzato mediante un processo produttivo high-tech per stampaggio (ceramic injection molding – CIM).
Prima fase
La prima fase è contraddistinta da un’accurata diagnosi clinica e diagnostica in cui accertiamo le possibili variabili terapeutiche volte al ripristino coronale previo allungamento coronale, alla terapia endocanalare e alla ricostruzione del moncone su cui finalizzare una corona clinica. Nel caso specifico il paziente si è presentato all’osservazione clinica con un trauma masticatorio che ne ha causato netta frattura coronale della cuspide palatina di un dente vitale ricostruito secondo tecnica diretta in composito. La frattura si presentava estesa in profondità ad almeno 1 mm sotto crestale nella porzione palatina, oltre alla scopertura della camera pulpare (Fig. 1). Dopo attenta valutazione e confronto delle procedure il paziente ha optato per l’integrale sostituzione. L’estrazione radicolare è stata eseguita secondo tecnica flappless evitando di lesionare la corticale ossea. L’impegno del piezosurgery ha consentito una rimozione facilitata senza compressione delle corticali (Fig. 2). La preparazione del sito è una fase delicata della chirurgia implantare specie per i casi di impianti in Zirconia. Infatti questi impianti tollerano male gli stress di avvitamento pertanto la sede deve essere accuratamente preparata rispettando un’adeguata irrigazione ed eventuale maschiatura del sito, specie nei casi di osso compatto tipo D1-D2. Nel caso in questione non è stato necessario l’inserimento sottocorticale, ma nell’eventuale necessità è presente una fresa svasatrice o countersing che permette l’approfondimento della porzione liscia del collarino implantare evitando la compresone della corticale che solitamente induce a risorgimento verticale.
Fig. 1 - Immagine occlusale della frattura coronale dell’elemento in parte medicata per lenire il sintomo termico causato dalla scopertura della camera pulpare.
Fig. 2 - Il collage delle immagini riporta inizialmente l’indagine radiografica iniziale con la stretta vicinanza al pavimento del seno ascellare oltre alla vitalità dell’elemento e all’assenza di infezioni peri-radicolari. La seconda distingue la radice rimossa, segue l’impianto che abbiamo scelto di posizionare e a destra si valuta il risultato del posizionamento impiantare con il rispetto del pavimento e la relazione ossea e inter-radicolare.
Seconda fase
L’inserimento implantare necessita di una stabilità primaria come avviene anche per gli impianti in titanio. La scelta del volume implantare condiziona il posizionamento nell’alveolo residuo e la sua emergenza è associata alla valutazione estetica e funzionale.
La difficoltà è inizialmente associata al punto di impegno della prima fresa per far coincidere il centro dell’impianto con la distanza intercoronale. Non sempre è possibile sfruttare questo punto di inserimento implantare a causa delle variabili associate alla forma radicolare e al numero di radici presenti. Il secondo premolare superiore genericamente presenta una radice singola o in alcuni casi due radici fusiformi pertanto si presta più facilmente a una contestuale sostituzione, unico problema è associabile al confine superiore con la corticale del pavimento del seno mascellare che potrebbe limitare l’escursione della fresa pilota oltre apice alla ricerca di una maggior stabilità primaria (Fig. 2).
Caso clinico
Il paziente in esame è di sesso maschile, 53 aa, in un ottimo stato di salute, ASA1, non fumatore, con frattura coronale di 2.5 associato a dolore spontaneo del medesimo. Gli vengono illustrate, previa attenta disamina, le varie possibilità terapeutiche, al termine del quale si opta per la sostituzione del dente fratturato con un impianto. La scelta di un impianto in ceramica è stata valutata per una serie di fattori che spaziano tra il GMFR e il risultato estetico. In questo caso è stato usato un impianto bifasico in Zirconia a corpo cilindrico da 12 mm di lunghezza e 4.1 mm di diametro considerando che il collarino protesico ha un diametro di 4,5 mm.
