Il caso illustrato presenta i risultati clinici, radiografici e istomorfometrici ottenuti impiegando un sostituto osseo equino, trattato ad alta temperatura, per l’esecuzione di un intervento esteso di ridge preservation nel mascellare superiore.
Abstract
Presentazione del caso
Una paziente di 54 anni si è presentata all’osservazione con tutti gli elementi residui del mascellare superiore compromessi. Dopo la loro estrazione, gli alveoli sono stati innestati col sostituto osseo equino a lento riassorbimento al fine di prevenire il più possibile il riassorbimento del processo alveolare. L’innesto è stato protetto con una membrana in collagene (siti in quadrante 1) o con uno strato di cellulosa ossidata (siti in quadrante 2). Dopo 8 mesi si è proceduto al posizionamento di cinque impianti osteointegrati. A distanza di ulteriori 6 mesi si è consegnata la protesi definitiva. A un anno dalla consegna, la protesi è perfettamente funzionante. Il confronto delle scansioni CBCT eseguite prima delle estrazioni e prima del posizionamento implantare indica che il sostituto osseo ha permesso di diminuire il riassorbimento osseo del processo alveolare: l’entità del riassorbimento nei siti protetti da membrana è stata, mediamente, del 23%, inferiore al riassorbimento di circa il 40% che si è osservato nei siti che sono stati protetti da cellulosa ossidata. In entrambi i casi, l’osservazione istologica ha evidenziato che la qualità dei tessuti ossei nei siti innestati è stata soddisfacente. La quantità di tessuto osseo di nuova formazione è apparsa maggiore nei siti protetti da membrana rispetto a quelli ove era presente l’emostatico; ulteriori studi sono tuttavia necessari per verificare quest’osservazione. Le analisi istologiche ed istomorfometriche hanno inoltre confermato che il biomateriale impiegato è biocompatibile e lentamente riassorbibile.
Conclusioni
Il sostituto osseo di origine equina a lento riassorbimento si è dimostrato efficace nella conservazione del volume del processo alveolare; la sua capacità di prevenire il riassorbimento crestale, anche in confronto con biomateriali dalla più lunga storia di impiego, dovrebbe essere oggetto di specifici studi clinici prospettici, condotti su pazienti omogenei per biotipo tissutale.
Introduzione
La guarigione degli alveoli post-estrattivi e i processi di riassorbimento in atto dopo l’estrazione del dente sono oggetto di grande interesse in quanto sono determinanti per il successo della riabilitazione protesica su impianti. In seguito all’estrazione, il processo alveolare subisce un progressivo riassorbimento osseo che segue un andamento spaziale e temporale ben determinato (1-3). Se il posizionamento implantare non può essere eseguito immediatamente, la cresta ossea può riassorbirsi al punto tale da impedire il raggiungimento dei risultati estetici e funzionali desiderati (3). Per limitare il riassorbimento osseo, il chirurgo orale può eseguire un intervento di ridge preservation innestando del biomateriale nell’alveolo post-estrattivo (4). Tra i biomateriali disponibili, particolare interesse rivestono quelli derivati dal tessuto osso di specie di mammiferi diverse dall’Uomo, data la somiglianza di struttura e composizione che si osserva tra diversi mammiferi relativamente a questo tessuto (5). L’osso deproteinizzato di origine bovina è il sostituto osseo con la più lunga storia di impiego in chirurgia orale e maxillofacciale (6,7). Questo biomateriale viene ottenuto attraverso un processo ad alta temperatura che elimina dal tessuto bovino tutte le componenti organiche, comprese quelle antigeniche che lo renderebbero non biocompatibile (8). Quando osteoclasti umani sono fatti crescere su questo materiale piuttosto che su tessuto osseo bovino non trattato si è osservato che essi