La forma e il volume dell’osso alveolare sono strettamente legati alla presenza di elementi dentali e del loro asse di eruzione. Quando uno o più elementi dentali vengono persi o non sono presenti, si verifica un processo fisiologico di rimodellamento osseo che porta alla perdita del volume osseo alveolare.
Quando ciò accade, anche i tessuti molli sono interessati da modifiche ossee con un conseguente rimodellamento1. Recenti studi dimostrano che la perdita media del volume osseo alveolare 6 mesi dopo l’estrazione chirurgica è del 46% verticalmente e del 16,5% orizzontalmente2. L’evidenza in letteratura dimostra che la maggior parte di perdita ossea a seguito della perdita di un elemento dentario avviene nei primi 6 mesi; successivamente vi è un rimodellamento più graduale3. Infine, la perdita di osso orizzontale è principalmente a carico dell’osso vestibolare dell’alveolo, probabilmente a causa della maggiore presenza di “bundle bone”, che esiste solo in funzione dell’elemento dentale e a cui sono attaccate le fibre del legamento parodontale. Quando manca il dente, la porzione di “bundle bone” perde la sua funzione e si riassorbe4.
A seguito di questo processo di rimodellamento osseo, può essere difficile per il clinico riabilitare il paziente in modo soddisfacente dal punto di vista estetico: a seguito della perdita ossea potrebbe non esserci la possibilità di riabilitazione con un impianto; inoltre, il rimodellamento dei tessuti molli condurrà a scarsi risultati estetici5. Per questo motivo, sono stati creati numerosi protocolli di “preservazione dell’alveolo” (ASP), allo scopo di mantenere il medesimo volume osseo presente al momento dell’estrazione o della perdita dell’elemento dentario6.
La preservazione dell’alveolo (ASP) è una procedura dentale in cui, a seguito dell’estrazione del dente, l’alveolo post-estrattivo viene zeppato con un materiale da innesto e, quando necessario, posizionata una membrana a copertura che funge da barriera per i tessuti molli. Tutto questo viene eseguito per “guidare” il rimodellamento osseo in modo da consentire un corretto posizionamento implantare che garantisca risultati soddisfacenti sia dal punto di vista funzionale che estetico7. La letteratura riporta l’utilizzo di vari materiali per riempire gli alveoli post-estrattivi: innesti autologhi, allogenici, xenogenici, alloplastici e altri materiali come il plasma ricco di piastrine, la fibrina ricca di piastrine, la proteina morfogenetica dell’osso e la terapia cellulare8.
L’osso autologo rappresenta ancora il “gold standard” in questo tipo di trattamento grazie alle sue caratteristiche di osteoinduttività, osteoconduttività e osteogenicità, tuttavia date le difficoltà di prelievo, la morbidezza del sito di prelievo e della quantità di osso non sempre elevata che può essere prelevata, spesso questo non è l’approccio preferibile per mantenere i volumi post-estrattivi dell’osso alveolare. Numerosi studi preclinici e clinici hanno descritto la biocompatibilità e l’integrazione dell’osso bovino deproteinizzato nell’alveolo post-estrattivo. L’osso bovino deproteinizzato è uno xenomateriale di origine bovina, privato di tutti i componenti organici attraverso processi termici; questo viene fatto per ridurre al minimo la possibile risposta immunitaria9-12.
Un recente studio che ha indagato la composizione dei tessuti alveolari 6 mesi dopo l’estrazione del dente e dell’innesto di osso bovino deproteneizzato, ha confermato che questo biomateriale ritarda la guarigione ossea ma consente il mantenimento dei volumi ossei13. Per aumentare la possibilità di mantenere il volume osseo, l’alveolo post-estrattivo richiede la copertura con una membrana: la rigenerazione ossea guidata (GBR ‒ Guided Bone Regeneration)14. La procedura GBR utilizza membrane che fungono da barriera per evitare l’invasione delle cellule epiteliali e connettive dei tessuti molli circostanti, fornendo così cellule osteogeniche, che riportano una velocità di migrazione più lenta e quindi migliori condizioni per la rigenerazione ossea15.
