Gli impianti dentali sono diventati una delle procedure più utilizzate per il ripristino dei denti mancanti. Questa tendenza è confermata anche dagli approfondimenti sul mercato europeo degli impianti dentali: si prevede che il mercato si svilupperà a un tasso di crescita annuale composto del 6% dal 2019 al 20251.
Le superfici delle protesi implantari sono notoriamente difficili da pulire rispetto ai denti naturali e l’infiammazione peri-implantare è comunemente osservata nella pratica odontoiatrica. È stato riportato che la prevalenza della mucosite peri-implantare è stimata al 43% e la peri-implantite si verifica nel 22% dei pazienti con protesi implantari2. Il principale fattore eziologico coinvolto nell’insorgenza della mucosite perimplantare e della perimplantite è la presenza di placca sulla superficie del complesso implanto-protesico, con conseguente infiammazione dei tessuti molli peri-implantari e progressiva perdita di osso3. La sfida per il clinico sarà quindi quella di mantenere la salute orale nei pazienti con protesi supportate da impianti, controllando costantemente i fattori di rischio e migliorando il controllo della placca intorno ai denti naturali e agli impianti con un approccio personalizzato. Il clinico deve sottolineare l’importanza della rimozione meccanica del biofilm, perché questa è ancora la pietra miliare del successo della terapia parodontale e perimplantare4. Sia gli spazzolini manuali che quelli elettrici sono efficaci nella rimozione del biofilm. Nonostante questo, diversi studi clinici e revisioni sistematiche hanno riportato che gli spazzolini elettrici roto-oscillanti riducono la placca e la gengivite più degli spazzolini manuali e di altri spazzolini elettrici5-7.
Nei pazienti con protesi fisse supportate da impianti, l’evidenza clinica dimostra che gli spazzolini elettrici con tecnologia roto-oscillante migliorano il controllo della placca e la salute gengivale intorno ai manufatti protesici8-10. Recentemente Oral-B ha introdotto una nuova tecnologia roto-oscillante nel suo nuovo dispositivo chiamato Oral-B iO. La caratteristica principale di questo nuovo spazzolino elettrico è il sistema di trasmissione magnetica lineare che concentra l’energia sulle punte delle setole, riducendo il rumore e offrendo un’esperienza di spazzolamento più efficace e confortevole. È stato inoltre introdotto un sensore di pressione intelligente. Il nuovo sensore presenta un feedback bimodale: è in grado di rilevare quando i pazienti non esercitano una pressione sufficiente (meno di 0,8 N) o una pressione eccessiva (più di 2,5 N)11. In questo modo l’utente viene istruito su come spazzolare nel range di pressione corretto, evitando di spazzolare troppo poco: una caratteristica che non era presente nei modelli Oral-B precedenti. Inoltre, le testine sono state ridisegnate e presentano nuove caratteristiche, come la disposizione delle setole a “ciuffo nel ciuffo” per le zone più difficili da raggiungere nella testina Ultimate Clean e i filamenti con il diametro più piccolo di tutte le altre testine prodotte da Oral-B nella testina Gentle Clean. La testina Targeted Clean è stata sviluppata in collaborazione con i professionisti del settore dentale per gestire efficacemente la placca intorno ad apparecchi, impianti e altre aree che richiedono maggiore attenzione. L’obiettivo del presente studio è valutare l’efficacia del nuovo spazzolino elettrico Oral-B iO con una testina appositamente progettata in pazienti con impianti dentali.
Materiali e metodi
Lo studio è stato condotto tra marzo 2021 e giugno 2021 presso lo Studio privato Mazzocco-Paniz di Padova. La selezione dei partecipanti è avvenuta seguendo i criteri di inclusione: età compresa tra i 18 e i 90 anni e buona salute generale, soggetti non fumatori e impianto inserito almeno un anno prima del reclutamento. I pazienti sono stati reclutati anche in base al loro stato di salute orale e alle loro abitudini: sono stati scelti pazienti con un indice di placca superiore al 25% e/o con mucosite in almeno un impianto. Sono stati inclusi i pazienti che utilizzavano spazzolini manuali o elettrici diversi dalla tecnologia roto-oscillante o con tecnologia roto-oscillante ma senza sensore di pressione. Sono stati esclusi i pazienti che si sono sottoposti a una seduta di igiene dentale professionale meno di tre mesi prima del reclutamento e quei pazienti che hanno utilizzato clorexidina o antibiotici sistemici o locali nel mese precedente al reclutamento.
