Conseguentemente all’aumento della prospettiva di vita, gli studi odontoiatrici si trovano oggi ad accogliere un numero crescente di pazienti geriatrici. Il professionista deve quindi sempre più spesso affrontare la necessità di trattamenti riabilitativi complessi in pazienti anziani che presentano quadri anamnestici a rischio.
Problemi cardiaci, diabete di tipo I e II, osteoporosi e malattia parodontale sono tra le patologie più ricorrenti e che maggiormente richiedono un’attenta valutazione da parte del clinico sul tipo di procedura a cui è preferibile sottoporre il paziente1. È inoltre necessario tenere presente che in casi di edentulia, quando è possibile, la riabilitazione fissa implanto-supportata o rimovibile con ancoraggio implantare è sempre preferita dal paziente, in quanto è riconosciuta come l’opzione più confortevole sia a livello funzionale che psicologico2.
Molteplici studi hanno infatti dimostrato che l’implantoprotesi ha portato un deciso miglioramento nell’accettazione dell’edentulia da parte del paziente, date le evidenti ripercussioni positive come, ad esempio, un miglioramento nell’efficacia masticatoria e un aumento del tono dei muscoli masticatori stessi3. Non si evidenzia, invece, nessuna differenza tra pazienti portatori di protesi mobile e pazienti portatori di protesi rimovibile implanto-supportata in termini di dieta e preferenze alimentari4. È stata inoltre evidenziata la predicibilità della terapia implantare nel paziente geriatrico sano anche se molto anziano, con percentuali di successo simili al paziente adulto5-7. Anche il paziente geriatrico colpito da malattie neurodegenerative può essere candidato al trattamento implantare8.
Le patologie sistemiche, che sono causa di esclusione del paziente geriatrico dal trattamento implantare, sono quindi le stesse che possono riguardare tutti i pazienti, ma che ovviamente nel paziente anziano si possono presentare più frequentemente. In realtà, le controindicazioni assolute al trattamento implantare sono rare e riguardano soprattutto quadri metabolici scompensati. Tuttavia, determinate patologie – come il diabete o la malattia parodontale, più ricorrenti nel paziente geriatrico – possono aumentare i rischi di complicanze e fallimenti. È da considerarsi pertanto più la gravità della patologia che la patologia stessa. Prima della chirurgia implantare è necessario che le patologie sistemiche in corso, quali ad esempio quelle cardiache o endocrine, siano stabilizzate9-12. Ovviamente, però, in pazienti con quadri clinici di questo tipo è auspicabile evitare interventi chirurgici complessi e utilizzare tecniche chirurgiche e strumenti il meno invasivi possibile. Un supporto fondamentale in questo senso è fornito al clinico dall’utilizzo di impianti autofilettanti, che consentono sottopreparazioni dell’osteotomia implantare e, soprattutto, dalla tecnologia piezoelettrica, che garantisce una migliore e più rapida guarigione ossea.
Caso clinico
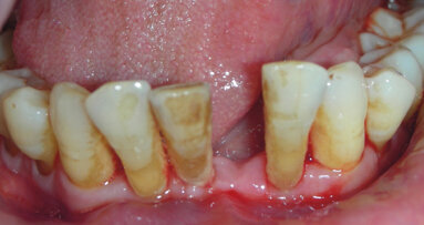
Il paziente F.C., di anni 75, si presenta alla mia osservazione lamentando mobilità della protesi scheletrata inferiore. All’esame clinico si evidenzia una non congruità della stessa e un elevato grado di mobilità degli elementi dentari residui 4.4, 3.4, 3.5. L’elemento 3.3 ha invece grado di mobilità zero. L’ortopantomografia effettuata pochi mesi prima dal paziente conferma la diagnosi clinica di malattia parodontale sugli elementi dentari residui, oltre alla presenza di trattamenti canalari incongrui e processi cariosi diffusi (Fig. 1).
Nell’arcata superiore il paziente è totalmente edentulo e portatore di protesi totale. All’anamnesi, risulta essere stato sottoposto due anni prima a intervento di angioplastica con installazione di 6 stent coronarici a causa di un infarto miocardico. A seguito dell’evento infartuale, il paziente assume Ticlopidina e farmaci beta-bloccanti per il controllo della pressione arteriosa. Il soggetto non è fumatore da due anni. Considerato il quadro clinico-anamnestico, si stipulano due piani di trattamento alternativi.