vi aderiscono meno, e hanno una ridotta attività di riassorbimento9. Si suppone che questa diversa predisposizione del materiale a essere riassorbito per via osteoclastica, rispetto il tessuto d’origine, sia dovuta principalmente al trattamento termico subito (a temperature maggiori di 600 °C), che ne ha modificato la conformazione e composizione minerale in modo significativo (8). Questa caratteristica si ripercuote nell’impiego clinico: diversi studi istomorfometrici hanno infatti dimostrato che l’osso bovino deproteinizzato ha un tempo di riassorbimento piuttosto lungo, con particelle di biomateriale che permangono nel sito di innesto anche dopo anni (10-12). Per questo motivo l’osso bovino deproteinizzato è considerato un eccellente mantenitore di spazio, ed è impiegato con successo negli interventi di ridge preservation (4). Recentemente è stato immesso in commercio un biomateriale di origine equina che, come l’osso bovino deproteinizzato, è ottenuto attraverso un trattamento ad alta temperatura del tessuto di origine, allo scopo di eliminarne le componenti antigeniche. Ad oggi il suo utilizzo in ambito clinico non è stato ancora documentato; lo scopo di questo lavoro è quello di presentare un caso clinico in cui questo biomateriale è stato impiegato con successo in un caso esteso di ridge preservation nel mascellare superiore, illustrando i risultati clinici, radiografici ed istomorfometrici ottenuti.
Presentazione del caso
La paziente, di 54 anni, si è presentata al Centro Odontoiatrico Dentalnarco a Trezzano Sul Naviglio, Milano, Italia con tutti gli elementi residui del mascellare superiore compromessi (elementi 1.6, 1.4, 1.3, 1.2, 1,1 nel quadrante destro e 2.1 e 2.2 nel quadrante sinistro) (Fig. 1). A livello anamnestico, la paziente presentava un pregresso episodio di trombosi cerebrale ed era quindi in terapia anticoagulante con warfarin sodico (Coumadin, Bristol-Myers Squibb Srl, Roma, Italia); riguardo al valore INR (dall’inglese International Normalized Ratio), il range terapeutico impostato dai medici curanti era di 3. Avendo la paziente richiesto la massima riduzione possibile in termini di invasività dell’intervento, è stato dunque escluso in questa fase un intervento di grande rialzo di seno nel quadrante 2 e si è optato per un intervento di ridge preservation contestuale alle avulsioni. Per procedere alla corretta elaborazione del piano di trattamento, la paziente è stata sottoposta ad esame CBCT utilizzando un dispositivo ad alta risoluzione (Xmind TRIUM, ACTEON, Milano, Italia) con un FOV di 12 x 8 cm. Considerato il biotipo tissutale sottile della paziente, l’estensione dell’area crestale oggetto di trattamento e l’esiguo spessore della corticale vestibolare (Fig. 2), alla paziente è stato proposto un piano di trattamento che prevedeva l’avulsione di tutti gli elementi, l’innesto di un biomateriale a lento riassorbimento, il posizionamento di 5 impianti in un secondo tempo chirurgico e la riabilitazione definitiva attraverso una protesi fissa con chiavistelli liberamente rimovibile dal paziente. La paziente ha accettato il piano di trattamento e fornito il proprio consenso informato.
Quattro giorni prima della chirurgia la paziente è stata sottoposta a igiene orale completa. Si è iniziata la profilassi antibiotica (amoxicillina/acido clavulanico, Augmentin, Glaxo-SmithKline, Verona, Italy; 2 g 1 ora prima della chirurgia e poi ogni 12 ore per i successivi 8-10 giorni) e la paziente ha eseguito alcuni sciacqui con clorexidina allo 0,2% (Corsodyl, Glaxo-SmithKline, Verona, Italy) da continuarsi per due settimane dopo l’intervento. L’area chirurgica è stata anestetizzata utilizzando articaina cloridrato 40 mg/ml con epinefrina 1:100.000. Gli elementi sono stati estratti in modo atraumatico (Fig. 3a).
