Nel mese di ottobre 2022 si presenta alla nostra osservazione R.E., donna, 50 anni, fumatrice di circa 10 sigarette al giorno, in apparente stato di buona salute con nessuna terapia farmacologica in corso. La paziente riferisce di essere stata sottoposta a estrazione dell’elemento 4.5 nel mese di giugno 2022.
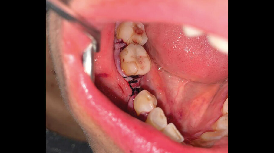
All’esame obiettivo locale emerge un’importante perdita di volume in senso vestibolo linguale (Fig. 1), ne consegue l’indicazione a effettuare una T.A.C. per poter valutare al meglio le dimensioni parodontali (Fig. 2).
Dato il riassorbimento della parete vestibolare si programma l’intervento di rigenerazione ossea attraverso l’ausilio di membrana non riassorbibile (d-PTFE CytoPlast Ti250) con innesto di materiale alloplastico (Fisiograft Ha Pasta, Ghimas) (Fig. 3). Dopo aver eseguito anestesia loco-regionale sia vestibolare che linguale (articaina 4% con vasocostrittore 1.100000), si procede con l’incisione crestale in zona 4.5 procedendo intrasulculare distalmente all’elemento 4.6 e mesialmente all’elemento 4.4, sia vestibolarmente che lingualmente (Fig. 4), rilasciando verticalmente solo mesialmente al 4.4.
Si procede allo scollamento a tutto spessore, in modo da esporre il difetto della parete vestibolare e all’eliminazione del tessuto di granulazione/cicatriziale presente attraverso manipolo dritto (1:40000) con fresa a palla in carburo di tungsteno (Fig. 5). Si eseguono fori per favorire il sanguinamento del tessuto osseo e la conseguente migrazione di fattori di crescita endogeni (Fig. 6). Utilizzando lo scollatore di Prichard si effettua l’allungamento del lembo linguale attraverso una trazione sull’inserzione di uno dei capi del muscolo miloioideo sulla superficie interna del lembo linguale. Utilizzando una lama 15c nuova si esegue un’incisione longitudinale nel periostio del lembo vestibolare.
Dopo aver adattato la membrana non riassorbibile si procede con il fissaggio attraverso micro viti di sintesi sul versante linguale, al posizionamento dell’innesto alloplastico (Fisiograft Ha Pasta, Ghimas) (Figg. 7, 8) e al successivo fissaggio della parete vestibolare (Fig. 9). A seguire viene effettuata la sutura con punti a materassaio orizzontale e continui (Fig. 10). Si prescrive terapia antiobiotica (amoxicillina/acido clavulanico 1 g (1 x 3 x 4) e risciacqui con clorexidrina 0,2% 3 x 8. I punti vengono rimossi a distanza di 15 giorni.
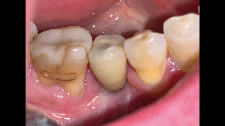
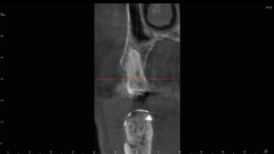
A distanza di 7 mesi, dopo aver valutato radiograficamente la rimineralizzazione ossea (Fig. 11) si procede con il rientro chirurgico per la rimozione della membrana non riassorbibile (Figg. 12, 13), all'inserimento dell’impianto e si realizza una sutura a punti staccati (Figg. 14-15). Le immagini successive mostrano il controllo radiologico pre-post intervento (Figg. 16-18) e il risultato protesico (Figg. 19, 20).
Il materiale alloplastico utilizzato, Fisiograft Ha Pasta, presenta le seguenti caratteristiche:
- Dispositivo Medico CLASSE III;
- PLGA 21% (210 mg);
- Idrossiapatite 15% (150 mg);
- PEG 64% (640 mg).
Il copolimero PLGA è un mantenitore di spazio riassorbibile, tra il piano del difetto osseo e il tessuto connettivo, che permette agli osteociti di sostituirlo in un periodo relativamente breve (4-6 mesi), fino alla formazione di tessuto osseo naturale. L’idrossiapatite garantisce una rapida vascolarizzazione, facilita l’avanzata degli osteoni e si comporta da mantenitore di spazio, costituendo l’impalcatura necessaria alle cellule per creare la nuova matrice ossea.