Il primo prevede le estrazioni degli elementi dentari residui e la fabbricazione di una protesi totale inferiore; il secondo consiste invece nel posizionamento di quattro impianti interforaminali e la successiva consegna di una protesi totale inferiore su barra. Il paziente, informato dei rischi e dei benefici delle due opzioni, sceglie la soluzione implantare. Pochi giorni prima dell’intervento il paziente viene preparato da un punto di vista parodontale sottoponendolo a sedute di igiene orale, curettaggi, istruzione e motivazione all’igiene orale, al fine di poter eseguire la chirurgia implantare in un contesto di tessuti parodontali il più possibile disinfiammati. Alla rivalutazione si osserva un netto miglioramento della situazione parodontale, seppure permanendo l’alto grado di mobilità degli elementi 4.4, 3.4, 3.5 (Figg. 2, 3).
embedImagecenter("Imagecenter_2_1293",1293,"small");
Valutato anche il quadro anamnestico del paziente, si decide di procedere, al momento delle estrazioni, all’inserimento contestuale di 3 impianti post-estrattivi in zona 4.4, 3.3 e 3.4 e all’inserimento di un impianto in osso guarito in zona 4.2. L’elemento 3.5 verrà mantenuto in sito per fare da ancoraggio alla protesi provvisoria, che il paziente dovrà portare durante il periodo necessario a ottenere una valida osteointegrazione delle fixture e anche per poter determinare con maggiore facilità la corretta dimensione verticale al momento della consegna della protesi definitiva. In questa occasione viene rilevata un’impronta in alginato, in modo che il laboratorio odontotecnico possa trasformare la protesi scheletrata del paziente in una protesi provvisoria secondo la nuova situazione intraorale che verrà a formarsi dopo le avulsioni.
In preparazione all’intervento viene prescritta amoxicillina in associazione con acido clavulanico (1 gr ogni 12 ore, per 6 giorni) da iniziare ad assumere il giorno precedente all’intervento stesso. In accordo con il cardiologo, si decide di non far sospendere al paziente la terapia antiaggregante. Si procede così all’estrazione di 4.4, 3.3 e 3.4. Durante le manovre estrattive, l’elemento 3.3 risulta essere anchilosato ed è quindi necessario ricorrere al bisturi piezoelettrico (Surgybone, Silfradent, Italia) per effettuare un’avulsione meno traumatica possibile nel rispetto dell’alveolo che dovrà poi ospitare l’impianto (Fig. 4). Una volta effettuate le avulsioni (Fig. 5), la detersione degli alveoli postestrattivi viene effettuata con un inserto piezoelettrico, per avere una prima detersione atraumatica e per sfruttare l’effetto di cavitazione, e avere quindi un campo operatorio più pulito possibile (Fig. 6).
Considerato l’alto grado di visibilità intralveolare e la necessità di minimizzare l’invasività, si decide di effettuare una tecnica flapless per gli impianti postestrattivi e di aprire solo un piccolo lembo in cresta senza tagli di scarico per l’inserimento dell’impianto in zona 4.2. A questo punto si procede alla preparazione dei tre siti implantari con tecnica piezoelettrica (Figg. 7, 8). Negli impianti postestrattivi, infatti, l’utilizzo del bisturi piezoelettrico permette di stabilire in modo preciso l’asse implantare qualora, come in questo caso, non coincida con quello dell’alveolo. Una volta determinato l’asse, si procede alla preparazione del sito implantare con gli inserti piezoelettrici dedicati a diametro crescente (Kit PEC, Silfradent, Italia) (Fig. 9). Vengono inseriti in posizione 4.4 e 3.3 due impianti SPI 3.75 x 13 (Alpha-Bio Tec, Israele) e in posizione 3.4 un impianto SPI 3.75 x 11.5 (Alpha-Bio Tec, Israele).
Questi impianti autofilettanti permettono di effettuare una sottopreparazione del sito implantare e sono dotati di una geometria di spira di per sé in grado di consentire un’ottima stabilità primaria. In zona 4.2 si procede invece alla regolarizzazione della cresta con inserto piezoelettrico dedicato ed al successivo inserimento, con tecnica tradizionale con frese, di un impianto SPI 3.3 x 13 (Alpha-Bio Tec, Israele) (Figg. 10, 11). Il torque di inserimento in tutti i casi supera abbondantemente i 40 Ncm impostati sul motore da implantologia: 50 Ncm in posizione 4.4; 60 Ncm in posizione 4.2, 45 Ncm in posizione 3.3 e 3.4. Gli impianti postestrattivi vengono inseriti circa mezzo millimetro al di sotto della cresta ossea13,14 (Figg. 12, 13).