Eseguita la pulizia degli alveoli per l’eliminazione di eventuali residui di tessuto fibroso, si è proceduto all’innesto del biomateriale di origine equina (Calcitos, Bioteck, Arcugnano, Italia), dopo averlo idratato con fisiologica sterile (Fig. 3b). In corrispondenza delle posizioni da 1.4 a 1.1, l’innesto è stato protetto con una membrana in collagene (Biocollagen, Bioteck, Arcugnano, Italia) (Fig. 3c). Nell’area corrispondente agli elementi 2.1 e 2.2 è stato invece applicato uno strato di cellulosa ossidata (Tabotamp, Ethicon, Neuchatel, Svizzera) (Fig. 3c). L’innesto in corrispondenza dell’alveolo 1.6 non è stato protetto. Si è proceduto quindi alla sutura con filamento in poliammide 5-0 (Monomyd, Butterfly, Cavenago, Italia) (Fig. 3d). La paziente ha avuto un decorso post-operatorio privo di eventi significativi e le suture sono state rimosse dopo 15 giorni dall’intervento. Dopo 8 mesi, la paziente è stata sottoposta a profilassi antibiotica e anestesia come già descritto e si è proceduto alla chirurgia di inserimento implantare. Si è aperto un lembo dalla posizione 1.7 alla posizione 2.3 e sono stati posizionati quattro impianti osteointegrati IDI Stone (IDI Evolution, Concorezzo, Italia) della misura di 3,75 x 12 mm (posizione 1.6), 3,5 x 10 mm (posizione 1.4) e 3,75 x 10 mm (posizione 1.3 e 1.2) e un impianto BTK Safe 3,7 x 6 mm (posizione 2.2) (BTK, Vicenza, Italia) prelevando contestualmente, in corrispondenza dei siti 1.3 e 1.1 nel primo quadrante e del sito 2.2 nel secondo quadrante, una biopsia ossea per la successiva indagine istomorfometrica (Figg. 4a-4f). Durante il posizionamento implantare si è proceduto al prelievo, ove possibile, di particolato autologo attraverso Safescraper (Meta, Reggio Emilia, Italia) e al suo innesto in sede peri-implantare per colmare eventuali gap coronali o in sede crestale per colmare eventuali deficit ossei locali. Ove necessario, si è posizionata una membrana in collagene (Biocollagen, Bioteck, Arcugnano, Italia), opportunamente ritagliata, a protezione dell’innesto autologo (non mostrato). A distanza di quattro mesi si è proceduto alla scopertura degli impianti e al posizionamento delle viti di guarigione. Dopo ulteriori 2 mesi si è proceduto alla consegna della protesi definitiva (Figg. 5a-5c). A un anno dalla consegna, la protesi è perfettamente funzionante.
Misura degli spessori ossei sulle sezioni TC
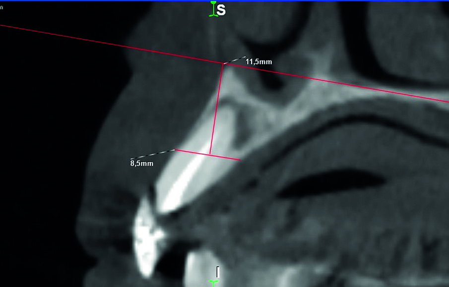
Per verificare la capacità del materiale innestato di conservare gli spessori crestali, è stata condotta sulle sezioni CBCT corrispondenti agli alveoli innestati un’indagine quantitativa come segue. Per ogni alveolo, è stata analizzata la sezione CBCT trasversale, acquisita in fase pre-operatoria, corrispondente alla sezione mediana dell’elemento coinvolto (Fig. 6a). Su di essa si è tracciata la retta passante per l’osso basale del palato e una retta a essa parallela a una distanza ritenuta adatta anche alla misurazione successiva sulla CBCT eseguita prima del posizionamento implantare. Lo spessore crestale pre-operatorio è stato misurato all’intersezione di questa retta con le due corticali vestibolare e palatale. Individuata la stessa sezione sulla CBCT pre-posizionamento implantare, su di essa è stata eseguita la stessa costruzione geometrica (Fig. 6b). Lo stesso procedimento è stato ripetuto per tutti gli alveoli oggetto di innesto. I risultati di tale analisi sono riportati in Tabella 1. I valori sono stati quindi mediati per tutti gli alveoli innestati, nonché separatamente per gli alveoli ove è stata posizionata la membrana e quelli ove è stata posizionata la cellulosa ossidata. I risultati sono come segue: considerati tutti gli alveoli oggetto di analisi, l’entità media del riassorbimento è stata pari al 28,4 ± 10,6%; tale valore era pari al 22,8 ± 7,8 considerando gli alveoli protetti con membrana e al 39,5 ± 0,7% considerando gli alveoli protetti con cellulosa ossidata.
