Fig. 4_Progettazione digitale mediante protocollo Easy Driver della posizione delle miniviti ortodontiche. Mediante il software è possibile programmare sito di inserimento, profondità è inclinazione dei TADs.
Il flusso di lavoro digitale è un utile strumento per determinare la strategia di trattamento più accurata per giovani pazienti borderline, con discrepanza trasversale. In questo case report la progettazione digitale ha aiutato il clinico nella maggior parte delle fasi di trattamento. Il setup digitale diagnostico del risultato finale è stato utilizzato come guida, al fine di valutare la quantità di espansione necessaria a minimizzare i compensi dentali.
Attraverso l’esame TAC Cone Beam Computed Tomography (CBTC) è stata valutata la stadiazione della sutura palatale per scegliere la modalità di espansione più adeguata e la progettazione di dima di inserimento Computer Aided Design- Computer Aided manufacturing (CAD/CAM) si rivela strategica per determinare un posizionamento affidabile e predicibile delle miniviti ortodontiche. Questo case report mostra la correzione della discrepanza trasversale mediante un espansione con ancoraggio scheletrico mediante miniviti palatali (MARPE).
_Introduzione La tecnologia digitale in ortodonzia sta diventando sempre più importante, cambiando le regole del flusso di lavoro convenzionale. Ogni processo nella gestione del paziente viene progressivamente tradotto nell’ambiente virtuale, dalla diagnosi e pre-visualizzazione dell’esito del trattamento, alla personalizzazione del design dell’apparecchio e della terapia. Un flusso di lavoro digitale può aiutare i medici nell’impostare piani di trattamento più efficaci e predicibili, e migliora inoltre la comunicazione tra ortodontisti e tecnici di laboratorio per la realizzazione dei dispositivi ortodontici1-4.Infatti, alcuni protocolli per la risoluzione di deficit trasversali in pazienti ortodontici adulti e adolescenti prevedono una fase di pianificazione virtuale per l’espansione rapida con ancoraggio su miniviti (MARPE). In particolare, il posizionamento dei mini impianti ortodontici (TADs) risulta essere più facile, preciso e sicuro grazie all’uso della sistematica digitale5-8.
Partendo con l’acquisizione di una impronta digitale delle arcate dentarie mediante uso di scanner intraorali, o di scansione di modelli per la pianificazione del trattamento ortodontico, la metodica computer-aided design (CAD) permette la progettazione virtuale di una dima chirurgica di posizionamento per TADs basata sull’imaging della tomografia computerizzata a fascio conico (CBCT) e realizzata con computer-aided manufacturing (CAM)5, 6, 9, 10.Inoltre, tramite CBCT è possibile valutare la densità ossea e il livello di interdigitazione dei ponti ossei della sutura palatina, valutazione indispensabile per la scelta della modalità di espansione da performare.In questo case report vogliamo dimostrare come il workflow digitale abbia aiutato il clinico sia nella fase di diagnosi che nella progettazione e risoluzione della problematica ortodontica.
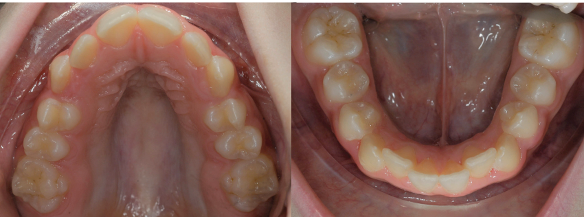
_Materiale e metodi Una paziente di sesso femminile di 11 anni, presenta all’esame clinico: dentizione permanente, palato di forma ogivale, discrepanza trasversale, affollamento e contrazione dell’arcata superiore, tipping vestibolare dei primi molari superiori, marcato affollamento dentale inferiore, tipping linguale degli elementi dentali postero-inferiori, proinclinazione vestibolare degli incisivi inferiori (Fig. 1). La paziente, inoltre, riferisce il menarca sei mesi prima dell’inizio della terapia. Per prima cosa è stato realizzato un setup digitale del risultato finale nell’arcata inferiore correggendo l’affollamento mediante espansione dei settori posteriori e minimizzando la proinclinazione degli incisivi. Utilizzando questo setup digitale come arcata guida, è risultata una discrepanza trasversale tra arcata inferiore e arcata superiore di circa 6 mm (Fig. 2).Richiesto l’esame CBCT, è stata valutata anche la morfologia della sutura palatina ed è risultata di tipo C secondo la classificazione di Angelieri et al11 (Fig. 3).