Mentre ancora si discute in letteratura se l’inserimento implantare subito dopo l’estrazione permetta la conservazione del tessuto osseo alveolare e basale circostante15,16, si può affermare che vantaggi indiscussi dell’implantologia postestrattiva sono il mantenimento dell’estetica gengivale secondo i principi dell’implantologia protesicamente guidata e un notevole risparmio di tempo per il clinico e per il paziente, data la drastica riduzione delle fasi chirurgiche e protesiche. Essendo il gap tra impianto e parete ossea vestibolare maggiore di 2 mm, si esegue tecnica rigenerativa in zona 4.4, 3.3, 3.4, utilizzando un sostitutivo osseo sintetico (60% idrossiapatite, 40% beta-tricalcio-fosfato) (Osso Sintetico Riassorbibile Alpha-Bio’s GRAFT, Alpha-Bio Tec, Israele) miscelato con osso autologo prelevato durante la fase di regolarizzazione della cresta ossea in zona 4.2, e una barriera in collagene (Spugna in Collagene Alpha-Bio’s GRAFT, Alpha-Bio Tec, Israele) (Figg. 14, 15). Si sutura con un filo 5-0 riassorbibile (Fig. 16). Una volta ribasata la protesi scheletrata del paziente modificata, con tecnica diretta e un ribasante morbido, il paziente viene dimesso.
Dopo tre mesi, a guarigione dei tessuti avvenuta, si procede all’intervento di rientro con un lembo apicale per aumentare la banda di tessuto cheratinizzato perimplantare (Fig. 17). Dopo due settimane si procede alla presa delle impronte, all’estrazione di 3.5 e alla successiva consegna della barra su impianti e della protesi inferiore rimovibile (Figg. 18, 19). Il controllo a un anno evidenzia la stabilità dei tessuti perimplantari (Fig. 20). L’esame radiografico a due anni evidenzia un ottimo mantenimento del tessuto osseo crestale perimplantare (Figg. 21, 22).
Ringraziamenti
Si ringraziano, per la parte protesica, la dott.ssa Tiziana Rossi e, per la parte odontotecnica, il laboratorio Bressani-Franceschi. Si ringrazia HTD Consulting per il supporto redazionale.
Bibliografia
1. Implant dentistry for geriatric patients: a review of the literature. Al Jabbari Y1, Nagy WW, Iacopino AM. Quintessence Int. 2003 Apr;34(4):281-5.
2. The impact of implant treatment on oral health related quality of life in a private dental practice: a prospective cohort study. Fillion M, Aubazac D, Bessadet M, Allègre M, Nicolas E. Health Qual Life Outcomes. 2013 Nov 14;11:197.
3. Implant-supported mandibular overdentures in very old adults: a randomized controlled trial. Müller F, Duvernay E, Loup A, Vazquez L, Herrmann FR, Schimmel M. J Dent Res. 2013 Dec;92(12 Suppl):154S-60S.
4. Do implant overdentures improve dietary intake? A randomized clinical trial. Hamdan NM1, Gray-Donald K, Awad MA, Johnson-Down L, Wollin S, Feine JS. J Dent Res. 2013 Dec;92(12 Suppl):146S-53S.
5. Dental implants in geriatric patients: a retrospective study of 47 cases. Grant BT, Kraut RA. Implant Dent. 2007 Dec;16(4):362-8.
6. Short-term clinical retrospective study of implants in geriatric patients older than 70 years.
Lee HJ, Kim YK, Park JY, Kim SG, Kim MJ, Yun PY. Oral Surg Oral Med Oral Pathol Oral Radiol Endod. 2010 Oct;110(4):442-6.
7. Geriatric slim implants for complete denture wearers: clinical aspects and perspectives.
Huard C1, Bessadet M, Nicolas E, Veyrune JL. Clin Cosmet Investig Dent. 2013 Aug 28;5:63-8.