Anche in questo caso, esistono numerose tipologie di membrane che possono essere utilizzate per la GBR e tutte devono avere le seguenti caratteristiche: biocompatibilità, di facile maneggevolezza clinica, mantenimento dello spazio e integrazione con i tessuti16. Il “gold standard” è rappresentato dall’utilizzo di materiale autologo rimuovendo il tessuto molle dal palato del paziente. Tuttavia, questa tecnica non è priva di complicanze, tra cui: l’ aumento della durata dell’intervento chirurgico, la necessità di un secondo sito chirurgico, il rischio di necrosi del tessuto innestato e conseguente guarigione con la formazione di tessuto fibroso17. Per questi motivi, spesso si opta per l’utilizzo di membrane xenogeniche che si sono dimostrate in grado di ottenere risultati soddisfacenti in termini di guarigione sia dei tessuti duri che molli18. Le membrane riassorbibili di pericardio offrono un’alternativa al materiale autologo eliminando la possibilità di relative complicanze ma mantenendone I vantaggi19-21.
In letteratura, sono stati realizzati e ampiamente studiati numerosi materiali da innesto osseo e membrane barriera. Normalmente, questi materiali da innesto sono realizzati attraverso un processo di decellularizzazione di tessuti naturali. Essa ha lo scopo di eliminare completamente la componente cellulare del tessuto nativo, mantenendo la più grande quantità possibile di struttura e composizione della matrice extracellulare originale (ECM)22.
In questo caso particolare, lo xenoinnesto utilizzato è un osso bovino che è stato decellularizzato seguendo il metodo di Gardin et al. 201523 in cui i granuli di biomateriale non vengono cristallizzati grazie alla temperatura non eccessivamente elevata raggiunta durante lo shock termico.
Lo scopo di questi “case series” è quello di analizzare istologicamente la qualità ossea di un alveolo post-estrattivo 6 mesi dopo la tecnica GBR realizzata con un innesto di osso bovino decellularizzato con un nuovo metodo di pulizia e una membrana riassorbile di pericardia bovino e valutare le prestazioni cliniche e radiologiche di un impianto singolo inserito nello stesso sito.
Materiali e metodi
Tre pazienti sono stati trattati in uno studio dentistico di Padova (Italia) nel febbraio 2017. I pazienti godevano di buona salute, non fumatori e con una buona igiene orale. Agli esami clinici e radiografici, si è evidenziato in mandibola un molare compromesso in ciascun paziente. È stata pianificata l’estrazione, la GBR e il posizionamento di un impianto per sostituire il dente mancante.
Dopo l’anestesia locale, è stato scollato un lembo a spessore totale e il dente estratto in modo atraumatico (Fig. 1). Successivamente, l’alveolo post-estrattivo è stato zeppato con granuli di osso bovino decellularizzato (Re-Bone®, Ubgen, Padova/Italy) e utilizzata una membrana di pericardio bovino come barriera (Shelter® Membrane, Ubgen, Padova/Italy) (Fig. 2).
I lembi sono stati poi suturati a livello dell’osso (Gore-Tex®, 4.0, Gore, Newark/ NJ, USA) senza la necessità di ottenere una chiusura completa (Fig. 3). In fase postoperatoria è stato prescritto un antinfiammatorio (Nimesulide 100 mg, 2 volte al giorno per 3 giorni), un analgesico (Paracetamolo 500 mg, 1 compressa ogni 8 ore per 3 giorni) e clorexidina 0.12%, e fornita istruzione completa all’igiene orale. La sutura è stata rimossa dopo 10 giorni. A 3 e a 6 mesi sono state eseguite le radiografie periapicali parallele.
