La salute orale nell’adulto sta andando incontro ad un cambiamento. L’idea che la maggior parte delle persone, nel corso della vita, si debbano rassegnare a perdere un gran numero di denti è stata sostituita con l’aspettativa che manterranno la maggior parte dei loro denti per tutta la vita.
Questo cambiamento epidemiologico ha alcune conseguenze. Per prima cosa molti denti che adesso vengono conservati possono avere una ricca esperienza di carie e/o di malattia parodontale. In secondo luogo, i denti ora mantenuti sono suscettibili all’insorgenza di nuove problematiche, la maggior parte delle quali riguardano condizioni croniche degenerative.
Tali condizioni comprendono l’attrito, l’abrasione, le fratture delle cuspidi e le incrinature a livello coronale o radicolare, situazione che crea un aumento di malattie e di condizioni e potenzialmente di sintomi, incluso dolore e disagio nella visita dal dentista. Una delle possibili causa di tali sintomi è proprio l’ipersensibilità dentinale.
Definita come dolore caratteristico, breve e acuto, derivante dall’esposizione della dentina, è di solito in risposta ad una serie di stimoli termici, tattili, di evaporazione, osmotici o chimici, e che non può essere attribuito a nessun altro difetto, malattia o patologia dentale (Canadian Advisory Board on Dentine Hypersensitivity 2003).
È probabile che la prevalenza dell’ipersensibilità dentale aumenti come risultato del cambiamento epidemiologico al mantenimento della dentatura. Sempre più spesso gli odontoiatri si trovano a dover diagnosticare e gestire questa condizione, di cui soffrono molte persone. Le statistiche di incidenza variano dal 3% al 57%, ma per le persone con patologie parodontali l’incidenza è molto più elevata > 78% (Chabansky et al.). Per alcuni può costituire solo un problema di lieve entità, che si manifesta con il classico dolore lancinante per pochi secondi. Proteggendo i denti con la lingua o adottando qualche semplice precauzione (es. lavando i denti con acqua tiepida e non con acqua fredda) l’individuo può condurre una vita relativamente normale, consapevole degli stimoli che scatenano il dolore e prendendo le misure necessarie.
Recentemente in Italia è stato condotto uno studio su 116 pazienti che ha evidenziato che il 46% ne soffriva (Guerra 2017). È risaputo ormai come tale problema possa avere ripercussioni anche sulla qualità della vita dei pazienti (Bekes 2013). Si è dibattuto a lungo su come uno stimolo applicato alla dentina esposta possa generare una risposta dolorosa istantanea. Nel 1972 Brännström propose la sua “teoria idrodinamica” come meccanismo per la trasmissione del dolore in seguito a stimolazione della dentina. Cause esterne possono causare un cambiamento di pressione all’interno dei tubuli il che porta alla stimolazione delle terminazioni nervose e al dolore (Brännström 1972).
Per una corretta gestione dell’ipersensibilità dentinale finalizzata a ridurre i sintomi ed alleviare il dolore è necessario valutare tre elementi.
Fase 1: Conferma della diagnosi
Di seguito ecco una serie di condizioni che possono dar luogo a manifestazioni dolorose simili a quelle dell’ipersensibilità dentinale. La prima fase di una strategia di gestione dell’ipersensibilità deve consentire una diagnosi definitiva attraverso l’esclusione delle seguenti condizioni:
- Sindrome del dente incrinato, spesso riscontrabile in presenza di restauri importanti;
- Restauri fratturati, perni dentali mal posizionati, affossamento dei margini di restauri;
- Reazione pulpare a carie e a trattamenti restaurativi;
- Denti scheggiati causa di esposizione della dentina;
- Posizionamento scorretto degli adesivi dentinali con conseguente nanoleakage;
- Applicazione inappropriata di vari farmaci durante la preparazione del pavimento di una carie;
- Poca accuratezza nel contornare un restauro, con conseguente occlusione traumatica del dente;
- Solco palatogengivale e altri difetti e invaginazioni dello smalto;
- Sbiancamento vitale dei denti.
Non è facile porre con certezza una diagnosi clinica, visto che tutte queste condizioni possono indurre sintomi dolorosi simili a quelli dell’ipersensibilità dentinale. Quando la percezione del dolore riguarda un solo dente, come regola generale si tratta raramente di questo problema. Altro aspetto importante: la sensibilità è episodica poiché l’equilibrio dinamico della superficie induce un’alternanza di pervietà e occlusione dei tubuli dentinali (Fig. 1).
