Gli impianti endossei sono considerati una delle opzioni principali per la riabilitazione protesica dei settori edentuli, in particolare nella regione mascellare posteriore. Tuttavia, non è possibile posizionare impianti dentali di adeguata lunghezza in alcune situazioni cliniche, principalmente a causa della mancanza di osso1.
Il volume del seno mascellare tende ad aumentare di dimensioni con l’avanzare dell’età e con la perdita degli elementi dentari2, 3. Questo fenomeno avviene per un progressivo riassorbimento delle pareti, sia in direzione antero-posteriore, che medio-laterale, che superoinferiore. L’entità e la forma di tale pneumatizzazione sono estremamente variabili sia tra gli individui sia che tra i seni controlaterali di uno stesso soggetto. Nei pazienti edentuli, se questa condizione è protratta nel tempo, la cresta alveolare può assottigliarsi fino a raggiungere valori inferiori a 1 mm. I carichi masticatori applicati ai processi alveolari hanno un ruolo importante nel mantenere l’integrità delle strutture ossee. Tale riassorbimento può essere accelerato da alcuni fattori sistemici quali: squilibri ormonali, alterazioni metaboliche, processi filogistici. Il pavimento del seno mascellare tende ad abbassarsi in direzione cranio-caudale, mentre la cresta alveolare si contrae in direzione opposta.
La severità del riassorbimento, e quindi dell’atrofia, è correlata alla durata dell’edentulismo. Gli individui edentuli da lunga data, difficilmente presenteranno una quantità di osso sufficiente all’inserimento di impianti senza nessuna manovra rigenerativa, in particolare nel settore posteriore4. Il fattore limitante per l’inserimento degli impianti non è tanto la larghezza quanto l’altezza della cresta ossea residua, compresa tra la cresta alveolare e il pavimento del seno mascellare5. Si può osservare, inoltre, che la riduzione del processo alveolare può avvenire anche in seguito a processi patologici correlati al dente, come forme di malattia parodontale o lesioni periapicali. Inoltre, da non sottovalutare, anche il ruolo delle lesioni traumatiche. Per poter attuare un piano di trattamento implanto-protesico corretto è quindi indispensabile classificare il grado di riassorbimento osseo al fine di effettuare uno studio pre-operatorio di ogni caso ed un conseguente piano di trattamento6.
Per riabilitare la zona mascellare superiore e per ottenere un sito osseo adeguato al posizionamento degli impianti, si eseguono interventi di aumento del pavimento del seno mascellare, sin dalla sua prima introduzione negli anni ‘807-9. Il grande rialzo di seno mascellare attraverso finestra ossea laterale è una delle procedure chirurgiche più comunemente utilizzate per aumentare l’altezza dell’osso e i risultati del trattamento che coinvolgono diversi tipi di materiali da innesto sono stati documentati in diverse revisioni sistematiche e meta-analisi10. Lo scopo di questo lavoro è la valutazione degli esiti clinici e radiografici del grande rialzo di seno mascellare per via laterale con chirurgia piezoelettrica Piezo Surgery e contestuale GBR ossea.
Materiali e metodi
In questo case report è stata selezionata una paziente di sesso femminile, S.P. (54), non fumatrice, con buona igiene orale e con anamnesi negativa all’assunzione di farmaci, ad allergie, disturbi metabolici e patologie sistemiche (Figg. 1-3). È stata proposta una tecnica di rialzo del seno mascellare eseguita mediante strumenti piezoelettrici (Piezosurgery®, Mectron, Genova, Italy) (Figg. 9, 10, 13).
In fase preoperatoria è stato prescritto aerosol (2 volte al giorno per 7 giorni) con beclometasone dipropionato (Clenil 0,8 mg/2 ml) e soluzione ipertonica (Libenar 22g/l) a partire da 7 giorni prima dell’intervento e antibiotico (Amoxicillina 1 g - ogni 12 ore a partire dal giorno precedente l’intervento per 6 giorni). È stato eseguito il rialzo di seno mascellare del secondo quadrante per via laterale abbinato a una contestuale tecnica di GBR/Guided Bone Regeneration (Figg. 4-6). Come sostituto osseo è stato utilizzato lo xenoinnesto bovino Re-Bone® (Ubgen, Padova, Italy) da 1 g con granuli cortico-spongiosi 0,25-1 mm (Figg. 7, 8, 11). Questa metodica è stata abbinata a Shelter ® membrana in pericardio bovino (Ubgen, Padova, Italy) fissata poi con appositi pins ritentivi (Figg. 12, 14, 15). Terminata la tecnica di GBR, sono stati suturati i lembi (Vicryl, 4/0, Johnson & Johnson Int.) (Fig. 16).
