Il rimodellamento delle parabole gengivali è una terapia chirurgica molto spesso necessaria per ottimizzare al meglio le linea del sorriso dei pazienti, al fine di una armonica e quanto più esteticamente valida riabilitazione protesica. Tra le diverse tecniche chirurgiche utilizzabili a tale scopo, la chirurgia con laser a diodo offre sicuramente una serie di vantaggi in termini di rapidità, efficacia, ma soprattutto di mininvasività e predicibilità del risultato.
Tali vantaggi sono ottenibili grazie alle proprietà della radiazione laser a diodo: innanzitutto il taglio di tipo termico senza carbonizzazione dei tessuti e la contestuale coagulazione, e ancora la riduzione dei tempi di guarigione, e soprattutto la stabilità del risultato grazie alla completa assenza dei tanto temuti fenomeni di retrazione gengivale, che rappresentavano una costante al tempo dell’elettrobisturi. Infatti, il laser a diodo, pur effettuando un taglio termico legato all’interazione della radiazione con i pigmenti contenuti all’interno dei tessuti, se utilizzato con una tecnica corretta e soprattutto con una intensità di potenza adeguata al fine di ottenere l’effetto desiderato, non produce sul tessuto gengivale danni di tipo termico dovuti a innalzamenti eccessivi della temperatura tissutale, come invece avviene mediante l’utilizzo di un taglio diatermico.
Descrizione del caso
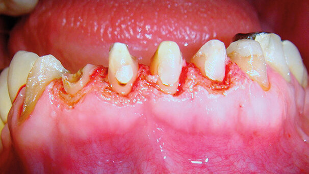
Il paziente è un maschio di 52 anni, che necessita di una riabilitazione protesica del gruppo frontale inferiore dall’elemento 4.3 al 3.3. La Fig. 1 mostra infatti la necessità di armonizzare i profili gengivali dei centrali inferiori, di ricostruire la radice dell’elemento 4.2 e di posizionare il provvisorio in resina già confezionato prima della riabilitazione finale. Pertanto, con una ridotta infiltrazione di anestesia loco-regionale, si procede all’intervento di gengivoplastica con laser a diodo 980 (KaVo MASTER lase). L’intervento è stato effettuato con il laser settato a 0,8 W in modalità iperpulsata, secondo le caratteristiche proprie dell’apparecchio, in modo da ottenere un’eccellente rapidità di taglio con una ridotta interazione laser-tessuto; la Fig. 2 mostra l’immediato post-operatorio dove sono evidenti le radici dei denti trattati con i profili gengivali ridisegnati, ma soprattutto si nota l’assenza di fenomeni di carbonizzazione. Il provvisorio in resina è stato immediatamente posizionato. A distanza di 7 giorni (Figg. 3a, 3b, 3c), senza aver ribasato appositamente il provvisorio proprio al fine di rendere più evidente l’effetto del nostro trattamento chirurgico mediante laser a diodo, i tessuti gengivali si presentano in uno stato di guarigione pressoché completo, ma soprattutto senza segni di flogosi residua né di retrazione gengivale indesiderata (Figg. 4a, 4b, 4c). Si è proceduto pertanto immediatamente alla presa di impronta per la riabilitazione finale mediante corone in zirconia-ceramica (Fig. 5).
embedImagecenter("Imagecenter_1_1947",1947, "large");
Discussione
Come dimostra il caso descritto, il laser a diodo fornisce una serie di vantaggi in chirurgia mucogengivale. I vantaggi intra-operatori sono per lo più legati alla rapidità di esecuzione e alla mininvasività del trattamento, ma anche alla contestuale assenza di sanguinamento, che mantiene sempre ben visibile il campo operatorio. Inoltre, la capacità coagulativa del laser a diodo fornisce un ulteriore vantaggio in termini di preparazione del paziente all’intervento chirurgico; nello specifico, ci permette di trattare paziente affetti da malattie sistemiche o che assumono farmaci che interferiscono con la normale coagulazione, senza preoccuparci dell’aumentato sanguinamento intra-operatorio e anche senza effettuare alcuna sospensione o conversione delle terapie in corso. I vantaggi post-operatori, invece, sono l’assenza di edema post-chirurgico e il ridotto dolore, ma sicuramente più importante è la stabilità del trattamento chirurgico inteso come permanenza alla guarigione del tessuto gengivale trattato allo stesso livello in cui modellato e/o tagliato durante l’intervento; non ultimo, un ulteriore vantaggio è la rapida guarigione che, da un lato, porta il nostro paziente a riprendere le sue normali abitudini di igiene e alimentari in un tempo veramente ridotto, dall’altro lato permette di ottimizzare al massimo i tempi di riabilitazione. Pertanto, in un’odontoiatria moderna ormai estremamente orientata alla rapidità esecutiva – tramite, ad esempio, i sistemi CAD/CAM, la TC CONE BEAM anche integrabile nei sistemi CAD, l’impronta ottica, l’allargamento mediante laser del solco gengivale per presa d’impronta e tanto altro – la possibilità di ottenere tramite il laser a diodo una quanto più rapida e predicibile guarigione dei tessuti gengivali è sicuramente un fattore aggiuntivo e migliorativo molto importante, che perfettamente si integra nel flusso di lavoro snellendolo ulteriormente.