Per una corretta diagnosi l’esame clinico dovrebbe includere valutazioni oggettive mediante stimoli meccanici/tattili (ad esempio, esplorando l’area della dentina esposta con uno strumento appuntito) e termici ed evaporativi, come un getto di aria fredda emesso da una siringa a triplice affilatura.
L’esito a fini diagnostici è una sensazione dolorosa breve e acuta per la durata di applicazione dello stimolo. Spesso i pazienti non rispondono a tutti, ma la maggior parte risponde allo stimolo evaporativo. La radiografia può essere indicata quando si sospettano problemi parodontali o altre patologie.
Fase 2: Modificare l’eziologia e il comportamento
L’eziologia ha due componenti:
- La dentina deve essere esposta (processo di localizzazione della lesione);
- I tubuli devono essere completamente aperti e pervi su tutta la lunghezza (processo di inizio della lesione).
1 - Localizzazione della lesione
In molti giovani adulti la dentina risulta esposta all’ambiente orale a seguito della perdita di cemento e/o smalto, ma l’esperienza clinica indica che solo alcuni soffrono di ipersensibilità (Addy et al. 1987). Qualsiasi processo che causa l’esposizione della dentina, come erosione o recessione gengivale, e l’apertura dei tubuli (perdita dello strato protettivo che normalmente li occlude) può in teoria provocare sensibilità dentale, per cui l’eziologia dovrebbe essere multifattoriale.
2 - Inizio della lesione
Presuppone che diversi tubuli dentinali siano completamente aperti. Si ritiene che la dentina sia coperta da uno strato protettivo o che i tubuli siano occlusi da depositi di fosfato di calcio derivati dalla saliva o da dentifrici. Entrambi tali elementi fisici e chimici potrebbero rimuovere i fattori protettivi. Di qui l’importanza del ruolo svolto dalle azioni abrasive.
Comportamento: consigli preventivi
Secondo la letteratura il consumo di bibite sin dai primi anni di vita ha un’influenza importante sull’usura dentale (Zero & Lussi 2000). Non è facile identificare i soggetti ad alto rischio di erosione. Importante quindi che il team dentistico orienti i pazienti a una corretta prevenzione e sia attento ai primi segni di usura.
Per una buona percentuale di soggetti è poi necessaria l’introduzione di regimi terapeutici. I sintomi di una modesta ipersensibilità possono essere solo indicativi di un’usura dentale in atto. Poiché lo spessore dello smalto sul margine cervicale è sottile come una lamina, è sufficiente una perdita superficiale di pochi micron per esporre la dentina.
L’erosione e l’abrasione hanno quindi un’influenza fondamentale per l’eziologia dell’ipersensibilità. Anche gli stimoli ambientali possono variare influendo sui sintomi dolorosi: è il caso per esempio di una stagione invernale particolarmente rigida in climi temperati o dell’inizio della stagione dei manghi nei climi tropicali, situazioni in cui aumenta il numero di pazienti che accusano il disturbo. Il team deve spiegare al paziente quali sono i fattori di rischio con consigli idonei.
I fattori da considerare:
Quelli eziologici devono essere modificati per proteggere la superficie dentinale e ridurre i sintomi dolorosi (mantenimento di uno strato protettivo). Occorre raccogliere i dati sulla frequenza di assunzione di alimenti acidi insieme a un’anamnesi che riveli eventuali condizioni di riflusso gastrico. Si dovrebbe inoltre accertare la frequenza del consumo di bevande erosive e l’intervallo tra due assunzioni indicativo del tempo disponibile affinché la pellicola si riformi e la superficie rammollita dall’acido torni a indurirsi.
Si dovrebbe evitare di consumare bevande e cibi acidi nelle ore notturne e di bere sorseggiando. Si possono eventualmente consigliare bibite acide modificate o gomme da masticare sugar-free. Evitare inoltre attività che possono contribuire al processo di recessione gengivale, p.es. abitudini di igiene orale aggressive o eccesive, piercing linguali. È stato suggerito l’uso due volte al giorno di un dentifricio a basso indice di abrasione.
Fase 3: Strategie di trattamento
Spesso si tende a trattare l’ipersensibilità dentinale in base ai risultati ottenuti in casi precedenti anziché considerare l’eziologia specifica e i fattori di predisposizione del singolo paziente. Poiché si tratta di una condizione di natura multifattoriale, si avrà successo solo a condizione di concentrarsi sulla specifica eziologia. Per offrire sollievo dai sintomi in commercio sono disponibili molti prodotti per uso professionale o privato.
Per il trattamento si possono seguire due approcci principali:
- Modificando o bloccando la risposta del nervo pulpare;
- Alterando il flusso di fluido nei tubuli dentinali.
