Fra tutti i tipi di movimenti ortodontici l’estrusione è sicuramente quello impiegato con maggiore frequenza in ambito preimplantare e preprotesico dal momento che è in grado di coadiuvare il protesista, l’endodontista e l’implantologo in molte delle loro scelte terapeutiche rendendone molto più agevole il lavoro e riducendo la necessità di interventi chirurgici rigenerativi.
È tuttavia necessario considerare gli aspetti biologici sottesi all’osso rigenerato durante il movimento ortodontico, al fine di sfruttare a pieno le potenzialità di questo approccio terapeutico. In particolare, è opportuno ricordare che solo le strutture ancora supportate dal legamento parodontale sono in grado di rigenerare osso durante il loro movimento o la loro estrusione.
_Caso clinico
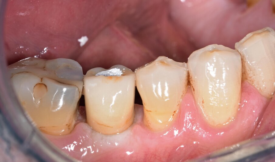
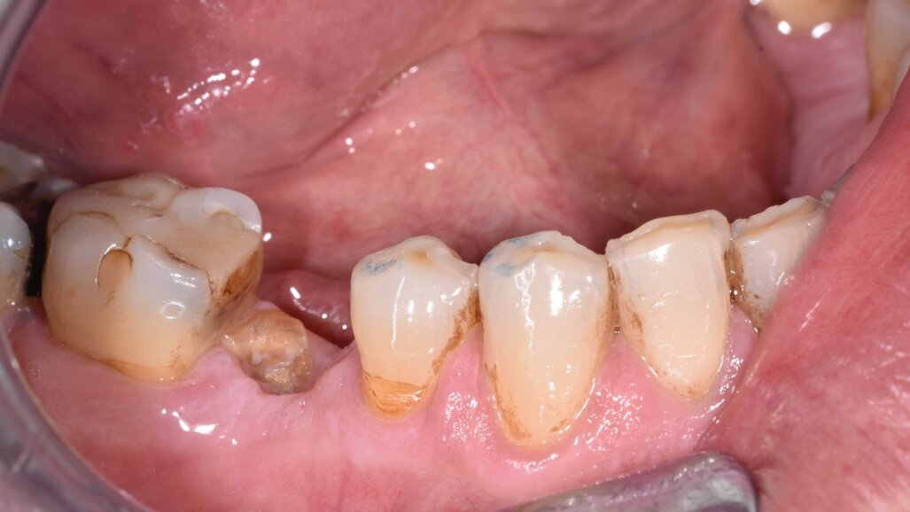
G. I. paziente di anni 50, si presenta alla nostra osservazione con una frattura longitudinale della radice dell’elemento 4.5 dovuta a infiltrazione cariosa della vecchia corona protesica. Questa situazione ha provocato nell’osso alveolare del paziente una grossa lesione che è andata ad interessare anche la corticale vestibolare. Per poter sostituire la radice con un impianto sarebbe necessario un intervento di chirurgia ossea rigenerativa ma un’alternativa meno invasiva è la rigenerazione del tessuto osseo ottenuta tramite l’estrusione forzata dell’elemento che rigenera osso durante la sua lenta migrazione grazie al legamento parodontale. In accordo con il paziente, dopo opportuna spiegazione dei benefici e dei tempi dell’approccio con estrusione ortodontica, si decide di procedere con questo iter evitando così l’intervento di rigenerativa.
La tecnica consiste in movimenti lenti degli elementi dentali o radicolari ottenuti con l’ausilio di semplici apparecchi personalizzati che ogni clinico potrà realizzare direttamente alla poltrona grazie al kit MF Extrusion del Dott. Fadda, riducendo in maniera significativa i tempi e i costi di esecuzione.
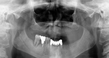
In questo caso clinico la difficoltà consisteva nel fatto che si è resa necessaria l’estrazione della metà mesiale della radice fratturata e quindi nel far compiere al frammento radicolare rimasto un movimento diagonale per mezzo del quale la porzione distale rimasta con il legamento parodontale avrebbe permesso una corretta rigenerazione tissutale ossea come indicato in rosso nell’immagine radiografica.
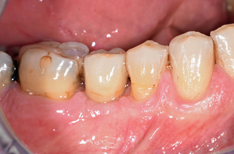
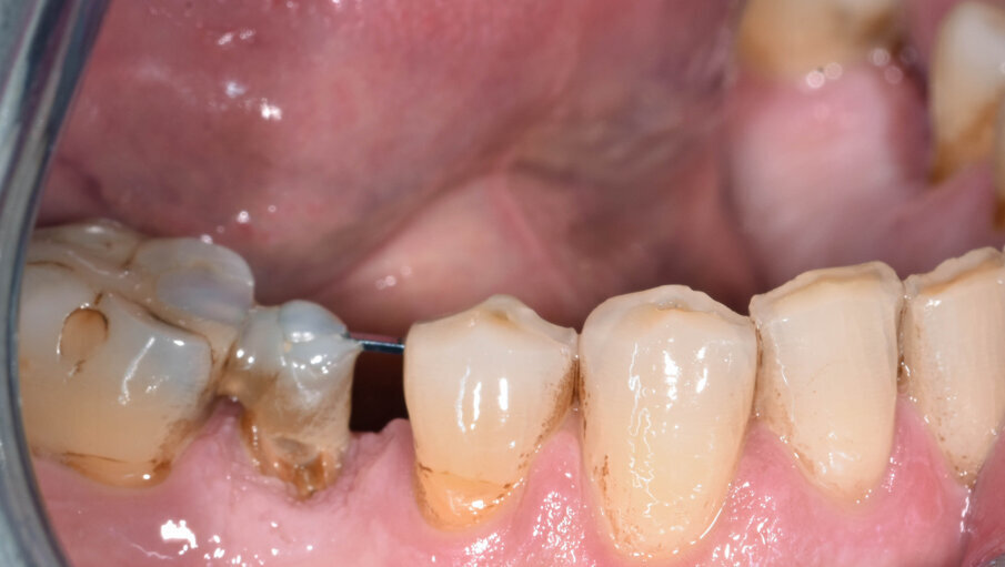
Per ottenere questo risultato nel gennaio 2021 è stato ancorato un segmento di arco in acciaio a sezione quadrata 0.021” x 0.025” agli elementi 4.4 e 4.6 per mezzo di composito. Il segmento è servito da ancoraggio per una molla con forza di trazione 150 g in posizione obliqua in senso disto-mesiale.