Gli spazi interstiziali tra la circonferenza corticale dell’impianto sono stati colmati con biomateriale a lento riassorbimento al fine di una miglior conservazione del bondle bone (Fig. 3) l’impianto non è stato volutamente protesizzato immediatamente perché nonostante la stabilità primaria raggiunta fosse di 55 ISQ (misurazione fatta con l’Ostell) abbiamo preferito lasciare l’impianto al naturale decorso clinico di guarigione non esponendolo a ulteriori traumi occlusali. Dopo 8 settimane abbiamo rimosso la vite di guarigione e preso un’impronta ottica digitale per la preparazione di un provvisorio posizionato su moncone specifico per ulteriori 4 settimane (Fig. 4), al termine del quale abbiamo nuovamente rimosso la corona provvisoria avvitata e constatato il grado di condizionamento mucoso perimplantare (Fig. 5) abbiamo rilevato una nuova impronta con scanner intraorale (TRIOS, 3Shape) mediante apposito scan body.
Il file rilevato è stato inviato al laboratorio odontotecnico previa compilazione della scheda tecnica allegata in cui viene menzionata la marca e il modello implantare, il tipo di restauro desiderato, se avvitato o cementato e, il materiale con cui lo si vuole finalizzare. Il software è in grado di rilevare le valenze cromatiche così da definire una prima indicazione sul colore. La scelta di un impianto bifasico in Zirconia consente di poter effettuare una riabilitazione singola avviata o eventualmente una connessione cementata su più elementi grazie alla progettazione di strutture dedicate secondo tecnica CAD/CAM seguendo le librerie CAD Dedicam. I dati raccolti vengono supportati da status fotografico e immagini spettrofotometriche (Spettro-Shade).
I dati digitali hanno una grande versatilità d’impiego e un costo limitato, pur esprimendo potenzialità d’impiego ed efficacia comunicativa anche a distanza. L’odontotecnico è in grado di stabilire la fattibilità del restauro secondo la prescrizione, condividendo col clinico le potenzialità e le limitazioni presenti nello specifico. Non sempre è presente la possibilità di avere un moncone ad avvitamento inclinato consentendo un foro d’ingresso in regione congrua rispetto all’estetica e alla funzione dell’elemento, nel caso si modifica la connessione impianto moncone, inclinando la superficie d’appoggio della spalla dell’impianto (Fig. 7).
Fig. 3 - Visione occlusale, posizionamento impiantare secondo la tecnica flapp-less e riempimento tra gli spazi intraosseo-impianto. Sull’impianto è stato posizionato un tappo di guarigione a pressione.
Fig. 4 - Posizionamento di un moncone provvisorio in PEEK a cui verrà incollata la corona provvisorio realizzata con tecnica CAD-CAM, permettendo l’avvitamento della medesima.
Fig. 5 - A distanza di 30 giorni dal carico funzionale con la corona provvisoria si valuta il condizionamento tissutale e la guarigione ossea.
Fig. 6 - L’impronta definitiva viene rilevata secondo tecnica digitale con uno scanner intraorale (3Shape Trios). Usando il corpo di scansione proprio dell’impianto trasferiremo all’odontotecnico il file con le matematica proprie dell’impianto. L’impronta digitale permette inoltre un’eccellente lettura dei tessuti condizionati così da poter seguire i margini estetici realizzati. Lo scan-body si ferma sulla connessione implantare e non interferisce con i tessuti molli.
Fig. 7 - L’odontotecnico è così in grado di eseguire una valutazione attenta sulla posizione implantare, sulla possibilità di realizzare una protesi avvitata, sui margini estetici, sulla componentistica protesica da impiegare. Il disegno della corona in sezione permette un’ampia valutazione.