Per ogni paziente è stata compilata la cartella parodontale unitamente alla registrazione degli indici di sanguinamento e di placca (FMBS e FMPS). Per rilevare la placca, è stato utilizzato un agente rivelatore. Al paziente è stato mostrato come utilizzare il nuovo spazzolino elettrico e sono state fornite istruzioni su come utilizzare la testina “targeted clean”. È stato fissato un nuovo appuntamento a 8 settimane, una volta confermata la comprensione delle istruzioni da parte dei pazienti. A tutti i pazienti è stato dato lo stesso dentifricio (Oral-B Gum & Enamel Pro Repair) ed è stato chiesto loro di non usare collutori o gel a base di clorexidina.
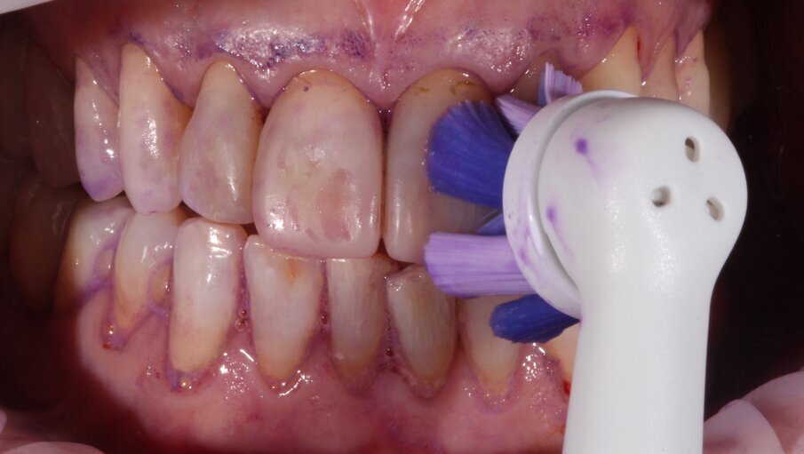
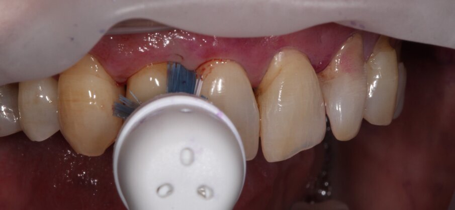
Il protocollo di spazzolamento adottato per questo studio consisteva nell’utilizzare la testina ultimate o gentle clean per due minuti e poi spazzolare per un altro minuto con la testina targeted clean nelle aree che necessitavano particolare attenzione senza l’utilizzo del dentifricio. Dopo aver valutato insieme al paziente le aree che necessitano di una detersione più mirata, il paziente è stato istruito a inserire le setole all’interno del solco perimplantare con un’inclinazione di 45 gradi e un movimento lento da mesiale a distale (Figg. 3, 4) per almeno 10 secondi per impianto (5 secondi sul lato buccale e 5 secondi dal lato palatale/linguale). Le figure da 1 a 4 presentano il protocollo di spazzolamento utilizzato dai pazienti.
Fig. 1 - Testina Ultimate Clean.
Fig. 2 - Testina Gentle Clean su struttura implanto-protesica full arch.
Fig. 3 - Testina Targeted Clean con inclinazione a 45°.
Fig. 4 - Testina Targeted Clean usata per pulire le aree linguali delle protesi supportate da impianti.
Risultati
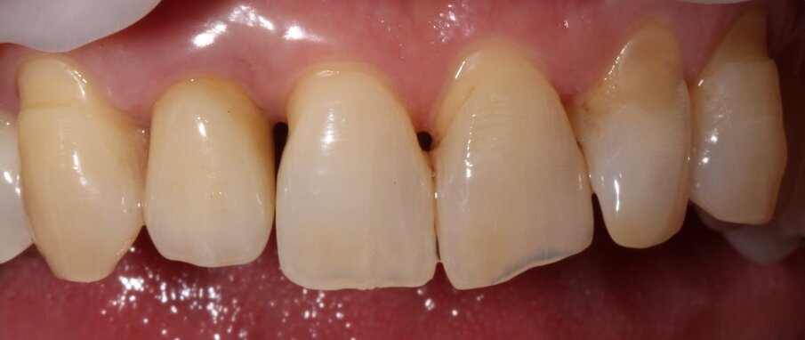
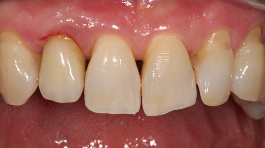
7 pazienti hanno soddisfatto i criteri di inclusione e sono stati selezionati per partecipare allo studio. Le informazioni demografiche sono presentate nella tabella 1: 6 donne e 1 uomo hanno completato lo studio con un’età compresa tra 24 e 73 anni. I parametri clinici di base (FMPS-FMBS), il numero di impianti e il tipo di protesi sono presentati nella tabella 2. 5 pazienti avevano una storia di parodontite e l’impianto è stato inserito a causa della malattia parodontale. In totale sono stati esaminati 38 siti implanto-protesici. Nella tabella 3 si può notare la differenza del FMPS e del FMBS dal baseline al follow-up di 8 settimane. Nella figura 5 è possibile vedere uno dei casi selezionati e il miglioramento visibile dell’indice di placca. Nelle figure da 6 a 8 è possibile invece visionare un caso in cui è possibile notare un cambiamento dei tessuti molli peri-implantari. I pazienti che presentavano mucosite peri-implantare in alcuni impianti hanno risolto il loro stato infiammatorio in un periodo di 8 settimane.
