La corretta gestione dei tessuti duri e molli per raggiungere l’estetica ideale.
Introduzione
La riabilitazione implantare dei settori frontali della bocca rappresenta una delle procedure implanto-protesiche più complesse.
Le caratteristiche anatomiche della zona (incisivi superiori) con la presenza di un osso corticale estremamente sottile, bundle bone inferiore a 1 mm nell’87% dei casi1, le dimensioni bucco palatali inferiori spesso ai 9 mm2 e l’inclinazione dell’asse della radice dentale non in linea con il futuro asse implantare, ne fanno una zona critica. Parallelamente il settore incisivo superiore è la zona a più alta valenza estetica per cui è richiesta una precisione estrema nella ricostruzione dei tessuti duri e molli per creare una simmetria perfetta con i denti naturali contigui e permettere un sorriso esteticamente ineccepibile.
Le indicazioni per decidere se gestire i casi con un’estrazione e un posizionamento immediato sono rigide e limitano questa procedura in zona estetica ad un numero molto limitato di casi. Molto più comune è la gestione in più fasi (tipo 2 e 3) in cui l’estrazione dell’elemento dentario deve essere però accompagnata sempre da una tecnica di preservazione dell’alveolo o da una tecnica di aumento di volume di cresta3.
La Socket Preservation trova indicazione (Consensus Conference IAO 2020) in alveoli estrattivi integri in cui per motivi anatomici, di stabilità primaria dell’impianto o per considerazioni estetiche si debba rimandare il posizionamento dell’impianto a 16/20 settimane. In alcune situazioni cliniche in presenza di un deficit ben definito della cresta alveolare, al momento dell’estrazione, è possibile eseguire una GBR contestuale con tecnica di Ridge Augmentation per permettere la ricostruzione ossea e rendere più semplice e meno invasivo il posizionamento dell’impianto a 5/6 mesi. Alcuni materiali eterologhi oggi a disposizione hanno dimostrato di compensare il riassorbimento fisiologico crestale nei siti estrattivi e anzi in queste procedure rigenerative possono rappresentare il gold standard.
Materiali e metodi
Case report
La paziente M.S. di anni 45, si presenta alla nostra osservazione lamentando gonfiore a livello dell’incisivo centrale superiore dx 1.1. Riferisce un trauma in età adolescenziale su questo elemento dentario con perdita di vitalità e necessità di terapia canalare, e nel 2004 in seguito all’insorgenza di un granuloma apicale è stata ivi sottoposta ad apicectomia (Fig. 1).
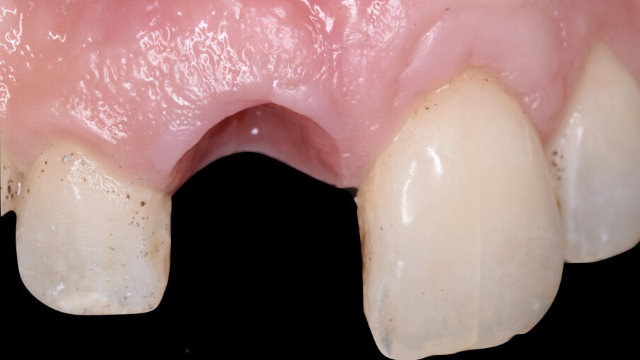
All’esame obiettivo generale la paziente presenta una malocclusione di 2a classe con recessioni multiple dei settori frontali e lateroposteriori, un sorriso gengivale e un fenotipo gengivale sottile e festonato con denti di forma triangolare, mentre a livello locale il dente 1.1 si presenta fortemente discromico con fistola apicale, recessione dei tessuti molli sia del 1.1 che del 2.1 di circa 3 mm con erosione cervicale (Fig. 2). Una prima indagine radiografica bidimensionale (rx endorale periapicale) evidenzia sul 1.1 una terapia canalare incongrua e radiotrasparenza apicale. Un esame tridimensionale CBCT evidenzia la discontinuità della corticale vestibolare identificata come classe 4 secondo Tarnow4, come esito dell’infezione apicale, ma rimane un ponte osseo crestale che sarà fondamentale per il percorso di ricostruzione dei tessuti duri e molli (Fig. 3).
