Il clinico che si occupa di implantologia può incontrare dubbi e perplessità nella scelta del disegno della protesi che deve essere consegnata al paziente. Gli scenari sono i più svariati: carico immediato, carico differito, carico precoce, full-arch, dente singolo, riabilitazioni a quadranti etc.. Come dobbiamo comportarci nei diversi scenari che si prospettano? Come l’occlusione può influire sulla stabilità e il successo a medio-lungo termine degli impianti? Quali sono i fattori che rendono gli impianti tanto delicati rispetto ai denti naturali?
A differenza dei denti naturali, gli impianti dentali non hanno capacità di adattamento fisiologico ad alterazioni di carico occlusale1-5. Innanzitutto, gli impianti non sono innervati e fruiscono di sensibilità propriocettiva o nocicettiva indiretta, mutuata dall’osso e dalla mucosa che li circonda1. Inoltre, dopo l’osteointegrazione, l’apporto ematico alla superficie implantare è ridotto e l’assenza di legamento parodontale non consente possibilità compensatorie ad eventuali sovraccarichi occlusali2; poi la reazione tissutale dell’osso perimplantare è meno prevedibile e più veloce3, 4; infine, il diametro implantare è minore rispetto a quello della radice dentale e il carico occlusale viene distribuito su una superficie inferiore. Perciò, qualunque precontatto o interferenza occlusale che generi una forza non in linea con l’asse longitudinale dell’impianto crea una forza laterale maggiore rispetto a quanto avverrebbe su un dente5.
Per quanto riguarda i cantilever, uno studio clinico ha dimostrato che quelli lunghi ( >15 mm) inducono più fallimenti implantari rispetto a cantilever inferiori a 15 mm6. Un cantilever corto è più favorevole per il successo delle protesi fisse mandibolari, pur restando particolarmente critico per la protesi supportata da un numero esiguo di impianti.
Diversi studi hanno riportato che le attività parafunzionali (bruxismo, serramento, etc.) e i disegni occlusali impropri sono correlati con perdita ossea/fallimento dell’impianto, fratture implantari e/o della protesi7-10. Questi studi hanno ipotizzato che il sovraccarico causato dalle abitudini parafunzionali possa aumentare la probabilità di perdita di osso marginale dopo il carico.
La qualità ossea è stata considerata il fattore più critico per il successo dell’impianto sia in fase chirurgica che in fase di funzionalizzazione, e pertanto è stato suggerito che il sovraccarico occlusale in osso di scarsa qualità possa essere un ulteriore fattore di rischio per l’efficienza dell’impianto11,12.
Possibili fattori di sovraccarico sono pertanto: cantilever sovraesteso >15 mm nella mandibola6 e >10-12 mm nella mascella13, 14; abitudini parafunzionali/serramento; contatti prematuri eccessivi; superficie occlusale ampia; inclinazione accentuata delle cuspidi; scarsa densità/qualità ossea; numero inadeguato di impianti.
I principi di base dell’occlusione implantare possono comprendere:
- Stabilità bilaterale in occlusione centrica (o abituale);
- Contatti occlusali e forza distribuite uniformemente;
- Differenza fra relazione centrica retrusa e posizione centrica (o abituale) inferiore a 1 mm;
- Ampia libertà in occlusione centrica (o abituale);
- Guida anteriore discludente, ma progressiva (centrica lunga);
- Movimenti di lateralità regolari, uniformi, senza interferenze né lavoranti né bilancianti.
_Occlusione nella protesi implantare a carico immediato e definitiva su edentulia totale
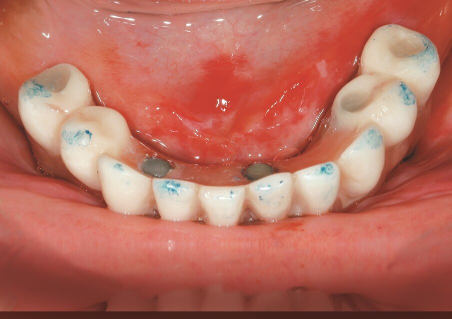
Per le protesi full-arch si raccomanda un’occlusione bilaterale bilanciata nel caso di antagonista protesico e funzione di gruppo con una lieve guida anteriore nel caso di antagonista con denti naturali, senza differenza fra superiore e inferiore. Nella protesi a carico immediato i contatti bilaterali saranno simultanei e puntiformi su tutti i denti, mentre nella definitiva i contatti saranno sfioranti sugli incisivi. In lateralità si avranno tragitti lineari nella funzione di gruppo o una guida canina, ma è preferibile una guida canina. In protrusiva si avranno tragitti lineari a carico degli incisivi e nel carico immediato anche a carico dei canini. Evitare i contatti bilancianti nel carico immediato e ricercare uno o più contatti bilancianti nei movimenti escursivi della protesi definitiva. È importante minimizzare al massimo i cantilever e lasciarli sotto-occlusi sulla protesi a carico immediato, e comunque lasciare sotto-occluso il cantilever sull’ultimo dente della protesi definitiva.
