Dalla metà degli anni Novanta fino ai giorni nostri, l’evoluzione dei materiali e delle tecniche adesive hanno notevolmente modificato l’approccio restaurativo dei settori posteriori con importanti cambiamenti nel piano di trattamento1.
Prima dell’introduzione dell’adesione si potevano sostanzialmente usare solo tre materiali: gli amalgami per i restauri diretti, le leghe più o meno nobili e la ceramica feldspatica per la ricopertura delle leghe2. La necessità di eseguire restauri in composito nei settori posteriori non è solo di natura estetica, ma è soprattutto legata al principio di bioeconomia e alla capacità di rinforzo della struttura dentale residua1, 2. Con l’avvento dei moderni compositi si è passati a stratificare i materiali apponendo spessori predeterminati di dentina e smalto al fine di ottenere l’integrazione biomimetica del restauro, in modo da scegliere il materiale più adatto in termini funzionali ed estetici senza ricorrere a compromessi. I denti, poi, non sono immobili nel cavo orale poiché modificano la loro posizione, non solo a causa dei cambiamenti occlusali, ma anche in base agli equilibri posturali, e quindi, alle differenti tensioni fasciali che agiscono a livello craniale se queste hanno tempo di operare in un tempo clinicamente rilevabile2. Lo smalto, essendo il più duro dell’organismo2, 3, è allo stesso tempo usurabile: questa caratteristica permette al paziente di trovare sempre nuovi equilibri occlusali poiché i rapporti di intercuspidazione possono mutare nel tempo.
Recentemente è stato sviluppato il composito Enamel Plus Hri Bio Function (Micerium, Avegno, Italy) che, oltre a non contenere BisGMA nella matrice organica, è caricato con silicato di bario, un riempitivo vetroso ultrafine (0,3 μm) e con nano-particelle di silice piogenica di dimensioni da 5 a 50 nm e una dimensione media di 40 nm. La silice pirogenica ha la caratteristica di formare agglomerati di dimensioni superiori al nano, mentre le particelle non agglomerate sono inglobate in blocchetti di dimensioni superiori al nano di resina pre-polimerizzata tritata e reinserita nella matrice del composito. La formula arricchita con riempitivo vetroso di silicato di bario ultrasottile consente una lucidabilità ottimale e durevole nel tempo2. Le dimensioni degli agglomerati superano i 30 nm e quindi non sono in grado di oltrepassare la membrana nucleare delle cellule2. Questi aspetti distintivi caratterizzano Enamel Plus Hri Bio Function in una nuova classe di materiali definibili “compositi micro-ibridi nano-aggregati” sviluppati e prodotti con lo specifico intento di rispettare il cavo orale, il sistema neuromuscolare e, quindi, l’organismo umano in generale2. I dati presenti in letteratura2 dimostrano che i valori di profondità di usura e perdita volumetrica di Enamel Plus Hri Bio Function sono sovrapponibili a quelli dello smalto naturale dimostrando l’estrema affidabilità nel tempo di questo composito di ultima generazione anche in riabilitazioni estese. Scopo del presente articolo è, attraverso la riabilitazione diretta ed indiretta, la presentazione del nuovo materiale composito di recente introduzione.
