Search Dental Tribune

Il DGER rigenera la mucosa cheratinizzata perimplantare in modo prevedibile nella ricostruzione mascellare. Intervista al Dott. Vinay Kumar

Dental Tribune India

Dental Tribune India

mar. 19 luglio 2022

salvare

Il dott. Vinay Kumar è un chirurgo maxillofacciale e orale con una lunga collaborazione con ITI come studioso e ricercatore. Un rinomato clinico, educatore e ricercatore che co-dirige uno studio privato chiamato Oral Rehabilitation Center nel centro di Bangalore dedicato all’odontoiatria implantare e alla chirurgia orale. È consulente presso lo Sri Shankara Cancer Hospital and Research Center di Bangalore, specializzato in disturbi maxillo-facciali refrattari, ricostruzione maxillo-facciale e riabilitazione dentale. In questo articolo viene intervistato da un altro studioso ITI e ricercatore clinico, il dott. Shantanu Jambhekar (MDS, Prosthodontics). Nell’intervista ci sono anche le domande degli ospiti di due rinomati implantologi: i dott.i Udatta Kher e Narayan Venkataraman.

Shantanu Jambhekar: buongiorno dott. Vinay, lei ha una lunga lista di titoli e diplomi legati al suo nome e deve aver avuto un percorso affascinante come chirurgo maxillo-facciale. Può raccontarci qualcosa a riguardo?

Grazie Shantanu. Originario del Kerala e laureato a Bangalore nel 1998, il mio percorso come chirurgo maxillo-facciale è iniziato presso il Nair Hospital Dental College di Mumbai nel 2005. L’esposizione clinica e gli spostamenti nei vari dipartimenti del Nair Hospital e la preparazione della mia tesi clinica presso il KEM Hospital mi hanno fornito una solida base di competenze cliniche. Fin dai miei giorni di formazione ero interessato all’innovazione chirurgica, alla ricerca accademica, alla documentazione meticolosa e al follow up dei pazienti. Passerei molto tempo a discutere del trattamento di casi rari con i miei genitori, gli insegnanti e i professori delle diverse specialità.

Dopo il mio master sono entrato a far parte del personale docente della scuola odontoiatrica e ho prestato servizio come consulente in ospedali multispecialistici. Ho trascorso la mia giornata lavorativa e il mio tempo libero scrivendo articoli scientifici. Nei due anni successivi alla laurea avevo pubblicato cinque articoli come primo autore  nelle principali riviste specializzate internazionali, incluso un articolo che parlava di un nuovo approccio al trattamento dei grandi tumori condilari. A quel punto ero abbastanza sicuro delle mie capacità chirurgiche nella gestione di un paziente maxillo-facciale e nella scrittura di case report e note tecniche. Ma mi mancava chiaramente un’esposizione internazionale. Avevo bisogno di una borsa di studio.

A quel tempo in India l’odontoiatria implantare si stava appena evolvendo e un collega più anziano è stato così gentile da suggerirmi di cercare borse di studio ITI. Sono andato immediatamente sul sito web e in una settimana ho completato la mai domanda di borsa di studio. Fortunatamente sono stato scelto presso il dipartimento di chirurgia maxillo-facciale dell’Università Johannes Gutenberg di Mainz, in Germania. Poi è iniziata la fase successiva. La borsa di studio è stata una grande opportunità per me di affinare la ricerca e la pratica clinica. Mi occupavo di chirurgia ma anche di ricerca. Poi ho continuato a Magonza ospite in facoltà e con il supporto dei miei mentori ho completato il mio Dr. med dent (2013) e ho ottenuto la licenza permanete per esercitare l’odontoiatria.

Mi sono poi imbattuto in un MD multidisciplinare e un dottorato di ricerca e ha richiesto il finanziamento DAAD per completare il programma. La mia richiesta è stata accettata e ho completato il programma con una tesi scientifica (2018) dal titolo “Dr. Rer. Hum” con lode, a seguito del quale ho completato il MD e il Ph.D (2019). Mesi prima del mio esame sono stato trovato da un ricercatore presso L’università di Uppsala, in Svezia, e sono rimasto tre anni. Ora la lavoro come consulente presso lo Sri Shankara Cancer Hospital Bengaluru, dove opero su casi complessi e co-dirigo uno studio privato chiamato Oral Rehabilitation Center specifico di chirurgia orale e implantologia.

