Sulla base dei dati riportati in letteratura, per il corretto inserimento di un impianto, è necessaria una adeguata disponibilità ossea. È fortemente consigliabile avere non meno di 1.5 mm di osso disponibile, sia sul versante vestibolare sia su quello linguale. In mancanza di un sufficiente spessore osseo, il posizionamento di un impianto tradizionale è sconsigliabile a meno che non sia preceduto o accompagnato da una efficace procedura di rigenerazione ossea.
Per ovviare a questa problematica nasce REX Piezo- Implant che si riconosce immediatamente per la sua esclusiva forma a cuneo e per la sua sezione rettangolare; questa macrogeometria è stata voluta espressamente per rendere sovrapponibili questi nuovi impianti all’anatomia dell’osso crestale residuo riducendo drasticamente il rischio di deiscenze vestibolari e di perimplantiti. Il REX PiezoImplant TL, con i suoi 1.8 mm di spessore, è nato per consentire una corretta gestione delle creste sottili a partire dai 4 mm di spessore, con tecnica di perforazione PIEZOSURGERY.
Si tratta di una tecnica di preparazione che ha consentito di mantenere uno spessore osseo, superiore al millimetro sia sul versante vestibolare che linguale. Oggi l’asticella è stata spostata ancora più in alto, con la tecnica rexpander infatti è possibile, semplice e sicuro anche il posizionamento implantare in creste da 3 mm. La tecnica rexpander grazie ad un’osteotomia effettuata con un inserto di soli 0,35 mm di spessore, invece di rimuovere grandi volumi ossei da una cresta di per sé già molto sottile, ne prevede la dislocazione delle pareti, preservando gli spessori ossei vestibolare e linguale. Oggi l’implantologia computer guidata consente di pianificare l’intervento e di realizzare una mascherina chirurgica che guidi l’operatore nell’inserimento degli impianti.
Questo consentirà di sfruttare al meglio la disponibilità ossea in relazione alle necessità protesiche. Per realizzare il sito implantare è stata messa a punto una speciale guida chirurgica, di sezione rettangolare e adeguata alla forma degli specifici inserti piezochirurgici per la preparazione del sito. Si presenta all’osservazione una paziente di 53 anni che presenta mobilità di grado 2 a carico del manufatto protesico 35-x-x-38. Radiograficamente si riscontra un riassorbimento radicolare dell’elemento 35. Si procede ad effettuare una cone beam per l’eventuale sostituzione implanto- protesica degli elementi 35-36-37.
Dalla cbct si evince che la cresta ossea è anatomicamente sfavorevole. Un’ipotesi di piano di trattamento era:
- l’estrazione dell’elemento 35;
- attendere 3 mesi dopo l’estrazione per avere dei tessuti competenti;
- GBR orizzontale;
- attendere 9 mesi rimozione della membrana non riassorbibile e inserimento implantare;
- attendere altri 3 mesi scopertura degli impianti innesto epitelio-connettivale e riposizionamento del fornice;
- attendere 3 mesi e riabilitazione implanto- protesica.
Parallelamente alla proposta di questo piano di trattamento, era stato proposto alla paziente:
- l’estrazione dell’elemento 35 il contestuale inserimento di due impianti REX in 35 e 37 e una GBR vestibolare a scopi puramente estetici in un’unica seduta
- attendere 6 mesi e riabilitazione implantoprotesica.
Fig. 2 - Misurazioni in sede 35.
Fig. 3 - Misurazioni in sede 37.
Fig. 4 - Progettazione impianto 35.
Fig. 5 - Progettazione impianto 37.
Fig. 6 - Progettazione dima chirurgica.
Dopo aver valutato con la paziente tutti i pro e i contro abbiamo deciso di prediligere la scelta dei REX PiezoImplant. È stata eseguita un’impronta digitale che è stata accoppiata tramite il software di progettazione all’esame radiografico tridimensionale. Sono stati scelti due impianti REX PiezoImplant 1,8 x 11. L’impronta digitale della situazione pre-intervento della paziente ci ha permesso di utilizzare quest’ultima (come ceratura diagnostica) per programmare il posizionamento implantare in modo protesicamente guidato. La pianificazione software della fase chirurgica e l’utilizzo di una guida per il corretto posizionamento dell’impianto “asse implanto- protesico”, ci hanno permesso non solo di ottenere il posizionamento implantare nel rispetto dello spessore osseo disponibile “asse anatomico” ma anche di ricercare la migliore soluzione protesica avvitata, “asse protesico”, per una sensibile riduzione del rischio di errore. È stata creata una dima chirurgica che ci ha permesso di riportare nel cavo orale la programmazione dell’inserimento implantare che avevamo pianificato virtualmente. La metodica Rex permette di utilizzare una slitta che prevede una chirurgia guidata con sistema Pilot utilizzando l’inserto W2. Sono state raccordate le due preparazioni e le abbiamo estese con l’inserto OT7S3 che ci ha permesso di ottenere una maggiore elasticità ossea.
Abbiamo provveduto ad iniziare la fase di espansione crestale. Sono stati utilizzati i Rexpander da 1,6 mm e successivamente abbiamo utilizzato i Rexpander da 2 mm. Mediante fit gauge abbiamo verificato la preparazione del sito ad ogni passaggio e abbiamo provveduto all’inserimento dei due impianti. I gap dell’osteotomia ottenuti dalla espansione sono stati riempiti da biomateriale eterologo. È stato introdotto dell’altro biomateriale con colla di fibrina e membrana riassorbibile sul versante vestibolare in modo tale da effettuare una rigenerazione ossea che avesse solo fini estetici in quanto grazie alla tecnica Rexpander la preparazione del sito implantare ha sacrificato solamente 0,75 mm di osso, garantendo 1,5 mm di osso sia vestibolarmente che lingualmente.
