Informazioni sul paziente e sul trattamento
Il paziente, un uomo di 59 anni, si è presentato con la richiesta di una ricostruzione fissa dell’arcata mascellare. La sua anamnesi generale non evidenziava patologie. Il paziente presentava sia nella mascella che nella mandibola protesi telescopiche mobili.
Nella mascella, la protesi non poteva più essere sostenuta a causa dei denti anteriori rimanenti, che non garantivano più il necessario supporto parodontale (denti 12, 11, 21, 22). Dopo aver perso i denti rimanenti, il paziente chiedeva una ricostruzione fissa ancorata su impianti dell’arcata mascellare.
La diagnosi dei denti rimanenti nella mandibola era la seguente: il dente 48 era impattato e dislocato, il dente 45 mostrava una mobilità di grado 3 e un insufficiente supporto parodontale. I denti anteriori rimanenti 33-43 presentavano un’aumentata profondità di sondaggio a livello dei denti canini e un’aumentata mobilità (grado 2).
La strategia di trattamento per la mascella ha incluso come prima fase una terapia parodontale conservativa dei denti anteriori rimanenti, in vista di una conservazione e un fissaggio strategici della protesi esistente fino all’inserimento degli impianti.
Successivamente, i denti rimanenti sono stati rimossi ed è stato eseguito un rialzo bilaterale del pavimento del seno mascellare con una procedura in due tempi. In seguito ad una pianificazione 3D, sono stati inseriti otto impianti endossei con il CAMLOG® Guide System, utilizzando la tecnica flapless, quindi è stato realizzato il restauro protesico con un ponte telescopico.
Nella mandibola è stato estratto il dente 45, mentre gli altri denti sono stati trattati con terapia parodontale conservativa. I denti posteriori della mandibola sono stati riposizionati e riallineati. Per quanto riguarda i denti 43-33 si è proceduto a rivestire la protesi mobile.
| Tooth |
18 |
17 |
16 |
15 |
14 |
13 |
12 |
11 |
21 |
22 |
23 |
24 |
25 |
26 |
27 |
28 |
| Implant type |
|
SL |
SL |
|
|
SL |
SL |
|
|
|
SL |
SL |
|
SL |
SL |
|
| Implant length |
|
13.0 |
13.0 |
|
|
13.0 |
13.0 |
|
|
|
13.0 |
13.0 |
|
13.0 |
13.0 |
|
| Implant Ø |
|
4.3 |
4.3 |
|
|
3.8 |
3.8 |
|
|
|
3.8 |
3.8 |
|
3.8 |
3.8 |
|
| Implant surface |
|
P |
P |
|
|
P |
P |
|
|
|
P |
P |
|
P |
P |
|
| |
|
|
|
|
|
|
|
|
|
|
|
|
|
|
|
|
| Tooth |
48 |
47 |
46 |
45 |
44 |
43 |
42 |
41 |
31 |
32 |
33 |
34 |
35 |
36 |
37 |
38 |
| Implant type |
|
|
|
|
|
|
|
|
|
|
|
|
|
|
|
|
| Implant length |
|
|
|
|
|
|
|
|
|
|
|
|
|
|
|
|
| Implant Ø |
|
|
|
|
|
|
|
|
|
|
|
|
|
|
|
|
| Implant surfce |
|
|
|
|
|
|
|
|
|
|
|
|
|
|
|
|
Tipo impianto:ROOT LINE (RL) / SCREW-LINE (SL) Superficie impianto: Promote® (P) / Promote® Plus (PP)
Inserimento degli impianti provvisori
La tecnica flapless mini-invasiva pianificata per l’inserimento degli impianti richiede un fissaggio particolare per la preparazione dei materiali radiologici. Il fissaggio è facilitato da impianti provvisori inseriti in un’adeguata posizione. Per ottenere un preciso trasferimento, il fissaggio deve essere eseguito sotto controllo radiologico nella stessa identica posizione di quella dell’impianto.
Diagnosi con tecnologia Cone Beam
La mascherina radiologica viene realizzata sulla base dei requisiti protesici (funzionalità, estetica). Grazie al particolare fissaggio della mascherina radiologica con l’uso di impianti provvisori è possibile effettuare una scansione orientata in senso protesico sotto controllo radiologico.
Lo spessore della membrana mucosa può essere misurato inserendo il dente radiopaco sulla superficie in gesso. La distanza fra la guida di supporto e la superficie ossea non deve superare i 3,5 mm.
Protesi finale
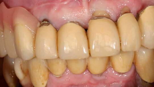
La tecnica CAD/CAM è stata impiegata per realizzare il ponte con composito rinforzato da fibre (KaVo C-Temp), poi rivestito con materiale acrilico. Per la passivazione della struttura è stata utilizzata la comprovata galvanotecnica. Sono stati poi selezionati gli abutments in ossido di zirconio realizzati con CAD/CAM.
