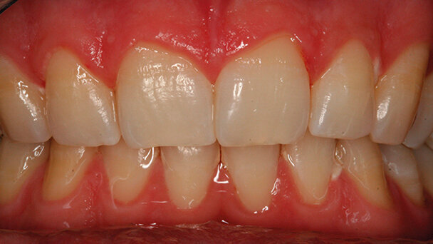
Il sorriso ideale è da sempre considerato espressione di salute e bellezza1,2. Fu la civiltà romana a consacrare la tradizione del dente bianco nel colore e perfetto nella forma; le donne patrizie cercavano di sbiancare i denti sfregandoli con tessuti imbevuti di composti naturali a base di urea.
Secondo recenti statistiche3 circa il 50% della popolazione mondiale non è soddisfatto del colore dei propri denti e adotta tutti i sistemi possibili per averli più bianchi e splendenti, proprio come vengono proposti da tutti i modelli pubblicitari. Le discromie costituiscono un problema estetico importante. Quelle estrinseche, cioè quelle che interessano l’esterno del dente, sono di natura esogena, ovvero determinate da agenti esterni (cibi, bevande, placca, tartaro, fumo, prodotti con clorexedina) e possono essere facilmente eliminate con l’uso di una pasta dentifricia specifica e specifiche tecniche di abrasione professionale. Quelle intrinseche sono determinate dal deposito nella struttura organica o minerale del dente di pigmenti nel corso dello sviluppo e/o della mineralizzazione dei germi dentari, per essere risolte richiedono l’utilizzo di prodotti specifici o specifiche tecniche opportune.
Con il termine “sbiancamento” si intende, dal punto di vista chimico, la distruzione dei gruppi cromofori presenti nei composti organici e inorganici1. Attraverso una reazione chimica di ossido riduzione, pertanto, l’agente sbiancante riesce a decolorare un substrato contenente doppi legami coniugati, sistemi aromatici e sistemi chinolonici1,3. Attualmente esistono in commercio prodotti sbiancanti a base di perossido di idrogeno e perossido di carbamide a diverse concentrazioni con i quali si può effettuare uno sbiancamento ambulatoriale o domiciliare1,4.
Nel primo caso il professionista applica la miscela sugli elementi da trattare, nel secondo, invece, viene confezionata una mascherina in resina da indossare con il prodotto al suo interno per il periodo di riposo notturno.
Leggi l'articolo completo nella sezione CLINICAL > COSMETIC DENTISTRY
Il sorriso ideale è da sempre considerato espressione di salute e bellezza1,2. Fu la civiltà romana a consacrare la tradizione del dente ...
Il desiderio di avere denti più bianchi è notevolmente aumentato negli ultimi anni. La domanda di sbiancamento dentale come trattamento ...
Il desiderio di avere denti più bianchi è notevolmente aumentato negli ultimi anni. La domanda di sbiancamento dentale come trattamento ...
La moderna odontoiatria ha subito nel corso degli anni una continua evoluzione. Le sempre maggiori aspettative dei nostri pazienti, accompagnate al fiorire ...
Gli impianti dentali sono diventati una delle procedure più utilizzate per il ripristino dei denti mancanti. Questa tendenza è confermata anche dagli ...
La nuova lacca sbiancante Philips Zoom QuickPro è un’innovativa soluzione domiciliare che non richiede l’applicazione al riunito o la ...
Le nuove strisce per sbiancamento dentale professionale Daring White si basano su una formulazione sicura di perossido di carbammide al 15% per garantire ...
Lo sbiancamento dentale rappresenta oggi uno dei trattamenti estetici più richiesti in ambito odontoiatrico. Nonostante ciò, tra i professionisti permane ...
Con BRILLIANT Lumina, COLTENE offre una soluzione per lo sbiancamento dentale ambulatoriale, efficace e conforme alla direttiva sui cosmetici. Per la prima ...
Philips Zoom! da anni è sinonimo di eccellenza in tutto il mondo per il trattamento sbiancante professionale sia alla poltrona che domiciliare.
...
Live webinar
gio. 30 aprile 2026
1:00 (CET) Rome
Dr. Renato Leonardo D.M.D.
Live webinar
gio. 30 aprile 2026
19:00 (CET) Rome
Live webinar
dom. 3 maggio 2026
18:00 (CET) Rome
Dr. Rickard Brånemark MSc, MD, PhD, Dr. Robert Gottlander DDS
Live webinar
lun. 4 maggio 2026
2:00 (CET) Rome
Live webinar
mar. 5 maggio 2026
16:00 (CET) Rome
Live webinar
mar. 5 maggio 2026
18:00 (CET) Rome
Live webinar
mar. 5 maggio 2026
19:00 (CET) Rome
Dr. Maximilian Dobbertin M.Sc
To post a reply please login or register