Dopo un full fotografico completo, l’analisi dei fattori di rischio estetici, clinici e radiografici ha identificato la necessità di procedere all’estrazione dell’1.1 e sua sostituzione con una riabilitazione implantoprotesica secondo un timing e un protocollo di post estrattivo di tipo 3: estrazione, gestione dei volumi ossei e gengivali e a distanza di 4/5 mesi posizionamento dell’impianto3.
L’obiettivo della prima fase terapeutica (terapia estrattiva) è stato di utilizzare una tecnica altamente predicibile che ci permettesse di riscostruire la parete ossea vestibolare mancante (porzione apicale della parete) e di mantenere i volumi gengivali permettendo la ricostruzione dei tessuti molli, incrementandone l’altezza e permettendo, nella fase implantare e protesica successiva, la corretta gestione della papilla interdentale.
Dopo anestesia plessica con articaina 1:100.000, senza incidere le papille mesiali e distali, viene delicatamente estratto l’1.1 con strumenti piezoelettrici preservando la corticale buccale presente (indispensabile per la gestione della chirurgia); dopo un’attenta toeletta chirurgica del sito si è proceduto ad una Ridge Augmentation con Socket Seal.
È stata quindi eseguita un’incisione vestibolare intrasulculare del sito senza toccare le papille, facendo scorrere la lama sul piano osseo crestale, e nella porzione più apicale dove era presente la discontinuità della corticale si è spostato la lama mesiale e distale e ancora apicale fino a ritrovare il piano osseo secondo le indicazioni della CBCT; è stato possibile così inserire una membrana in collagene suina Geistlich Bio-Gide (Geistlich Pharma AG, Wolhusen, Switzerland) opportunamente sagomata in modo che avesse un appoggio sui piani ossei (Fig. 4); all’interno dell’alveolo è stato posizionato Geistlich Bio-Oss Collagen (Geistlich Pharma AG, Wolhusen, Switzerland), osso bovino deproteinizzato con un 10% di collagene suino addizionale, materiale osteoconduttivo che oltre a essere mantenitore di spazio e scaffold per la rigenerazione ossea, funge anche da sostegno per il tessuto molle soprastante (Fig. 5). Si è quindi proceduto dopo anestesia palatale a un prelievo tramite bisturi circolare di un punch epitelio connettivale di forma tondeggiante e misure simili all’alveolo dell’1.1 da sigillare; dopo la disepitelizzazione dei margini dell’alveolo si è proceduto alla sutura del punch al di sopra del sostituto osseo con suture Vicril 6-0 (Johnson & Johnson Medical Spa, Pomezia RM, Italia) con punti staccati alle quattro estremità e sutura a materassaio esterno incrociato compressiva (Fig. 6). In questa fase la paziente è stata riabilitata con un maryland bridge in composito cementato adesivamente.
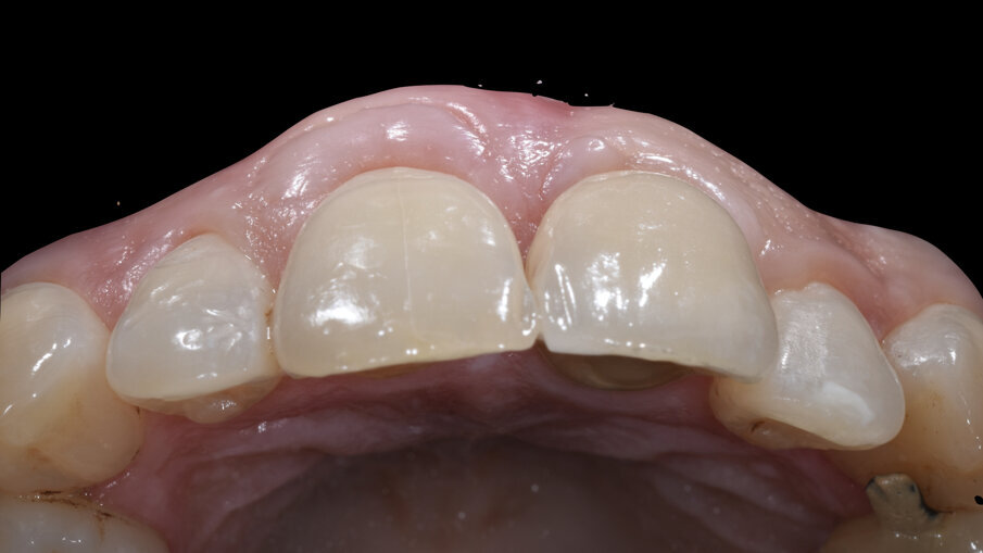
La paziente è stata dimessa con terapia farmacologica di supporto e a due settimane si è proceduto alla rimozione delle suture riassorbibili e i controlli clinici sono stati eseguiti poi a 1 mese, 3 mesi e 5 mesi. Al termine della fase di maturazione dei tessuti (5 mesi) (Fig. 7) si è evidenziato come da un punto di vista clinico siano stati mantenuti i volumi sul piano verticale (addirittura più coronali di circa 2 mm rispetto al centrale contro-laterale 2.1) e sul piano trasversale vestibolo palatale, e inoltre il nuovo esame CBCT evidenziava la ricostruzione della parete ossea vestibolare (Fig. 8).