Sei mesi dopo i pazienti sono stati sottoposti ad intervento chirurgico per il posizionamento dell’impianto. Eseguita l’anestesia locale e scollati i lembi a spessore totale in mandibola, è stata eseguita una carotatura per l’analisi istologica della qualità dell’osso (Figg. 4, 5). Nello stesso sito, dopo averlo adeguatamente preparato è stato posizionato un impianto DAE 4 x 11,5 mm al livello dell’osso crestale (Fig. 6). Successivamente sono stati suturati i lembi (Seta, Ethicon 4.0, Johnson & Johnson Medical, New Brunswick/NJ, USA). Infine, prescritti un antinfiammatorio (Nimesulide 100 mg, 2 volte al giorno per 3 giorni), un analgesico (Paracetamolo 500 mg, 1 compressa ogni 8 ore per 3 giorni), e clorexidina 0.12% durante la fase post-operatoria insieme a istruzioni complete all’igene orale. La sutura è stata rimossa a 10 giorni dall’intervento chirurgico. Sei mesi dopo, l’impianto è stato protesizzato con una corona singola avvitata in metallo-ceramica. A 3 mesi e a 3 anni sono state eseguite le radiografie periapicali parallele.
Risultati
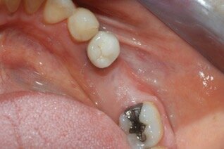
Le radiografie eseguite immediatamente dopo l’intervento chirurgico con la tecnica GBR hanno indicato che l’alveolo post-estrattivo era stato adeguatamente zeppato con granuli di osso bovino decellularizzato (Fig. 7). Il richiamo a 6 mesi, ha mostrato tessuti molli in buona salute senza la presenza di segni di infiammazione (Fig. 8). La radiografia periapicale ha mostrato la perfetta guarigione dell’alveolo post-estrattivo (Figg. 9, 10). Anche durante l’esposizione ossea per il posizionamento dell’impianto, l’osso appare in buona salute e non sono presenti granuli di biomateriale non integrato. La membrana di pericardio bovino è completamente riassorbita (Fig. 11).
La radiografia eseguita immediatamente dopo il posizionamento dell’impianto ha mostrato che gli impianti dentali erano perfettamente posizionati a livello dell’osso crestale (Fig. 6). Le analisi istologiche della carotatura di osso prelevato hanno mostrato che a 6 mesi dall’intervento di conservazione dell’alveolo, si è formato nuovo tessuto osseo vitale e sono ancora presenti granuli del biomateriale utilizzato (Fig. 12). Il follow up radiografico a 3 anni indica una situazione ossea invariata con l’impianto ancora a livello dell’osso crestale. La parte protesica ancora in buone condizioni senza segni d’infiammazione, né si sono riscontrate mucositi o perimplantiti. I restauri privi di complicanze tecniche.
Discussione
Questa serie di casi clinici presenta i risultati istologici e clinici dell’utilizzo di uno xenoinnesto osseo decellularizzato di origine bovina e una membrana di pericardio bovino utilizzati come materiale rigenerativo con la tecnica GBR. Dopo l’estrazione del dente, l’alveolo è stato immediatamente zeppato con lo xenoinnesto bovino e la membrana è stata utilizzata come barriera prima di suturare i lembi. A sei mesi è stato eseguito il posizionamento implantare e poi posizionata la corona per riabilitare il paziente.
I risultati clinici di questi casi non hanno mostrato complicanze né dal punto di vista biologico né da quello meccanico. Questi risultati combaciano con molti studi presenti in letteratura24, 25 che indicano la tecnica di conservazione dell’alveolo post-estrattivo con l’uso di uno xenoinnesto bovino e una membrana in pericardio bovino come una tecnica sicura e predicibile per preservare il volume dell’alveolo stesso e per fornire un qualità dell’osso che consenta il posizionamento implantare a sei mesi.
Dal punto di vista istologico, è stato trovato osso vitale neoformato; inoltre, granuli dello xenoinnesto bovino erano ancora presenti. Questi risultati, se confrontati con lo studio di Barone et al. 201326, dove è stato utilizzato osso bovino termicamente deproteinizzato come materiale di riempimento per la chirurgia GBR dopo l’estrazione del dente, hanno mostrato che dopo sei mesi era presente una maggiore quantità di osso vitale e una minore quantità di granuli di biomateriale. Ciò è probabilmente dovuto al fatto che il processo di decellularizzazione del materiale utilizzato in questo studio, chiamato Thermagen, utilizza temperature più basse, quindi le particelle del biomateriale non sono cristalline, permettendo agli osteoclasti di degradarle facilmente e lasciando spazio al nuovo osso formato.