Il trattamento può essere somministrato in studio, o gestito direttamente dal paziente a casa a seconda della gravità, estensione e persistenza del dolore e delle preferenze del paziente. Viste le diverse eziologie, per un trattamento efficace si potranno provare approcci differenti. Per iniziare sono generalmente consigliabili i trattamenti meno invasivi seguiti da quelli professionali.
Poiché la maggior parte delle ipersensibilità dentinali sono associate a recessione gengivale o a usura erosiva, anche queste condizioni predisponenti (non solo l’ipersensibilità) dovranno essere trattate (Fig. 2). In commercio esiste una vasta gamma di prodotti disponibili che il paziente può usare direttamente: rappresentano di gran lunga i metodi più semplici e meno costosi, consigliati come trattamento di prima scelta (Canadian Advisory Board 2003). Per alleviare i sintomi si dovrebbe consigliare ai pazienti di cercare una tecnologia desensibilizzante da usare regolarmente.
Fra le tecnologie ritroviamo:
- Prodotti a base di sali di potassio. Lo ione potassio può depolarizzare (e quindi desensibilizzare) la fibra nervosa eccitata. I dati clinici supportano l’efficacia di dentifrici contenenti tali prodotti, anche se spesso necessitano di applicazioni ripetute almeno due volte al giorno per due settimane minimo per portare risultati apprezzabili (Chesters 1992);
- Prodotti ad alto contenuto di fluoro. Promuovono la formazione di uno strato superficiale di fluoruro di calcio che occlude i tubuli dentinali: i globuli di fluoruro di calcio rappresentano una fonte di ioni fluoruro fondamentali nella remineralizzazione dei tessuti duri e per l’azione preventiva del fluoro nei confronti della carie.
- La Tecnologia Pro-Argin® a base di arginina all’8% e carbonato di calcio. L’arginina è un amminoacido bipolare, ma a pH fisiologico è carico positivamente ed è in grado di veicolare il carbonato di calcio sulla dentina carica negativamente (Kleinberg 2002) (Fig. 3). Inoltre, vengono reclutati anche ioni calcio e fosfato favorendo l’occlusione dei tubuli dentinali, grazie alla formazione di uno strato ricco di minerali, stabile e duraturo. Questa tecnologia è incorporata in un dentifricio insieme a 1450 ppm di fluoruro e sottoposta a studi clinici che hanno dimostrato come la tecnologia Pro-Argin® fornisca riduzioni dell’ipersensibilità statisticamente maggiori in risposta agli stimoli termici e tattici rispetto al dentifricio a base di ioni potassio sia immediatamente (Nathoo 2009), quando applicato con la punta del dito sul dente sensibile, che fino ad 8 settimane di utilizzo (Docimo 2009).
Fig. 1 - Meccanismo di occlusione dei tubuli dentinali. L’occlusione impedisce agli stimoli esterni di provocare la sensazione di dolore.
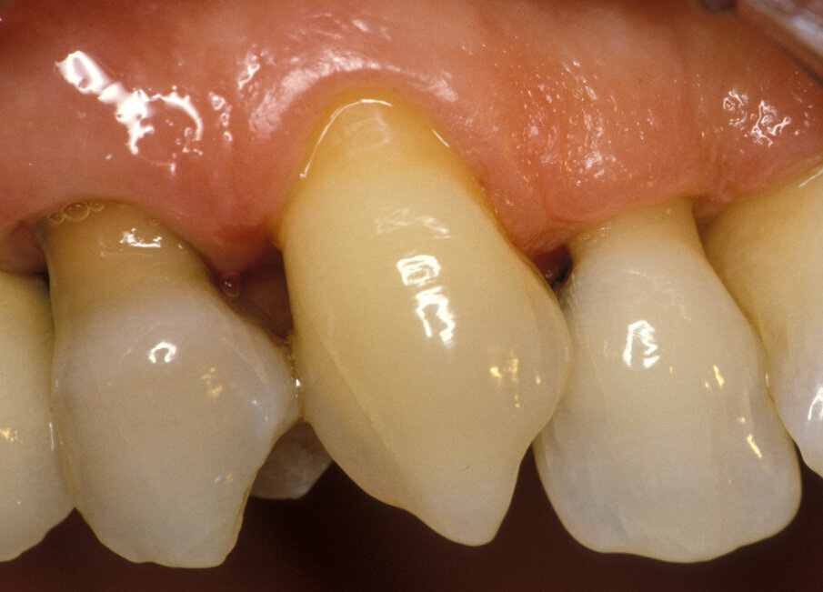
Fig. 2 - La recessione gengivale è la prima causa di esposizione dei tubuli dentinali che può causare ipersensibilità dentinale.