Data la particolare attenzione alla componente estetica ancora ben rappresentata nell’elemento abbiamo preferito addizionare della ceramica alla struttura coronale in Zirconia, mantenendo una struttura ad alta resistenza nella porzione limitrofa al foro d’avvitamento e contestualmente esaltando l’estetica con una porzione caratterizzata per apposizione ceramica e non semplicemente colorata (Fig. 8). Quando si decide verso una procedura tecnica in apposizione è determinante avere un modello che possa agevolare l’odontotecnico nella realizzazione (Fig. 9). Il moncone impiegato per il definitivo è diverso rispetto a quello usato per il provvisorio, nel materiale e nella forma.
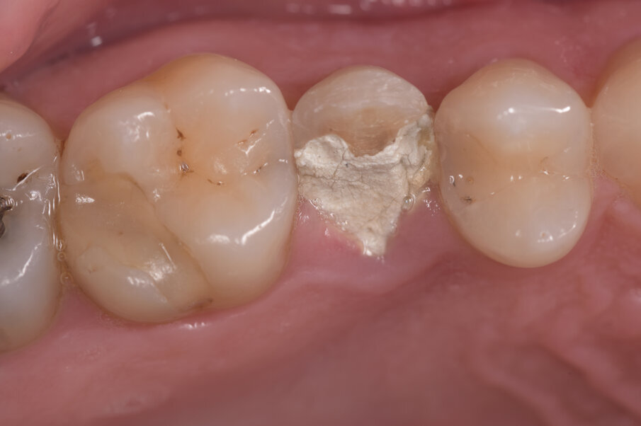
La porzione di moncone che sigilla la chiusura con l’impianto non è modificabile sia per sottrazione che per addizione, pertanto la corona verrà cementata al moncone in laboratorio (Fig. 10). Sul modello sarà alloggiato un transfer rimovibile dedicato sia al modello implantare che ai modelli digitali, pertanto le sue matematiche saranno inserite nel software di progettazione protesica. Tutti questi dati che sembrano scontati in realtà è opportuno che siano verificati prima di rilevare e inviare l’impronta al laboratorio in grado di poter sviluppare l’intero flusso digitale (Fig. 11). Radiograficamente dall’immagine si potrebbe definire uno spazio tra l’impianto e la corona, in realtà la natura del moncone è radiotrasparente pertanto non si evidenzia. Il posizionamento protesico viene fissato secondo indicazioni del produttore con un serraggio dinamometrico a 15 Ncm con cacciavite Unigrip per viti Holisticor in oro o 25 Ncm in Titanio.
Fig. 8 - Stabilito il progetto implantoprotesico e scelto il materiale, si decide di esaltare l’estetica simulando l’addizione ceramica. Si procede nel progetto con una porzione vestibolare in sottrazione nel volume adeguato.
Fig. 9 - Visione del progetto nel contesto del modello virtuale, si notino i punti di transizione nei contatti adiacenti e il foro della vite passante nella porzione occlusale, così da non compromettere l’estetica e la resistenza alle forze masticatorie.
Fig. 10 - Il moncone definitivo è in PEKK (poli-etere-chetone-chetone), un polimero termoplastico altamente biocompatibile e resistente ai fluidi orali e alle forze masticatorie. Su questo moncone possiamo cementare la corona o incollarla per realizzare un avvitamento.
Fig. 11 - Visione della corona ultimata, del moncone a cui è incollata e dell’analogo ceramico.
Discussione
La particolare conformazione della connessione protesica (Ceralog Hexalobe) stabilizza fermamente il moncone all’impianto evitando svitamenti anche a lungo termine, anche in assenza di un avvitamento realizzato con chiave dinamometrica. Il moncone in polietere etere chetone (PEEK) ha un modulo di resistenza elevato al fine di garantire resistenza allo stress masticatorio. È possibile eseguire corone cementate o avvitate a seconda del tipo di riabilitazione e soprattutto in base all’inclinazione dell’impianto e del rispetto estetico del restauro protesico.