Conclusioni
L’obiettivo originale della ricostruzione protesica era un restauro a ponte fisso. In seguito ad una fase di preparazione igienica e funzionale con protesi provvisoria a lungo termine, il paziente ha optato per un ponte mobile. La precisione e semplicità con cui gli impianti possono essere inseriti in posizione protesicamente corretta in situazioni anatomicamente difficili migliorano significativamente grazie ad una pianificazione implantare tridimensionale virtuale con la tecnica Cone Beam CT o CT in combinazione con la preparazione del letto implantare e l’inserimento protesicamente guidato degli impianti. La terapia implantare risulta così facilitata. La sequenza di fresaggio nel CAMLOG® Guide System è diversa da quella di altri sistemi. Mentre in una sequenza di fresaggio convenzionale la fresa pilota viene fatta avanzare fino alla lunghezza finale dell’impianto, la sequenza prevista dal CAMLOG® Guide System inizia sempre con la fresa pilota più corta (lunghezza 6 mm). Affinché tutte le frese vengano guidate dalla geometria della guida fin dall’inizio, la sequenza di fresaggio avviene in successione, dalla fresa di 9 mm a quella di 11 mm fino a quella di 13 mm (lunghezza massima dell’impianto).
Il CAMLOG® Guide System è un sistema per l’inserimento protesicamente guidato degli impianti. A differenza dei sistemi che impiegano più guide, in questo sistema un’unica guida inserita nella mascherina chirurgica è studiata per guidare tutte le fasi di fresaggio e le procedure d’inserimento dell’impianto. Gli impianti possono essere inseriti attraverso le guide.
Bibliografia
- Ewers R, Seemann R, Krennmair G, Schicho K, Kurdi A.O, Kirsch A, Reichwein A. Planning implants crown down - A systematic quality control for proof of concept. J Oral Maxillofac Surg 68:2868-2878, 2010.
- Neugebauer J, Stachulla G, Ritter L, Dreiseidler T, Mischkowski A.R, Keeve, E, Zöller, J.E.
Computer-aided manufactoring technologies for guided implant placement. Expert Rev. Med. Devices 7(1), 113-129 (2010).
- Eggers G, Evangelos P, Mühling J. Accuracy of template-based dental implant placement. Int J Oral Maxillofac Implants 2009;24:447-454.
- Kirsch A, Nagel R, Neuendorff G, Fiderschek J, Ackermann KL. Implant placement and immediate final rehabilitation EDI Journal 2009;3(5):53-71.
- Dreiseidler, Neugebauer, Zöller Et al. Accuracy of a newly developed integrated system for implant planning. Clin Oral Implants Res Nov 2009.
- Ackermann KL, Kirsch A, Nagel R, Neuendorff G. Mit Backward Planning zielsicher therapieren
Teamwork 2008;4:466-484.
- Kirsch A, Nagel R, Neuendorff G, Fiderschek J, Ackermann KL. Backward Planning und dreidimensionale Diagnostik Teamwork 2008;9:734-754.
- Tesi di dottorato. Behrends,M., Köln Prüfer: Krekeler,G., 2007, Krems, Österreich “Computergestützte Implantatplanung: Eine experimentelle Untersuchung zur Präzision der Übereinstimmung zwischen virtuell geplantem Implantat-Sitz und erzieltem Ergebnis unter Verwendung eines EDV-Systems (SimPlant)”
- Accuracy of implant placement with a stereolithographic surgical guide University of Michigan, Ann Arbor, Sarment 2003, PMID: 12939011.
- Accuracy of implant treatment planning utilizing template-guided reformatted computed tomography. University of Basel, Besimo, 2000 PMID: 10654036.
Oggi sviluppiamo piani di trattamento che non prevedono l’inserimento implantare sulla base della sola anatomia esistente ma anche sulla base delle ...
Questo caso clinico ha richiesto un inserimento ottimale di impianti sulla base di un piano di trattamento protesicamente guidato e di chirurgia guidata. ...
Il carico immediato può essere ormai considerato una procedura terapeutica di elevata affidabilità ed efficacia, anche a distanza di tempo. Elemento ...
L’implantologia è diventata una forma consolidata di trattamento con risultati buoni e prevedibili per la ricostruzione funzionale ed estetica ...
L’implantologia è diventata una forma consolidata di trattamento con risultati buoni e prevedibili per la ricostruzione funzionale ed estetica ...
Le aspettative del paziente edentulo si sono proiettate nel passare degli anni verso riabilitazioni sempre più rapide ed efficaci. La costruzione di ...
BOSTON, USA: Circa 120 partecipanti provenienti da 27 Paesi si sono riuniti a Boston dal 16 al 18 giugno per un momento storico nell’odontoiatria ...
È ben noto che il deficit trasversale del mascellare superiore è una componente molto frequente delle malocclusioni, sia dentali sia ...
È ben noto che il deficit trasversale del mascellare superiore è una componente molto frequente delle malocclusioni, sia dentali sia ...
L’aumento della durata media della vita ha portato a un significativo incremento della percentuale di popolazione anziana e quindi a un notevole ...
Live webinar
mer. 22 aprile 2026
17:00 (CET) Rome
MDT Andreas Chatzimpatzakis
Live webinar
mer. 22 aprile 2026
17:00 (CET) Rome
Live webinar
mer. 22 aprile 2026
18:00 (CET) Rome
Live webinar
gio. 23 aprile 2026
17:00 (CET) Rome
Live webinar
gio. 23 aprile 2026
18:30 (CET) Rome
Live webinar
gio. 23 aprile 2026
19:00 (CET) Rome
Live webinar
gio. 30 aprile 2026
1:00 (CET) Rome
Dr. Renato Leonardo D.M.D.
To post a reply please login or register