L’esame CBCT è stato integrato con impronte digitali delle due arcate tramite scanner ottico Carestream 3600 (Carestream Dental Rochester New York Stati Uniti) e i file Dicom ed STL e la ceratura diagnostica digitale sono stati caricati in un software di programmazione chirurgica (3 Diemme srl Como) dove è stato progettato il posizionamento dell’impianto sull’1.1, impianto Imax 3.3 x 13 (Ires Group Mendrisio [CH]), da inserire tramite chirurgia guidata con dima chirurgica ad appoggio dentale5.
L’analisi al computer ha permesso di evidenziare il corretto posizionamento implantare nelle tre dimensioni dello spazio e, nella rappresentazione impianto centrica la presenza di osso a 360°; è stato possibile inoltre ricercare una stabilità primaria implantare che insieme a un asse di emergenza protesico corretto (palatale sotto il cingolo) potesse permettere di gestire un carico immediato con un provvisorio avvitato6.
Al momento della chirurgia implantare, con opportuna terapia antibiotica di supporto (2 gr di amoxicillina e acido clavulanico 1 h prima dell’intervento) e dopo anestesia plessica con articaina 1:100.000, si è posizionata la dima chirurgica ed è stato preparato il sito implantare con il kit chirurgico dedicato, con tecnica di sottopreparazione, e posizionato poi l’impianto programmato Imax 3,3x13 (Ires Group Mendrisio [CH]); il torque di inserzione è stato superiore ai 70N/cm e la frequenza di risonanza misurata con Osstel è risultata pari a 75 ISQ, confermando quindi la possibilità di eseguire il carico immediato (Fig. 9).
L’esame del sorriso della paziente evidenziava la necessità di correggere ancora lievemente sul piano trasversale il bombè radicolare dell’1.1 così da simulare la bozza radicolare e contestualmente di correggere la recessione sull’elemento 2.1 che determinava uno slivellamento dei margini gengivali e dell’armonia del sorriso. Per minimizzare l’invasività della chirurgia e limitare la gestione del lembo si è proceduto a una tecnica a tunnel con incisione intrasulculare (Fig. 10) che dal margine gengivale del sito di preparazione implantare 1.1, con incisione a spessore parziale, crei un tasca vestibolare e si congiunga poi con il margine intrasulculare del 2.1 dove, sempre a spessore parziale, si è arrivati ad un’incisione oltre la giunzione mucogengivale per permettere così la mobilizzazione del lembo e il suo scorrimento in direzione coronale per la ricopertura radicolare.
Per ricoprire la recessione sul dente naturale 2.1, dopo attenta levigatura della radice e condizionamento con EDTA (Prefgel Straumann Italia, Milano, Italia), si è proceduto con un prelievo palatale tramite incisione rettangolare epitelio connettivale di spessore di 1,5 mm, altezza di circa 4 mm e lunghezza pari alla zona da trattare, circa 10 mm (Fig. 11). Una volta suturato il sito donatore, si è provveduto alla disepitelizzazione del prelievo che ha permesso di ottenere un innesto di connettivo di spessore 1 mm e altezza 4 mm che è stato posizionato e suturato con sutura Vicril 7-0 (Johnson & Johnson Medical Spa, Pomezia RM, Italia) sulla recessione del 2.1. Il lembo è stato poi riposizionato coronale e fissato in questa posizione con una sutura in Eptfe 4-0 (Omnia spa Fidenza PR Italia) ancorata alla superficie vestibolare della corona del 2.1.