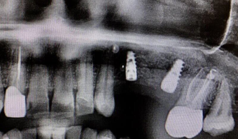
Per la fase post-operatoria sono stati prescritti un analgesico da prendere al bisogno (Paracetamolo 500 mg), cortisone (Bentelan 1 mg, 4 compresse il primo giorno e a scalare i giorni successivi fino ad 1 il quarto giorno) e clorexidina 0.2% e sono state fornite istruzioni complete all’igiene orale. Dopo 7 giorni dall’intervento è stato prescritto nuovamente aerosol (beclometasone dipropionato Clenil 0,8 mg/2 ml) e soluzione ipertonica (Libenar 22g/l per 7 giorni). La sutura è stata rimossa dopo 10 giorni. A distanza di 7 mesi dalla procedura rigenerativa è stato attuato un secondo timing chirurgico per posizionare gli impianti nella sede prestabilita. Eseguita l’anestesia locale sono stati inseriti impianti endossei in posizione 24 (3.2 x 10 mm.) e 26 (4.3 x 10 mm) (JD Evolution Plus - JD Dentalcare, Modena, Italy) (Figg. 17, 18) ed eseguita la radiografia di controllo postoperatoria. La rimozione delle suture è avvenuta dopo 10 giorni.
Risultati
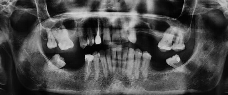
In seguito all’intervento di rialzo di seno mascellare con contestuale GBR è stata eseguita la radiografia ortopanoramica che mostra il corretto riempimento dell’area atrofica del seno mascellare con granuli cortico-spongiosi di osso di origine bovina. Al controllo dopo tre settimane i tessuti molli dell’area trattata risultano perfettamente guariti. La TC Dentalscan effettuata dopo 6 mesi per il controllo della zona rigenerata evidenzia la perfetta guarigione della zona con aumento dello spessore osseo di 5 mm e dell’altezza ossea di 11 mm.
Discussione
L’edentulia parziale o totale dei settori latero-posteriori è una delle condizioni più comuni in odontoiatria implantare11. La cresta alveolare si riassorbe in maniera significativa anche dopo l’estrazione di un singolo dente sia a livello dei tessuti duri che dei tessuti molli. Inizialmente si verifica una diminuzione dell’ampiezza ossea a spese della lamina ossea vestibolare e una progressiva e più rapida diminuzione della larghezza della parete posteriore. L’altezza ossea tende infatti a diminuire e scompare la lamina dura12-14. Il riassorbimento si manifesta prima sul piano trasversale provocando la classica forma a “lama di coltello” della cresta alveolare; successivamente coinvolge anche l’altezza dell’osso alveolare e, nei casi più estremi, anche l’osso basale.
Il rialzo del seno mascellare è una procedura, quindi, spesso necessaria per riabilitare pazienti mediante impianti endossei nella regione posteriore del mascellare superiore. Per la tecnica di rialzo del seno mascellare sono stati utilizzati strumenti piezoelettrici che riducono i disagi delle tradizionali tecniche osteotomiche, semplificano e codificano le sequenze operative e permettono di ottenere incrementi di svariati millimetri del pavimento sinusale. La procedura GBR, Guided Bone Regeneration, prevede l’utilizzo di membrane che fungono da barriera per evitare l’invasione delle cellule epiteliali e connettive dei tessuti molli circostanti, fornendo così cellule osteogeniche, che riportano una velocità di migrazione più lenta e quindi migliori condizioni per la rigenerazione ossea. La membrana in pericardio bovino, fissata con pins ritentivi, grazie alla peculiare struttura del collagene a trama larga di matrice tridimensionale viene riassorbita dall’organismo senza alcun processo infiammatorio nell’arco di 4-5 settimane.
