Un moderno materiale da restauro deve sicuramente avere delle specifiche proprietà ottiche e meccaniche per poter soddisfare le esigenze estetiche e funzionali del paziente.
Inoltre, negli ultimi anni, sempre più studi scientifici hanno evidenziato anche l’importanza di avere a disposizione dei materiali biocompatibili privi di sostanze che potrebbero essere dannose per il corpo umano.
Per questa ragione, è stato ora lanciato sul mercato un nuovo composito per i settori posteriori dalla formula innovativa totalmente biocompatibile (Enamel Plus HRI Bio Function, Micerium S.p.A.). Questo materiale, oltre a non contenere BisGMA nella matrice organica, e quindi essere totalmente libero da Bisfenoli, è caricato con silicato di bario, un riempitivo vetroso ultra-fine (0,3 µm) e con nano-particelle di silice pirogenica di dimensioni da 5 a 50 nm. La silice pirogenica ha la caratteristica di formare agglomerati di dimensioni superiori ai 30 nm che, date le dimensioni, non sono in grado di oltrepassare la membrana nucleare delle cellule.
I dati ottenuti nel Dual-Axis Chewing Simulator dimostrano inoltre che i valori di usura di Enamel Plus HRi Bio Function sono sovrapponibili a quelli dello smalto naturale e dell’oro di tipo 3. Queste proprietà rendono il materiale ideale per i settori posteriori consentendo al clinico di ripristinare la funzione in armonia con il sistema neuromuscolare e di mantenere l’equilibrio occlusale nel tempo garantendo grande affidabilità anche su grosse ricostruzioni.
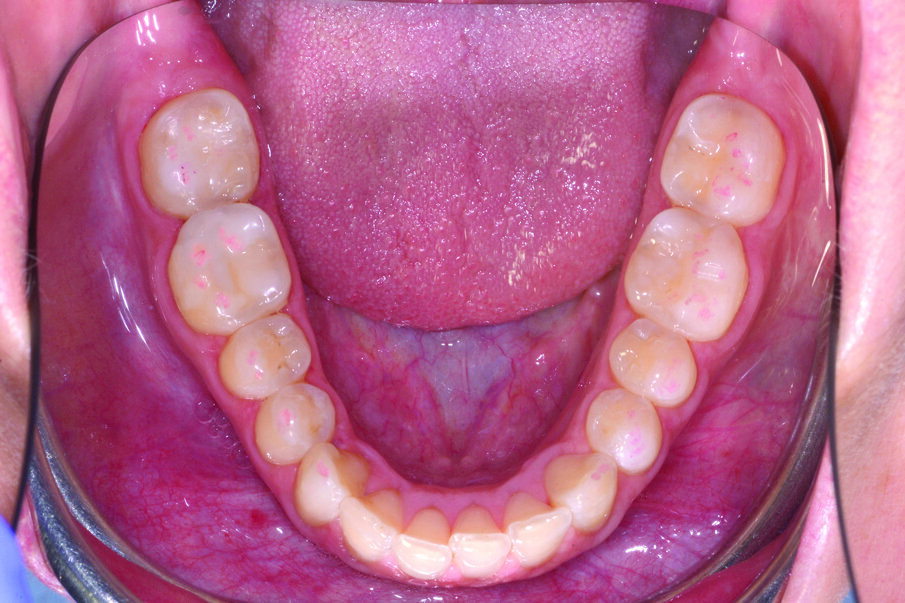
Nel seguente caso clinico, viene eseguita una riabilitazione ultraconservativa da canino a secondo molare su un giovane paziente che denuncia una perdita di dimensione verticale a causa di erosioni e abrasioni che interessano tutti gli elementi del mascellare inferiore da canino a secondo molare.
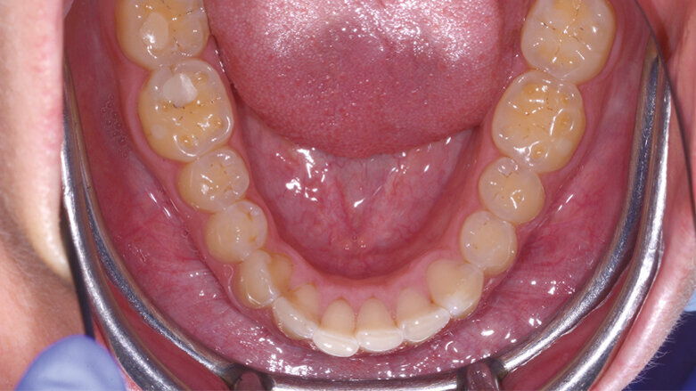
Per evitare preparazioni che porterebbero al sacrificio di tessuto sano si preferisce ricostruire gli elementi in modo ultraconservativo con una tecnica diretta per addizione. I restauri presenti su 4.6 e 4.7 vengono rimossi e tutte le superfici da ricostruire sabbiate con ossido di alluminio e lo smalto interessato all’adesione viene poi lucidato con un gommino in silicone prima delle fasi adesive. Le cavità su 4.6 e 4.7 vengono prima riempite con piccoli incrementi di dentina quindi tutte le superfici occlusali erose e/o abrase vengono ricostruite con strati sottili di smalto composito (Enamel Plus HRi Bio Function).
È un approccio innovativo che ha vantaggi enormi sia dal punto di vista biologico (non viene sacrificato tessuto dentale), di tempo (una sola seduta), psicologico (per il paziente e per il dentista che non si impegna in tecniche invasive) ed economico (riduzione dei costi).