8. Critical appraisal of evidence supporting the placement of dental implants in patients with neurodegenerative diseases. Faggion CM Jr. Gerodontology. 2013 Dec 10.
9. Impact of diabetes mellitus and glycemic control on the osseointegration of dental implants: a systematic literature review. Javed F1, Romanos GE. J Periodontol. 2009 Nov;80(11):1719-30.
10. Dental implants in the medically compromised patient. Diz P, Scully C, Sanz M. J Dent. 2013 Mar;41(3):195-206.
11. Bisphophonates related osteonecrosis of the jaw. Gupta S, Gupta H, Mandhyan D, Srivastava S. Natl J Maxillofac Surg. 2013 Jul;4(2):151-158.
12. Generalized Aggressive Periodontitis as a Risk Factor for Dental Implant Failure: A Systematic-Review and Meta-Analysis. Monje A, Alcoforado G, Padial-Molina M, Suarez F, Lin GH, Wang HL. J Periodontol. 2014 May 16:1-17.
13. Healing of buccal dehiscence defects at implants installed immediately into extraction sockets - an experimental study in dogs. Bressan E, Sivolella S, Stellini E, Almagro Urrutia Z, Lang NP, Botticelli D. Clin Oral Implants Res. 2012 Aug 27.
14. Influence of implant positioning in extraction sockets on osseointegration: histomorphometric analyses in dogs. Caneva M, Salata LA, de Souza SS, Baffone G, Lang NP, Botticelli D. Clin Oral Implants Res. 2010 Jan;21(1):43-9.
15. Immediate or early placement of implants following tooth extraction: review of biologic basis, clinical procedures, and outcomes. Chen ST, Wilson TG Jr, Hämmerle CH. Int J Oral Maxillofac Implants. 2004;19 Suppl:12-25.
16. Hard tissue formation adjacent to implants of various size and configuration immediately placed into extraction sockets: an experimental study in dogs. Caneva M, Salata LA, de Souza SS, Bressan E, Botticelli D, Lang NP. Clin Oral Implants Res. 2010 Sep;21(9):885-90.
Conseguentemente all’aumento della prospettiva di vita, gli studi odontoiatrici si trovano oggi ad accogliere un numero crescente di pazienti ...
LIPSIA, Germania: Le tecnologie robotiche computer assistite stanno cominciando a trasformare la chirurgia implantare dentale, sebbene il loro utilizzo ...
Anche per quanto riguarda l’implantologia zigomatica si può parlare di “tecnica minimamente invasiva”. Infatti, uno studio attuale ...
Universitari, odontoiatri, studenti, esperti del mondo medico-legale e giuristi hanno analizzato a Bologna, in un evento organizzato da Odonto Consulence, ...
Il Prof. Myron Nevins intervistato in esclusiva dalla redazione del Dental Tribune Italia, illustra le ultime novità nel campo della chirurgia ...
DALLAS, USA: I dati di un’indagine governativa del 2019 mostrano che circa 29 milioni di americani si recano ogni anno dal dentista ma non da un altro ...
Il 23 e 24 marzo si tiene a Firenze il primo Congresso della neonata APOS (Association Pediatric Oral Surgery), Associazione della Chirurgia Orale ...
Con il termine di epatopatia si intendono, in senso lato, una serie di condizioni patologiche riconducibili al danno, primariamente epatocitario e/o delle ...
Con il termine di epatopatia si intendono, in senso lato, una serie di condizioni patologiche riconducibili al danno, primariamente epatocitario e/o delle ...
Il prossimo 19 Maggio 2016 avrà inizio la quarta edizione del corso di Continuing Dental Education tenuto dal Dr. Luca Briccoli con una proposta ...
Live webinar
gio. 7 maggio 2026
2:00 (CET) Rome
Ms. Ellen Karlin, Dr. Sara Karlin
Live webinar
gio. 7 maggio 2026
17:00 (CET) Rome
Live webinar
gio. 7 maggio 2026
18:00 (CET) Rome
Live webinar
gio. 7 maggio 2026
18:00 (CET) Rome
Dra. Maria Carolina Erhardt, Dra. Thais Tomé Feldens
Live webinar
gio. 7 maggio 2026
20:30 (CET) Rome
Live webinar
lun. 11 maggio 2026
18:00 (CET) Rome
Live webinar
lun. 11 maggio 2026
19:00 (CET) Rome
To post a reply please login or register