_Case report
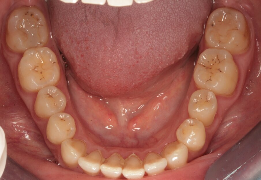
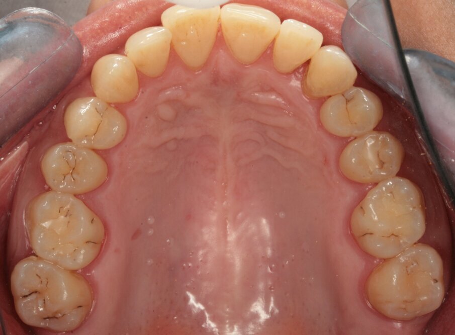
La paziente, FF di anni 38, è giunta alla mia osservazione per la cura delle lesioni cariose presenti. All’esame obiettivo non erano evidenti lesioni cariose di notevole entità (Figg. 1, 2): solo attraverso le bite-wing (Figg. 3, 4), mezzo indispensabile per la diagnosi odontoiatrica in conservativa, si evince la presenza di numerose lesioni cariose coinvolgenti il tessuto dentinale. La paziente richiedeva il raggiungimento di un risultato estetico ottimale, ovvero la mimetizzazione del materiale composito con il tessuto smalteo; oltre a questa esigenza si doveva unire quella di effettuare una riabilitazione funzionale ovvero, trattandosi del settore posteriore, che sopportasse il carico masticatorio garantendo la minima usura possibile nel tempo. Alla paziente è stato proposto un piano di trattamento che prevedeva la cura diretta delle lesioni cariose suddivise per quadranti e la riabilitazione indiretta dell’elemento 47 in modo da permettere la migliore precisione marginale garantendo un ottimo follow-up a lungo termine. Si è proceduto con la riabilitazione mediante il composito di recente introduzione Enamel Plus HRi Bio Function (Micerium, Avegno, Genova). Bio Function è disponibile in 3 smalti: BF1 basso valore - BF2 medio valore - BF3 alto valore e in 9 dentine: BD0 - BD0,5 (per restauri di denti particolarmente bianchi o sbiancati) BD1 (A1 Scala Vita) - BD2 (A2 Scala Vita) - BD3 (A3 Scala Vita) - BD3,5 (A3,5 Scala Vita) - BD4 (A4 Scala Vita) BD5 - BD6.
_Settore 1
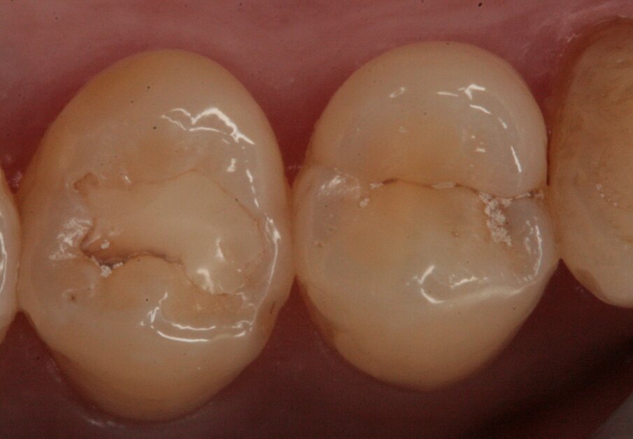
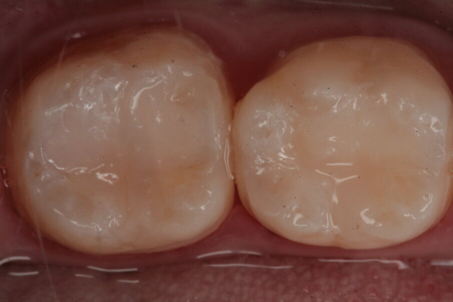
Gli elementi da trattare erano il 17, 16, 15 e 14 (Figg. 5, 6). Previo isolamento sotto diga (Fig. 7) si è proceduto alla cura dei suddetti elementi in un’unica seduta (Figg. 7-13). La lesione cariosa interessava anche la dentina sottostante perciò sono stati fatti piccoli incrementi di materiale al fine di consentire una stratificazione che garantisse un risultato estetico e funzionale.
