La Paziente di anni 47, forte fumatrice, si presenta presso il nostro studio chiedendoci una riabilitazione protesica fissa.
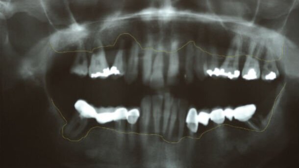
All’esame obiettivo e radiografico si evidenzia uno stato di avanzata malattia parodontale con severa compromissione degli elementi 11-12-13-14-16-17-21-22-23 e 48-43-42-41-31-32-33-38, e una importante perdita di osso alveolare del gruppo frontale superiore ed inferiore causa estrusione dentale.
Lo skyline dell’osso residuo tracciato sulla OPT risulta estremamente irregolare e lascia immaginare importanti difetti intraossei che verranno confermati dal sondaggio parodontale e da una indagine Tc successiva (Fig. 1).
Analisi Estetica e Fotografica
Ad aggravare la condizione di partenza, un evidente gummy smile (Fig. 2) con ampia iperplasia della mascella anteriore che rende esteticamente penalizzante il sorriso e non facile la sua riprogettazione. La paziente odontofobica e poco incline alla chirurgia avanzata, ci chiede una riabilitazione fissa, e solleva esigenze estetiche molto importanti (Figg. 3, 4).
Piano di trattamento
Il piano di trattamento, fortemente influenzato dalla presenza di un processo mascellare iperplasico e dalla presenza di un piano gengivale posto su 2 livelli differenti, si è orientato alla realizzazione di una riabilitazione bimascellare fissa, come da richiesta della paziente. Abbiamo scelto di realizzare le chirurgie necessarie in differenti step, questo al fine di diminuire le variabili e gestire una fase intermedia di studio, fase realizzata con delle protesi rimovibili, ma ancorate ai canini tramite sistema di attacco diretto intraradicolare tipo ball-attachment (Pivot Block - Rhein83). In entrambe le arcate, siamo passati progressivamente da una fase provvisoria con 2 protesi rimovibili a 2 protesi su impianti in Zirconia-Ceramica.
Procedure chirurgiche e protesiche
Step 1: Bonifica e Protesi rimovibili immediate
Il primo step è consistito in mascella dall’estrazione degli elementi da 1.7 a 2.2 (ad esclusione del 1.3). Nell’arcata mandibolare estrazione degli incisivi inferiori, nonché amputazione coronale degli altri elementi devitalizzati a livello gengivale. Le protesi mobili immediate sono state preparate montando i denti in articolatore a valori medi e aiutandosi anche con la previsualizzazione fotografica.
Sono state ancorate a perni diretti cementati nelle radici degli elementi 1.3, 2.3, 3.3, 4.3 (che verranno successivamente estratti), per garantire una migliore stabilità delle protesi e maggior confort alla paziente, consentendoci di ridurre le dimensioni delle protesi (Figg. 5, 6). La fase di passaggio attraverso le due protesi provvisorie mobili, ci ha facilitato l’analisi estetica, e orientato sulle modifiche da realizzare nello step successivo; ci ha inoltre confermato la scarsa tolleranza della paziente a un aumento anche lieve della dimensione verticale, che abbiamo riportato a quella iniziale dopo l’applicazione delle due protesi immediate. Il tutto ha confermato la necessità di eseguire una chirurgia ossea resettiva per aumentare lo spazio disponibile interarcate.
Step 2: Osteoplastica Riduttiva Verticale e Protesi fissa mandibolare su Impianti a Carico Immediato
Abbiamo scelto di parallelizzare il piano mandibolare contribuendo alla riduzione del deep-bite con una chirurgia di tipo resettivo verticale e, contemporaneamente di inserire 6 impianti (XiVE-S DENTSPLY Implants) per realizzare una protesi fissa su impianti (Figg. 7, 8).
Gli Impianti, ad esclusione di quello posizionato nel sito 4.4, di 4,5 mm di diametro, erano tutti di dimensione Standard 3,8 mm e avevano lunghezze di 9,5 e 11 mm max.
Tuttavia pur non essendo molto lunghi, grazie alla particolare macro geometria dell’impianto XiVE sono stati avvitati senza particolari difficoltà nei siti postestrattvi, con torque finali dai 25 ai 45 Ncm, sufficienti a garantire la stabilità nel carico immediato, ancorché splintati tra loro.
Gli impianti in posizione 3.3, 4.3 e 4.4 inseriti nei rispettivi alveoli postestrattivi, presentavano una esposizione vestibolare di 5 spire, 8 per il 3.3 (Fig. 9).
E’ stata realizzata quindi in contemporanea una tecnica di Rigenerazione Ossea tipo GBR utilizzando solo osso autologo (Fig. 10) recuperato nelle fasi di fresatura e osteoplastica, e membrana in Pericardio (CopiOs Tutogen) a coprire i difetti (Figg. 11, 12).
