I sistemi di tomografia computerizzata Cone Beam (CBCT) sono tra i più avanzati dispositivi di imaging disponibili sul mercato. La visione nell’ambito della terza dimensione semplifica le procedure diagnostiche, aumenta la sicurezza del trattamento e riduce le dosi di raggi ai pazienti. Inoltre, vi sono convincenti motivi medico-legali a favore della CBCT.
Grazie alle immagini CBCT in 3D, il professionista può interpretare la situazione clinica con maggiore precisione.
Può valutare l’angolazione ottimale dell’osteotomia da varie prospettive (sagittali, coronali, assiali) e generare sezioni trasversali e immagini panoramiche.
Rispetto alle TC convenzionali, i sistemi CBCT sono meno sensibili agli artefatti metallici. Grazie alla disponibilità dell’imaging 3D, i dentisti sono maggiormente in grado di stabilire il rischio di trattare alcuni casi nel proprio studio.
Inoltre, gli utilizzatori di apparecchiature CBCT possono creare reti digitali con i colleghi e pubblicizzare i propri servizi ad altri dentisti.
Un importante motivo per acquistare un sistema CBCT è il tempo e lo sforzo necessari per inviare i pazienti a radiologi esterni, sia per il paziente sia per il dentista. In alcuni casi, i pazienti non si ripresentano. Inoltre, i risultati diagnostici talvolta sono ritardati e i report non sono assegnati direttamente alle immagini radiografiche.
L’inviare i pazienti a radiologi esterni porta a interrompere il processo di dialogo con il paziente. L’esperienza dimostra che i pazienti stimano molto di più le capacità di uno studio dentistico quando tutti i servizi provengono da un’unica fonte e quando il dentista stesso è direttamente coinvolto nella diagnosi delle radiografie.
I più alti costi di un’immagine CBCT rispetto a quelli di una radiografia panoramica convenzionale possono essere facilmente giustificati dalla miglior diagnostica e dai benefici terapeutici. Un argomento convincente è che una CBCT contiene 300 BMB di informazioni, rispetto ai soli 5 MB di una radiografia panoramica convenzionale.
La pianificazione implantare con Galileos e Cerec riduce il numero di appuntamenti e richiede un impegno inferiore del laboratorio. Nella maggioranza dei casi, non è necessario realizzare cerature protesiche. La combinazione di imaging digitale e CAD genera tutte le informazioni necessarie al laboratorio, assicurando così procedure di lavoro trasparenti.
Il fattore decisivo è che l’integrazione di Galileos e Cerec rendono più ergonomico il flusso di lavoro dell’odontoiatra, portando a risultati clinici affidabili.
Maggior affidabilità clinica
Una caratteristica molto utile del sistema Galileos è il database integrato che contiene i dati dimensionali di diversi impianti comunemente utilizzati (Astra, Straumann, BIOMET 3i, Bicon, BioHorizons e Z Look).
Con la combinazione dell’immagine Galileos, della scansione clinica Cerec e della progettazione virtuale della soprastruttura, l’operatore può fare a meno di una ceratura protesica (Fig. 1). Al contrario, si utilizza una mascherina che viene facilmente fissata in bocca al paziente (Fig. 2). La pianificazione protesica viene eseguita interamente in modo digitale con il software Cerec.
Successivamente, i dati della pianificazione protesica vengono importati nella scansione CBCT, eliminando la necessità di creare una mascherina radiografica e di realizzare un modello protesico in solfato di bario. Questo porta a risultati più precisi.
Inoltre, dato che non si utilizza solfato di bario, l’immagine CBCT è di buona qualità. Le posizioni delle osteotomie endossee sono determinate tramite guide chirurgiche in plastica (SICAT/Sirona). L’inserimento minimamente invasivo senza lembo elimina la necessità di scollare un lembo mucoperiosteo. Questo non solo minimizza il trauma chirurgico, ma permette anche l’inserimento immediato del restauro sull’impianto.
Minor impegno del laboratorio
La possibilità di importare i dati Cerec dentro all’immagine CBCT facilita significativamente la procedura di pianificazione implantare. L’interazione tra Galileos e Cerec implica la necessità di soli due appuntamenti, a intervalli di cinque-sette giorni.
Grazie alla guida chirurgica, l’inserimento chirurgico dell’impianto richiede solo 15 minuti, con il risultato di una maggiore precisione e di uno stress ridotto. Usando il metodo convenzionale (cioè senza scansione CBCT e senza guida chirurgica), ogni impianto richiede fino a 45 minuti ed è accompagnato da maggiori rischi.
