L’edentulia totale è una patologia ancora molto diffusa nel mondo. Nonostante i progressi nella prevenzione delle patologie cariose e parodontali, l’obiettivo dell’Organizzazione Mondiale della Sanità di ottenere la permanenza di almeno venti denti nei soggetti di 80 anni è lontano dall’essere raggiunto. A causa dell’innalzamento dell’età media della popolazione, il numero di arcate edentule, anche nei paesi più sviluppati come gli Stati Uniti è ancora in aumento. La riabilitazione dei pazienti totalmente edentuli (o in dentatura terminale) è predicibile ma non esiste un “trattamento ideale” dell’edentulia totale anche perché le valutazioni che vanno eseguite sono molteplici: dovrebbero essere valutati fattori relativi al paziente, fattori intra-orali e fattori extra-orali. Questa analisi orienterà il clinico alla scelta del tipo di protesi più opportuna per il trattamento di questa categoria di pazienti (protesi totale rimovibile o overdenture, protesi fissa su impianti di tipo ibrido o protesi fissa crown-design).
Descrizione
Il caso descritto in questo articolo è quello di una paziente di 52 anni che è stata riferita al nostro studio con la richiesta di riabilitazione oro-facciale. La paziente lamentava l’assoluta impossibilità di stabilizzare la protesi rimovibile superiore e notevole dolenzia e mobilità a carico degli elementi residui dell’arcata inferiore. Chiedeva inoltre la risoluzione estetica del caso in quanto da sempre insoddisfatta del suo aspetto. La sua condizione attuale le procurava notevoli disagi nella relazione con le persone a lei vicine.
Materiali e metodi
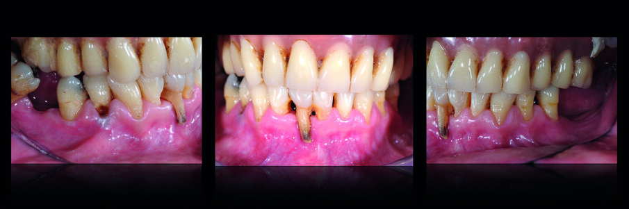
L’esame radiografico mostrava la persistenza di due impianti nel mascellare superiore (Fig. 1) uno dei quali pescava nella cavità nasale. Si osservava inoltre una lesione cistica in regione 4.1-4.2. Il trattamento dell’edentulia totale non può prescindere da una accurata analisi estetica che si concretizzerà in un’analisi Facciale, Dento-Labiale, Fonetica e Dentale. La paziente non mostrava esposizione dentale a riposo e presentava una linea del sorriso inversa (concava e non parallela al labbro inferiore) (Fig. 2). L’analisi del profilo della paziente confermava la necessità di fornire un adeguato supporto dei tessuti peri-orali nel mascellare superiore (Fig. 3). L’esame intra-orale permetteva di apprezzare l’insufficienza dell’estensione della protesi superiore, e la compromissione degli elementi dell’arcata inferiore. All’esame clinico i due impianti mostravano perdita dell’integrazione. (Figg. 4, 5).
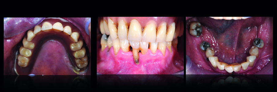
Dopo la loro rimozione e aspettato il periodo di guarigione, sono state rilevate le impronte iniziali e, dopo aver costruito un porta-impronte ed il suo successivo bordaggio funzionale, è stata rilevata l’impronta di precisione del mascellare superiore. Sul modello master, è stato realizzato un vallo in cera che ha permesso la registrazione dei rapporti inter-mascellari e il montaggio dei modelli in articolatore tramite arco facciale. Sono state così realizzate una protesi rimovibile provvisoria superiore e una protesi fissa inferiore. In una seduta successiva sono stati estratti gli elementi inferiori non recuperabili e la protesi fissa inferiore è stata ribasata e stabilizzata sui pilastri residui (Fig. 6). Sono stati successivamente valutati i parametri funzionali ed estetici comparandoli con la situazione iniziale (Fig. 7), osservando il miglioramento della qualità del supporto dei tessuti periorali (Fig. 8). La fase successiva ha previsto la terapia implantare: previa adeguata ceratura è stata realizzata una guida chirurgica che ha permesso il posizionamento ideale degli impianti dentali nell’arcata inferiore (Fig. 9).