Fig. 3 - L’arginina è una molecola bipolare che a pH fisiologico è carica positivamente e ciò le permette di legarsi alla superficie della dentina carica negativamente. Questo processo aiuta a veicolare il calcio sulla superficie della dentina favorendo la formazione di uno strato ricco di minerali di calcio, che occlude i tubuli dentinali.
Confrontando l’ipersensibilità dentinale con altre condizioni orali se ne comprende l’impatto sulla percezione individuale della salute orale. L’influenza del dolore sulla salute orale percepita dal paziente è ovviamente considerevole, indipendentemente dalla sua localizzazione. I pazienti con ipersensibilità grave subiscono un impatto sostanziale sulla qualità di vita. I problemi funzionali e i disagi psicologici ascrivibili per buona parte al dolore generato da ipersensibilità dentinale ne evidenziano il fastidio sulla qualità di vita e salute orale percepita dai pazienti.
Per il successo del trattamento è essenziale partire da una diagnosi accurata, seguita da una terapia appropriata, da eseguire in studio o da consigliare al paziente come igiene orale da praticare a casa.
Per il professionista dentale il problema principale risiede nel fatto che il rischio di sviluppare l’ipersensibilità dentinale è multifattoriale. Inoltre, i sintomi descritti dal paziente non consentono sempre di valutarne con precisione la gravità per affrontare il problema in modo più efficace. Linee guida per la prevenzione potrebbero aiutare i professionisti dentali.
Bibliografia
- Cummins D.. J Clin Dent. 2009; 20 (spec iss): 1–9. (Guerra 2017 Clin Ter: 168 (5) 333 - 337).
- Bekes et al.. Clin Oral Invest (2013) 17 (Suppl 1):S45–S51).
- Brännström M., Astrom A.. Int Dent J. 1972; 22: 219-27.
- Chesters R.. J Clin Periodontol. 1992; 19: 256–261.
- Kleinberg I.. Dent Today 2002; 21: 42-7.
- Nathoo S J.. Clin Dent 2009, 20 special issue: 123-130.
- Docimo R. et al.. J Clin Dent 20 (Spec Iss): 17-22, 2009.
- Boneta A., Salas R., Mateo L.R., Stewart B., Mello S., Arvanitidou L.S., Panagakos F., DeVizio W.. J Dent 41 (2013), S34 – S41.
Tag:
L’ipersensibilità dentinale è una manifestazione dolorosa dovuta a una risposta esagerata, da parte dell’organo pulpo-dentinale, a...
La teoria fisiopatologica più accreditata sull’ipersensibilità dentinale continua ad essere la teoria idrodinamica studiata da Martin ...
La teoria fisiopatologica più accreditata sull’ipersensibilità dentinale continua ad essere la teoria idrodinamica studiata da Martin ...
Trattamento dell’ipersensibilità dentinale Confronto fra applicazioni topiche di fluorapatite e fluoruro di calcio (SensOut®) e di floruro ...
Tutti gli studi odontoiatrici hanno pazienti che soffrono di ipersensibilità dentinale. Molti pazienti evitano i trattamenti dentali proprio a causa ...
Tutti gli studi odontoiatrici hanno pazienti che soffrono di ipersensibilità dentinale. Molti pazienti evitano i trattamenti dentali proprio a causa ...
Tra le numerose variabili che stanno trasformando il rapporto tra odontoiatra e paziente c’è sicuramente l’alfabetizzazione sanitaria, con cui si ...
In occasione del 56° Congresso Amici di Brugg, il professore Antonio Carrassi ha presentato i risultati di un’indagine multicentrica sul tema ...
L’ipersensibilità dentinale viene definita come una “sensazione di dolore, breve e intensa, evocata da stimoli fisici o chimici non ...
Data la frequente prescrizione di antibiotici da parte dei dentisti per la gestione delle infezioni, è fondamentale tenersi aggiornati sulle tendenze ...
Live webinar
gio. 7 maggio 2026
2:00 (CET) Rome
Ms. Ellen Karlin, Dr. Sara Karlin
Live webinar
gio. 7 maggio 2026
17:00 (CET) Rome
Live webinar
gio. 7 maggio 2026
18:00 (CET) Rome
Live webinar
gio. 7 maggio 2026
18:00 (CET) Rome
Dra. Maria Carolina Erhardt, Dra. Thais Tomé Feldens
Live webinar
gio. 7 maggio 2026
20:30 (CET) Rome
Live webinar
lun. 11 maggio 2026
18:00 (CET) Rome
Live webinar
lun. 11 maggio 2026
19:00 (CET) Rome