A livello dell’impianto 1.1 è stata inserita a busta una matrice eterologa volumetricamente stabile di origine suina Geistlich Fibro-Gide (Geistlich Pharma AG, Wolhusen, Switzerland) (Fig. 12) stabilizzata con una sutura riassorbibile Vicril 6-0 (Johnson & Johnson Medical Spa, Pomezia RM, Italia) che grazie alla sua ottima integrazione e stabilità nel tempo7 permetterà di ricostruire la bozza radicolare e ottenere un ideale volume dei tessuti molli attorno all’impianto.
La procedura è terminata con un’impronta digitale del tragitto dei tessuti molli e della posizione dell’impianto con scan body e il file è stato inviato al laboratorio per la finalizzazione del provvisorio. Il laboratorio che aveva già eseguito la ceratura diagnostica digitale ha ottimizzato la realizzazione della corona provvisoria avvitata con il nuovo profilo dei tessuti molli corretti. Risulta fondamentale in questa fase gestire correttamente il profilo sub gengivale del provvisorio (ali di gabbiano) mantenendolo concavo senza creare compressione sui tessuti innestati e permettendone la corretta maturazione, e solo in un secondo momento eventualmente aumentare il bombè con del composito flow. I punti di contatto mesiali e distali sono stati gestiti secondo le indicazioni di Tarnow e Coll.8 per ottenere la completa riformazione delle papille interdentali e una corretta parabola gengivale.
A 24 ore dalla chirurgia è stato posizionato il provvisorio con assenza di compressione vestibolare per un carico immediato non funzionale, svincolandolo naturalmente nei contatti di centrica, protrusiva e lateralità (Fig. 13). A poche ore dall’intervento si evidenziano dei tessuti perfetti, con un volume ideale creato dalla matrice e che ora verranno supportati nella fase di guarigione dalla presenza della corona provvisoria così sagomata (Fig. 14). La paziente è stata dimessa con terapia farmacologica di supporto ed è stata ricontrollata con controlli clinici e articolari a 2 settimane (rimozione punti), e poi a 4, 8, 12 e 16 settimane, osservando la maturazione dei tessuti molli e la guarigione ossea radiografica.
A distanza di 4 mesi dalla chirurgia implantare abbiamo ottenuto sul piano frontale un ottimo livellamento delle parabole gengivali con il ripristino di un’anatomia corretta e ideale sia dei margini gengivali di 1.1 e 2.1 sia delle papille interdentali mesiali e distali alla corona sull’impianto dell’1.1 (Fig. 15), mentre la rimozione del provvisorio avvitato ha permesso di evidenziare sul piano trasversale il condizionamento dei tessuti molli, la perfetta integrazione della matrice Fibro-Gide (Geistlich Pharma AG, Wolhusen, Switzerland) e la vascolarizzazione del sito con fibre circonferenziali ripristinando la corretta ideale anatomia attorno a un corona su impianto dal centro verso la periferia con epitelio connettivale, epitelio giunzione e epitelio sulculare (Figg. 16, 17); il nuovo livello di frequenza di risonanza è salito fino a 81 ISQ.
La finalizzazione del caso ha previsto l’utilizzo di un protocollo di scansione digitale con impronta ottica dell’arcata dentaria con provvisorio in situ, del provvisorio fuori della bocca, del condizionamento dei tessuti molli (tragitto transmucoso) e della posizione implantare rilevata con lo scan body, oltre naturalmente all’impronta antagonista e il check di registrazione occlusale9 (Fig. 18): tutto ciò permette di leggere il condizionamento dei tessuti molli ottenuti e il profilo del provvisorio (corretto nella fase di guarigione) che l’ha determinato e ricreare una corona definitiva che si “appoggi” perfettamente nei tessuti così ottenuti.