In questo stadio la fusione della sutura è già avvenuta parzialmente o totalmente, ed è quindi stata eseguito una MARPE. È stata progettata una dima CAD/CAM, mediante protocollo Easy Driver5. La CBCT è stata sovrapposta alla scansione digitale STL (standard triangulation language) dell’arcata dentale superiore, per valutare con estrema precisione il sito più adatto di inserimento, la lunghezza e il diametro delle viti, rispettando la profondità della volta palatina, e l’inclinazione di inserimento delle viti (Fig. 4).
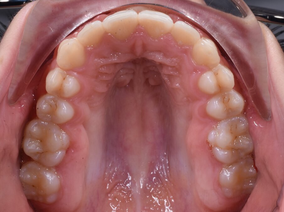
È stata quindi prodotta una dima guida, prodotta con la tecnica additive manufacturing. La dima contiene tutte le informazioni programmate digitalmente per l’inserimento di 2 miniviti BENEfit di 9 mm di lunghezza e 2 mm di diametro. In un’unica seduta sono state posizionate TADs ed espansore palatale ibrido. Il protocollo di attivazioni eseguito ha previsto 5 attivazioni al momento dell’inserimento dell’apparecchiatura, e successivamente 1 attivazione al giorno per 20 giorni. Una volta corretta la trasversalità, il caso è stato finalizzato mediante terapia ortodontica con brackets su entrambe le arcate. Le miniviti e l’espansore rapido palatale sono rimaste in sede per tutta la durata della terapia ortodontica, di circa 20 mesi (Figg. 5a-5d). L’espansione scheletrica mascellare ottenuta è stata di 5,6 mm, evitando compensi dentali sui primi molari (Figg. 6a, 6b).
Fig. 1_Situazione intraorale a inizio terapia.
Fig. 2_Setup finale della correzione dell’arcata inferiore: nell’immagine è rappresentato in blu la posizione iniziale della dentatura, in bianco la posizione risultante dal setup. La lunghezza trasversale prevista a fine terapia sarà di 50 mm.
Fig. 3_La CBCT permette di analizzare la morfologia della sutura palatale, in questo caso identificata con uno stadio C.
Fig. 4_Progettazione digitale mediante protocollo Easy Driver della posizione delle miniviti ortodontiche. Mediante il software è possibile programmare sito di inserimento, profondità è inclinazione dei TADs.
Fig. 5a_Inserimento miniviti.
Fig. 5b_Applicazione in un’unica seduta di espansore palatale ibrido ad appoggio dentale e scheletrico.
Fig. 5c_Espansore al termine delle attivazioni e finalizzazione con bracket.
Fig. 5d_Visione occlusale del palato a fine terapia ortodontica.
Fig. 6a_Misurazione distanza inter-molare e inter-canina a inizio terapia.
Fig. 6b_Misurazione distanza inter-molare e inter-canina a fine terapia.
_Discussione In questo case report il setup ortodontico digitale del risultato finale ha pre-visualizzato la quantità di espansione necessaria alla corretta risoluzione del caso, aggiungendo così informazioni alla più adatta scelta del piano di trattamento da performare. La paziente necessitava di almeno 6 mm di espansione ottenuta mediante apertura della sutura palatina. La sutura palatina mediana si estende dal foro palatino anteriore alla spina nasale posteriore; il suo processo di ossificazione è strettamente correlato con l’età e con il sesso e ha inizio con la formazione di spicole lungo la sutura stessa che aumentano di numero man mano che la maturazione prosegue creando interdigitazioni sempre più salde12–17.