Finora, spesso erano necessari abutment angolati personalizzati, con profili emergenti individuali, al fine di compensare le divergenze nelle angolazioni di inserimento tra gli impianti e le sovrastrutture. Grazie al processo di pianificazione integrato, ora è possibile utilizzare abutment prefabbricati e di costo inferiore (Fig. 3 ).
Di solito, gli abutment vengono cementati direttamente a impianti singoli. Al fine di proteggere la gengiva, l’eccesso di cemento deve essere rimosso con cura.
Dopo l’applicazione dell’abutment e la chiusura dell’accesso della vite, è consigliabile applicare un filo di ritrazione onde esporre il tessuto e il margine dell’abutment.
L’abutment viene quindi condizionato con polvere di titanio, in preparazione all’acquisizione dell’impronta intraorale con Cerec AC e alla progettazione della corona finale dell’impianto (Fig. 4).
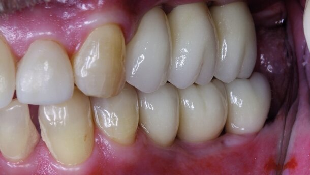
La corona viene quindi fresata automaticamente alle dimensioni anatomiche da un blocco di disilicato di litio (LS2) (IPS e.max CAD, Ivoclar Vivadent). La prova dovrebbe essere eseguita prima della cristallizzazione. Si passa poi alla cristallizzazione, alla lucidatura/glasura e alla cementazione sull’abutment (Fig. 5).
In caso di particolari esigenze estetiche (per esempio nella regione anteriore), la corona LS2 può essere sottoposta a cut-back e ceramizzata individualmente (Fig. 6).
Conclusione
Galileos e Cerec semplificano in modo significativo la pianificazione e la realizzazione della sovrastruttura.
I risultati clinici sono predicibili. Rispetto ai i metodi convenzionali, il trattamento è molto più rapido.
Le immagini in 3D e la proposta protesica virtuale giocano un ruolo importante nel rapporto con il paziente. Inoltre, vi sono più probabilità che il paziente accetti il trattamento proposto e dia il suo consenso più rapidamente.
embedImagecenter("Imagecenter_2_405",405,"small");
L'articolo è stato pubblicato sul numero 4 di Implant Tribune Italy 2011.
L’implantologia orale sta rapidamente entrando in una nuova fase influenzata sia da mutamenti socio-economici sia da fattori biologici e biomeccanici....
Per tredici anni consecutivi, il tradizionale incontro implantare di Verona si è tenuto la terza settimana di settembre; quest’anno, onde ...
Verona Palazzo della Gran Guardia, 4-6 ottobre 2018: “L’integrazione tra il biotipo ed il sociotipo odontoiatrico: anamnesi, procedure ed indicatori di ...
La ventesima edizione del Congresso Internazionale Biomet 3i, a Verona, 12-14 ottobre 2017, è focalizzata sul ruolo che le innovazioni cliniche e ...
Verona, 24-26 settembre 2015 “Dalla salute orale alla salute totale del paziente implantare”.
Verona, 24-26 settembre 2015 “Dalla salute orale alla salute totale del paziente implantare”.
Il congresso di Verona, organizzato dalla Biomax anno dopo anno, mira a fornire un quadro aggiornato delle più recenti innovazioni terapeutiche di ...
“Finalmente!” Questa è l’esclamazione che meglio sintetizza il senso di liberazione dopo quasi 2 anni di igiene orale in DAD.
Negli studi odontoiatrici la richiesta di procedure di medicina estetica non invasiva e mininvasiva al volto è in aumento: in Italia la legge di ...
È un format originale e attentamente studiato quello che caratterizza l’evento di Nobel Biocare Italiana che si terrà a Roma il prossimo...
Live webinar
mer. 15 aprile 2026
20:00 (CET) Rome
Live webinar
gio. 16 aprile 2026
2:00 (CET) Rome
Linda Hecker MS, BSDH, RDH
Live webinar
gio. 16 aprile 2026
18:00 (CET) Rome
Dr. Pär-Olov Östman, Dr. Robert Gottlander DDS
Live webinar
ven. 17 aprile 2026
18:00 (CET) Rome
Live webinar
ven. 17 aprile 2026
19:00 (CET) Rome
Dr. Stuart Yeaton BDentSc, MOrth
Live webinar
lun. 20 aprile 2026
19:00 (CET) Rome
Dr. Alberto Monje DDS, MS, PhD
Live webinar
mer. 22 aprile 2026
17:00 (CET) Rome
MDT Andreas Chatzimpatzakis
To post a reply please login or register