Il lungo processo di riassorbimento dell’osso bovino deproteinizzato ad alta temperatura è ben documentato in letteratura: nello studio di Sartori et al. 200327, in cui è stato utilizzato l’osso bovino inorganico come biomateriale nel rialzo del seno mascellare, gli autori hanno documentato che, a 1 anno dall’intervento chirurgico, le valutazioni istomorfometriche mostravano che il 70,2% del biomateriale utilizzato era ancora presente; dopo 2 anni il 30,3% e dopo 10 anni il 13,3%.
In questo tipo di procedure chirurgiche che di solito anticipano il posizionamento di un impianto, è auspicabile che sia presente osso vitale invece che granuli di xenoinnesto poiché la loro presenza non consente la completa osteointegrazione dell’impianto a causa della mancanza di osteointegrazione nell’interfaccia impianto-biomateriale. Pertanto, un biomateriale più velocemente riassorbibile e rimodellabile in osso vitale, porterà una migliore osteointegrazione degli impianti dentali.
In letteratura, molti studi clinici presentano evidenze istomorfometriche a favore del riempimento immediato dell’alvelolo post-estrattivo con osso bovino termicamente deproteinizzato, con intervallo di guarigione di 6 mesi come in questo studio28, 29. L’osso vitale neo formato aveva varianza tra il 34,5% e il 39,4% che visivamente confrontato con l’istologia del nostro studio, sembra essere molto meno.
Conclusione
Questa serie di casi clinici dimostra che l’utilizzo di uno xenoinnesto bovino decellularizzato senza alte temperature e una membrana di pericardio bovino utilizzata in GBR per la preservazione dell’alveolo, fornisce grandi risultati in termini di osso neoformato e osteointegrazione dell’impianto. Sono necessarie ulteriori evidenze istomorfometriche per confermare questa ipotesi.
Bibliografia
- Chappuis V., Ara-jo M.G., Buser D.. Rilevanza clinica delle alterazioni dell’osso dimensionale e dei tessuti molli dopo l’estrazione nei siti estetici. Periodontolo 2000. 2017 Feb;73(1):73-83.
- Tan W.L., Wong T.L., Wong M.C., Lang N.P.. Una revisione sistematica dei cambiamenti dimensionali dell’alveolar duro e dei tessuti molli post-estristici nell’uomo. Clin Oral Implants Res. 2012;23 (Suppl 5):1–21.
- Guarigione della presa di Aar-jo M.G., Silva C.O., Misawa M., Sukekava F.. Alveolar: cosa possiamo imparare? Periodontolo 2000. 2015; 68:122–134.
- Aimetti M., Manavella V., Corano L., Ercoli E., Bignardi C., Romano F.. Analisi tridimensionale del rimodellamento osseo a seguito dell’aumento della cresta delle prese di estrazione compromesse nei pazienti con parodontite: uno studio controllato randomizzato. Clin Oral Implants Res. 2018 Feb;29(2):202-214.
- Chappuis V., Engel O., Shahim K., Reyes M., Katsaros C., Buser D.. Alterazioni dei tessuti molli nei siti di postestrazione estetica: A 3-Dimensional Analysis. J Dent Res. 2015 Set;94(9 Suppl):187S-93S.
- De Risi V., Clementini M., Vittorini G., Mannocci A., De Sanctis M.. Alveolar tecniche di conservazione della cresta: una revisione sistematica e meta-analisi dei dati istologici e istomorfotrici. Clin Oral Implants Res. 2015 Gen;26(1):50-68.
- MacBeth N., Trullenque-Eriksson A., Donos N., Mardas N.. Cambiamenti dei tessuti duri e dei tessuti molli a seguito della conservazione della cresta alveolar: una revisione sistematica. Clin Oral Implants Res. 2017 Ago;28(8):982-1004.
- Laney W.R.. Glossario di impianti orali e maxillo-facciali. Chicago: Quintessence; 2007.
- Pang C., Ding Y., shou H., Qin R., Hou R.. La conservazione della cresta Hu K. Alveolar con innesto osseo bovino deproteinizzato e membrana di collagene e impianti ritardati. J Craniofac Surg. 2014 Set;25(5):1698-702.
