La teoria fisiopatologica più accreditata sull’ipersensibilità dentinale continua ad essere la teoria idrodinamica studiata da Martin Brannstrom, che attribuisce all’induzione di stimoli tattili, chimici, termici e osmotici la risposta dolorosa, conseguenza di uno spostamento di fluidi nei tubuli dentinali e stiramento delle terminazioni nervose dell’organo pulpo-dentinale.
Stimolo > Variazione del flusso dentinale > Deformazione dei processi odontoblasti.
Uno stimolo caldo prolungato induce un dolore mite rispetto a uno stimolo freddo, che trasmette una fitta acuta ed è molto più frequente. La sintomatologia è variabile, condizionata spesso da approccio psicologico condizionato da percezione di dolore provato in precedenza. È necessario che il clinico faccia una diagnosi differenziale avvalendosi di test diagnostici e che provveda al management clinico del paziente sia domiciliare che professionale. L’alimentazione deve essere controllata, chiedendo al paziente di limitare uso di alimenti e bevande particolarmente acidi, fino a che il problema dell’ipersensibilità non sia stato risolto. Va controllata la presenza di eventuali disturbi, quali il reflusso gastroesofageo, disturbi alimentari e rigurgiti, altamente erosivi. A disposizione della pratica clinica per ovviare alla fastidiosa sintomatologia sono state studiate diverse terapie professionali e domiciliari per diminuire la permeabilità tubulare attraverso l’occlusione meccanica degli stessi o mediante apposizione superficiale di un rivestimento. Si possono usare i sali di stronzio, ossalati e fluoruri che occludono i tubuli dentinali, o i sali di potassio, che invece contengono l’eccitabilità delle terminazioni nervose. Il fluoruro amminico (Fig. 1) è un efficace principio attivo nel trattamento dell’ipersensibilità, poiché le molecole di AmF si distribuiscono in maniera uniforme e, grazie alle loro proprietà tensioattive, formano uno strato superficiale uniforme di fluoruro di calcio che funge da riserva di ioni fluoro, forma uno strato protettivo contro gli attacchi acidi e diventa un agente occludente i tubuli dentinali. Inoltre, l’attività antiglicolitica inibisce la formazione di placca batterica. È opportuno consigliare dentifrici (Figg. 2a, 2b) che abbiano, oltre ad alta concentrazione di fluoruro amminico (1400 ppm), un basso potere di abrasività (RDA 30).
L’apparecchio per ionoforesi (Figg. 3a, 3b) va usato con docce caricate di gel di fluoro M.F.P., un’applicazione ogni 2 giorni fino a scomparsa dei sintomi, con un tempo di applicazione di 2 minuti a 2,5 mA e 1 minuto a 3 mA a seconda della sensibilità individuale. Per applicazioni topiche professionali con docce caricate con gel al fluoro M.F.P. non acidulato, applicazioni quotidiane per 4 minuti fino alla scomparsa dei sintomi.
Le tecnologie a disposizione come agenti desensibilizzanti sono sempre più performanti: fluoruri, lacche vernici, sigillanti (Figg. 4, 5a, 5b, 6a, 6b), adesivi smalto-dentinali, compomeri e cementi vetroionomerici).
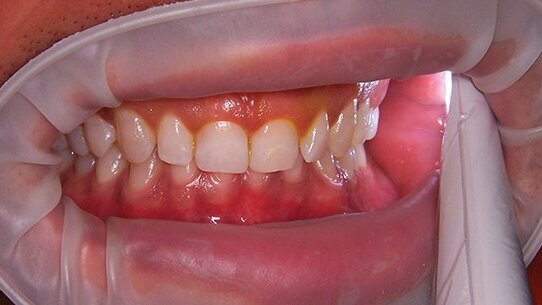
Effettuata la diagnosi di ipersensibilità dentinale (Fig. 7), si modifica la dieta, si controlla l’efficacia del controllo di placca domiciliare (Figg. 8a, 8b, 9a, 9b) e si indica l’uso di dentifrici con sostanze desensibilizzanti, eliminando così i fattori predisponenti. È importante l’ascolto del paziente per indagare sui suoi stili di vita, che magari possono favorire la problematica. Si sceglie l’agente topico desensibilizzante professionale e – dopo un’attenta e delicata decontaminazione del cavo orale, fatta con una strumentazione che ha la possibilità di scegliere una modalità di lavoro “soft” (Multipiezo Touch Mectron) con il vantaggio di poter calibrare l’intensità delle vibrazioni – si appone il desensibilizzante sulle superfici da trattare. Nei casi di dolore persistente, si scelgono materiali adesivi con trattamenti con agenti ostruttivi come vernici, lacche, fluoruri e sigillanti.