La linea specifica di sostituti ossei e separatori cellulari utilizzati per questo caso (vedi materiali e metodi) ha lo scopo di creare un ambiente favorevole alla chemiotassi e alla proliferazione degli osteoblasti, nonché alla neoangiogenesi grazie al processazione a bassa temperatura (metodo Thermagen e Pericross). In letteratura, la procedura di rialzo del seno mascellare è indicata come una delle tecniche chirurgiche pre-protesiche più utili per il successo della riabilitazione orale da parte di impianti dentali nell’osso mascellare dove si sia verificata compromissione dell’osso. Sono stati proposti miglioramenti considerevoli per quanto riguarda il design del lembo e l’approccio chirurgico, grazie a strumenti appositamente progettati e vari innesti ossei o sostituti ossei da oltre un decennio.
L'evoluzione della tecnica chirurgica nell’approccio attraverso finestra laterale all’osso mascellare per il sollevamento della membrana del seno, ha lo scopo di ridurre le complicanze che possono compromettere l’esito dell’intervento e la sopravvivenza dell’impianto. La chirurgia piezoelettrica ha dimostrato il vantaggio di ridurre drasticamente il tasso di perforazione, aumentando così la percentuale di successo complessivo della tecnica di rialzo di seno mascellare15 (Figg. 19-22).
Conclusioni
La Rigenerazione Ossea Guidata, GBR, risulta attualmente un percorso terapeutico per il trattamento chirurgico di minus, deiscenze e fenestrazioni ossee di estensione moderata o profonda. Consente l’inserimento implantare sotto un profilo estetico e funzionale e di aumentare le indicazioni verso una riabilitazione implanto-supportata ottimizzandola. Possiamo, inoltre, affermare che l’utilizzo di uno xenoinnesto bovino decellularizzato a bassa temperatura con una membrana di pericardio bovino, fornisce apprezzabili risultati sia in termini di osso neoformato che di osteointegrazione dell’impianto. La contestuale tecnica GBR a fini implantari è quindi una metodica comprovata ed affidabile per la riabilitazione di pazienti con gravi minus del mascellare posteriore, altrimenti difficilmente riabilitabili.
Bibliografia
- Cruz RS , Lemos CAA, Batista VES, Oliveira HFFE, Gomes JML, Pellizzer EP, Verri FR. Short implants versus longer implants with maxillary sinus lift. A systematic review and meta-analysis. Braz Oral Res. 2018;32:e86. doi: 10.1590/1807-3107bor-2018.vol32.0086. Epub 2018 Sep 13.
- Cawood JI, Howell RA. A classification of the edentulous jaws. Int J Oral Maxillofac Surg. 1988 Aug;17(4):232-6.
- Atwood DA. Some clinical factors related to rate of resorption of residual ridges. 1962. J Prosthet Dent. 2001 Aug; 86(2):119-25. 52.
- Carlsson GE, Thilander H, Hedegård B. Histologic changes in the upper alveolar process after ex- tractions with or without insertion of an immediate full denture. Acta Odontol Scand. 1967 Jun;25(1): 21-43.
- Pietrokovski J, Massler M. Alveolar ridge resorption following tooth extraction. J Prosthet Dent. 1967 Jan;17(1): 21-7.
- Cawood JI, Howell RA. Reconstructive preprosthetic surgery. I. Anatomical considerations. Int J Oral Maxillofac Surg. 1991 Apr;20(2):75-82.
- Tianqi Guo, Karan Gulati, Ziyun Shen, Pingping Han, and Zhen Fan. Sci Rep. 2020; 10: 5935. Therapeutic outcomes of non-grafted and platelet concentrations-grafted transcrestal maxillary sinus elevation (TSFE): a systematic review and meta-analysis.
- Yunfei Liu, Yamei Xu and Qingqing Wu. Peer J. 2020; 8: e8353. Published online 2020 Jan 16. doi: 10.7717/peerj.8353 Application of pro- blem-based learning and case-based learning integrated method in the teaching of maxillary sinus floor augmentation in implant dentistry.
- Favero Giacomo, Jose Viña-Almunia, Carmen Carda, José Javier Martín de Llano, Berta García-Mira, David Soto Peñaloza, Miguel Peñarrocha-Diago and Daniele Botticelli. Influence of the use of autogenous bone particles to close the access window after maxillary sinus floor augmentation: an experimental study in rabbits. Int J Implant Dent. 2020 Dec; 6: 9.