 

Cosa l’ha spinto a scegliere la ricostruzione e la riabilitazione dentale a seguito di cancro orale e tumori della mascella come suo focus di interesse?

La mia tesi durante il PG è stata la ricostruzione di difetti del mascellare superiore utilizzando un lembo libero DCIA (Deep Circumfelx Iliac Artery). Comprendeva la gestione preoperatoria, operativa e postoperatoria dei pazienti, letteralmente al loro capezzale, e l’organizzazione della ricerca dei fondi per il loro trattamento, cercando donatori e aziende che fornissero i loro prodotti a tariffe ridotte. Di conseguenza sono stato il primo medico di riferimento per molti pazienti che avevano bisogno di un intervento di chirurgia ricostruttiva della mascella.

Mi sono reso conto che la qualità della vita correlata alla salute orale era piuttosto scarsa dopo il trattamento. I pazienti spesso si lamentavano di non essere in grado di mangiare o di partecipare alla vita sociale nonostante i complessi interventi chirurgici ricostruttivi. Una delle funzioni principali delle ossa mascellari è di ospitare i denti e i risultati del trattamento senza riabilitazione non sono otimali. Mi sono anche reso conto che la riabilitazione dentale convenzionale senza supporto implantare non era particolarmente utile. Quindi ho visto un enorme bisogno insoddisfatto nei risultati del trattamento e volevo concentrarmi su questo aspetto.

Ha ricevuto il Premio Andre Schroeder per la ricerca clinica nel 2017. Ci racconti qualcosa sul lavoro che le ha permesso di vincere questo premio.

Questo è stato davvero un grosso problema! Tantissimo lavoro! Il risultato è stato concettualizzato durante il mio anno di borsa di studio a Magonza nel 2010. Ho realizzato uno studio prospettico con pazienti che avevano ricostruzioni segmentali della mandibola. Dovevano sottoporsi a una riabilitazione dentale supportata da impianti. Abbiamo quindi studiato i dati relativi alla qualità della vita, gli esiti protesici degli impianti, la stabilità dell’impianto, le alterazioni ossee marginali, la funzione masticatoria e le tecniche di gestione dei tessuti molli perimplantari. L’ITI ha finanziato lo studio. Abbiamo avuto pazienti indirizzati a noi da colleghi in tutto il Paese.

Lo studio ha avuto dei risultati eccellenti. Il progetto ha portato a circa sette pubblicazioni nelle principali riviste. Abbiamo visto che la riabilitazione dentale supportata da impianti ha chiaramente migliorato la qualità della vita relativamente alla salute orale di tutti i pazienti. È stato incoraggiante. Abbiamo anche trovato nuove tecniche per fornire la mucosa orale cheratinizzata intorno agli impianti nelle mascelle ricostruire. La riabilitazione dentale dei pazienti con grande difetti della mascella è diventata una procedura prevedibile e ha costituito un nuovo obiettivo finale nel trattamento olistico di questi pazienti difficili.

 

A proposito, potrebbe dirci perché questa tecnica è chiamata rigenerazione epiteliale guidata della protesi (DGER)?

Sì, certo. Dunque, nei pazienti con difetti segmentali delle mascelle, l’osso può essere sostituito da un lembo osseo composito come la fibula e gli impianti dentali e le protesi possono sostituire i denti. Tuttavia non vi è alcun sostituto per la mucosa orale cheratinizzata. La mucosa orale cheratinizzata è un tessuto specializzato che è presente solo in bocca e quindi nessun sito donatore può sostituire le sue grandi carenze (Fig. 1).

 

Fig. 1: diagramma schematico della tecnica DGER.

La rigenerazione epiteliale guidata dalla protesi è una tecnica che ricrea la mucosa cheratinizzata perimplantare nelle mascelle ricostruite con lembo libero. Ora abbiamo più di cento casi con follow-up fino a 10 anni a dimostrazione del successo di questa tecnica (Figg. 1-3). Inoltre, i nostri studi proteomici che coinvolgono la spettrometria di massa e metodi immunoistochimici hanno dimostrato che la mucosa rigenerata assomiglia funzionalmente alla mucosa orale cheratinizzata.