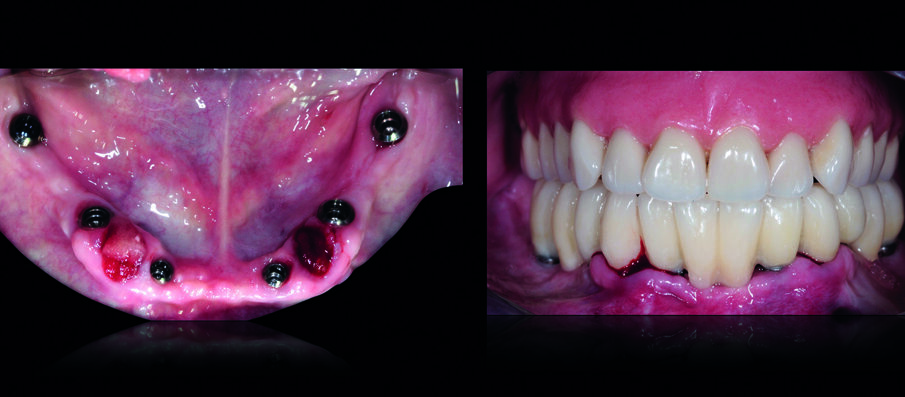
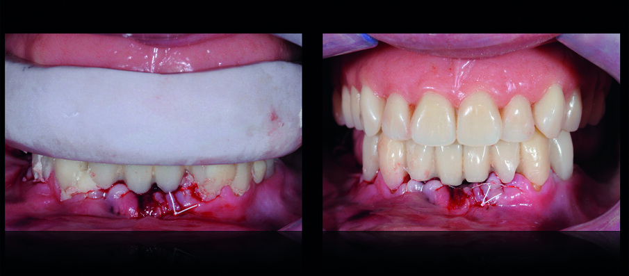
Dopo la loro osteo-integrazione, gli impianti sono stati improntati e, dopo aver registrato la posizione di relazione centrica alla dimensione verticale già testata, è stata verificata la loro posizione utilizzando una placca in resina che ha permesso anche di confermare l’adeguatezza della dimensione verticale di occlusione. Gli ultimi due denti residui sono stati estratti ed è stata consegnata alla paziente una protesi provvisoria fissa inferiore, avvitata sugli impianti (Fig. 10). Nei 30 giorni successivi sono stati valutati funzione, occlusione, fonetica ed estetica e sono state trasferite tutte le informazioni delle protesi provvisorie in quelle definitive. La protesi superiore è stata duplicata e tale replica è stata utilizzata per eseguire l’impronta di precisione del mascellare edentulo (Fig. 11).
I nuovi modelli master sono stati montati in articolatore in accordo alle procedure di cross-mounting al fine di replicare dimensione verticale, rapporti sagittali tra mascella e mandibola, contatti occlusali, ingombro delle protesi e parametri estetici (Figg. 12, 13). La struttura della protesi inferiore è stata progettata al CAD ed è stata realizzata al CAM fresando un blocco in cromo-cobalto che è stata poi ceramizzata (Figg. 14-16).
La personalizzazione della protesi superiore ha previsto l’utilizzo di denti in disilicato di litio per la sua realizzazione: questo accorgimento ha permesso una durevole stabilità occlusale in assenza di usura degli elementi dentali artificiali della protesi rimovibile (Figg. 17-19).
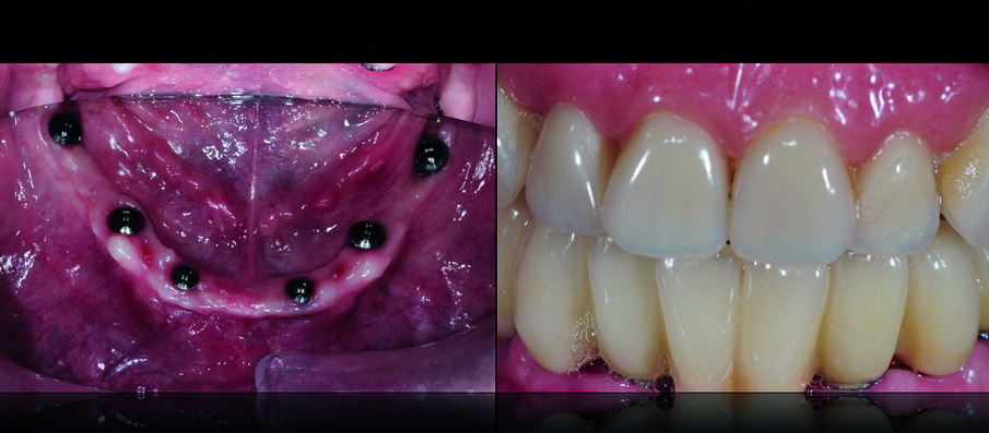
La finalizzazione della riabilitazione ha perciò previsto due soluzioni protesiche completamente differenti tra loro: una protesi fissa inferiore avvitata su sei impianti (in metallo-ceramica) ed una protesi rimovibile superiore con denti personalizzati in ceramica presso-fusa) (Figg. 20, 21).