Le fasi di laboratorio anch’esse eseguite con un percorso quasi completamente digitale (necessità di avere anche un modello di lavoro in poliuretano per le stratifiche della ceramica) hanno previsto la realizzazione di una corona in zirconio ceramica stratificata avvitata con profilo di emergenza subgengivale concavo che rispetti il condizionamento dei tessuti molli ottenuti dagli innesti (punch epitelio connettivale delle fase estrattiva e matrice eterologa nella fase implantare) e dalla loro modellazione protesica durante il carico immediato.
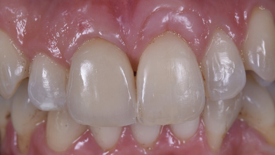
Dopo una prova estetica del colore e della tessitura superficiale, e un controllo radiografico bidimensionale, il caso è stato finalizzato posizionando il restauro in ceramica avvitato che è stato serrato con torque di 25 N /cm (Fig. 19). Si è ottenuto un mimetismo ideale e completamente naturale sia per quanto riguarda la componente bianca del restauro (ceramica) sia per la componente rosa (profilo, spessore e anatomia dei tessuti molli) risultando in un’estetica eccellente (Figg. 20-24).
Il controllo clinico e radiografico tridimensionale a distanza di 2 mesi ha evidenziato la perfetta integrazione della corona protesica e dalle immagini radiali della CBCT si evidenzia sia la presenza di una corticale ossea ben mantenuta che rispetta i 2 mm richiesti dalle indicazioni della Letteratura Scientifica (ITI Treatment Guide Vol. 1-6), sia lo spazio vestibolare crestale radiotrasparente occupato dal tessuto molle ottenuto tramite l’innesto di matrice eterologa e l’opportuna morfologia del profilo sub gengivale della corona protesica10 (Figg. 25, 26).
Discussione
Il caso clinico descritto evidenzia come la gestione di un caso ad alta valenza estetica necessiti da parte del clinico di un protocollo rigido e scientificamente validato e di materiali autogeni o xenogenici che ci diano una predicibilità e stabilità nel tempo.
Il successo di una riabilitazione implantare in zona estetica è la corretta gestione secondo un protocollo 4D4 dove risulta fondamentale il posizionamento implantare, più palatale e apicale, il design implantare, diametro implantare ridotto e platform switching, il design protesico, abutment e corone con profilo concavo, e i corretti volumi dei tessuti duri e molli.
Una review sistematica della letteratura di Jung11 evidenzia come a 5 anni dalla riabilitazione implanto protesica di un settore frontale, le complicanze estetiche possono raggiungere anche il 13,6%. Questo comporta il rischio, come descritto anche da Chen e Buser12, che l’insorgenza di un recessione dei tessuti molli fino a 2 mm, la scopertura del moncone protesico, lo slivellamento dei margini gengivali e la mancanza di una corretta papilla interdentale, possano compromettere il risultato estetico delle nostre procedure.
Nell’approccio dei casi di implantologia post estrattiva il Consensus Report del 201913 traccia un percorso decisionale per trattare i casi estetici con una differente modalità (tipo 1, 2, 3), ponendo l’attenzione sulla presenza d’infezione, sulla possibilità di raggiungere una stabilità primaria implantare, sulla presenza di alveoli integri o riassorbiti, sulla tipologia di fenotipo parodontale, sulle richieste estetiche e sulle patologie sistemiche eventualmente presenti.
Le procedure post estrattive immediate in zona frontale sono quindi limitate a casi ben selezionati per non incorrere nelle complicanze estetiche precedentemente descritte. Come nel caso clinico descritto è più comune dover estrarre l’elemento dentario e procedere ad un posizionamento differito dell’impianto a 16/20 settimane.
Al momento dell’estrazione abbiamo però una sequenza di eventi ben descritti in letteratura14, 15 che portano a un riassorbimento del bundle bone e quindi della corticale vestibolare della cresta con una riduzione dello spessore di 3,79 mm in media sul piano orizzontale e di 2,3 mm sul piano verticale. Tutto ciò è accompagnato da uno shift apicale e orizzontale dei tessuti molli16.
Poiché la corticale vestibolare a livello degli incisivi centrali mascellari ha uno spessore medio di 1,08 mm (range 0,45-1,75 mm)17 si capisce bene come la semplice estrazione di un incisivo senza procedure aggiuntive porti a un grave rimodellamento alveolare che necessiti poi al momento del posizionamento dell’impianto di un’importante rigenerazione ossea orizzontale e verticale.