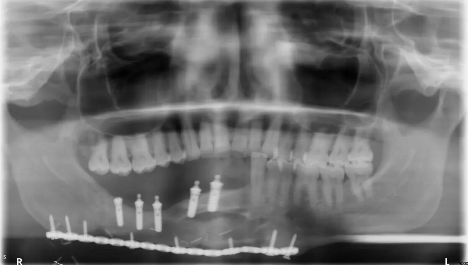
Fig. 2: OPG di un paziente di 9 anni dopo la riabilitazione dentale supportata da impianto. Si osservano i livelli ossei marginali stabili.
Fig. 3: quadro clinico intraorale dello stesso paziente. Notare la presenza di mucosa cheratinizzata sana attorno agli impianti nella mandibola ricostruita dal lembo libero dal perone.

 

Il suo attuale obiettivo di lavoro ruota intorno alla ricostruzione mascellare di pazienti oncologici e di impianti o ha nuovi interessi?

Attualmente stiamo effettuando un follow up di 10 anni di questi pazienti per ottenere dati prospettici a lungo termine. L’attenzione rimane sul miglioramento dei risultati della riabilitazione dentale nei pazienti con compromissione medica e sull’implantologia maxillofacciale. Con il supporto dell’Oral Reconstruction Foundation stiamo studiando prospetticamente gli impianti nei pazienti con cancro orale e gli effetti della radioterapia. Siamo a già a metà di uno studio sugli impianti nei pazienti diabetici generosamente sostenuto dall’ITI.

Nella mia pratica clinica ospedaliera, il mio focus è l’osteoradionecrosi e l’osteonecrosi delle mascelle correlate ai farmaci e questo fa parte delle mie attività di ricerca con l’università di Uppsala. Naturalmente sviluppiamo costantemente i nostri flussi di lavoro di pianificazione digitale e ricostruzione funzionale della mascella in un’unica fase.

Diversi giovani dentisti e chirurghi apprezzano le persone come te per la motivazione. Qual è il tuo consiglio per i giovani dentisti e chirurghi per raggiungere grandi traguardi nel campo?

Non voglio cadere nella banalità dicendo che servono passione, duro lavoro, dedizione, pazienza, determinazione, etica, perseveranza, etc. In primo luogo è importante avere una buona formazione accademica che costituisce la base. In secondo luogo è avere un buon rapporto di lavoro con i coetanei. Sei molto plasmato dalle persone con cui ti associ. Avere buoni mentori e amici nel campo che ti supportano è una benedizione. Sono stato fortunato con molti ed è difficile elencarli tutti in questa intervista. In terzo luogo sono importanti i finanziamenti e ricevere il sostegno del governo e delle organizzazioni di ricerca aiuta a sostenere le idee e rende possibile la ricerca e l’innovazione. Sono grato di essere stato supportato nella mia formazione e ricerca da Govt of India, ITI, DAAD, FGD dental, Oral Reconstruction Foundation e AO Foundation, solo per citarne alcuni. Sebbene tale supporto arrivi solo con molto duro lavoro e perseveranza, ne vale sicuramente a pena.

Inoltre, credo che l’esposizione interdisciplinare sia piuttosto importante. Ho cercato di farmi un’idea e di essere formato in diverse discipline come l’immunologia e la medicina rigenerativa. Amplia la tua mente mentre cerchiamo di specializzarci in un aspetto particolare.

 

Udatta Kher: Caro Vinay, lei viene da un solito background ITI con una solida formazione basata sulle evidenze scientifiche. La filosofia ITI è stata meno favorevole ai placement immediati post-estrazione. Sono consapevole che l’ITI è ancora molto cauto per quanto riguarda la tecnica Socket Shield (PET) per posizionare gli impianti nella zona estetica. Può dirci la sua opinione in merito alla tecnica e se secondo lei potrà diventare l’opzione di trattamento preferita in futuro? Quali sono secondo lei i limiti di questa filosofia di trattamento? E quale sarà il punto di svolta per la diffusione a livello globale di questa tecnica?

Caro dott. Udatta, ho sempre creduto che l’evidenza scientifica dovesse costituire una solida base per fare scelte terapeutiche. Tuttavia, la pratica clinica e l’evoluzione delle strategie di trattamento spesso sono basate principalmente sull’esperienza, la competenza e il contesto. Sappiamo tutti che l’esperienza è il più grande insegnate – nella pratica clinica e nella maggior pare degli ambiti della vita. Allo stesso modo le competenze derivano dalla gestione di moltissimi casi e dall’analisi critica degli stessi. L’ambiente è un fattore importante spesso trascurato. So per esperienza personale che uno studio universitario presso un’università svedese è piuttosto diverso dal gestire uno studio privato nel centro di Bangalore. Sappiamo tutti che i risultati degli RCT potrebbero non essere ugualmente applicabili in entrambi i contesti.