| Paziente n. |
Sesso |
Età |
Tipo di spazzolino utilizzsto prima dell’inizio dello studio |
| 1 |
F |
68 |
Manuale |
| 2 |
F |
73 |
Spazzolino elettrico roto-oscillante senza sensore di pressione |
| 3 |
F |
43 |
Spazzolino elettrico roto-oscillante senza sensore di pressione |
| 4 |
F |
67 |
Spazzolino elettrico roto-oscillante senza sensore di pressione |
| 5 |
M |
24 |
Spazzolino elettrico roto-oscillante senza sensore di pressione |
| 6 |
F |
66 |
Manuale |
| 7 |
F |
41 |
Manuale |
Tab. 1 - Informazioni demografiche sui partecipanti.
| Paziente n. |
Numero di impianti |
Tipologia impianti |
FMPS (%) |
FMBS (%) |
Storia di parodontite |
| 1 |
5 |
Ponte su impianti avvitati |
27 |
12 |
Sì |
| 2 |
12 |
Impianti singoli avvitati e ponte su impianti avvitai |
90 |
50 |
Sì |
| 3 |
10 |
Riabilitazione full arch implantare (avvitati) |
10 |
7 |
NO |
| 4 |
2 |
Single screw implants |
80 |
10 |
Sì |
| 5 |
5 |
Impianti singoli avvitati e ponte su impianti avvitai |
26 |
5 |
NO |
| 6 |
2 |
Impianti singoli avvitati |
26 |
20 |
Sì |
| 7 |
2 |
Ponte su impianti avvitati |
60 |
15 |
Sì |
Tab. 2 - Caratteristiche cliniche al baseline.
| |
T 0 |
Follow-up 8 settimane |
| Patziente n. |
FMPS (%) |
FMBS (%) |
FMPS (%) |
FMBS (%) |
| 1 |
27 |
12 |
7 |
2 |
| 2 |
90 |
50 |
30 |
10 |
| 3 |
10 |
7 |
1 |
0 |
| 4 |
80 |
10 |
20 |
5 |
| 5 |
26 |
5 |
5 |
0 |
| 6 |
26 |
20 |
16 |
10 |
| 7 |
60 |
15 |
15 |
5 |
Tab. 3 - Risultati a 8 settimane.
Figg. 5a, 5b - Miglioramento del FMPS a 8 settimane.
Figg. 5a, 5b - Miglioramento del FMPS a 8 settimane.
Figg. 6a, 6b - Mucosite perimplantare a carico dell’impianto in sede 12.
Figg. 6a, 6b - Mucosite perimplantare a carico dell’impianto in sede 12.
Fig.7 - Spazzolamento dell’area con la testina ultimate clean e targeted clean.
Fig. 8 - Follow-up 8 settimane, assenza di sanguinamento e riduzione dell’infiammazione.
Discussione
Lo scopo di questo studio, della durata di 8 settimane, è stato quello di valutare l’efficacia dell’utilizzo di un nuovo spazzolino elettrico roto-oscillante con movimento magnetico e microvibrazioni in pazienti con restauri implantari che presentavano mucosite peri-implantare e/o indici di placca elevati. Il nuovo dispositivo, insieme alle istruzioni fornite dall’igienista dentale, è stato in grado di ridurre di tre volte il FMPS e di sanguinamento (FMPS medio dal 45,6% al 13,4% e FMBS medio dal 17% al 4,5%). Questi risultati sono in linea con le più recenti evidenze scientifiche che hanno confermato che il passaggio da gengive “non sane” (>10% di siti sanguinanti) a gengive “sane” a 8 settimane era da 5 a 6 volte superiore quando si usava Oral-B iO rispetto ad altri spazzolini11-13.