Indagine istologica ed istomorfometrica
Ciascun campione osseo è stato fissato in formalina al 4% e decalcificato per 21 giorni in una soluzione contenente Sodio Formiato 0,76M e Acido Formico 1,6M (Panreac Quimica, Barcelona, Spagna). Successivamente il campione è stato disidratato in etanolo e incluso in paraffina. Sono state quindi tagliate sezioni di 5 μm di spessore che sono state montate su vetrino e colorate con ematossilina-eosina. Sono state quindi acquisite immagini ad alta definizione delle sezioni ossee che sono state utilizzate per condurre sia un’analisi qualitativa che quantitativa (Figg. 7a-7c). Per quest’ultima, si è proceduto a eseguire misure morfometriche sulle microfotografie a ingrandimento 3.5x: sono stati scelti a caso cinque campi ove, attraverso il software di analisi di immagine ImageJ 1.33 (National Institute of Health, Bethesda, USA) sono state misurate l’area totale del campione (TSA), l’area ossea totale (TBA), l’area di tessuto osseo vitale, neo-formato (LBA) e l’area del sostituto osseo residuo (RBA). L’area occupata da tessuto connettivo e spazi midollari è stata ottenuta per sottrazione (TSA-TBA). L’area ossea totale (TBA) corrisponde alle zone occupate da tessuto osseo vitale e sostituto osseo residuo. Il valore LBA è stato calcolato sommando i valori di area corrispondenti alle zone occupate dal solo osso vitale neo-formato. Il valore RBA è stato calcolato come differenza tra TBA e LBA (RBA = TBA-LBA). Per ogni campo sono stati quindi calcolati i rapporti TBA/TSA, LBA/TSA e RBA/TSA. Infine, sono stati calcolati per ciascun parametro d’interesse i valori medi sui 5 campi (N=5).
Nell’analisi qualitativa dei campioni si è sempre osservata una porzione di tessuto osseo di nuova formazione, di estensione variabile in funzione del campione considerato. Le aree corrispondenti alle particelle di sostituto osseo residuo sono state identificate sia perché basofile, sia per l’assenza di osteociti nelle lacune ossee. Le particelle di sostituto osseo erano in stretto contatto con il tessuto osseo vitale (intensamente colorato dall’eosina e ricco di osteociti), senza che si potessero osservare gaps, a indicare la biocompatibilità dell’innesto, confermata dall’assenza sia di tessuto simil-cartilagineo che di infiltrati infiammatori. In tutti i campioni si è osservata anche una quantità variabile di tessuto connettivo. I risultati dell’analisi quantitativa sono riportati in Tabella 2. I valori medi relativi a tutti e tre i campioni analizzati sono: tessuto osseo neoformato, 39,8 ± 18,1%; biomateriale residuo: 24,9 ± 14,2%; spazi midollari/tessuto connettivale, 35,4 ± 24,3%. I valori medi devono considerarsi solo indicativi e, possibilmente, sovrastimati per quanto riguarda il tessuto osseo di neoformazione considerando che il campione raccolto in posizione 1.1 presenta probabilmente una porzione significativa costituita da tessuto osseo basale del paziente (Fig. 7b).