Conclusioni
La scelta di un impianto in Zirconia è orami una procedura consolidata specie in casi come questo in cui si abbinano esigenze estetiche e attenzione al concetto biologico di assenza ai metalli. La risposta dei tessuti è sempre positiva e la sua maturazione migliora nel tempo stabilizzando e migliorando la superficie mucosa. Probabilmente la scarsa attitudine alla raccolta batterica è un fattore significativo per l’assenza di flogosi perimplantare e questo è un presupposto ideale per una maturazione progressiva ed evolutiva. La reazione dei tessuti è migliorativa nel tempo. Il follow-up a tre anni (Fig. 12) non rileva segni di sofferenza clinica e la mimesi cromatica e funzionale contestualizza il pieno ripristino implanto protesico.
Fig. 12 - Visione della corona ultimata, del moncone a cui è incollata e dell’analogo ceramico.
Nota editoriale:
Bibliografia
Vatteroni R., Arcangeli G., Borello A., Majani C., Piconi C.. ENEA Contribution to the Development of Sol-Gel Technologies, ENEA RT/INN/94/46.
Lughi V., Sergo V.. Low temperature degradation aging of Zirconia: A critical review of the relevant aspects in dentistry. Dent Mater 2010:26:807-20.
Christel P., Meunier A., Heller M., Torre J-P., Cales B., Peille CN.. Mechanical Properties and short-term in-vivo evaluation of Yttrium-Oxide-Partially-Stabilized Zirconia. J Biomed Mater Res 1989;23:45-61.
Piconi C., Maccauro G., Muratori F., Brach del Prever E.. Alumina and Zirconia ceramics in joint replacements: a review. J Appl Biomat Biomech 2003;1:19-32.
Covacci V., Bruzzese N., Maccauro G. et al. In vitro evaluation of the mutagenic and carcinogenic power of high purity Zirconia ceramics. Biomaterials 1999;20:371-6.
Miani C., Piconi C., Piselli D., Ponti M.. Experimental in vivo studies on Zirconia in oral implantology. Italian Osseoint J 1993:3:23-34.
Akagawa Y., Ichikawa Y., Nikai H., Tsuru H.. Interface histology of unloaded and early loaded partially stabilized Zirconia endosseous implant in initial bone healing. Journal of Prosthetic Dentistry 1993:69:599-604.
Depprich R., Zipprich H., Ommerborn M. et al. Osseointegration of Zirconia implants compared with titanium: an in vivo Head Face Med 2008;4:30.
Gahlert M., Roehling S., Sprecher CM., Kniha H., Milz S., Bormann K.. In vivo performance of Zirconia and titanium implants: a histomorphometric study in mini pig maxillae. Clin Oral Implants Res 2012;23:281-6.
Spriano S., Sarath Chandra V., Cochis A. et al. How do wettability, zeta potential and hydroxylation degree affect the biological response of biomaterials? Mater Sci Eng C 2017;74:542-5.
Watanabe H., Saito K., Kokubo K. et al. Change in surface properties of Zirconia and initial attachment of osteoblast-tlike cells with hydrophilic treatment. Dent Mater 2012;31:806-14.
Rimondini L., Cerroni L., Carrassi A., Torricelli P.. Bacterial colonization of Zirconia ceramic surfaces: an in vitro and in vivo Int J Oral Maxillofac Implants 2002:17:793-8.
Röhling S., Astasov-Frauenhoffer M., Hauser-Gerspach I., Braissant O., Woelfler H., Waltimo T., Kniha H., Gahlert M.. In Vitro Biofilm Formation on Titanium and Zirconia Implant Surfaces. J Periodontol 2017;88(3):298-307.
Oda Y., Miura T., Mori G., Sasaki H., Ito T., Yoshinari M., Yajima Y.. Adhesion of streptococci to titanium and Zirconia. PLoS One 2020;24;e0234524.