Tali soluzioni hanno permesso di ottenere tutti gli obiettivi prefissati con grande soddisfazione della paziente: ottima funzione in associazione ad una eccellente estetica (Figg. 22, 23).
_Conclusioni
L’approccio moderno alla riabilitazione dei pazienti edentuli deve considerare tutti i parametri estetici e funzionali al fine di ottenere i risultati auspicati. L’utilizzo dei nuovi materiali e delle nuove tecnologie permette una predicibile e affidabile soluzione anche dei casi più complessi.
Ringraziamenti
Si ringraziano gli Odontotecnici Pasquale Lacasella, Francesco Grieco e Dino Gallo del Laboratorio Apulia Digital Lab per il loro supporto. Si ringrazia il dr. Raffaele Cavalcanti per le fondamentali fasi chirurgiche.
Bibliografia
• Zitzmann NU, Marinello CP. Treatment plan for restoring the edentulous maxilla with implant-supported, restorations: Removable overdenture versus fixed partial denture design, J Prosthet Dent. 1999 Aug;82(2):188-96.
• Mericske-Stern RD, Taylor TD, Belser U. Management of the edentulous patient. Clin Oral Implants Res. 2000;11 Suppl 1:108-25.
• Sadowsky SJ. Treatment considerations for maxillary implant overdentures: a systematic review. J Prosthet Dent. 2007 Jun;97(6):340-8. Prosthetic complications in mandibular metal-resin implant-fixed complete dental prostheses: a 5- to 9-year analysis. Purcell BA, McGlumphy EA, Holloway JA, Beck FM. Int J Oral Maxillofac Implants. 2008 Sep-Oct;23(5):847-57.
• The McGill consensus statement on overdentures. Quintessence Int. 2003 Jan;34:78-9.
• Emami E, Heydecke G, Rompre PH, de Grandmont P, Feine JS. The impact of implant-support for mandibular dentures on satisfaction, oral and general health-related quality of life: a meta-analysis of randomized-controlled trials. Clin. Oral Impl. Res. 20, 2009; 533–544.
• Venezia P, Torsello F, Cavalcanti R, D’Amato S. Retrospective analysis of 26 complete-arch implant-supported monolithic zirconia prostheses with feldspathic porcelain veneering limited to the facial surface. J Prosthet Dent. 2015 Oct;114(4):506-12.
L'articolo è stato pubblicato su Cosmetic Dentistry Italian Edition n. 2 maggio 2018.
Tag:
Il dott. Gregorio Tortora condivide la sua esperienza clinica nella gestione delle patologie parodontali, soffermandosi in particolare sulle recessioni ...
Case report di un paziente diabetico.
La possibilità di riabilitare una arcata totalmente edentula mediante l’inserimento di impianti osteointegrati e il posizionamento di una ...
La possibilità di riabilitare una arcata totalmente edentula mediante l’inserimento di impianti osteointegrati e il posizionamento di una ...
Questo caso clinico ha richiesto un inserimento ottimale di impianti sulla base di un piano di trattamento protesicamente guidato e di chirurgia guidata. ...
I mini impianti sono una valida alternativa agli impianti tradizionali per stabilizzare le riabilitazioni di arcate edentule.
Le aspettative del paziente edentulo si sono proiettate nel passare degli anni verso riabilitazioni sempre più rapide ed efficaci. La costruzione di ...
L’evoluzione dell’odontoiatria contemporanea richiede una visione sempre più integrata tra funzione, estetica e benessere dei tessuti del volto. In ...
Sempre più frequentemente le richieste dei nostri pazienti mirano ad ottenere delle riabilitazioni che soddisfino parimenti l’aspetto funzionale e quello...
Sempre più spesso in convegni e simposi si discute del rapporto tra pubblicità e attività sanitaria. Al di là delle opinioni personali – pro o contro ...
Live webinar
gio. 7 maggio 2026
2:00 (CET) Rome
Ms. Ellen Karlin, Dr. Sara Karlin
Live webinar
gio. 7 maggio 2026
17:00 (CET) Rome
Live webinar
gio. 7 maggio 2026
18:00 (CET) Rome
Live webinar
gio. 7 maggio 2026
18:00 (CET) Rome
Dra. Maria Carolina Erhardt, Dra. Thais Tomé Feldens
Live webinar
gio. 7 maggio 2026
20:30 (CET) Rome
Live webinar
lun. 11 maggio 2026
18:00 (CET) Rome
Live webinar
lun. 11 maggio 2026
19:00 (CET) Rome
To post a reply please login or register