L’utilizzo degli impianti zigomatici per il trattamento delle gravi atrofie del mascellare ha visto negli ultimi anni una sensibile diffusione. Le pubblicazioni scientifiche inerenti il soggetto “impianti zigomatici” sono passate sul portale Pubmed nel decennio 1980/90 da 27, a 401 nel decennio 2010/2020 e negli ultimi 3 anni si contano già 220 pubblicazioni sull’argomento.
L’argomento è d’attualità e certamente costituisce per il paziente un’opportunità di riabilitazione immediata, con buoni esiti sia funzionali che estetici, se affrontata con le necessarie competenze e soprattutto valutando in modo completo ed esaustivo il candidato a questo tipo d’intervento, senz’altro complesso. Il Dottor Cesare Paoleschi ha maturato un’ampia esperienza di 10 anni in chirurgia zigomatica, iniziata con anni di percorsi di formazione internazionale presso cliniche di maestri quali Paul Malo a Lisbona, prof. Miglioranza a San Paolo in Brasile e all’Istituto Davò in Spagna, nonché partecipando al Master di II livello in Implantologia Zigomatica all’Università di Pisa. La teoria, affiancata alla pratica gli hanno consentito di mettere a punto un Protocollo operativo - il Protocollo ZAPA Zygomatic Anatomical Prosthetic Approach - che risulta di grande supporto per quei clinici che desiderano approcciare questo tipo di chirurgia complessa.
Descrizione
Il protocollo percorre i seguenti step operativi:
- attenta valutazione anamnestica del paziente, eventuali trattamenti di sinusite in atto, fino a sua completa guarigione;
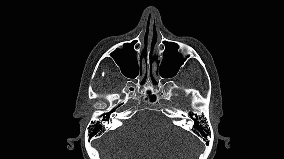
- pianificazione chirurgica della riabilitazione con valutazioni anatomiche, TC Cone-Beam, stereolitografia (SLA), funzionale al progetto protesico;
- progettazione protesica, produzione della dima chirurgica e della protesi provvisoria;
- chirurgia con inserimento degli impianti zigomatici e immediata consegna della protesi provvisoria, o al più tardi entro le successive 72 ore.
La chirurgia zigomatica è in un certo senso una chirurgia estrema per l’odontoiatra, ma previa approfondita conoscenza del distretto anatomico e adeguata formazione in chirurgia complessa, può soddisfare le esigenze dei pazienti con gravi atrofie del mascellare. Essa costituisce l’ultima opportunità riabilitativa in caso di gravi atrofie del mascellare, e deve essere presa in considerazione esclusivamente quando non esistano altre possibilità.
In selezionati casi, essa può offrire al paziente l’opportunità di riabilitazioni immediate, senza passare da più lunghi trattamenti di rigenerazione ossea o innesti. Il Protocollo ZAPA Zygomatic Anatomical Prosthetic Approach, ha come obiettivo la riabilitazione protesica immediata, sia funzionale che estetica, sulla base di una precisa progettazione. Per questo bisogna ritenere che la chirurgia zigomatica sia una sfera di competenza odontoiatrica.
Case report
È presentata una riabilitazione con 4 impianti zigomatici (QUAD) in paziente con grave atrofia del mascellare. In questo caso la protesi con carico funzionale è stata consegnata alla paziente dopo 72 ore. Nelle immagini 1-4 viene mostrata la stereolitografia e la TC della paziente, mentre nelle immagini 5-7 viene mostrata la situazione iniziale e finale della paziente.
È stato applicato il protocollo ZAPA Zygomatic Anatomical Prosthetic Approach che definisce una successione di sequenze operative, convalidate da oltre 10 anni di chirurgia zigomatica, muovendo da un approccio protesico della riabilitazione:
- inserimento, affossamento e orientamento dell’impianto in funzione del progetto protesico (Figg. 8, 9);
- misurazione dell’altezza e angolazione del moncone con apposito strumento (Fig. 9);
- inserimento dei monconi protesici nei 4 impianti collocati – 2 standard e 2 zigomatici – e controllo della loro congruità mediante mascherina chirurgica (Figg. 10, 11).
- panoramica di controllo postoperatorio (Fig. 12);
- protesi pronta per la consegna, dove l’uscita protesica degli impianti zigomatici è perfettamente inserita al centro dell’elemento dentario e non differisce dall’uscita degli impianti standard (Figg. 13, 14).
Tag:
Anche per quanto riguarda l’implantologia zigomatica si può parlare di “tecnica minimamente invasiva”. Infatti, uno studio attuale ...
Gli impianti zigomatici rappresentano una valida alternativa alla chirurgia rigenerativa delle gravi atrofie mascellari. Con una corretta indicazione ...
Il fallimento di impianti classici o delle tecniche rigenerative oltre che i gravi casi di atrofia del mascellare, possono oggi essere recuperati attraverso...
La chirurgia ricostruttiva preimplantare non può essere praticata in tutti i pazienti a causa di possibili controindicazioni locali e/o sistemiche. ...
Dental Tribune intervista il dott. Gian Battista Greco e il prof. Danilo Alessio Di Stefano, su un caso clinico complesso, risolto con una soluzione di ...
Da qualche tempo l’industria implantare propone corsi, tenuti da chirurghi maxillo facciali, di grande esperienza volti all’addestramento di odontoiatri...
Nel trattamento endodontico classico, un sistema compatto di file in nichel-titanio (NiTi) è spesso sufficiente per ottenere risultati riproducibili nella ...
Negli ultimi anni sempre più autori si sono interessati all’utilizzo degli impianti corti, cioè di impianti di lunghezza pari o ...
Negli ultimi anni sempre più autori si sono interessati all’utilizzo degli impianti corti, cioè di impianti di lunghezza pari o ...
Una delle problematiche cliniche più difficoltose da affrontare è l’atrofia della mandibola posteriore in quanto, in seguito alla ...
Ubigel Inperio è un gel adesivo rigenerante, a utilizzo professionale in ambito odontoiatrico, indicato come coadiuvante nel trattamento di gengivite e/o ...
Live webinar
mer. 22 aprile 2026
17:00 (CET) Rome
MDT Andreas Chatzimpatzakis
Live webinar
mer. 22 aprile 2026
17:00 (CET) Rome
Live webinar
mer. 22 aprile 2026
18:00 (CET) Rome
Live webinar
gio. 23 aprile 2026
17:00 (CET) Rome
Live webinar
gio. 23 aprile 2026
18:30 (CET) Rome
Live webinar
gio. 23 aprile 2026
19:00 (CET) Rome
Live webinar
gio. 30 aprile 2026
1:00 (CET) Rome
Dr. Renato Leonardo D.M.D.
To post a reply please login or register