Dopo 6 mesi abbiamo effettuato delle Rx di controllo e misurato nuovamente il valore ISQ. Dopo aver riscontrato valori positivi abbiamo svitato le viti di guarigione e abbiamo avvitato gli specifici REXmarkers direttamente sugli impianti REX PiezoImplant. Abbiamo quindi effettuato un’impronta digitale con l’ausilio di uno scanner digitale Carestream 3600. Con l’esportazione dei file STL è stato possibile realizzare una protesi avvitata disegnata con Exocad*** che dispone al suo interno delle librerie protesiche REX PiezoImplant. È stato quindi consegnato il manufatto protesico definitivo che è stato avvitato a 25 N dopo aver controllato radiograficamente il corretto accoppiamento.
Fig. 7 - Rimozione manufatto protesico.
Fig. 8 - Scheletrizzazione.
Fig. 9 - Alloggiamento dima chirurgica.
Fig. 10 - Espansione della cresta.
Fig. 11 - Inserimento implantare.
Fig. 12 - Riempimento del gap mediante osso eterologo.
Fig. 13 - RX postintervento.
Fig. 14 - Visione a 6 mesi dei tessuti molli perimplantari.
Fig. 15 - Impronte digitali.
Fig. 16 - RX di accoppiamento.
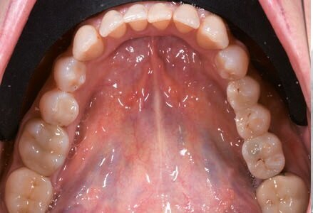
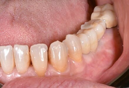
Fig. 17 - Consegna del manufatto protesico.
Fig. 18 - Visione vestibolare del manufatto protesico e della rigenerazione vestibolare fatta a fini estetici.
Conclusioni
Mediante la chirurgia computer guidata e la tecnica Rexpander abbiamo potuto affrontare una cresta atrofica:
- in un unico intervento minimamente invasivo;
- rispettando un posizionamento protesicamente guidato;
- preservando il comparto osseo mediante un’osteotomia di soli 0,75 mm;
- garantendo 1,5 mm di osso vestibolarmente e lingualmente agli impianti che garantiranno longevità agli stessi riducendo il surriscaldamento dato dalla perforazione.
I benefici dell’utilizzo di questa tecnica sono notevoli ma è necessario capire mediante corsi ed una ovvia curva di apprendimento che non tutte le creste atrofiche possono essere affrontate in questo modo, per cui è necessario sia nel caso dell’utilizzo di REX PiezoImplant che per l’utilizzo di impianti tradizionali uno studio prechirurgico attento non solo alla macro-anatomia ma anche alla micro-anatomia, agli spessori delle corticali e alla qualità delle midollari.
Tag:
Il presente lavoro descrive una riabilitazione implanto-protesica mediante utilizzo di short implants con tecnica minimamente invasiva, in un caso di ...
Dental Tribune intervista il dott. Gian Battista Greco e il prof. Danilo Alessio Di Stefano, su un caso clinico complesso, risolto con una soluzione di ...
La Rigenerazione Ossea Guidata (GBR) è una delle tecniche più utilizzate e descritte in letteratura per la ricostruzione dei difetti ossei, per ottenere ...
I pazienti con protesi fisse sottoforma di ponti estesi spesso desiderano optare per una soluzione fissa, anche quando vengono persi i pilastri distali del ...
I pazienti con protesi fisse sottoforma di ponti estesi spesso desiderano optare per una soluzione fissa, anche quando vengono persi i pilastri distali del ...
Gli impianti osteointegrati sono a oggi diventati un predicibile e valido metodo per supportare riabilitazioni protesiche, con un elevato tasso di ...
Nelle riabilitazioni implanto-protesiche del mascellare atrofico esistono delle alternative alla chirurgia di elevazione del seno mascellare che devono ...
Nelle riabilitazioni implanto-protesiche del mascellare atrofico esistono delle alternative alla chirurgia di elevazione del seno mascellare che devono ...
Conseguentemente all’aumento della prospettiva di vita, gli studi odontoiatrici si trovano oggi ad accogliere un numero crescente di pazienti ...
Conseguentemente all’aumento della prospettiva di vita, gli studi odontoiatrici si trovano oggi ad accogliere un numero crescente di pazienti ...
La paziente donna di 72 anni in buono stato di salute generale si presentò alla nostra attenzione per la mancanza dei denti nei settori inferiori ...
Live webinar
mer. 22 aprile 2026
17:00 (CET) Rome
MDT Andreas Chatzimpatzakis
Live webinar
mer. 22 aprile 2026
17:00 (CET) Rome
Live webinar
mer. 22 aprile 2026
18:00 (CET) Rome
Live webinar
gio. 23 aprile 2026
17:00 (CET) Rome
Live webinar
gio. 23 aprile 2026
18:30 (CET) Rome
Live webinar
gio. 23 aprile 2026
19:00 (CET) Rome
Live webinar
gio. 30 aprile 2026
1:00 (CET) Rome
Dr. Renato Leonardo D.M.D.
To post a reply please login or register