Per quanto riguarda la PET, ho avuto stretti contatti con ottimi clinici come il dott. Narayan, uno dei primi sostenitori di questa tecnica. Ricordi di aver avuto intense discussioni nei club di studio e non solo e ho seguito da vicino gli sviluppi del PET. Dopo aver seguito la tua eccellente conferenza in cui hai mostrato i risultati a lungo termine, di recente ho provato la tecnica su un paio di pazienti. Sono ragionevolmente fiducioso sui risultati. Tuttavia ritengo che ci siano indicazioni limitate per questo trattamento. Non lo proverò su un caso parodontale, almeno per ora. Per quanto riguarda la sua diffusione a livello globale: rigorosamente esiste una diffusione globale per qualsiasi procedura? Non c’è per così tante cose: posizionamento di impianti, biomateriali, tecniche di provvisorizzazione, etc.

E sì, la tecnica PET è considerata un’opzione tra le molte altre.

 

Narayan Venkataraman: Vinay, sono sicuro che Udatta ti avrà già chiesto informazioni su Socket Shield e PET, quindi mi asterrò dall’entrare in questo argomento. Attualmente c’è molto slancio verso il Total Till All su protocolli X che utilizzano impianti zigomatici, pterigoidei e nasali per la riabilitazione completa della bocca e le ricostruzioni segmentali, spesso scartando pe procedure più tradizionali e quindi meglio documentate come l’innesto del seno mascellare, anche in pazienti più giovani, il tutto con il pretesto dei tempi di trattamento più brevi e il carico immediato. Vede un potenziale problema con questo atteggiamento considerando le implicazioni molto più gravi se paragonate alle procedure come gli impianti zigomatici e pterigoidei, se effettuate da professionisti meno preparati?

Dott. Narayan, ho utilizzato un buon numero di impianti zigomatici ma non sono mai stati la mia prima linea di trattamento per tutti i casi di edentulia. Hanno un’indicazione limitata secondo il mio punto di vista. Presentano evidenti vantaggi in creste estremamente riassorbite e atrofiche. Sono anche una buona opzione per la riabilitazione dentale in pazienti con difetti della maxillectommia in cui il processo zigomatico e il pavimento infraorbitale sono intatti. Tuttavia, fornire una chiusura oro-nasale è essenziale in questi casi dove spesso è necessario un ulteriore trasferimento di tessuto libero. Non ho riscontrato la necessità di ricorrere a impianti pterigoidei o nasali. Le tecniche di aumento tradizionali, come il pavimento del seno mascellare e l’aumento del blocco osseo, sono innegabilmente la mia prima scelta nel trattamento dei casi mascellari più edentuli.

Sono completamente d’accordo e condivido la tua preoccupazione per quanto riguarda la formazione e l’implementazione del trattamento. È necessario avere una formazione sufficiente prima di eseguire tecniche chirurgiche avanzate. Come ho detto prima, le prove, l’esperienza, la competenza e l’ambiente sono cruciali, specialmente nelle procedure avanzate. È essenziale che un medico sia consapevole dei rischi e delle possibili complicanze di una procedura e sia in grado di gestire le complicazione che ne derivano.

About Dr. Vinay Kumar:
Dr. Vinay V Kumar, MDS (OMFS)
Dr., Dr. med. dent., Dr. rer hum.
BDS (IND), MDS (IND), DMD (DE), FDS RCS (Ed), MD & PhD (DE)
Dr med. dent: Johannes Gutenberg University, Mainz 2013
FDS RCS Ed: 2018 (Royal College of Surgeons of Edinburgh)
PhD (Dr. rer. hum): 2018 Universitätsmedizin Rostock.
Structured MD and PhD Curriculum; Experimental Immunology: “Jaw tissue Regeneration: Tissue, Cellular and Molecular Processes”
 
Dr. Kumar can be reached at:
Email: Vinay.kumar@surgsci.uu.se, veezo@rediffmail.com
 
About Dr. Shantanu Jambhekar, MDS (Prosthodontics)
Consultant Specialist Dentist, P D Hinduja Hospital, Khar, Mumbai
Recipient of the prestigious ITI Scholarship from the International Team for Implantology, Switzerland
ITI Short Research Grant for research in Implantology
ITI Education week Program at the Tufts and
Harvard School of Dental Medicine, Boston, USA
 
To post a reply please login or register
advertisement
advertisement