I dispositivi di espansione rapida palatale (REP) in età infantile hanno un’azione ortopedica trasmessa alle strutture scheletriche attraverso i denti di ancoraggio, il che può portare a diversi effetti collaterali dentali indesiderati come fenestrazioni dell’osso buccale, riassorbimenti delle radici e recessioni gengivali anche nei bambini18–20. Questi effetti collaterali sono ridotti con l’uso della MARPE che presenta migliore stabilità ed effetti ortopedici maggiori21-24, un minore carico sul legamento parodontale dei denti a cui è ancorato, perché la forza espressa dall’attivazione dell’espansore, si scarica prevalentemente sull’osso piuttosto che sulla dentatura25, 26. È stato dimostrato che la MARPE è in grado di agire su tutta la lunghezza della sutura palatina con un movimento più parallelo in direzione antero-posteriore e l’efficacia in termini di separazione della sutura è maggiore rispetto alle meccaniche tradizionali27, 28. Comprendere la variabilità individuale nella fusione della sutura palatale è essenziale per identificare quale paziente può essere sottoposto a espansione con REP o con MARPE. La classificazione di Angelieri et al. della morfologia e della maturazione della sutura palatina si basa sull’esaminazione della CBCT, da cui scaturiscono 5 stadi (A, B, C, D, E). Lo stadio della sutura della paziente di questo case report è di tipo C, nel quale la sutura appare parzialmente interdigitata; sono presenti 2 linee parallele, frastagliate, ad alta densità e molto vicine, separate da piccoli spazi e alternate ad area a bassa densità ossea29-33. Una diagnosi iniziale di stadio C, indica una prognosi incerta per eseguire un’espansione rapida tradizionale, poiché l’inizio della fusione della porzione palatina della sutura potrebbe essere imminente11.
L’efficacia dell’espansione mascellare con ancoraggio su miniviti dipende da specifiche caratteristiche: parallelismo delle miniviti, ancoraggio scheletrico bicorticale, posizione dell’espansore, assenza di eccessiva pressione sul tessuto molle palatale. Per garantire che tutti questi aspetti possano essere soddisfatti, la sovrapposizione CBCT-modello dentale combina la valutazione qualitativa e quantitativa dell’osso palatale e dei tessuti molli, che consente ai clinici di posizionare virtualmente le miniviti e l’espansore secondo le linee guida presenti in letteratura1, 6, 34-37. Molti clinici non hanno un’immediata familiarità con il posizionamento di tali dispositivi e potrebbero essere riluttanti a usarli38-40. Pertanto, la creazione CAD/CAM (Fig .7) di una guida all’inserimento delle miniviti fornisce dettagli sulla posizione, lunghezza e angolazione ottimali dei TADs. La progettazione della dima viene realizzata digitalmente e, utilizzando stampanti 3D CAM grazie a un processo di stampa additiva (additive manufacturing), viene poi prodotta la dimachirurgica. Per additive manufacturing si intende quel processo produttivo che si distingue dalle tradizionali tecnologie di lavorazione perché non asporta materiale dal grezzo tramite tornitura o fresatura, ma ottiene particolari tridimensionali molto complessi attraverso il deposito progressivo di materiali diversi che vengono poi depositati strato su strato41-44. Questo approccio ottimizza e migliora la sicurezza dell’operatore nel posizionamento delle TADs. Una limitazione di questa metodologia è l’uso dell’imaging CBCT, che espone il paziente a radiazioni aggiuntive. L’uso di routine della CBCT non può essere accettato nei pazienti giovani, ma il suo uso può essere giustificato su base individuale45, 46.
Fig. 7_La progettazione della dima chirurgica di inserimento dei TADs.
_Conclusioni Il workflow digitale anche in ambito ortodontico ha molteplici utilizzi durante le diverse fasi del trattamento, dall’acquisizione dei modelli di studio alla progettazione dei dispositivi ortodontici. Nel caso delle discrepanze trasversali che necessitano di protocollo MARPE, la metodica di progettazione digitale di inserimento delle miniviti con successiva produzione di dima di inserimento mediante procedimenti CAD/CAM, rende la procedura affidabile, sicura e predicibile. Questo protocollo riduce i tempi clinici limitando tutte le azioni cliniche ad un’unica seduta, e soprattutto consente all’operatore che eseguirà l’atto chirurgico massima sicurezza e precisione durante le manovre di inserimento. Questo flusso digitale è attuabile da tutti, dando sicurezza anche ai clinici dubbiosi nell’utilizzare questa metodica.
_Bibliografia
Lo Giudice, A.; Quinzi, V.; Ronsivalle, V.; Martina, S.; Bennici, O.; Isola, G. Description of a Digital Work-Flow for CBCT-Guided Construction of Micro-Implant Supported Maxillary Skeletal Expander. Materials (Basel) 2020, 13, E1815, doi:10.3390/ma13081815.
Lione, R.; Pavoni, C.; Laganà, G.; Fanucci, E.; Ottria, L.; Cozza, P. Rapid Maxillary Expansion: Effects on Palatal Area Investigated by Computed Tomography in Growing Subjects. Eur J Paediatr Dent 2012, 13, 215–218.