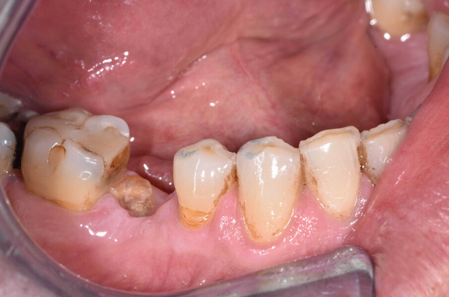
L’estrusione completa del frammento ha richiesto un tempo di 6 mesi, durante i quali è stata modificata più volte l’inclinazione della molla per evitare che il movimento diventasse ortogonale al segmento e mantenere la traiettoria prevista. Così facendo, è stato possibile rigenerare naturalmente l’intero alveolo e inserire, dopo 3 mesi di ulteriore maturazione del tessuto, in un contesto osseo ideale e perfettamente rigenerato un impianto Syra (Sweden & Martina) di diametro 4.25 mm e lungo 11 mm.
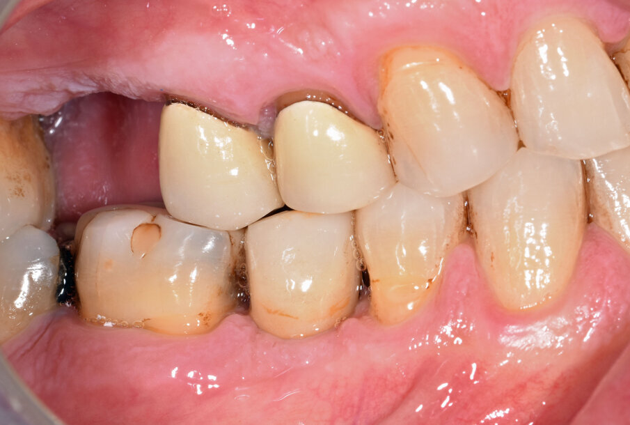
Dopo 3 mesi dall’inserimento implantare è stato possibile prendere un’impronta e di precisione e realizzare una corona singola avvitata.
Tag:
Per usare gli inglesismi tanto cari alla nuova classe dirigente, potremmo sicuramente affermare che la guerra al cash è diventata trendy. In questi giorni ...
Questo antichissimo e attualissimo strumento di cura in Italia è riconosciuto dalla Cassazione come atto medico; pertanto la sua pratica è ...
Aperto a odontoiatri, medici ed igienisti per un fronte comune sulla salute del paziente, il corso, in programma il 7 aprile a Roma, prende in esame le ...
In ortodonzia la gestione degli spazi interprossimali è fondamentale per ottenere un risultato predicibile. Questo caso presentava affollamento dentale ...
La riabilitazione di arcate totalmente edentule con protesi fisse ad ancoraggio implantare, è stata ideata e convenzionalmente eseguita seguendo un ...
Per molti genitori sono una benedizione, per gli ortodontisti sono spesso una maledizione: i ciucci usati come alternativa al “succhiarsi il ...
Dalla pianificazione computer assistita, alla chirurgia guidata, all’impronta ottica, al CAD/CAM: che le tecnologie digitali abbiano portato a ...
La trasposizione dentale è una rara anomalia dentale che consiste nell’inversione posizionale, parziale o totale, di due denti adiacenti della stessa ...
Al Policlinico A. Gemelli di Roma alcuni nomi eccellenti dell’Ortodonzia italiana si sono confrontati il 27 gennaio scorso in una Tavola Rotonda ispirata ...
La SIDO (Società Italiana di Ortodonzia) presenta Tutor Ortodontico: la APP per sensibilizzare i cittadini sull’importanza della corretta ...
L’essenza della fotografia in odontoiatria, da quando è nata con le prime pellicole analogiche, è sempre stata la stessa: ...
Live webinar
mer. 22 aprile 2026
17:00 (CET) Rome
MDT Andreas Chatzimpatzakis
Live webinar
mer. 22 aprile 2026
17:00 (CET) Rome
Live webinar
mer. 22 aprile 2026
18:00 (CET) Rome
Live webinar
gio. 23 aprile 2026
17:00 (CET) Rome
Live webinar
gio. 23 aprile 2026
18:30 (CET) Rome
Live webinar
gio. 23 aprile 2026
19:00 (CET) Rome
Live webinar
gio. 30 aprile 2026
1:00 (CET) Rome
Dr. Renato Leonardo D.M.D.
To post a reply please login or register