Alla fine dello studio non è stata notata alcuna perdita di attacco clinico durante l’utilizzo di Oral-B iO e della nuova testina targeted clean utilizzata all’interno del solco. Nessuno dei pazienti ha segnalato disagio durante l’uso del nuovo spazzolino, anche nelle aree in cui non era presente la mucosa cheratinizzata, e alla fine dello studio non sono state osservate ulcerazioni gengivali. Questi risultati sono supportati da studi clinici e di coorte con un campione più ampio che hanno riportato un leggero aumento del livello di attacco parodontale durante l’uso dello spazzolino elettrico roto-oscillante10 e la sicurezza e l’accettabilità dello spazzolino elettrico usato in aree estetiche9.
In questo studio sono stati valutati un totale di 38 impianti: non tutti hanno manifestato i segni clinici della mucosite peri-implantare, ma si trovavano in un contesto in cui il livello di placca era subottimale. Pertanto, questi siti sono a rischio di sviluppare mucosite peri-implantare. Oral B iO ha avuto un impatto anche nei pazienti che già utilizzavano una tecnologia roto-oscillante, fornendo così la prova che il nuovo dispositivo ha funzionato meglio del modello precedente; questo suggerisce che per migliorare il controllo della placca la nuova tecnologia dovrebbe essere presa in grande considerazione durante la fase di istruzione e motivazione.
Conclusioni
Il controllo della placca e del sanguinamento intorno ai denti naturali e agli impianti dentali può essere ottenuto con uno spazzolino oscillante-rotante. Anche la testina dello spazzolino destinata agli impianti dentali si è dimostrata efficace nell’eliminare la placca intorno ai profili protesici e nelle aree di più difficile accesso.
Bibliografia
- Markets, 2019.
- Jepsen, S., Berglundh, T., Genco, R., Aass, A.M., Demirel, K., Derks, J., Figuero, E., Giovannoli, J.L., Goldstein, M., Lambert, F., Ortiz‐Vigon, A., Polyzois, I., Salvi, G.E., Schwarz, F., Serino, G., Tomasi, C., Zitzmann, N.U., 2015. Primary prevention of peri-implantitis: Managing peri-implant mucositis. Journal of Clinical Periodontology 42, S152–S157. https://doi.org/10.1111/jcpe.12369.
- Berglundh, T., Armitage, G., Araujo, M.G., Avila-Ortiz, G., Blanco, J., Camargo, P.M., Chen, S., Cochran, D., Derks, J., Figuero, E., Hämmerle, C.H.F., Heitz-Mayfield, L.J.A., Huynh-Ba, G., Iacono, V., Koo, K.-T., Lambert, F., McCauley, L., Quirynen, M., Renvert, S., Salvi, G.E., Schwarz, F., Tarnow, D., Tomasi, C., Wang, H.-L., Zitzmann, N., 2018. Peri-implant diseases and conditions: Consensus report of workgroup 4 of the 2017 World Workshop on the Classification of Periodontal and Peri-Implant Diseases and Conditions. J. Clin. Periodontol. 45 Suppl 20, S286–S291. https://doi.org/10.1111/jcpe.12957.
- Tonetti, M.S., Eickholz, P., Loos, B.G., Papapanou, P., Velden, U. van der, Armitage, G., Bouchard, P., Deinzer, R., Dietrich, T., Hughes, F., Kocher, T., Lang, N.P., Lopez, R., Needleman, I., Newton, T., Nibali, L., Pretzl, B., Ramseier, C., Sanz‐Sanchez, I., Schlagenhauf, U., Suvan, J.E., 2015. Principles in prevention of periodontal diseases. Journal of Clinical Periodontology 42, S5–S11. https://doi.org/10.1111/jcpe.12368.
- Adam, R., Erb, J., Grender, J., 2020. Randomized controlled trial assessing plaque removal of an oscillating-rotating electric toothbrush with micro-vibrations. Int Dent J 70 Suppl 1, S22–S27. https://doi.org/10.1111/idj.12568.
- Grender, J., Adam, R., Zou, Y., 2020a. The effects of oscillating-rotating electric toothbrushes on plaque and gingival health: A meta-analysis. Am J Dent 33, 3–11.