Marra Odontoma in a Young and Anxious Patient Associated with Unerupted Permanent Mandibular Cuspid: A Case Report Available online: https://www.jioh.org/article.asp?issn=0976-7428;year=2020;volume=12;issue=2;spage=182;epage=186;aulast=Marra (accessed on 26 March 2022).
De Felice, M.E.; Nucci, L.; Fiori, A.; Flores-Mir, C.; Perillo, L.; Grassia, V. Accuracy of Interproximal Enamel Reduction during Clear Aligner Treatment. Progress in Orthodontics 2020, 21, 28, doi:10.1186/s40510-020-00329-1.
Gabriele, O.D.; Dallatana, G.; Riva, R.; Vasudavan, S.; Wilmes, B. The Easy Driver for Placement of Palatal Mini-Implants and a Maxillary Expander in a Single Appointment. 2017, 10.
Maino, B.G.; Paoletto, E.; Lombardo, L.; Siciliani, G. A Three-Dimensional Digital Insertion Guide for Palatal Miniscrew Placement. 2016, 12.
d’Apuzzo, F.; Minervini, G.; Grassia, V.; Rotolo, R.P.; Perillo, L.; Nucci, L. Mandibular Coronoid Process Hypertrophy: Diagnosis and 20-Year Follow-Up with CBCT, MRI and EMG Evaluations. Applied Sciences 2021, 11, 4504, doi:10.3390/app11104504.
Cozzani, M.; Nucci, L.; Lupini, D.; Dolatshahizand, H.; Fazeli, D.; Barzkar, E.; Naeini, E.; Jamilian, A. The Ideal Insertion Angle after Immediate Loading in Jeil, Storm, and Thunder Miniscrews: A 3D-FEM Study. Int Orthod 2020, 18, 503–508, doi:10.1016/j.ortho.2020.03.003.
Dekel, E.; Nucci, L.; Weill, T.; Flores-Mir, C.; Becker, A.; Perillo, L.; Chaushu, S. Impaction of Maxillary Canines and Its Effect on the Position of Adjacent Teeth and Canine Development: A Cone-Beam Computed Tomography Study. Am J Orthod Dentofacial Orthop 2021, 159, e135–e147, doi:10.1016/j.ajodo.2020.10.015.
Luchian, I.; Moscalu, M.; Goriuc, A.; Nucci, L.; Tatarciuc, M.; Martu, I.; Covasa, M. Using Salivary MMP-9 to Successfully Quantify Periodontal Inflammation during Orthodontic Treatment. J Clin Med 2021, 10, 379, doi:10.3390/jcm10030379.
Angelieri, F.; Franchi, L.; Cevidanes, L.H.S.; McNamara Jr, J.A. Diagnostic Performance of Skeletal Maturity for the Assessment of Midpalatal Suture Maturation. American Journal of Orthodontics and Dentofacial Orthopedics 2015, 148, 1010–1016, doi:10.1016/j.ajodo.2015.06.016.
Farronato, P.P., E. Pasciuti, G. Espansione rapida del palato: terapia del deficit ... Available online: https://it.dental-tribune.com/news/espansione-rapida-del-palato-terapia-del-deficit-trasversale-scheletrico-del-mascellare-superiore/ (accessed on 21 March 2022).
Patianna, A.G.; Ballini, A.; Meneghello, M.; Cantore, S.; Inchingolo, A.M.; Dipalma, G.; Inchingolo, A.D.; Inchingolo, F.; Malcangi, G.; Lucchese, A.; et al. Comparison of Conventional Orthognathic Surgery and “Surgery-First” Protocol: A New Weapon against Time. J Biol Regul Homeost Agents 2019, 33, 59-67. DENTAL SUPPLEMENT.
Laudadio, C.; Inchingolo, A.D.; Malcangi, G.; Limongelli, L.; Marinelli, G.; Coloccia, G.; Montenegro, V.; Patano, A.; Inchingolo, F.; Bordea, I.R.; et al. Management of Anterior Open-Bite in the Deciduous, Mixed and Permanent Dentition Stage: A Descriptive Review. J Biol Regul Homeost Agents 2021, 35, 271–281, doi:10.23812/21-2supp1-27.
DI Venere, D.; Nardi, G.M.; Lacarbonara, V.; Laforgia, A.; Stefanachi, G.; Corsalini, M.; Grassi, F.R.; Rapone, B.; Pettini, F. Early Mandibular Canine-Lateral Incisor Transposition: Case Report. Oral Implantol (Rome) 2017, 10, 181–189, doi:10.11138/orl/2017.10.2.181.
