L’endopedodonzia è la branca dell’odontoiatria pediatrica che si occupa del trattamento dell’organo pulpare in pazienti pediatrici. L’endodonzia in età pediatrica è ormai considerata una disciplina indispensabile nelle competenze e nell’attività clinica quotidiana dell’odontoiatra.
Il trattamento conservativo ed endodontico degli elementi decidui ha caratteristiche diverse rispetto a quello dei denti permanenti: l’odontoiatra deve conoscere le varie fasi di formazione degli elementi dentari per individuare il momento giusto per intervenire e inoltre non può esimersi dal conoscere le caratteristiche dei materiali che si utilizzano in questa pratica clinica. L’obiettivo primario del trattamento della polpa è la conservazione dell’integrità e della salute dell’intero apparato stomatognatico. Il mantenimento della dentizione decidua è fondamentale per il corretto sviluppo della dentatura permanente e per la salute orale dei soggetti in età pediatrica, poiché contribuisce a creare un’occlusione stabile, funzionale ed esteticamente armonica.
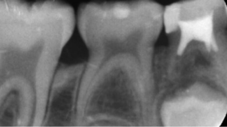
È importante ricordare che la lesione traumatica e/o cariosa può essere responsabile di patologie ascessuali e della perdita precoce di spazio in arcata, influendo negativamente sulla formazione e sull’eruzione del corrispondente elemento permanente. Necessario, pertanto, prevenire e curare tali evenienze, anche qualora si debba intervenire con trattamenti endodontici su elementi della serie decidua, affinché mantengano la propria integrità anatomica fino al completamento della permuta. Per eseguire un adeguato trattamento bisogna tenere in considerazione delle sostanziali differenze anatomiche e strutturali esistenti tra dentizione decidua e permanente che condizionano le situazioni patologiche del bambino. Le corone hanno una forma panciuta e tozza caratterizzate da uno smalto più sottile con uno spessore uniforme e dentina meno spessa.
Il tipo di contatto, inoltre, che si stabilisce tra un dente e quello adiacente non è identificabile in un punto, come avviene tra i denti permanenti, ma è rappresentato da una superficie. L’anatomia pulpare si presenta ampia rispetto alle dimensioni coronali, con cornetti pulpari più pronunciati. Tutte queste variabilità anatomiche rendono gli elementi decidui facilmente esposti a trattamenti endodontici, in seguito a processi cariosi.
Esiste un fenomeno fisiologico di tipo dinamico che interessa le radici degli elementi decidui e che non riguarda invece i permanenti. Il riassorbimento di un deciduo permette l’esfoliazione dell’elemento ed è un processo concomitante e correlato all’eruzione del corrispondente permanente. Tale processo fisiologico, chiamato anche rizalisi, è fondamentale e deve essere tenuto in considerazione quando si deve eseguire un trattamento endodontico dell’elemento deciduo. L’odontoiatra pediatrico deve tener conto che nella maggior parte dei casi si trova di fronte a elementi decidui che sono nella fase di regressione, e ciò comporta di dover utilizzare durante i trattamenti endodontici esclusivamente materiali riassorbibili.
Il trattamento endodontico del dente deciduo comporta principalmente due procedure: la pulpotomia e la pulpectomia. Non è consigliabile eseguire degli incappucciamenti della polpa poiché dalla letteratura si evince che la percentuale di successo a lungo termine è minore rispetto a quelle che si ottengono nei trattamenti di pulpotomia. La pulpotomia è il trattamento endodontico più utilizzato negli elementi decidui che mostrano l’interessamento della sola polpa camerale in seguito all’esposizione accidentale di una porzione di essa dovuta a un processo carioso o a un trauma, purché il dente risulti asintomatico per i segni clinici di sofferenza pulpare e non presenti segni radiografici di lesioni periapicali.
Lo scopo di questo trattamento è di preservare la vitalità della polpa radicolare favorendo un processo di rizalisi fisiologica. La metodica prevede l’esecuzione di una adeguata anestesia, montaggio della diga di gomma ed asportazione di tutto il tessuto carioso. Qualora si verificasse l’esposizione accidentale di un cornetto pulpare si procede all’apertura della camera pulpare, asportazione della polpa camerale fino a giungere a livello degli imbocchi canalari, utilizzando delle frese montate su turbina sotto abbondante irrigazione, controllo dell’emostasi, utilizzando dei pellet di cotone sterili.
Un sanguinamento profuso dopo 3 minuti da una indicazione di iperemia pulpare ed è consigliabile procedere ad un trattamento di pulpectomia. Ottenuta una adeguata emostasi, senza sostanze promuoventi, si procede al posizionamento in camera pulpare del materiale scelto. Nel tempo sono stati utilizzati svariati materiali, come il formocreosolo e la glutaraldeide, che però non vengono più utilizzati per la loro cancerogenicità. Attualmente i migliori in commercio per un trattamento di pulpotomia sono i cementi Portland, gli MTA ed i materiali bioceramici.