- Yaacob, M., Worthington, H.V., Deacon, S.A., Deery, C., Walmsley, A.D., Robinson, P.G., Glenny, A.-M., 2014. Powered versus manual toothbrushing for oral health. Cochrane Database Syst Rev CD002281. https://doi.org/10.1002/14651858.CD002281.pub3
- Allocca et al., 2018.
- Rasperini, G., Pellegrini, G., Cortella, A., Rocchietta, I., Consonni, D., Simion, M., 2008. The safety and acceptability of an electric toothbrush on peri-implant mucosa in patients with oral implants in aesthetic areas: a prospective cohort study. Eur J Oral Implantol 1, 221–228.
- Vandekerckhove, B., Quirynen, M., Warren, P.R., Strate, J., van Steenberghe, D., 2004. The safety and efficacy of a powered toothbrush on soft tissues in patients with implant-supported fixed prostheses. Clin Oral Investig 8, 206–210. https://doi.org/10.1007/s00784-004-0278-z
- Adam, R., 2020. Introducing the Oral-B iO electric toothbrush: next generation oscillating-rotating technology. International Dental Journal 70, S1–S6. https://doi.org/10.1111/idj.12570
- Goyal, C.R., Adam, R., Timm, H., Grender, J., Qaqish, J., 2021. A 6-month randomized controlled trial evaluating a novel smart-connected oscillating-rotating toothbrush versus a smart-connected sonic toothbrush for the reduction of plaque and gingivitis. Am J Dent 34, 54–60.
- Grender, J., Ram Goyal, C., Qaqish, J., Adam, R., 2020b. An 8-week randomized controlled trial comparing the effect of a novel oscillating-rotating toothbrush versus a manual toothbrush on plaque and gingivitis. Int Dent J 70 Suppl 1, S7–S15. https://doi.org/10.1111/idj.12571.
Nota editoriale:
Figg. 5a, 5b - Miglioramento del FMPS a 8 settimane.
Figg. 5a, 5b - Miglioramento del FMPS a 8 settimane.
Figg. 6a, 6b - Mucosite perimplantare a carico dell’impianto in sede 12.
Figg. 6a, 6b - Mucosite perimplantare a carico dell’impianto in sede 12.
Fig.7 - Spazzolamento dell’area con la testina ultimate clean e targeted clean.
Fig. 8 - Follow-up 8 settimane, assenza di sanguinamento e riduzione dell’infiammazione.
Il sorriso ideale è da sempre considerato espressione di salute e bellezza1,2. Fu la civiltà romana a consacrare la tradizione del dente ...
Il sorriso ideale è da sempre considerato espressione di salute e bellezza1,2. Fu la civiltà romana a consacrare la tradizione del dente ...
GERUSALEMME, Israele – Gli spazzolini elettrici, in particolare quelli con movimenti oscillanti-rotanti (O-R), hanno dimostrato una migliore efficacia ...
Nuovi approcci e nuove frontiere in protesi fissa, questo il titolo della conferenza che il dott. Marco Montanari e l’odt Claudio Sassatelli terranno a ...
Descrizione
L’articolo presenta un caso clinico di una donna di 63 anni, ASA 0, non fumatrice che giunge alla nostra osservazione presso il centro ...
Con questo articolo desidero mostrare un caso clinico di gestione dei tessuti molli periimplantari mediante l’associazione di matrice in collagene ...
Case report di un paziente diabetico.
I bifosfonati sono una classe di farmaci utilizzati per le diverse patologie che coinvolgono il turnover osseo con aumento del riassorbimento osseo e ...
Il Ministero della Salute ha pubblicato nella giornata del 1 aprile il documento delle “Raccomandazioni Cliniche per la promozione della salute ...
I pazienti con ritardo mentale, deficit cognitivi e problematiche neurologiche tendono a produrre dei traumi nei tessuti molli orali in misura maggiore ...
Live webinar
mer. 22 aprile 2026
17:00 (CET) Rome
MDT Andreas Chatzimpatzakis
Live webinar
mer. 22 aprile 2026
17:00 (CET) Rome
Live webinar
mer. 22 aprile 2026
18:00 (CET) Rome
Live webinar
gio. 23 aprile 2026
17:00 (CET) Rome
Live webinar
gio. 23 aprile 2026
18:30 (CET) Rome
Live webinar
gio. 23 aprile 2026
19:00 (CET) Rome
Live webinar
gio. 30 aprile 2026
1:00 (CET) Rome
Dr. Renato Leonardo D.M.D.
To post a reply please login or register