DI Venere, D.; Pettini, F.; Nardi, G.M.; Laforgia, A.; Stefanachi, G.; Notaro, V.; Rapone, B.; Grassi, F.R.; Corsalini, M. Correlation between Parodontal Indexes and Orthodontic Retainers: Prospective Study in a Group of 16 Patients. Oral Implantol (Rome) 2017, 10, 78–86, doi:10.11138/orl/2017.10.1.078.
Marinelli, G.; Inchingolo, A.D.; Inchingolo, A.M.; Malcangi, G.; Limongelli, L.; Montenegro, V.; Coloccia, G.; Laudadio, C.; Patano, A.; Inchingolo, F.; et al. White Spot Lesions in Orthodontics: Prevention and Treatment. A Descriptive Review. J Biol Regul Homeost Agents 2021, 35, 227–240, doi:10.23812/21-2supp1-24.
Coloccia, G.; Inchingolo, A.D.; Inchingolo, A.M.; Malcangi, G.; Montenegro, V.; Patano, A.; Marinelli, G.; Laudadio, C.; Limongelli, L.; Di Venere, D.; et al. Effectiveness of Dental and Maxillary Transverse Changes in Tooth-Borne, Bone-Borne, and Hybrid Palatal Expansion through Cone-Beam Tomography: A Systematic Review of the Literature. Medicina 2021, 57, 288, doi:10.3390/medicina57030288.
Cantore, S.; Ballini, A.; De Vito, D.; Martelli, F.S.; Georgakopoulos, I.; Almasri, M.; Dibello, V.; Altini, V.; Farronato, G.; Dipalma, G.; et al. Characterization of Human Apical Papilla-Derived Stem Cells. J Biol Regul Homeost Agents 2017, 31, 901–910.
Wertz, R.; Dreskin, M. Midpalatal Suture Opening: A Normative Study. Am J Orthod 1977, 71, 367–381, doi:10.1016/0002-9416(77)90241-x.
Ballini, A.; Cantore, S.; Scacco, S.; Perillo, L.; Scarano, A.; Aityan, S.K.; Contaldo, M.; Cd Nguyen, K.; Santacroce, L.; Syed, J.; et al. A Comparative Study on Different Stemness Gene Expression between Dental Pulp Stem Cells vs. Dental Bud Stem Cells. Eur Rev Med Pharmacol Sci 2019, 23, 1626–1633, doi:10.26355/eurrev_201902_17122.
Patano, A.; Cirulli, N.; Beretta, M.; Plantamura, P.; Inchingolo, A.D.; Inchingolo, A.M.; Bordea, I.R.; Malcangi, G.; Marinelli, G.; Scarano, A.; et al. Education Technology in Orthodontics and Paediatric Dentistry during the COVID-19 Pandemic: A Systematic Review. IJERPH 2021, 18, 6056, doi:10.3390/ijerph18116056.
Dimonte, M.; Inchingolo, F.; Minonne, A.; Arditi, G.; Dipalma, G. Bone SPECT in Management of Mandibular Condyle Hyperplasia. Report of a Case and Review of Literature. Minerva stomatologica 2004.
Suzuki, H.; Moon, W.; Previdente, L.H.; Suzuki, S.S.; Garcez, A.S.; Consolaro, A. Miniscrew-Assisted Rapid Palatal Expander (MARPE): The Quest for Pure Orthopedic Movement. Dental Press J Orthod 2016, 21, 17–23, doi:10.1590/2177-6709.21.4.017-023.oin.
Cirulli, N.; Ballini, A.; Cantore, S.; Farronato, D.; Inchingolo, F.; Dipalma, G.; Gatto, M.; Bonetti, G.A. Mixed dentition space analysis of a southern italian population: new regression equations for unerupted teeth. Journal of biological regulators and homeostatic agents 2015.
Cantarella, D.; Dominguez-Mompell, R.; Mallya, S.M.; Moschik, C.; Pan, H.C.; Miller, J.; Moon, W. Changes in the Midpalatal and Pterygopalatine Sutures Induced by Micro-Implant-Supported Skeletal Expander, Analyzed with a Novel 3D Method Based on CBCT Imaging. Prog Orthod 2017, 18, 34, doi:10.1186/s40510-017-0188-7.