- Thomas Starch-Jensen, Daniel Deluiz, Kirsten Duch, and Eduardo Muniz Barretto Tinoco. Maxillary Sinus Floor Augmentation With or Without Barrier Membrane Coverage of the Lateral Window: a Systematic Review and Meta-Analysis. J Oral Maxillofac Res.2019 Oct-Dec; 10(4).
- Schropp L, Wenzel A, Kostopoulos L & Karring T. Bone healing and soft tissue contour changes following single- tooth extraction: a clinical and radiographic 12-month prospective study. The Int. Journal Periodontics Restorative Dentistry 2003; 23: 313-23.
- Araujo MG, Lindhe J. Dimensional ridge alternations following tooth extraction. An experimental study in the dog. Journal of Clinicial Periodontology. 2005; 32: 212-21.
- Cardaropoli G, Araujo M, Lindhe J. Dynamics of bone tissue formation in tooth extraction sites. An experimental study in dogs. Journal of Clinical Periodontology. 2003; 30: 809-818
- Covani U, Ricci M, Bozzolo G, Mangano F, Zini A, Barone A. Analysis of the pattern of the alveolar ridge remodelling following single tooth extraction. Clinical Oral Implants Res. 2011; Aug;22(8): 820-5.
- Kao SY, Lui MT, Cheng DH, Chen TW. Lateral trap-door window approach with maxillary sinus membrane lifting for dental implant placement in atrophied edentulous alveolar ridge. Journal of the Chinese Medical Association. Volume 78, Issue 2, February 2015, Pages 85-88.
L'articolo è stato pubblicato su Dental Tribune Italian Edition 6/2020.
New Orleans - Essendo la carie una delle più diffuse malattie croniche orali, pari al 60% di tutti i trattamenti odontoiatrici, sono necessari ...
Negli ultimi 10 anni l’utilizzo di impianti corti per riabilitazioni implanto-protesiche nei mascellari atrofici è aumentato notevolmente: in letteratura...
La paziente si presenta in visita lamentando mobilità e l’insorgenza di un dolore alla masticazione a carico dell’elemento 25. Clinicamente ...
La riabilitazione implantoprotesica, affermatasi negli ultimi decenni come tecnica chirurgica affidabile e di indubbio successo è, come è ...
La riabilitazione implantoprotesica, affermatasi negli ultimi decenni come tecnica chirurgica affidabile e di indubbio successo è, come è ...
Sempre più spesso si parla di avanzate tecniche chirurgiche e dei vantaggi che nuovi protocolli o nuove tecnologie possono offrire. Ma forse ci si ...
L’avvento di sempre più performanti superfici implantari, legato all’acquisizione di micro e macro morfologie delle fixtures, ha ...
Dental Tribune intervista il dott. Gian Battista Greco e il prof. Danilo Alessio Di Stefano, su un caso clinico complesso, risolto con una soluzione di ...
Il Convegno di Rimini “Corte per il Diritto alla Salute” ha posto l’accento sulla difficile questione del Fondo Nazionale per la non ...
La realizzazione di strutture per restauri in metallo-ceramica è oggi un lavoro di routine nel laboratorio odontotecnico. La forma ...
Live webinar
gio. 22 gennaio 2026
15:00 (CET) Rome
Prof. Judith Jones D.D.S; M.P.H., Prof. Kakuhiro Fukai D.D.S., Ph.D, Dr. Bathsheba (Bethy) Turton
Live webinar
gio. 22 gennaio 2026
20:00 (CET) Rome
Dr. Nicola M. Grande DDS, PhD
Live webinar
mer. 28 gennaio 2026
14:00 (CET) Rome
Live webinar
mer. 28 gennaio 2026
17:00 (CET) Rome
Prof. Dr. Jan-Frederik Güth
Live webinar
mer. 28 gennaio 2026
17:00 (CET) Rome
Dr. Algimante Lošytė – Jančė
Live webinar
mer. 28 gennaio 2026
18:00 (CET) Rome
Live webinar
mer. 28 gennaio 2026
19:00 (CET) Rome
Dr. Marina Siegenthaler Dr. med. dent. eidg. dipl. Zahnärztin SSO
To post a reply please login or register