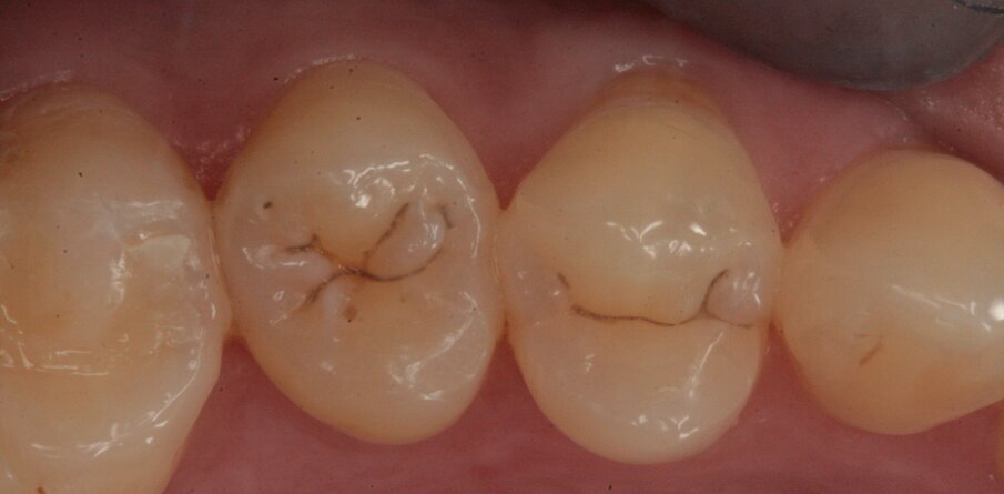
_Settore 2
Gli elementi da trattare erano il 27, 26, 25 e 24 (Figg. 12-14); esattamente come per il settore 1, alcune lesioni cariose si approfondivano in dentina mentre altre (24, 25) rimanevano confinate allo smalto permettendo cosi una cura precoce della patologia e l’esecuzione di un’odontoiatria minimamente invasiva per preservare al meglio il tessuto smalteo (Figg. 13-18).
_Settore 3
Gli elementi da trattare, 36 e 37, all’esame obiettivo presentano leggeri solchi intaccati dal processo carioso (Figg. 19, 20); clinicamente la dentina viene interessata perciò si procede al restauro mediante due masse, una dentinale e una smaltea (Figg. 21, 22).
_Settore 4
Si è proceduto alla ricostruzione diretta degli elementi 46, 45 e 44 mediante una massa di smalto e una di dentina (Figg. 23-27). L’elemento 47 è stato riabilitato mediante una ricostruzione indiretta in quanto il tessuto dentinale sano residuo era esiguo passando attraverso un build-up pre-protesico per esporre i margini sui quali alloggiare il manufatto (Fig. 28). Il restauro è stato realizzato in resina composita in quanto gli studi longitudinali dimostrano un ottimo follow-up a lungo termine (Fig. 29). La cementazione è avvenuta sempre con isolamento del campo operatorio facendo uso di un cemento duale (Fig. 30).
Fig.1_Visione occlusale dell’arcata superiore.
Fig. 2_Visione occlusale dell’arcata inferiore.
Fig. 3_Bite-wing di destra.
Fig. 4_Bite-wing di sinistra.
Fig. 5_Visione occlusale di 16 e 17.
Fig. 6_Isolamento del campo operatorio.
Fig. 7_Preparazione delle cavità di 16 e 17.
Fig. 8_Restauri ultimati.
Fig. 9_Elementi 14 e 15 interessati da lesione cariosa.
Fig. 10_Isolamento del campo operatorio e preparazione della cavità.
Fig. 11_Restauri effettuati.
Fig. 12_Restauri ultimati.
Fig. 13_Restauro presente sul 25.
Fig. 14_Isolamento sotto diga di gomma del settore 2.
Figg. 15, 16_Preparazione delle cavità.
Figg. 15, 16_Preparazione delle cavità.
Figg. 17, 18_Restauri delle cavità.
Figg. 17, 18_Restauri delle cavità.
Fig. 19_Restauro presente nell’elemento 37 e solchi interessati dal processo carioso dell’elemento 36.
Fig. 20_Isolamento del campo operatorio.