Le vernici sono composte da resine sintetiche che svolgono un’azione isolante, proteggendo la superficie da stimoli temici e chimici, e grazie al fluoruro di calcio e di sodio proteggono remineralizzando.
Le lacche svolgono un’azione antibatterica oltre che ostruttiva e, contenendo clorexidina e fluoruri che rilasciano gradatamente i fluoruri, trasformano l’idrossiapatite in fluoro apatite, procurando maggiore resistenza all’azione del pH acido e formando precipitazioni di fosfato di calcio nei tubuli dentinali. I sigillanti esplicano un effetto barriera (Fig. 10) occludendo i tubuli con il contenuto di microriempitivi fotopolimerizzati. Mousse di caseina fosopeptide e calcio amorfo (GC Italia) e Remin Pro (Voco) con fluoro e idrossiapatite, sono indicati dopo ogni seduta di profilassi per remineralizzare le superfici dentali e prevenire il fastidioso sintomo di ipersensibilità post trattamento. La tecnologia offre sospensione al 30% di nano idrossidossiapatite in alcol assoluto. L’idrossiapatite (HA) presenta caratteristiche strutturali, dimensionali e biofunzionali tali da replicare quelle della dentina naturale (Fig. 11).
È necessario, inoltre, controllare lo spazzolamento eseguito con spazzolini dai filamenti idonei per un’azione delicata, e suggerire l’aggiunta del controllo chimico attraverso l’utilizzo dei collutori dedicati al problemi dell’ipersensibilità (Fig. 12).
embedImagecenter("Imagecenter_2_1021",1021,"small");
L'articolo è stato pubblicato sul numero 3 di Hygiene Tribune Italy 2013.
La teoria fisiopatologica più accreditata sull’ipersensibilità dentinale continua ad essere la teoria idrodinamica studiata da Martin ...
Tutti gli studi odontoiatrici hanno pazienti che soffrono di ipersensibilità dentinale. Molti pazienti evitano i trattamenti dentali proprio a causa ...
Tutti gli studi odontoiatrici hanno pazienti che soffrono di ipersensibilità dentinale. Molti pazienti evitano i trattamenti dentali proprio a causa ...
In occasione del 56° Congresso Amici di Brugg, il professore Antonio Carrassi ha presentato i risultati di un’indagine multicentrica sul tema ...
In occasione del 46° meeting del Continental European Division of the International Association for Dental Research (CED-IADR), che ha avuto luogo a ...
Torna il Premio GABA riservato a tutti i Corsi di Laurea in Igiene Dentale delle Università Italiane. La nona edizione dell’iniziativa promossa...
Fra gli eventi organizzati dal Cenacolo del Giglio a Firenze, il 15 dicembre scorso il prof. Giuseppe Pizzo dell’Università di Palermo ha ...
L’ipersensibilità dentinale è una manifestazione dolorosa dovuta a una risposta esagerata, da parte dell’organo pulpo-dentinale, a...
Trattamento dell’ipersensibilità dentinale Confronto fra applicazioni topiche di fluorapatite e fluoruro di calcio (SensOut®) e di floruro ...
La salute orale nell’adulto sta andando incontro ad un cambiamento. L’idea che la maggior parte delle persone, nel corso della vita, si debbano ...
Dr. Bruce McFarlane Certified Specialist in Orthodontics Fellow: Royal College of Dentists of Canada Diplomate: American Board of Orthodontics
Live webinar
mer. 15 aprile 2026
20:00 (CET) Rome
Live webinar
gio. 16 aprile 2026
2:00 (CET) Rome
Linda Hecker MS, BSDH, RDH
Live webinar
gio. 16 aprile 2026
18:00 (CET) Rome
Dr. Pär-Olov Östman, Dr. Robert Gottlander DDS
Live webinar
ven. 17 aprile 2026
18:00 (CET) Rome
Live webinar
ven. 17 aprile 2026
19:00 (CET) Rome
Dr. Stuart Yeaton BDentSc, MOrth
Live webinar
lun. 20 aprile 2026
19:00 (CET) Rome
Dr. Alberto Monje DDS, MS, PhD
To post a reply please login or register