Fig. 1_CBCT e ricostruzione tridimensionale del massiccio facciale della paziente. I sette elementi ancora presenti nel mascellare superiore sono compromessi.
Fig. 2_Dettaglio CBCT (è mostrato l’elemento 1.2), esemplificativo dello spessore estremamente ridotto della corticale vestibolare della paziente, al limite della rilevabilità dell’esame diagnostico.
Figg. 3a-3d_(A) dopo l’estrazione degli elementi compromessi, gli alveoli sono stati innestati (b) con il sostituto osseo equino a lento riassorbimento; (c) gli innesti del primo quadrante, ad eccezione di quello in posizione 1.6 sono stati protetti con una membrana in collagene, quelli del secondo quadrante con cellulosa ossidata per poi procedere (d) alla sutura con monofilamento non riassorbibile.
Figg. 4a-4f_A 8 mesi dall’intervento di ridge preservation, si può apprezzare l’ottimo aspetto dei tessuti molli prima del posizionamento implantare (a), eseguito aprendo un lembo a tutto spessore (b) e prelevando alcuni campioni ossei per la successiva analisi istologica (c, d), posizionando cinque impianti osteointegrati (e, f).
Figg. 5a-5c_(A) dopo l’opportuno condizionamento dei tessuti molli si è proceduto alla consegna della protesi definitiva (b), su barra con chiavistelli (c).
Figg. 6a, 6b_Misura degli spessori ossei. Viene mostrata a titolo esemplificativo la misura eseguita a livello dell’elemento 1.2. (A) sulla CBCT acquisita prima dell’estrazione si traccia una retta passante per la base del palato; successivamente si traccia una retta parallela alla prima, in posizione più coronale, dove si misura lo spessore osseo. (B) per misurare lo spessore osseo prima del posizionamento implantare si identifica la sezione corrispondente della seconda CBCT, sulla quale si riporta la stessa costruzione geometrica e si procede alla misura dello spessore osseo.
Tabella 1_Entità del riassorbimento nelle diverse posizioni ove è stato innestato il materiale. L’ultima colonna riporta media ± deviazione standard (SD) del riassorbimento nei siti innestati con il sostituto osseo e protetti da membrana (posizione 1.4, 1.3, 1.2 e 1.1) o protetti da cellulosa ossidata (posizione 2.1 e 2.2) e i valori mediati per tutti gli alveoli.
Tabella 2_Risultati dell’analisi istomorfometrica.
Figg. 7a-7c_Immagini istologiche delle tre biopsie ossee prelevate durante il posizionamento implantare, rispettivamente in posizione 1.3 (a), 1.1 (b) e 2.2 (c). Il primo campione si è frammentato durante il prelievo; il secondo campione mostra la maggiore quantità di tessuto osseo. La porzione apicale corrisponde probabilmente all’osso basale del paziente. Il terzo campione, corrispondente a una posizione ove era presente l’emostatico invece della membrana, mostra una buona ossificazione, sebbene più rarefatta.
L’analisi statistica è stata effettuata utilizzando il programma statistico GraphPad Prism 4.0 (Graph- Pad software, San Diego, CA, USA). Tutti i risultati sono espressi come media ± SD.