Il posizionamento di Geistlich Bio-Oss Collagen al momento dell’estrazione non contrasta il riassorbimento del bundle bone, ma tende a preservare in maniera predicibile il volume della cresta: esiterà in una compensazione della contrazione ossea marginale vestibolare con rigenerazione ossea all’interno dell’alveolo estrattivo. Quindi non si parla di vera e propria preservazione dell’alveolo ma invece di una preservazione del volume della cresta, con un meccanismo quindi di compensazione con rigenerazione interna18.
La tecnica di Ridge Augmentation permette, come nel caso clinico descritto, una rigenerazione ossea guidata all’interno del sito estrattivo contestuale all’estrazione in una situazione anatomica di lieve o medio difetto osseo. Il posizionamento di una membrana riassorbibile in collagene suino vestibolare al difetto osseo e la gestione dell’alveolo estrattivo con un biomateriale osteoconduttivo ottimizza la guarigione del sito estrattivo limitando l’entità delle procedure rigenerative al momento del posizionamento successivo dell’impianto16, 19, 20.
La procedura di Ridge Augmentation si completa e trova un miglior risultato clinico quando è associata anche a una tecnica di Socket Seal21: la chiusura dell’alveolo estrattivo con un innesto epitelio connettivale permette di compensare in parte il riassorbimento verticale dei tessuti molli e determina un aumento del volume dei tessuti alla base della futura papilla, permettendone la sua corretta riformazione in base alle indicazioni espresse da Tarnow e Roccuzzo8, 22.
Dal 2012 l’utilizzo di una matrice xenogenica di collagene suino, Geistlich Mucograft (Geistlich Pharma AG, Wolhusen, Switzerland), sfruttando la sua ottima integrazione nei tessuti a 30 giorni e la sua completa integrazione a 6 settimane23, 24, ha evidenziato come possa essere utilizzata nella chiusura dell’alveolo estrattivo con risultati predicibili e sovrapponibili al classico innesto epitelio connettivale, eliminando l’accesso a un secondo sito chirurgico (sito di prelievo) e riducendo quindi in maniera considerevole la morbilità per il paziente25, 26.
Il ripristino del corretto fenotipo perimplantare per ottenere una stabilità dei tessuti duri e molli nel tempo necessita inoltre di ricreare un quantitativo di gengiva cheratinizzata superiore ai 2 mm, uno spessore dei tessuti molli a livello crestale superiore ai 2,5 mm e un altezza del tessuto molle sovracrestale superiore ai 3 mm9.
Risulta quindi importante la gestione dei tessuti molli sul piano orizzontale, modificando quello che è lo spessore del connettivo vestibolare per dare stabilità nel tempo ai nostri restauri implanto protesici. Le procedure di innesto di tessuti molli, fondamentali nei pazienti con fenotipo sottile e festonato, possono essere eseguite durante la fase di Ridge Augmentation, di posizionamento implantare o alla scopertura dello stesso. Il gold standard è rappresentato dall’innesto connettivale con prelievo dalla mucosa palatale o dal tuber, ma attualmente l’utilizzo di una nuova matrice eterologa in collagene suino volumetricamente stabile (Geistlich Fibro-Gide) ha evidenziato risultati comparabili in termini di aumento di spessore dei tessuti con analisi clinica, radiografica e profilometrica con risultati stabili nel tempo con follow up a 3 anni27.
Una recente revisione sistematica della letteratura con meta analisi28 ha confrontato gli innesti connettivali e le matrici in collagene eterologhe nell’aumento degli spessori della mucosa e nei cambiamenti del quantitativo di mucosa cheratinizzata, nonché negli effetti secondari legati al paziente e alla procedura chirurgica. I risultati pur nei limiti del numero degli studi clinici randomizzati disponibili, 7 con 218 siti implantari, hanno portato a risultati equivalenti per l’aumento dei tessuti molli perimplantari tra matrici in collagene e innesti di tessuto connettivo.