_Occlusione nella protesi implantare rimovibile (overdenture su barra o locators)
Non utilizzare una protesi rimovibile nel carico immediato o, se questo non è possibile, stabilire contatti simultanei puntiformi con assenza di contatti statici sugli incisivi e una protrusiva con contatti distribuiti su incisivi e canini. Nella protesi definitiva utilizzeremo una occlusione bilanciata bilaterale lievemente lingualizzata o una occlusione tipo bite piatto (“biteizzata”) con contatti uniformi e scivolanti nel caso di creste fortemente riassorbite.
_Occlusione nella protesi implantare a carico immediato e definitiva su edentulia multipla
Nel carico immediato unire gli elementi ed evitare contatti statici con l’antagonista e nei settori anteriori assicurarsi della disocclusione posteriore e creare tragitti il più piatti possibile.
Nella protesi definitiva forniremo:
- Guida anteriore con dentizione naturale;
- Occlusione della funzione di gruppo con canini compromessi;
- Contatti centrati, tavole occlusali strette, cuspidi fluttuanti, cantilever minimizzato;
- Occlusione posteriore a morso incrociato quando necessario;
- Connessione a dente naturale con attacco rigido in caso di supporto compromesso.
Occlusione nella protesi implantare a carico immediato e definitiva su edentulia singola
Il dente singolo a carico immediato deve essere sotto-occluso, ossia non subire alcun contatto statico e dinamico con l’antagonista; nei settori posteriori deve avere una ampiezza bucco-linguale ridotta. Anche nella protesi definitiva avremo uno schema occlusale con contatti nulli o lievi con l’antagonista in un’occlusione statica e eviteremo le escursioni. Nei settori posteriori forniremo un lieve contatto con l’antagonista e nessun contatto con le escursioni.
In osso di bassa qualità o rigenerato è opportuno un periodo di guarigione più lungo e un carico progressivo con possibili consigli per la dieta e sulle modalità e tempi di masticazione.
Fig. 1_Protesi a carico immediato con contatti bilaterali simultanei e puntiformi su tutti i denti.
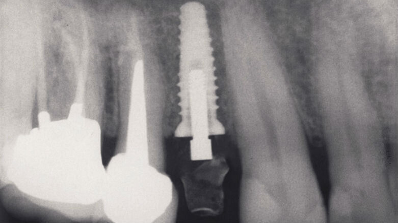
Fig. 2a_Fase protesica provvisoria. Rx endorale di controllo in cui si nota il perfetto posizionamento implantare.
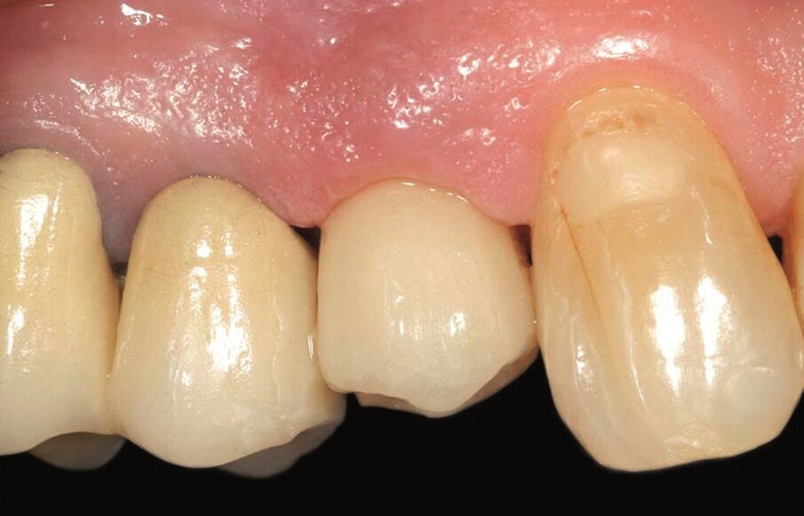
Fig. 2b_Fase protesica provvisoria. Corona provvisoria avvitata.
Fig. 2c_Fase protesica provvisoria libera da contatti occlusali.
Fig. 3_Direzione dei tragitti di protrusiva dalla massima interscupidazione su edentulia totale. In protrusiva si avranno tragitti lineari a carico degli incisivi.
Fig. 4_Direzione dei tragitti delle cuspidi di centrica a partire dalla massima intercuspidazione.
_Bibliografia
- Schulte W.. Implants and the periodontium. Int Dent J 1995; 45: 16–26.
- Mericke-Stern R., Geering AH., Burgin WB., Graf H.. Three dimensional force measurements on mandibular implants supporting overdentures. Int J Oral Maxillfac Implants 1992; 7: 185–194.