Discussione
Il caso illustrato rappresenta un caso limite ove, per il biotipo della paziente e l’esiguo spessore osseo iniziale, la riabilitazione attraverso protesi supportata da impianti sarebbe risultata difficile, se non impraticabile, senza l’esecuzione di tecniche mirate alla conservazione del processo alveolare. L’esito istologico e istomorfometrico ha mostrato che il biomateriale prescelto, un sostituto osseo equino trattato per via termica, analogo all’osso bovino deproteinizzato, è biocompatibile e scarsamente riassorbibile, vista la presenza al momento dell’inserimento implantare di una quantità ancora significativa di biomateriale, compatibile con i valori riportati in letteratura per l’osso bovino deproteinizzato (4,13). È ragionevole supporre che tale caratteristica abbia contribuito alla conservazione dello spessore del processo alveolare. I valori osservati di riassorbimento sembrano essere coerenti con quelli riportati in letteratura (14), tenendo in considerazione il diverso tempo d’attesa (8 mesi nel caso presente contro i 6 dello studio citato e la variabilità statistica in esso riportata). Tale ipotesi – ovvero, che i due biomateriali siano in grado di prevenire il riassorbimento del processo alveolare allo stesso modo – dovrebbe essere oggetto di appositi studi prospettici randomizzati, condotti su gruppi di pazienti omogenei per biotipo; tali studi dovrebbero indagare non solo le variazioni bidimensionali degli spessori ossei (altezza, larghezza), ma anche quelle volumetriche. Nel caso illustrato, data l’esiguità del numero di campioni, non si è ritenuto ragionevole eseguire analisi statistiche di confronto tra i risultati relativi alla zona protetta da membrana e quella protetta dalla cellulosa ossidata; i risultati tuttavia sembrano indicare che l’entità del riassorbimento possa essere stata maggiore laddove è stato applicato il solo emostatico, in linea con la letteratura più recente che indica che la presenza di una membrana può contribuire significativamente al successo degli interventi di ridge preservation (15).
Conclusioni
Il sostituto osseo di origine equina a lento riassorbimento si è dimostrato efficace nella conservazione dello spessore del processo alveolare della paziente del caso illustrato, permettendo a distanza di otto mesi dalle estrazioni di eseguire il posizionamento di 5 impianti osteointegrati e di riabilitare la paziente con successo. La capacità del sostituto utilizzato di prevenire il riassorbimento crestale in confronto a biomateriali con più lunga storia d’impiego, quali l’osso bovino deproteinizzato, dovrebbe essere oggetto di studi prospettici randomizzati, condotti su gruppi di pazienti omogenei per biotipo.
Bibliografia
- Schropp L, Kostopoulos L, Wenzel A. Bone healing following immediate versus delayed placement of titanium implants into extraction sockets: a prospective clinical study. Int J Oral Maxillofac Implants. 2003 Mar-Apr;18(2):189-99.
- Van der Weijden F, Dell’Acqua F, Slot DE. Alveolar bone dimensional changes of post-extraction sockets in humans: a systematic review. J Clin Periodontol 2009: 36: 1048-58.
- Araújo MG, Lindhe J. Ridge alterations following tooth extraction with and without flap elevation: an experimental study in the dog. Clin Oral Implants Res 2009: 20: 545-9.
- De Risi V, Clementini M, Vittorini G, Mannocci A, De Sanctis M. Alveolar ridge preservation techniques: a systematic review and meta-analysis of histological and histomorphometrical data. Clin Oral Implants Res. 2015 Jan;26(1):50-68
- Aerssens J, Boonen S, Lowet G, Dequeker J. Interspecies differences in bone composition, density, and quality: potential implications for in vivo bone research. Endocrinology 1998: 139: 663-670.
- Baldini N, De Sanctis M, Ferrari M. Deproteinized bovine bone in periodontal and implant surgery. Dent Mater 2011: 27: 61-70.
- Jensen SS, Terheyden H. Bone augmentation procedures in localized defects in the alveolar ridge: clinical results with different bone grafts and bone-substitute materials. Int J Oral Maxillofac Implants 2009: 24 Suppl: 218-236.
- Benke D, Olah A, Möhler H. Protein-chemical analysis of Bio-Oss bone substitute and evidence on its carbonate content. Biomaterials 2001: 22: 1005-1012.