Le fasi di lavoro sono agevolate dalla consistenza ideale del materiale che garantisce una lavorabilità ottimale. Il composito non si attacca agli strumenti, si scolpisce facilmente e mantiene la forma data. Inoltre, la formula speciale consente una lucidabilità ottimale e durevole nel tempo.
Le masse smalto Enamel Plus HRi Bio Function, sono disponibili in tre tonalità di colore con tre valori diversi (BF1 basso valore, BF2 medio valore, BF3 alto valore).
Fig. 1a_Caso iniziale: il paziente presenta perdita di dimensione verticale a causa di erosioni e abrasioni.
Fig. 1b_Colori Enamel plus HRi utilizzati per il restauro.
Figg. 2-5_Rimozione dei vecchi restauri presenti su 4.6 e 4.7: gli elementi vengono restaurati con tecnica diretta utilizzando dentina e smalto Enamel Plus HRI Bio Function.
Figg. 2-5_Rimozione dei vecchi restauri presenti su 4.6 e 4.7: gli elementi vengono restaurati con tecnica diretta utilizzando dentina e smalto Enamel Plus HRI Bio Function.
Figg. 2-5_Rimozione dei vecchi restauri presenti su 4.6 e 4.7: gli elementi vengono restaurati con tecnica diretta utilizzando dentina e smalto Enamel Plus HRI Bio Function.
Figg. 2-5_Rimozione dei vecchi restauri presenti su 4.6 e 4.7: gli elementi vengono restaurati con tecnica diretta utilizzando dentina e smalto Enamel Plus HRI Bio Function.
Figg. 6-9_Le superfici occlusali erose e/o abrase vengono ricostruite con strati sottili di smalto composito Enamel Plus HRi Bio Function.
Figg. 6-9_Le superfici occlusali erose e/o abrase vengono ricostruite con strati sottili di smalto composito Enamel Plus HRi Bio Function.
Figg. 6-9_Le superfici occlusali erose e/o abrase vengono ricostruite con strati sottili di smalto composito Enamel Plus HRi Bio Function.
Figg. 6-9_Le superfici occlusali erose e/o abrase vengono ricostruite con strati sottili di smalto composito Enamel Plus HRi Bio Function.
Fig. 10_Caso finale dopo aver eseguito i restauri ultraconservativi.
Figg. 11a, 11b_Superfici di usura dopo 120.000 cicli di usura “two body” in chewing simulator a due assi (Università di Chieti - Prof. Camillo D’Arcangelo). Immagini al SEM 50x. L’abrasione di Enamel Plus HRi Bio Function è simile a quella dell’oro e quindi a quella dello smalto naturale.
Figg. 11a, 11b_Superfici di usura dopo 120.000 cicli di usura “two body” in chewing simulator a due assi (Università di Chieti - Prof. Camillo D’Arcangelo). Immagini al SEM 50x. L’abrasione di Enamel Plus HRi Bio Function è simile a quella dell’oro e quindi a quella dello smalto naturale.
Tab. 1_Analisi comparativa Abrasione Profondità (mm) Volume (mm3)(Università di Chieti - Prof. Camillo D’Arcangelo).
Tag:
L’evoluzione dei materiali compositi e delle tecniche adesive ha notevolmente cambiato l’approccio restaurativo nei settori latero-posteriori. I...
Introduzione
Ogniqualvolta dobbiamo affrontare un caso clinico le nostre scelte procedurali devono sempre basarsi su un’attenta diagnosi. Il termine ...
Dalla metà degli anni Novanta fino ai giorni nostri l’evoluzione dei materiali e delle tecniche adesive ha notevolmente modificato ...
Descrizione
L’articolo presenta un caso clinico di una donna di 63 anni, ASA 0, non fumatrice che giunge alla nostra osservazione presso il centro ...
L’estetica negli ultimi tempi riveste un ruolo sempre più importante e determinante nei rapporti interpersonali, di conseguenza anche le ...
In conservativa, come in tutta l’odontoiatria, per eseguire una corretta diagnosi è indispensabile un esame radiografico dettagliato (bite ...
Milano, 19 novembre 2020 – Le due associazioni leader del settore dentale, ANDI e UNIDI, affrontano insieme la sfida più importante del momento ...
I restauri posteriori rappresentano due terzi di tutti i restauri diretti di uno studio odontoiatrico(1) e le resine composite costituiscono il materiale ...
Nel campo dell’odontoiatria estetica, la qualità della finitura e della lucidatura dei restauri in composito rappresenta un elemento cruciale per ...
Dalla metà degli anni Novanta fino ai giorni nostri, l’evoluzione dei materiali e delle tecniche adesive hanno notevolmente modificato l’approccio ...
Live webinar
mer. 15 aprile 2026
20:00 (CET) Rome
Live webinar
gio. 16 aprile 2026
2:00 (CET) Rome
Linda Hecker MS, BSDH, RDH
Live webinar
gio. 16 aprile 2026
18:00 (CET) Rome
Dr. Pär-Olov Östman, Dr. Robert Gottlander DDS
Live webinar
ven. 17 aprile 2026
18:00 (CET) Rome
Live webinar
ven. 17 aprile 2026
19:00 (CET) Rome
Dr. Stuart Yeaton BDentSc, MOrth
Live webinar
lun. 20 aprile 2026
19:00 (CET) Rome
Dr. Alberto Monje DDS, MS, PhD
Live webinar
mer. 22 aprile 2026
17:00 (CET) Rome
MDT Andreas Chatzimpatzakis
To post a reply please login or register