Bibliografia
1. Gabrić Pandurić D, Blašković M, Brozović J, Sušić M. Surgical treatment of excessive gingival display using lip repositioning technique and laser gingivectomy as an alternative to orthognathic surgery. J Oral Maxillofac Surg. 2014 Feb;72(2):404.
2. van As G. Uncovering the tooth: the diode laser to uncover teeth, brackets and implants. Dent Today. 2012 Jan;31(1):168.
3. Gontiya G, Bhatnagar S, Mohandas U, Galgali SR. Laser-assisted gingivectomy in pediatric patients: a novel alternative treatment. J Indian Soc Pedod Prev Dent. 2011 Jul-Sep;29(3):264-9.
4. Pang P. Lasers in cosmetic dentistry. Gen Dent. 2008 Nov-Dec;56(7):663-70; quiz 671-2, 767.
5. Magid KS, Strauss RA. Laser use for esthetic soft tissue modification. Dent Clin North Am. 2007 Apr;51(2):525-45.
6. Lee EA. Laser-assisted gingival tissue procedures in esthetic dentistry. Pract Proced Aesthet Dent. 2006 Oct;18(9):suppl 2-6.
7. Christensen GJ, Child PL Jr. Fixed prosthodontics: time to change the status quo? Dent Today. 2011 Sep;30(9):66, 68, 70-3.
L'articolo è stato pubblicato su Laser Tribune Italian Edition, settembre 2015.
Capita spesso che la parabola gengivale presenti piccole anomalie di forma, le cosiddette “tasche gengivali”. La medicina parodontale, oggi ...
Un titolo volutamente provocatorio, ma che esprime una valutazione di assoluto compendio sull’utilizzo del laser a diodo come monoterapia, vale a dire...
Un titolo volutamente provocatorio, ma che esprime una valutazione di assoluto compendio sull’utilizzo del laser a diodo come monoterapia, vale a dire...
Spesso viene sottovalutata l’importanza di una corretta attivazione della Fibra del Laser a Diodo. Lo scopo di questo lavoro è quello di valutare i ...
Il laser è uno strumento che non si sostituisce alle metodiche tradizionali, ma può offrire benefici aggiuntivi e significativi se utilizzato ...
Il laser è uno strumento che non si sostituisce alle metodiche tradizionali, ma può offrire benefici aggiuntivi e significativi se utilizzato ...
Il laser a diodi è diventato il manipolo dei tessuti molli in molti studi dentistici, con notevoli vantaggi rispetto alla convenzionale unità ...
Il laser a diodi è diventato il manipolo dei tessuti molli in molti studi dentistici, con notevoli vantaggi rispetto alla convenzionale unità ...
Live webinar
gio. 7 maggio 2026
2:00 (CET) Rome
Ms. Ellen Karlin, Dr. Sara Karlin
Live webinar
gio. 7 maggio 2026
17:00 (CET) Rome
Live webinar
gio. 7 maggio 2026
18:00 (CET) Rome
Live webinar
gio. 7 maggio 2026
18:00 (CET) Rome
Dra. Maria Carolina Erhardt, Dra. Thais Tomé Feldens
Live webinar
gio. 7 maggio 2026
20:30 (CET) Rome
Live webinar
lun. 11 maggio 2026
18:00 (CET) Rome
Live webinar
lun. 11 maggio 2026
19:00 (CET) Rome
To post a reply please login or register