La paziente giunge in studio riferendo di aver avuto dolore spontaneo a carico del molare inferiore di sinistra e gonfiore della gengiva e che, dopo aver preso antibiotico e antidolorifico, ora avvertiva solo dolore alla masticazione e ancora infiammazione gengivale.
Clinicamente il dente risultava dolente alla percussione e presentava sondaggio puntiforme vestibolarmente (Figg. 1a- 1c). L’esame radiografico (Fig. 2) mostrava un’ampia lesione periradicolare.
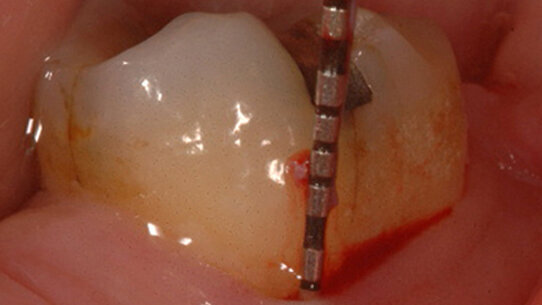
All’apertura della cavità d’accesso si osservava una parziale necrosi della polpa e un’incrinatura mesio-distale che si estendeva alle creste marginali ( Fig. 3).
La terapia endodontica è stata eseguita in un’unica seduta effettuando la preparazione canalare con tecnica mista (manuale e meccanica) e otturando i canali con tecnica di condensazione a caldo (Fig. 4): Radiografia di controllo post otturazione canalare.
Il sondaggio parodontale a una settimana dal trattamento endodontico mostra la scomparsa del sondaggio puntiforme vestibolare (Fig. 5).
Build-up in composito e preparazione per un overlay in composito (Figg. 6, 7).
Cementazione overlay. La cementazione è stata eseguita utilizzando lo stesso composito impiegato per il build-up preriscaldato (Fig. 8).
Radiografia post cementazione (Fig. 9).
Visione vestibolare del restauro immediatamente dopo cementazione (Fig. 10).
Radiografia di controllo a 18mesi dal trattamento (Fig. 11).
Controllo clinico (vestibolare) a 18 mesi dal trattamento (Fig. 12).
embedImagecenter("Imagecenter_2_535",535,"small");
L'articolo è stato pubblicato sul numero 06 di Dental Tribune Italy (speciale Endo Tribune) 2012.
Il paziente di anni 46 si presenta con difficoltà alla masticazione sul lato destro. All’esame clinico si evidenzia un rigonfiamento ascessuale...
La considerazione che molti disturbi del distretto cranio-cervicale possano dipendere dagli atteggiamenti posturali conseguenti a una occlusione non ...
La considerazione che molti disturbi del distretto cranio-cervicale possano dipendere dagli atteggiamenti posturali conseguenti a una occlusione non ...
La ceramica al silicato di litio rinforzata con biossido di zirconio (ZLS) è una nuova vetroceramica ad alte prestazioni con caratteristiche ...
In studio si presenta una paziente di 37 anni lamentandosi dell’incisivo laterale di destra grigio. Era stata da più dentisti, i quali le avevano ...
Il presente lavoro descrive la procedura con laser neodimio Nd:YAG 1064 nm per intervento di perimplantite.
Pianificazione digitale delle procedure chirurgica, estetica e funzionale per la creazione di due arcate protesiche complete su impianti.
Esiste una categoria di pazienti che si presentano alla nostra attenzione dopo aver trascorso anni senza essersi sottoposti ad una visita odontoiatrica. Nel...
Introduzione
Negli ultimi anni i dispositivi ortodontici funzionali non sono usati soltanto come contenzione passiva, ma anche e soprattutto come ...
Negli ultimi anni è notevolmente aumentata la complessità del processo diagnostico e terapeutico in campo odontoiatrico. Di volta in volta, ...
Dr. Bruce McFarlane Certified Specialist in Orthodontics Fellow: Royal College of Dentists of Canada Diplomate: American Board of Orthodontics
Live webinar
mer. 15 aprile 2026
20:00 (CET) Rome
Live webinar
gio. 16 aprile 2026
2:00 (CET) Rome
Linda Hecker MS, BSDH, RDH
Live webinar
gio. 16 aprile 2026
18:00 (CET) Rome
Dr. Pär-Olov Östman, Dr. Robert Gottlander DDS
Live webinar
ven. 17 aprile 2026
18:00 (CET) Rome
Live webinar
ven. 17 aprile 2026
19:00 (CET) Rome
Dr. Stuart Yeaton BDentSc, MOrth
Live webinar
lun. 20 aprile 2026
19:00 (CET) Rome
Dr. Alberto Monje DDS, MS, PhD
To post a reply please login or register