- Nart J., Barallat L., Jimenez D., Mestres J., Gàmez A., Carrasco MA., Violant D., Ruz-Magaz V.. Valutazione radiografica e istologica del minerale osseo bovino deproteinizzato contro minerale osseo bovino deproteinizzato con 10% di collagene nella conservazione della cresta. Uno studio clinico controllato randomizzato. Clin Oral Implants Res. 2017 Lug;28(7):840-848.
- Kim J.J., Schwarz F., Song H.Y., Choi Y., Kang K.R., Koo K.T.. Conservazione delle prese di estrazione con patologia cronica utilizzando il collagene Bio-Oss® con o senza membrana di collagene: uno studio sperimentale sui cani. Clin Oral Implants Res. 2017 Giu;28(6):727-733.
- Berglundh T., Lindhe J.. Guarigione intorno a impianti posizionati in difetti ossei trattati con Bio-Oss. Uno studio di prova nel cane. Clin Oral Implants Res 1997; 8:117–124.
- Lindhe J., Cecchinato D., Donati M., Tomasi C., Liljenberg B.. Conservazione della cresta con l’uso di minerale osseo bovino deproteinizzato. Clin Oral Implants Res. 2014; 25:786–790.
- Liu J., Kerns D.G.. Meccanismi di rigenerazione ossea guidata: una revisione. Aperto Dent J. 2014;8: 56–65.
- Cucchi A., Ghensi P.. Rigenerazione ossea guidata verticalmente con membrana d-PTFE rinforzata con titanio e Graft osseo Corticocancellous preidratata. Aperto Dent J. 2014;8: 194–200.
- Scantlebury T.V.. 1982-1992: un decennio di sviluppo tecnologico per la rigenerazione guidata dei tessuti. J Periodontol. 1993;64: 1129–1137.
- Sisti A., Canullo L., Mottola M.P., Covani U., Barone A., Botticelli D.. Valutazione clinica di una procedura di aumento della cresta per la presa alveolare gravemente riassorbita: studio controllato randomizzato multicentro, risultati preliminari. Clin Oral Implants Res. 2012; 23:526–535.
- Avila-Ortiz G., Elangovan S., Kramer K.W., Blanchette D., Dawson D.V.. Effetto della conservazione della cresta alveolare dopo l’estrazione dei denti: una revisione sistematica e meta-analisi. J Dent Res. 2014; 93:950–958.
- Vidyadharan A.K., Ravindran A.. Aumento del difetto localizzato della cresta utilizzando la membrana umana pericardia e la matrice ossea demineralizzata. Indiano J Dent Res. 2014 lug-agosto;25(4):445-8. doi: 10.4103/0970-9290.142524.
- Steigmann M.. Pericardium membrana e xenotrapianto materiali di innesto di particolato per difetti della cresta alveolar orizzontale. Immadentatura dell’impianto. Giugno 2006;15(2):186-91.
- Sterio T.W., Katancik J.A., Blanchard S.B., Xenoudi P., Mealey B.L.. Uno studio prospettico sulla membrana pericardia bovina con innesto di particolato annullato per l’aumento localizzato della cresta alveolar. Dent Restauro Di PeriodoOntica. 2013 lug-ago;33(4):499-507.
- Badylak S.F., Taylor D., Uygun K.. Ingegneria dei tessuti a organo intero: decellularizzazione e recellularizzazione di scaffold a matrice tridimensionale. Annu Biomed Eng.
- Gardin C., Ricci S., Ferroni L., Guazzo R., Sbricoli L., De Benedictis G., Finotti L., Isola M., Bressan E.. Decellularizzazione e delipidazione dei protocolli di decellazione e delipidazione di Osso Bovino e Pericardium per l’innesto osseo e le procedure guidate di rigenerazione ossea. PLoS Uno. 2015 Lug 20;10(7): e0132344.
- Weng D., Stock V., Schliephake H.. Le tecniche di conservazione della presa e della cresta sono al giorno dell’estrazione dei denti nel mantenere i tessuti della cresta alveolare? Eur J Oral Implantol 2011; 4:59–66.