Per quanto riguarda gli aspetti secondari, i vantaggi delle matrici, sia quelle utilizzate per la chiusura degli alveoli estrattivi sia quelle per l’incremento del volumi e del tessuto cheratinizzato, sono rappresentati sicuramente da una minore morbilità operatoria, un maggior confort per il paziente, una riduzione del disagio e del dolore post operatorio, nonché una riduzione del tempo alla poltrona.
Conclusioni
La sostituzione implantare degli incisivi superiori rappresenta una sfida per il clinico in cui ogni passaggio chirurgico e protesico è dettato da principi scientifici che mirino al ripristino dell’unità strutturale: osso, tessuti molli, impianto, corona protesica con la ricostruzione di un fenotipo implantare ideale. I materiali eterologhi oggi a disposizione sia come sostituti ossei che di tessuto molli, permettono di ridurre l’invasività della chirurgia implantare e ottenere risultati predicibili e stabili nel tempo.
Bibliografia
- Gakonjo J et al. Cone Beam Computed tomography assessment f the buccal bone thickness in anterior maxillary teeth relevance to immediate implant placement. J oral MaxilloFac Implants 2018;33(4):880-887.
- Zhang W et al. Anterior maxilla alveolar ridge dimension and morphology measurements by cone beam computerized tomography (CBCT) for immediate implant treatment planning. BMC Oral Health 2015;15-65.
- Hammerle CH et al. Consensus statements and recommended clinical procedures regarding the placement of implants in extractions sockets. Int J Oral Maxillofac Implants 2004;19:26-8.
- Funato A et al. Timing, positioning, and sequential staging in esthetic implant therapy: a four dimensional perspective Int J Periodontics restorative Dent 2007; 27:313-323.
- Tahmaseb A et al. The accuracy of static computer-aided implant surgery: a systematic review and meta-analysis. Clinical Oral Implant Res 2018 Oct;29 Suppl 16:416-435.
- Tomarelli F et al. Workflow digitale nella riabilitazione implanto-protesica dei settori ad alta valenza estetica: dalla letteratura alla clinica. Implantologia Implantoprotsi e Digitale 2019;4:43-51.
- Thoma DS et al. Randomized controlled clinical study evaluating effectiveness and safety of a volume-stable collagen matrix compared to autogenous connective tissue grafts for soft tissue augmentation at implant sites. J Clin Periodontol 2016; 43(10):874-885.
- Choquet V et al. Clinical and radiographic evaluation of the papilla level adjacent to single - tooth dental implants. A retrospective study in the maxillary anterior region. J Periodont 2001;72:1364-1371.
- Monaco C et al. Implant Digital Impression in the Esthetic Area. J Prosthodont 2018; 28(5):536-540.
- Avila-Ortiz G et al. The peri-implant phenotype. J Periodontol 2020;1–6.
- Jung RE et al. Systematic review or the survival rate and the incidence of biological, technical, and aesthetic complications of a single crowns on implant reported in longitudinal studied with a mean follow-up of 5 years. Clin Oral Implant Res 2012; 23:2-21.
- Chen ST, Buser D. Esthetic outcomes following immediate and early implants placement in the anterior maxilla. A systematic review. Int J Oral MaxilloFac Implants 2014;29:186-215.
- Tonetti Ms et al. Management of the extraction socket and timing of implant placement: Consensus report and clinical recommendations of group 3 of the XV European Workshop in Periodontology J Clinical Periodontol 2019;46(21):183-194.
- Cardaropoli D, Araujio M, Lindhe J. Dynamics of bone tissue formation in tooth extraction sites. An experimental study in dogs J Clin Periodontology 2003;30:809-818.
- Arahjo MG et al. Dimensional ridge alterations following tooth extraction. An experimental study in dogs J Clin Periodontology 2005;32:212-218.
- Hammerle C, Araujo MG, Simon M. Evidence based knowledge of the biology and treatment of extraction sockets Clin Oral Implant Res 2012;23(5):22-3.
- Morad et al. Thickness of labial alveolar bone overlying healthy maxillary and mandibular anterior teeth J Craniofa Surg 2014;25:1985-1991.
- Araujo et al. The influence of Bio-Oss Collagen of healing of an extraction socket: an experimental study in the dog. Int J Periodontics Restorative Dent 2008;28:123-135.
- Zitzmann NU et al. Alveolar ridge augmentationwith Bio-Oss: an histologic study in humans. Int J Periodontics Restorat Dent 2001;21:288-295.