Fig. 22_Visione finale del restauro.
Fig. 23_Visione occlusale di 46 e 47.
Fig. 24_Isolamento del campo operatorio.
Fig. 25_Isolamento di 45 e 44.
Fig. 26_Preparazione della cavità.
Fig. 27_Restauro effettuato.
Fig. 29_Intarsio realizzato.
Fig. 30_Cementazione manufatto.
Il composito Enamel Plus Hri Bio Function
_Discussioni
La necessità di eseguire restauri in composito nei settori posteriori non è solo di natura estetica, ma è soprattutto legata al principio di bioeconomia e alla capacità di rinforzo della struttura dentale residua1, sia in caso di tecniche dirette che indirette1-10. In caso di lesioni cariose interprossimali sub gengivali con ampia perdita di tessuto carioso (e quindi con necessità di ricopertura cuspidale) il trattamento d’elezione è una riabilitazione indiretta: il trattamento foto-termico a cui viene sottoposto il manufatto migliora il grado di conversione e, di conseguenza, le proprietà fisico-meccaniche del restauro (resistenza all’usura, stabilità dimensionale, microinfiltrazione), la possibilità di modellazioni anatomiche ideali e riabilitazioni occlusali verificate in articolatore3-10. Il risultato di questi miglioramenti è una longevità dei restauri davvero soddisfacente a lungo termine9, 10.
_Conclusioni
L’evoluzione negli anni dei compositi e delle loro caratteristiche fisiche rende possibile l’utilizzo di materiali compositi con un follow-up a lungo termine entusiasmante sia per tecniche dirette che indirette. Enamel Plus HRi Bio Function è un rivoluzionario composito per i settori posteriori biocompatibile che garantisce una perfetta integrazione in armonia con il corpo umano rispettando i requisiti di estetica, funzione e mantenimento dell’armonia occlusale. Questo materiale è privo di Bis-GMA, contiene nano particelle aggregate che non possono attraversare la membrana cellulare, con abrasione vicina a quello dello smalto naturale e caratteristiche meccaniche e funzionali identiche a quelle dell’oro. Queste caratteristiche uniche lo rendono un materiale d’elezione per i settori posteriori sia con tecnica diretta che indiretta consentendo di ripristinare la funzione e mantenere l’equilibrio occlusale nel tempo. Le sue indicazioni nell’utilizzo, sono, pertanto:
- Tecnica diretta: Classi I (tutte le cavità), Classi II (cavità piccole, medie), Classi III (tutte le cavità), Classi IV (tutte le cavità), Classi V (tutte le cavità), ricoperture vestibolari parziali e/o totali, correzioni cosmetiche, ricostruzioni complesse
- Tecnica indiretta: Inlays Classi I (tutte le cavità), Inlays Classi II (tutte le cavità), Inlays Classi IV (tutte le cavità), Onlays, cementazione di restauri traslucenti in composito e ceramica (spessore <2 mm), stratificazione finale di ricostruzioni su impianti e protesi dentali combinate, riabilitazioni/correzioni e personalizzazioni di denti acrilici o protesi temporanee, faccette, ricostruzioni monconi protesici.
_bibliografia
- Negri, M. Raponi, A. Guida, G. Lupoli, S. Eramo. Microinfiltrazione di intarsi in composito. Studio sperimentale. Dental Cadmos 2004 (1):21-35.
- Vanini, C. D’Arcangelo. Estetica Funzione Postura ACME.
- Chun K., Choi H., Lee J.. Comparison of mechanical property and role between enamel and dentin in the human teeth. J Dent Biomech. 2014 Feb 6;5.
- Tanner J., Tolvanen M., Garoushi S., Säilynoja E.. Clinical evaluation of fiber-reinforced composite restorations in posterior teeth - results of 2.5 year follow-up. Open Dent J. 2018 Jun 29;12:476-485.