Risultato
L’incremento osseo ottenuto nel corso della riabilitazione si attesta intorno ai 5.5 mm in senso vestibolo linguale lungo tutta la parete vestibolare, garantendo quindi la possibilità di alloggiare l’impianto nel punto corretto. L’utilizzo del solo materiale alloplastico, tenuto in sede dalla membrana non riassorbibile, ha consentito al tessuto osseo di potersi riformare nelle quantità previste pre-operatoriamente.
Grazie alle proprietà alloplastiche di Fisiograft Ha Pasta derivanti dalla miscela di acido polilattico, acido poliglicolico PLGA e idrossiapatite, il processo di rimaneggiamento avviene nel periodo di 4-6 mesi 4-6 mesi (Figg. 21-23). Questo innovativo materiale si distingue come un efficace mantenitore di spazio, contribuendo a promuovere la rigenerazione ossea. Una volta completato il suo ciclo di azione, la Fisiograft Ha Pasta crea un ambiente propizio per la formazione di nuovo osso, rappresentando così una soluzione avanzata nel campo dell’odontoiatria. A distanza di tre mesi si conclude il caso con il posizionamento della corona definitiva in zirconia avvitata.
Conclusioni
Alla luce dei risultati clinici e radiografici ottenuti e in base alla nostra breve esperienza possiamo concludere che l’utilizzo del materiale alloplastico a base di acido polilattico e poliglicolico rinforzato con idrossiapatite con l’ausilio di una membrana non riassorbibile si è dimostrato essere un valido presidio per il mantenimento dello spazio deputato alla ricostruzione del tessuto osseo. I tempi di riassorbimento e la sua natura hanno dato prova di poter raggiungere risultati in linea con le aspettative. L’assenza di residuato del materiale ha consentito di avere una rigenerazione con una composizione clinica sovrapponibile al tessuto osseo che, nel prossimo futuro, meriterà analisi istologiche per poter analizzare nel dettaglio la qualità del tessuto ottenuto.
L'articolo è stao pubblicato su Implant Tribune Italian Edition n. 1/24.
Argomenti:
Tag:
La presenza di difetti parodontali intraossei e il coinvolgimento delle biforcazioni nel processo di riassorbimento e perdita ossea successivo ...
Nobel Biocare è lieta di annunciare il lancio di creos xeno.protect. Questa nuova membrana in collagene inaugura quella che sarà parte di una ...
Nobel Biocare è lieta di annunciare il lancio di creos xeno.protect. Questa nuova membrana in collagene inaugura quella che sarà parte di una ...
La rigenerazione dei tessuti rappresenta una continua sfida sia dal punto di vista biologico che clinico. Enormi passi in avanti sono stati fatti e vengono ...
Lo scopo di questo studio è quello di valutare l’efficacia di una membrana in pericardio e di granuli ossei cortico-spongiosi a collagene preservato, ...
Sul tema Michele M. Figliuzzi, docente di Parodontologia all’Università Magna Graecia di Catanzaro ha tenuto una relazione all’XI ...
Il dott. Cucchi, un giovane emergente di soli 36 anni ma già avanti. Nella sua relazione al congresso della Digital Dentistry Society ha presentato un caso...
Sempre attenta alle esigenze formative del professionista e pronta a rispondervi con iniziative ed eventi a elevato valore didattico, Zimmer Dental Italy ...
La riabilitazione del mascellare posteriore atrofico spesso richiede l’esecuzione di un rialzo di seno mascellare che, nei casi ove l’atrofia sia ...
Una paziente di 65 anni si presentò alla nostra attenzione, riferita dal dentista curante, per risolvere il suo edentulismo posteriore bilaterale. ...
Live webinar
mer. 15 aprile 2026
20:00 (CET) Rome
Live webinar
gio. 16 aprile 2026
2:00 (CET) Rome
Linda Hecker MS, BSDH, RDH
Live webinar
gio. 16 aprile 2026
18:00 (CET) Rome
Dr. Pär-Olov Östman, Dr. Robert Gottlander DDS
Live webinar
ven. 17 aprile 2026
18:00 (CET) Rome
Live webinar
ven. 17 aprile 2026
19:00 (CET) Rome
Dr. Stuart Yeaton BDentSc, MOrth
Live webinar
lun. 20 aprile 2026
19:00 (CET) Rome
Dr. Alberto Monje DDS, MS, PhD
Live webinar
mer. 22 aprile 2026
17:00 (CET) Rome
MDT Andreas Chatzimpatzakis
To post a reply please login or register