- Vignoletti F., Matesanz P., Rodrigo D., Figuero E., Martin C., Sanz M.. Surgi- cal protocolli per la conservazione della cresta dopo l’estrazione dei denti. Una ri-vista sistematica. Clin Oral Implants Res 2012;23 (suppl 5):22–38.
- Barone A., Todisco M., Ludovichetti M., Gualini F., Aggstaller H., Torrés-Lagares D., Rohrer M.D., Prasad H.S., Kenealy .JN.. Una valutazione prospettica, randomizzata, controllata e multicentrica della conservazione della presa di estrazione che confronta due xenoinnesti bovini: esiti clinici e itologici. Dent Restauro Di PeriodoOntica. 2013 novembre-dicembre 33(6):795-802.
- Sartori S., Silvestri M., Forni F., Icaro Cornaglia A., Tesei P., Cattaneo V.. Dieci anni follow-up in un aumento mascellare del sinus utilizzando osso bovino anorganico (Bio-Oss). Un rapporto di caso con valutazione istomorfometrica. Clin Oral Implants Res. 2003 Giu;14(3):369-72.
- Parco J.B.. Guarigione della presa di estrazione innestata con osso bovino deproteinizzato e matrice dermica acellulare: valutazione istomorfometrica. Immadentatura dell’impianto. 2010 agosto;19(4):307-13.
- Fugazzotto P.A.. GBR utilizzando matrice ossea bovina e membrane riassorbibili e non risolvibili. Parte 1: risultati istologici. Dent Restauro Di PeriodoOntica. 2003 Ago;23(4):361-9.
L'articolo è stato pubblicato su Dental Tribune Italian edition n. 4/20
Tag:
Lo scopo di questo studio è quello di valutare l’efficacia di una membrana in pericardio e di granuli ossei cortico-spongiosi a collagene preservato, ...
La moderna odontoiatria implantare ha permesso di rivoluzionare il piano di trattamento in modo da rispondere a tutte le esigenze protesiche, dal dente ...
La moderna odontoiatria implantare ha permesso di rivoluzionare il piano di trattamento in modo da rispondere a tutte le esigenze protesiche, dal dente ...
Nell’autunno 2009 una paziente di sesso femminile e di 37 anni si era riferita presso il nostro studio per migliorare il proprio sorriso (Fig. 1). ...
Le tecniche di rigenerazione ossea guidata, siano esse di tipo orizzontale, verticale, piuttosto che combinata, sono ormai procedure ben codificate e ...
Sappiamo già che l’odontoiatra, assieme all’ortopedico e al maxillo, è sicuramente tra i chirurghi quello che fa più uso di...
Neoss sta lanciando un nuovo tipo di membrana in PTFE, in esclusiva con Neoss, che porta l’innovazione delle membrane in PTFE ad un altro livello: la ...
Sono rimasto molto impressionato dall’ultima recensione Cochrane sugli impianti dentali. Dagli autori dell’indagine mi interesserebbe conoscere ...
L’articolo presenta una case series (10 casi clinici) di trattamento non chirurgico di tasche parodontali. In tutti i casi è stato applicato un nuovo ...
Live webinar
lun. 19 gennaio 2026
19:00 (CET) Rome
Philipp Kopp, Michael Seeber
Live webinar
gio. 22 gennaio 2026
15:00 (CET) Rome
Prof. Judith Jones D.D.S; M.P.H., Prof. Kakuhiro Fukai D.D.S., Ph.D, Dr. Bathsheba (Bethy) Turton
Live webinar
gio. 22 gennaio 2026
20:00 (CET) Rome
Dr. Nicola M. Grande DDS, PhD
Live webinar
mer. 28 gennaio 2026
14:00 (CET) Rome
Live webinar
mer. 28 gennaio 2026
17:00 (CET) Rome
Prof. Dr. Jan-Frederik Güth
Live webinar
mer. 28 gennaio 2026
17:00 (CET) Rome
Dr. Algimante Lošytė – Jančė
Live webinar
mer. 28 gennaio 2026
18:00 (CET) Rome
To post a reply please login or register