- Bassir HS et al. Systematic review and meta analysis of hard tissue outcomes of alveolar ridge preservation J Oral Maxillofac Implants Sep/Oct 2018;33(5):979-994.
- Jung RE et al. Radiographic évaluation of different technique for ridge preservation after tooth extraction: a randomized controlled clinical trial J Clin Periodontology 2013;40(1): 90-98.
- Roccuzzo M, Roccuzzo A, Ramanuskaite. A Papilla height in relation to the distance between bone crest and inter proximal contact point at single - tooth implants: a systematic review. Clin Oral Implan res 2018;29(15):50-61.
- Rocchietta I et al. Soft Tissue integrazion of porcine collagen membrane: an experimental study in pigs. Inter J Period Res 2012;32(1):34-40.
- Tomarelli F, Marano G, Amini M. I tessuti molli negli impianti post estrattivi: analisi clinica ed istologica di una matrice di collagene 3D (Mucograft) Poster Simposio nazionale Osteology Firenze 2015.
- Morelli T et al.Three- dimensional volumetric changes after socket augmentation with deproteinized bovine bone and collagen matrix. Int J Oral Maxillofac Implants 2020;35:566-575.
- Jonker BP et al. Soft tissue contour and radioghaphic evaluation of ridge preservation in early implant placement: a randomized controlled clinical trial. Cli Oral Impl Res 2021;32:123-133.
- Thoma DS et al. Randomized controlled clinical trial comparing implant sites augmented with a volume stable collagen matrix or an autogenous connective tissue graft: 3 year data after insertion of recostructions. J Clin Periodontology 2020;47:630-639.
- Gargallo-Albiol J et al. Efficacy of xenogenic collagen matrix to augment peri-implant soft tissue thickness compared to autogenous connective tissue graft: a systematic review and meta.analysis. Int J Oral Maxillofac Implants 2019;34(5):1059-1069.
Tag:
I dilemmi che accompagnano gli impianti post-estrattivi immediati spesso implicano la decisione se sarebbe meglio mantenere o meno con chirurgie o manovre ...
La difficile scelta clinica nel mantenimento di elementi compromessi e la loro eventuale sostituzione con impianti dentali, porta all’individuazione dei ...
Nella valutazione di elementi dentali irreparabilmente compromessi ci troviamo a dover effettuare delle scelte sul piano di trattamento post-estrattivo1, 2....
I piani di trattamenti clinici che prevedono il carico immediato o il posizionamento post-estrattivo immediato dell’impianto, rappresentano una procedura ...
L’inserimento di impianti postestrattivi immediati comporta vantaggi e svantaggi, ma in generale è considerata una terapia chirurgica ...
Introduzione
La guarigione del sito alveolare post estrattivo è un processo biologico che induce un parziale riassorbimento dell’osso ...
È sempre più attuale e dibattuta dalla comunità scientifica la sostituzione di elementi in zona estetica con impianti ...
È sempre più attuale e dibattuta dalla comunità scientifica la sostituzione di elementi in zona estetica con impianti ...
Esiti di malattia parodontale, riassorbimenti interni ed esterni, lesioni cariose non sanabili e fratture sono ancora oggi causa di estrazione di molti ...
Il successo clinico in implantologia non può prescindere da un corretto ripristino dell’estetica e dell’anatomia dei tessuti di sostegno ...
Live webinar
mer. 15 aprile 2026
20:00 (CET) Rome
Live webinar
gio. 16 aprile 2026
2:00 (CET) Rome
Linda Hecker MS, BSDH, RDH
Live webinar
gio. 16 aprile 2026
18:00 (CET) Rome
Dr. Pär-Olov Östman, Dr. Robert Gottlander DDS
Live webinar
ven. 17 aprile 2026
18:00 (CET) Rome
Live webinar
ven. 17 aprile 2026
19:00 (CET) Rome
Dr. Stuart Yeaton BDentSc, MOrth
Live webinar
lun. 20 aprile 2026
19:00 (CET) Rome
Dr. Alberto Monje DDS, MS, PhD
Live webinar
mer. 22 aprile 2026
17:00 (CET) Rome
MDT Andreas Chatzimpatzakis
To post a reply please login or register