- Perrotti V, Nicholls BM, Horton MA, Piattelli A. Human osteoclast formation and activity on a xenogenous bone mineral. J Biomed Mater Res A 2009: 90: 238-246.
- Traini T, Valentini P, Iezzi G, Piattelli A. A histologic and histomorphometric evaluation of anorganic bovine bone retrieved 9 years after a sinus augmentation procedure. J Periodontol 2007: 78: 955-961.
- Mordenfeld A, Hallman M, Johansson CB, Albrektsson T. Histological and histomorphometrical analyses of biopsies harvested 11 years after maxillary sinus floor augmentation with deproteinized bovine and autogenous bone. Clin Oral Implants Res 2010: 21: 961-970.
- Sartori S, Silvestri M, Forni F, Icaro Cornaglia A, Tesei P, Cattaneo V. Ten-year follow-up in a maxillary sinus augmentation using anorganic bovine bone (Bio-Oss). A case report with histomorphometric evaluation. Clin Oral Implants Res 2003: 14: 369-372.
- Zhan YL, Hu WJ, Xu T, Zhen M, Lu RF. Histomorphometric evaluation of ridge preservation after molar tooth extraction. Beijing Da Xue Xue Bao. 2017 Feb 18;49(1):169-75.
- Schulz MC, Kallweit MB, Kallweit S, Koch R, Lauer G, Mai R, Hoffmann T. Autogenous bone and a bovine bone substitute for ridge preservation - preliminary clinical and histologic findings. Aust Dent J. 2015 Mar 26. [Epub ahead of print]
- Kim JJ, Schwarz F, Song HY, Choi Y, Kang KR, Koo KT. Ridge preservation of extraction sockets with chronic pathology using Bio-Oss® Collagen with or without collagen membrane: an experimental study in dogs. Clin Oral Implants Res. 2017 Jun;28(6):727-733.
L'articolo è stato pubblicato su Implants gennaio 2018.
Tag:
La perimplantite è un processo infiammatorio, che colpisce i tessuti intorno all’impianto osteointegrato portando ad una perdita ossea periimplantare. ...
Le classificazioni dell’atrofia ossea, basate sull’analisi solo anatomica del difetto in termini di profilo della cresta residua, presentano ...
Le classificazioni dell’atrofia ossea, basate sull’analisi solo anatomica del difetto in termini di profilo della cresta residua, presentano ...
La rigenerazione ossea con tecnica GBR è uno strumento indispensabile per quanti si occupano di implantologia, al fine di garantire una ...
SILVER SPRING - La Food and Drug Administration aggiorna le raccomandazioni circa l'uso di sostituti per innesto osseo contenenti proteine ricombinanti o ...
La presenza di un sufficiente volume di osso alveolare e di una adeguata banda di gengiva cheratinizzata sono pre-requisiti essenziali per ottenere una ...
L’inserimento d’impianti dentali è oramai una pratica quotidiana per la riabilitazione delle edentulie, parziali o totali, dei ...
Il trattamento dell’alveolo post-estrattivo rappresenta una sfida quotidiana nella pratica clinica. A seguito di un’estrazione dentaria ...
Al XXVII Congresso di Monte Carlo dello scorso novembre 2015, Dental Tribune ha incontrato il professor Danilo Alessio Di Stefano (in foto), docente di ...
Live webinar
mer. 22 aprile 2026
17:00 (CET) Rome
MDT Andreas Chatzimpatzakis
Live webinar
mer. 22 aprile 2026
17:00 (CET) Rome
Live webinar
mer. 22 aprile 2026
18:00 (CET) Rome
Live webinar
gio. 23 aprile 2026
17:00 (CET) Rome
Live webinar
gio. 23 aprile 2026
18:30 (CET) Rome
Live webinar
gio. 23 aprile 2026
19:00 (CET) Rome
Live webinar
gio. 30 aprile 2026
1:00 (CET) Rome
Dr. Renato Leonardo D.M.D.
To post a reply please login or register