- Montag R., Dietz W., Nietzsche S., Lang T., Weich K., Sigusch BW., Gaengler P.. Clinical and micromorphologic 29-year results of posterior composite restorations. J Dent Res. 2018 Aug 1:22034518788798.
- Alvanforoush N., Palamara J., Wong RH., Burrow MF.. Comparison between published clinical success of direct resin composite restorations in vital posterior teeth in 1995-2005 and 2006-2016 periods. Aust Dent J. 2017 Jun;62(2):132-145.
- Beck F., Lettner S., Graf A., Bitriol B., Dumitrescu N., Bauer P., Moritz A., Schedle A.. Survival of direct resin restorations in posterior teeth within a 19-year period (1996-2015): A meta-analysis of prospective studies. Dent Mater. 2015 Aug;31(8):958-85.
- van Dijken JW.. Direct resin composite inlay/onlays: an 11 year follow up. J Dent 2000 jul; 28(5): 299-306.
- Pallesen U., Qvist V.. Composite resin fillings and inlays. An 11-year evaluation. Clin Oral Investing 2003 jun; 7(2):71-79, Epub 2003 may 10.
- Opdam NJ., Bronkhorst EM., Roeters JM., Loomans BA.. A retrospective clinical study on longevity of posterior composite and amalgam restorations. Dent Mater 2007 jan; 23(1):2-8. Epub 2006 jan 18.
L'articolo è stato pubblicato su Cosmetic Dentistry Italian Edition, dicembre 2018.
Tag:
Micerium da sempre all’avanguardia nel campo della conservativa estetica, presenta la sua nuova linea di prodotti per restauri biocompatibili che ...
L’estetica riveste sempre più una connotazione di armonia ed equilibrio globale, certamente definiti da canoni condivisi e storicamente evolutisi, ma ...
L’occlusione, l’estetica e l’odontoiatria minimamente invasiva sono i principali argomenti di discussione della moderna odontoiatria.
Caso clinico 1: Caso clinico realizzato con ausilio di matrici monouso Pro-Matrix (misura verde) e composito Enamel Plus HRi dentina UD2 e smalto UE2 ...
Caso clinico 1: Caso clinico realizzato con ausilio di matrici monouso Pro-Matrix (misura verde) e composito Enamel Plus HRi dentina UD2 e smalto UE2 ...
Introduzione
Ogniqualvolta dobbiamo affrontare un caso clinico le nostre scelte procedurali devono sempre basarsi su un’attenta diagnosi. Il termine ...
Potrebbe sembrare plastilina per bambini, invece è un nuovo bio-materiale che contiene microsfere cariche di proteine in grado di stimolare la ...
Un team di ricercatori svizzeri presenta i propri risultati e alcune sorprendenti immagini al microscopio a scansione elettronica. Le caratteristiche della ...
Anche nel 2025 la Sergio Noviello Academy – fondata dal Prof. Sergio Noviello, Medico e Chirurgo Estetico di Milano – sarà presente a Expodental, ...
Oggi siamo al limite di una rivoluzione digitale in odontoiatria. La digitalizzazione offrirà nuovi mezzi per il trattamento dei nostri pazienti. ...
Live webinar
gio. 30 aprile 2026
1:00 (CET) Rome
Dr. Renato Leonardo D.M.D.
Live webinar
gio. 30 aprile 2026
19:00 (CET) Rome
Live webinar
dom. 3 maggio 2026
18:00 (CET) Rome
Dr. Rickard Brånemark MSc, MD, PhD, Dr. Robert Gottlander DDS
Live webinar
lun. 4 maggio 2026
2:00 (CET) Rome
Live webinar
mar. 5 maggio 2026
16:00 (CET) Rome
Live webinar
mar. 5 maggio 2026
18:00 (CET) Rome
Live webinar
mar. 5 maggio 2026
19:00 (CET) Rome
Dr. Maximilian Dobbertin M.Sc
To post a reply please login or register