L’impianto in posizione 3.3 che presentava l’area di deficit più ampia non è stato caricato. La stessa protesi parziale è stata modificata e ribasata caricando immediatamente 5 dei 6 impianti inseriti (Figg. 15, 16).
embedImagecenter("Imagecenter_2_1081",1081,"small");
Step 3: Sinus Lift lato dx
A seguito delle estrazioni degli elementi diatorici mascellari dx, era residuata una quota ossea insufficiente, per cui si è proceduto con un intervento di Sinus Lift Dx e contestuale inserimento di 3 impianti XiVE S in posizione 1.4-1.5-1.6 + GBR con Osso Omologo (Puros Allograft Corticale – Tutogen) e membrana a lento riassorbimento (BioMend Extend – Tutogen) per aumentare i volumi e colmare i difetti. La qualità ossea era molto scadente, paragonabile ad un valore D4 della scala di Linkow e Zarb e perciò tutti e tre gli impianti hanno avuto valori finali di avvitamento molto bassi tra i 6 e i 9 Ncm (Figg.17-19). Nella stessa seduta si inseriva un altro impianto sommerso in sede 24. La paziente ha continuato a portare una protesi parziale ancorata ai due canini nella fase di guarigione.
Step 4: Osteoplastica Riduttiva Mascellare
L’analisi clinica ed estetica, ha evidenziato come fosse opportuno posizionare più apicalmente la linea del sorriso superiore. Si procede dunque alla chirurgia mascellare a sei mesi dal Sinus Lift.
Abbiamo livellato il piano osseo eseguendo una chirurgia ossea resettiva del processo alvelo-mascellare anteriore, seguendo una linea immaginaria che unisse l’impianto 1.4 con l’impianto 2.4 e si sono inseriti gli ultimi 2 impianti in posizione 1.3 e 2.3.
Gli impianti post-estrattivi sono stati solidarizzati con i 4 precedentemente in arcata, e ancorati ad una protesi provvisoria avvitata mascellare. A guarigione completata e caricato anche il sesto impianto mandibolare, sono quindi state prese le impronte e realizzate 2 protesi in zirconia ceramica (sistema Cercon).
Finalità e risultati attesi
Lo scopo del trattamento era di ottenere una riabilitazione protesica fissa su impianti che potesse ottenere un sorriso soddisfacente in una paziente con evidenti problematiche di dismorfismo dei processi alveolari mascellari.
Risultati ottenuti
La realizzazione del piano di trattamento sopra descritto e realizzato per step, ha consentito di ottenere i risultati che il clinico e la paziente si attendevano, senza arrecare eccessivi disagi nelle inevitabili fasi intermedie, ripristinando una corretta linea del sorriso e dei corridoi labiali armonici.
Conclusioni
La scelta di un’importante riduzione dei volumi ossei in senso verticale, ci ha consentito di spostare la linea di transizione della protesi più apicalmente e di modellare in ceramica rosa un’architettura papillare altrimenti difficilmente ottenibile.
E’ stato centrato l’obiettivo prefissato, ottenendo una gradevole armonia complessiva come da richiesta esplicita della paziente, non disposta a un risultato che potesse prevedere dei “buchi neri”.
Il caso è stato realizzato per step successivi, ed ha integrato differenti tecniche chirurgiche, tutte utili alla realizzazione degli obiettivi prefissati, che hanno dimostrato la loro validità.
La superficie CELLplus e la geometria degli impianti XiVE hanno dimostrato di essere in grado di performance anche molto impegnative, come il carico immediato realizzato in mandibola in siti postestrattivi nonostante lunghezze standard.
La Paziente di anni 47, forte fumatrice, si presenta presso il nostro studio chiedendoci una riabilitazione protesica fissa.
All’esame obiettivo e ...
Gli autori affrontano la tematica dell’implantologia zigomatica proponendo una metodica completamente guidata. Con l’ausilio di placche metalliche ad ...
Il miglioramento dei protocolli di prevenzione e della qualità delle cure odontoiatriche ha comportato, negli ultimi anni, una probabile diminuzione ...
Il miglioramento dei protocolli di prevenzione e della qualità delle cure odontoiatriche ha comportato, negli ultimi anni, una probabile diminuzione ...
L’implantologia è diventata una forma consolidata di trattamento con risultati buoni e prevedibili per la ricostruzione funzionale ed estetica ...
L’implantologia è diventata una forma consolidata di trattamento con risultati buoni e prevedibili per la ricostruzione funzionale ed estetica ...
La possibilità di riabilitare una arcata totalmente edentula mediante l’inserimento di impianti osteointegrati e il posizionamento di una ...
La possibilità di riabilitare una arcata totalmente edentula mediante l’inserimento di impianti osteointegrati e il posizionamento di una ...
Introduzione
Per diversi decenni, gli impianti dentali sono stati ampiamente utilizzati nella pratica clinica per le riabilitazioni di edentule singole e ...
Il laser è uno strumento che non si sostituisce alle metodiche tradizionali, ma può offrire benefici aggiuntivi e significativi se utilizzato ...
Live webinar
gio. 30 aprile 2026
1:00 (CET) Rome
Dr. Renato Leonardo D.M.D.
Live webinar
gio. 30 aprile 2026
19:00 (CET) Rome
Live webinar
dom. 3 maggio 2026
18:00 (CET) Rome
Dr. Rickard Brånemark MSc, MD, PhD, Dr. Robert Gottlander DDS
Live webinar
lun. 4 maggio 2026
2:00 (CET) Rome
Live webinar
mar. 5 maggio 2026
16:00 (CET) Rome
Live webinar
mar. 5 maggio 2026
18:00 (CET) Rome
Live webinar
mar. 5 maggio 2026
19:00 (CET) Rome
Dr. Maximilian Dobbertin M.Sc
To post a reply please login or register