- Quirynem M., Naert I., van Steenberghe D.. Fixture design and overload influence marginal bone loss and fixture success in the Brånemark system. J Clin Oral Implant Res 1992; 3: 175– 186. 18.
- Misch CE., Suzuki JB., Misch-Dietsh FM., Bidez MW.. A positive correlation between occlusal trauma and peri-implant bone loss: literature support. Implant Dent 2005;14: 108–116.
- Van Steenberghe D., Naert I., Jacobs R., Quirynen M.. Influence of inflammatory reactions vs. occlusal loading on peri-implant marginal bone level. Adv Dent Res 1999; 13: 130–135.
- Shackleton J.L., Carr L., Slabbert J.C. & Becker P.J.. (1994) Survival of fixed implant-supported prostheses related to cantilever lengths. Journal of Prosthetic Dentistry 71: 23–26.
- Falk H., Laurell L. &Lundgren D.. (1989) Occlusal force pattern in dentitions with mandibular implant-supported fixed cantilever prostheses occludedwith complete dentures. InternationalJournal of Oral & Maxillofacial Implants 4:55–62.
- Falk H., Laurell L. & Lundgren D.. (1990) Occlusal interferences and cantilever joint stress in implant-supported prostheses occluding with complete dentures. International Journal of Oral &Maxillofacial Implants 5: 70–77.
- Naert I.E., Quirynen M., van Steenberghe D. & Darius P.. (1992) A study of 589 consecutive implants supporting complete fixed prostheses. Part II: prosthetic aspects. Journal of Prosthetic Dentistry 68: 949–956.
- Quirynen M., Naert I. & van Steenberghe D.. (1992) Fixture design and overload influence marginal bone loss and fixture success in the Bra°nemark system. Clinical Oral Implants Research 3:104–111.
- Rangert B., Krogh P.H., Langer B. & Van Roekel N. (1995) Bending overload and implant fracture: a retrospective clinical analysis. International Journal of Oral & Maxillofacial Implants 10:326–334.
- Lekolm U. & Zarb G.A.. (1985) Patient selection and preparation. In: Branemark, P.I., Zarb, G.A. & Albrektsson, T., eds. Tissue-integrated prostheses.1st edition, 199–210. Chicago, London, Berlin, Rio de Janeiro, Tokyo: Quintessence Publishing Company.
- Misch C.E.. (1990a) Density of bone: effect on treatment plans, surgical approach, healing, and progressive loading. International Journal of Oral Implantology 6: 22–31.
- Rangert B., Jemt T. & Jorneus L.. (1989) Forces and moments on Branemark implants. International Journal of Oral & Maxillofacial Implants 4 241–247.
Fondatore e presidente dell’Associazione internazionale “Microscopic Dental Club”, da oltre 12 anni l’Autore utilizza sistemi ottici ...
Il principale ostacolo alla diagnosi precoce del cancro orale è dovuto al fatto che nelle sue fasi iniziali, ossia quelle che ci interessa ...
Il mondo si sta digitalizzando e l’odontoiatria non fa eccezione. Mentre gli studi lottano per stare al passo con i tempi, la tecnologia digitale ...
A Bucarest si terranno il prossimo ottobre 3 giornate di full-immersion: dallo studio delle strutture anatomiche alla pratica hands-on.
A Bucarest si terranno il prossimo ottobre 3 giornate di full-immersion: dallo studio delle strutture anatomiche alla pratica hands-on
Sono la dottoressa Anna Maria Yiannikos, e sono felice di presentarvi gli scenari più popolari e stimolanti che potrebbero verificarsi nello studio ...
Gilles Chaumanet – presidente per la Francia della Società per l’applicazione del laser orale (SOLAFr) e dell’Accademia di Laser ...
La Fondazione Castagnola ritorna a Montecatini Terme, dove aveva effettuato i primi corsi 32 anni or sono, con un importante aggiornamento sulla ...
Individuazione intraoperatoria della stabilità primaria nel carico immediato mediante tecnologia digitale.
L’8 novembre si è tenuto presso la Dentsply Sirona Academy di Verona il Peers Closed Meeting riservato ai membri Peers, clinici esperti ed appassionati ...
Live webinar
gio. 7 maggio 2026
2:00 (CET) Rome
Ms. Ellen Karlin, Dr. Sara Karlin
Live webinar
gio. 7 maggio 2026
17:00 (CET) Rome
Live webinar
gio. 7 maggio 2026
18:00 (CET) Rome
Live webinar
gio. 7 maggio 2026
18:00 (CET) Rome
Dra. Maria Carolina Erhardt, Dra. Thais Tomé Feldens
Live webinar
gio. 7 maggio 2026
20:30 (CET) Rome
Live webinar
lun. 11 maggio 2026
18:00 (CET) Rome
Live webinar
lun. 11 maggio 2026
19:00 (CET) Rome
To post a reply please login or register