Angelieri, F.; Cevidanes, L.H.S.; Franchi, L.; Gonçalves, J.R.; Benavides, E.; McNamara Jr, J.A. Midpalatal Suture Maturation: Classification Method for Individual Assessment before Rapid Maxillary Expansion. American Journal of Orthodontics and Dentofacial Orthopedics 2013, 144, 759–769, doi:10.1016/j.ajodo.2013.04.022.
Montenegro, V.; Inchingolo, A.D.; Malcangi, G.; Limongelli, L.; Marinelli, G.; Coloccia, G.; Laudadio, C.; Patano, A.; Inchingolo, F.; Bordea, I.R.; et al. Compliance of Children with Removable Functional Appliance with Microchip Integrated during Covid-19 Pandemic: A Systematic Review. J Biol Regul Homeost Agents 2021, 35, 365–377, doi:10.23812/21-2supp1-37.
Cantore, S.; Ballini, A.; Farronato, D.; Malcangi, G.; Dipalma, G.; Assandri, F.; Garagiola, U.; Inchingolo, F.; De Vito, D.; Cirulli, N. Evaluation of an Oral Appliance in Patients with Mild to Moderate Obstructive Sleep Apnea Syndrome Intolerant to Continuous Positive Airway Pressure Use: Preliminary Results. Int J Immunopathol Pharmacol 2016, 29, 267–273, doi:10.1177/0394632015590949.
DI Venere, D.; Corsalini, M.; Nardi, G.M.; Laforgia, A.; Grassi, F.R.; Rapone, B.; Pettini, F. Obstructive Site Localization in Patients with Obstructive Sleep Apnea Syndrome: A Comparison between Otolaryngologic Data and Cephalometric Values. Oral Implantol (Rome) 2017, 10, 295–310, doi:10.11138/orl/2017.10.3.295.
Di Venere, D.; Rapone, B.; Corsalini, M. Dental Trauma in the Anterior Sector: An Analysis of the Predisposing Factors in a Group of Orthodontic Patients. Clin Ter 2020, 171, e481–e485, doi:10.7417/CT.2020.2261.
Cantarella, D.; Savio, G.; Grigolato, L.; Zanata, P.; Berveglieri, C.; Lo Giudice, A.; Isola, G.; Del Fabbro, M.; Moon, W. A New Methodology for the Digital Planning of Micro-Implant-Supported Maxillary Skeletal Expansion. Med Devices (Auckl) 2020, 13, 93–106, doi:10.2147/MDER.S247751.
Inchingolo, A.D.; Patano, A.; Coloccia, G.; Ceci, S.; Inchingolo, A.M.; Marinelli, G.; Malcangi, G.; Montenegro, V.; Laudadio, C.; Pede, C.D.; et al. The Efficacy of a New AMCOP® Elastodontic Protocol for Orthodontic Interceptive Treatment: A Case Series and Literature Overview. International Journal of Environmental Research and Public Health 2022, 19, 988, doi:10.3390/ijerph19020988.
Inchingolo, A.D.; Ceci, S.; Patano, A.; Inchingolo, A.M.; Montenegro, V.; Di Pede, C.; Malcangi, G.; Marinelli, G.; Coloccia, G.; Garibaldi, M.; et al. Elastodontic Therapy of Hyperdivergent Class II Patients Using AMCOP® Devices: A Retrospective Study. Applied Sciences 2022, 12, 3259, doi:10.3390/app12073259.
Cozzani, M.; Sadri, D.; Nucci, L.; Jamilian, P.; Pirhadirad, A.P.; Jamilian, A. The Effect of Alexander, Gianelly, Roth, and MBT Bracket Systems on Anterior Retraction: A 3-Dimensional Finite Element Study. Clin Oral Investig 2020, 24, 1351–1357, doi:10.1007/s00784-019-03016-6.
Ludwig, B.; Glasl, B.; Bowman, S.; Wilmes, B.; Kinzinger, G.; Lisson, J. Anatomical Guidelines for Miniscrew Insertion: Palatal Sites. Journal of clinical orthodontics : JCO 2011, 45, 433–441; quiz 467.
Leung, M.T.-C.; Lee, T.C.-K.; Rabie, A.B.M.; Wong, R.W.-K. Use of Miniscrews and Miniplates in Orthodontics. Journal of Oral and Maxillofacial Surgery 2008, 66, 1461–1466, doi:10.1016/j.joms.2007.12.029.