Dalla letteratura si evince come questi materiali diano una buona risposta tissutale con delle percentuali di successo, a medio e lungo termine, di circa il 90-98%. In base al tipo utilizzato si potrà procedere, nella stessa seduta o nella successiva, alla ricostruzione definitiva, utilizzando i sistemi adesivi presenti in commercio e materiale composito.
La pulpectomia è un trattamento che prevede la rimozione dell’intero organo pulpare, sia coronale che radicolare. È indicata nei casi in cui la polpa è vitale ma irreversibilmente infiammata o non vitale a causa di lesioni cariose avanzate o di traumi. Il fine del trattamento endodontico è quello di controllare l’infezione e quindi eliminare i batteri patogeni del sistema canalare.
Tale trattamento è influenzato da vari fattori legati principalmente all’anatomia radicolare, alla sottigliezza del pavimento della camera pulpare, all’impossibilità di stabilire l’esatta collocazione del forame apicale, sia clinicamente che radiograficamente, effetto dovuto al rimaneggiamento che avviene durante il processo di rizalisi. A oggi la misurazione elettronica della lunghezza di lavoro appare il metodo più affidabile per evitare una sovra strumentazione.
La metodica prevede il trattamento del sistema canalare finalizzato a promuovere una buona penetrazione degli irriganti mediante una alesatura con strumenti a bassa conicità al fine di non creare un eccesivo indebolimento delle già sottili pareti radicolari, dovuto al processo di rizalisi in atto. I materiali utilizzati per la chiusura devono essere esclusivamente riassorbibili ma in grado di garantire un adeguato sigillo del terzo medio-coronale del canale radicolare onde evitare possibili contaminazioni batteriche del sistema endodontico.
In questo momento i materiali e le tecniche che l’odontoiatra pediatrico ha a disposizione permettono, dopo una curva di apprendimento, di eseguire terapie predicibili e in grado di mantenere l’elemento dentale deciduo in arcata fino alla fisiologica esfoliazione, garantendo una crescita armonica del massiccio facciale del bambino, ed evitando, quando possibile, trattamenti ortodontici che necessitano, in alcuni casi, di una adeguata collaborazione del piccolo paziente e della famiglia.
Tag:
Nonostante il trascorrere del tempo ed il modificarsi degli usi, dei costumi e delle società, vi sono delle sensazioni o degli eventi naturali, che hanno ...
SÃO PAULO, Brasile: la respirazione con la bocca colpisce circa la metà della popolazione e può causare l’alitosi, una condizione che, a sua volta, è ...
La presenza protratta nel tempo di dispositivi ortodontici fissi è un alto rischio per la salute dei tessuti parodontali e dentali in quanto viene a ...
La presenza protratta nel tempo di dispositivi ortodontici fissi è un alto rischio per la salute dei tessuti parodontali e dentali in quanto viene a ...
I disturbi dello spettro autistico (DSA) sono un sottogruppo dei disturbi pervasivi dello sviluppo. In Italia, gli osservatori indicano una prevalenza ...
Sono stati oltre duecento i partecipanti alla Giornata Endodontica Regionale SSE che si è svolta nella splendida cornice di Catania sabato 5 maggio scorso,...
Sabato 5 maggio 2018 a Catania si svolgerà la Giornata Endodontica Regionale durante la quale si affronteranno temi molto interessanti, dalla diagnosi alla...
L’aumento della cultura della prevenzione odontoiatrica ha portato un maggior numero di persone a sottoporsi a trattamento ortodontico in età ...
L’aumento della cultura della prevenzione odontoiatrica ha portato un maggior numero di persone a sottoporsi a trattamento ortodontico in età ...
Secondo le statistiche UNIDI, nel 2015 circa 30.000 persone hanno optato per un trattamento con allineatori invisibili, rappresentando una parte rilevante ...
Live webinar
gio. 7 maggio 2026
2:00 (CET) Rome
Ms. Ellen Karlin, Dr. Sara Karlin
Live webinar
gio. 7 maggio 2026
17:00 (CET) Rome
Live webinar
gio. 7 maggio 2026
18:00 (CET) Rome
Live webinar
gio. 7 maggio 2026
18:00 (CET) Rome
Dra. Maria Carolina Erhardt, Dra. Thais Tomé Feldens
Live webinar
gio. 7 maggio 2026
20:30 (CET) Rome
Live webinar
lun. 11 maggio 2026
18:00 (CET) Rome
Live webinar
lun. 11 maggio 2026
19:00 (CET) Rome
To post a reply please login or register