Scarano A., Piattelli M., Caputi S., Favero GA., Piattelli A.. Bacterial adhesion on commercially titanium and zirconium oxide disks: an in vivo human study. J Periodontol 2004:75:292-6.
Nascimento CD., Pita MS., Fernandes FHNC, Pedrazzi V., de Albuquerque Junior RF., Ribeiro RF.. Bacterial adhesion on the titanium and Zirconia abutment surfaces. Clin Oral Implants Res 2014 Mar; 25(3):337-43.
Blaschke C., Volz U.. Soft and hard tissue response to zirconium dioxide dental implants – a clinical study in man. Neuro Endocrinol Lett 2006;27:69-72.
Scaringi R., Nannelli M., Franchina A., Lizio G., Stefanelli L.V., Pagliarulo M., De Angelis F., Pellegrino G.. Full Zirconia Implant-Born Prosthetic Rehabilitation with CAD/CAM Technology after Accurate Digital Planning. A Case Report. Int. J. Environ. Res. Public Health 2021.
Gahlert M., Burtscher D., Grunert I., Kniha H., Steinhauser E.. Failure analysis of fractured dental Zirconia implants. Clin Oral Implants Res 2012:23:287-93.
Kobayashi K., Kuwajima H., Masaki T.. Phase change and mechanical properties of ZrO2-Y2O3 solid electrolyte after aging. Solid State Ionics 1981;3-4:461-87.
Lughi V., Sergo V.. Low temperature degradation -aging- of Zirconia: A critical review of the relevant aspects in dentistry. Dent Mater 2010:26:807-20.
Ross IM., Rainforth WM., McComb DW., Scott AJ., Brydson R.. The role of trace addition of alumina to yttria-tetragonal Zirconia polycrystals (Y-TZP). Scripta Mater 2001;45:653-60.
Reveron H., Fornabaio M., Palmero P., Fürderer T., Adolfsson E., Lughi V. et al. Towards long lasting Zirconia-based composites for dental implants: transformation induced plasticity and its consequence on ceramic reliability. Acta Biomater 2017:48:423-32.
Denkena B., Wippermann A., Busemann S., Kuntz M., Gottwik L.. Comparison of residual strength behavior after indentation, scratching and grinding of Zirconia-based ceramics for medical-technical applications. J Eur Ceram Soc 2018;38:1760-8.
Nella valutazione di elementi dentali irreparabilmente compromessi ci troviamo a dover effettuare delle scelte sul piano di trattamento post-estrattivo1, 2....
I piani di trattamenti clinici che prevedono il carico immediato o il posizionamento post-estrattivo immediato dell’impianto, rappresentano una procedura ...
Gli impianti dentali rappresentano una alternativa scientificamente consolidata in sostituzione di uno o più denti mancanti. Il ripristino della funzione ...
L’implantologia osseointegrata ha raggiunto livelli di affidabilità molto elevati, qualora siano rispettati criteri di pianificazione e di esecuzione ...
Introduzione
Per diversi decenni, gli impianti dentali sono stati ampiamente utilizzati nella pratica clinica per le riabilitazioni di edentule singole e ...
Molti pazienti richiedono il restauro dei settori posteriori-superiori con impianti dentali. Purtroppo molti di essi rinunciano al trattamento perché ...
Sino ad oggi, gli impianti dentali sono stati convenzionalmente ottenuti attraverso fresatura-tornitura di barrette di titanio, con successiva applicazione ...
Ginevra: i team odontoiatrici sono in prima linea nell’affrontare il consumo di tabacco; tuttavia, fornire ai pazienti indicazioni per smettere di fumare ...
Dalla prima fotografia integrata dell’Odontoiatria Corporativa in EMEA al caso italiano:
perché osservare oggi le DSO significa capire dove sta andando ...
L’odontoiatria richiede precisione clinica, spesso entro tempi ristretti e sotto la pressione di soddisfare le aspettative dei pazienti, ma una pratica ...
To post a reply please login or register