Malcangi, G.; Inchingolo, A.D.; Patano, A.; Coloccia, G.; Ceci, S.; Garibaldi, M.; Inchingolo, A.M.; Piras, F.; Cardarelli, F.; Settanni, V.; et al. Impacted Central Incisors in the Upper Jaw in an Adolescent Patient: Orthodontic-Surgical Treatment—A Case Report. Applied Sciences 2022, 12, 2657, doi:10.3390/app12052657.
Salmi, M. Additive Manufacturing Processes in Medical Applications. Materials 2021, 14, 191, doi:10.3390/ma14010191.
Wilmes, B.; Vasudavan, S.; Drescher, D. CAD-CAM–Fabricated Mini-Implant Insertion Guides for the Delivery of a Distalization Appliance in a Single Appointment. American Journal of Orthodontics and Dentofacial Orthopedics 2019, 156, 148–156, doi:10.1016/j.ajodo.2018.12.017.
Maspero, C.; Cappella, A.; Dolci, C.; Cagetti, M.G.; Inchingolo, F.; Sforza, C. Is Orthodontic Treatment with Microperforations Worth It? A Scoping Review. Children 2022, 9, 208, doi:10.3390/children9020208.
Maspero, C.; Abate, A.; Inchingolo, F.; Dolci, C.; Cagetti, M.G.; Tartaglia, G.M. Incidental Finding in Pre-Orthodontic Treatment Radiographs of an Aural Foreign Body: A Case Report. Children 2022, 9, 421, doi:10.3390/children9030421.
Elastodontic Therapy Philosophy - Elastodontic Therapy Available online: https://www.elastodontictherapy.com/elastodontic-therapy-philosophy-it.html?showall=1&start=0 (accessed on 26 March 2022).
L'articolo è stato pubblicato su CAD/CAM international magazine of digital dentistry 1/22 Italian Edition.
Nota editoriale:
Hanno contribuito alla realizzazione dell’articolo:
Irene Ferrara, Fabio Viapiano, Anna Maria Ciocia, Daniela Azzollini, Giuseppina Malcangi, Sabino Ceci, Assunta Patano, Giulia Latini, Anna Netti, Chiara Di Pede, Giulia Palmieri, Fabio Piras, Carmela Pezzolla, Elisabetta de Ruvo, Denisa Hazballa, Angelo Michele Inchingolo, Gianna Dipalma, Alessio Danilo Inchingolo, Alexandra Semjonova, Biagio Rapone, Massimo Corsalini, Daniela Di Venere, Ludovica Nucci, Francesco Inchingolo.
Le perimplantiti e la loro gestione, come dimostrato dai più recenti lavori pubblicati in letteratura e dalle relative revisioni, si configurano come...
L’approccio al paziente adulto è sempre di difficile gestione e pianificazione. A volte per poter risolvere gravi affollamenti si ritiene necessario ...
Trials clinici hanno dimostrato che il fallimento implantare non è ascrivibile solamente a un sovraccarico funzionale. Nella maggior parte dei casi ...
La Black Stain è un tipo di decolorazione estrinseca del dente che può essere diagnosticata dal clinico riscontrando linee pigmentate parallele al margine...
CHICAGO, USA: Un semplice test della saliva potrebbe aiutare nella diagnosi delle patologie a carico dei reni, con particolare riguardo alla situazione nei ...
Occuparsi di salute orale significa rispondere ai bisogni della persona assistita e stimolare la recettività all’approccio motivazionale sui corretti ...
La ricerca del sorriso estetico ha portato tutte le branche della medicina odontoiatrica a cercare delle soluzioni terapeutiche che coniughino la conoscenza...
La ricerca del sorriso estetico ha portato tutte le branche della medicina odontoiatrica a cercare delle soluzioni terapeutiche che coniughino la conoscenza...
Brescia. La perimplantite è una delle patologie odontoiatriche più frequenti che dentisti e igienisti devono affrontare. Una revisione sistematica della ...
Ginevra: i team odontoiatrici sono in prima linea nell’affrontare il consumo di tabacco; tuttavia, fornire ai pazienti indicazioni per smettere di fumare ...
Dalla prima fotografia integrata dell’Odontoiatria Corporativa in EMEA al caso italiano:
perché osservare oggi le DSO significa capire dove sta andando ...
L’odontoiatria richiede precisione clinica, spesso entro tempi ristretti e sotto la pressione di soddisfare le aspettative dei pazienti, ma una pratica ...
To post a reply please login or register