I canali accessori radiologicamente visibili che portano strutture neurovascolari verso la porzione anteriore del mascellare superiore sono stati indagati da recenti pubblicazioni, più della metà di questi canali comunicano con il Canalis Sinuosus (CS).
Il nervo infraorbitario, branca del nervo mascellare che è la seconda divisione del trigemino dà la sensibilità alla cute e alle mucose del terzo medio del volto, emergendo dal corrispondente forame si divide in 3 branche alveolari prossimali (i nervi alveolari superiori anteriore, medio e posteriore) e 4 branche distali (palpebrale inferiore, nasale esterno, nasale interno e labiale superiore). Il CS è un tortuoso canale infraosseo (Figg. 1, 2), origina dal nervo infraorbitario, posteriormente al forame di quest’ultimo e decorre in direzione antero-laterale sino alla parete anteriore della fossa nasale al di sotto del margine orbitario, a questo punto vira bruscamente verso il basso lungo l’apertura piriforme descrivendo un andamento ad S per poi dirigersi verso il basso ed emergere nella mucosa palatina attraverso un forame accessorio.
Il termine Canalis Sinuosus (CS) descrive l’andamento a doppia curvatura di quest’ultimo che scorre per circa 55 mm attraverso il mascellare ed è caratterizzato da un sottile osso sovrastante che lo rende più suscettibile a lesioni in caso di trauma. Per questo motivo è considerato un ramo importante del nervo infraorbitario (ION), al suo interno decorrono il nervo alveolare superiore anteriore (ASAN) e vene ed arterie corrispondenti. Infatti, il nervo alveolare antero-superiore (ASAN) è una divisione del ramo mascellare del nervo trigemino che segue un decorso intraosseo nel CS attraverso il mascellare anteriore per innervare gli incisivi ed i canini (Fig. 3). Nel suo terzo finale il nervo alveolare antero-superiore è caratterizzato dalla presenza di molteplici connessioni nervose che possono garantire, in caso di danno, la percezione della sensibilità della zona innervata. La presenza di un CS e di forami accessori (Fig. 4) è spesso ignorata nella pratica chirurgica poiché queste varianti anatomiche possono solo essere rilevate da un attento esame delle immagini radiologiche pre-operatorie, inoltre la loro presenza potrebbe influire direttamente sul successo terapeutico1-5.
Una lesione intraoperatoria che coinvolga l’innervazione del pilastro canino può causare nel post-operatorio ipoestesia, parestesia e dolore. In tale prospettiva un posizionamento implantare in zona del CS può potenzialmente portare alla comparsa di vari disturbi attraverso la transezione e la compressione di quest’ultimo6, 7.
Case report
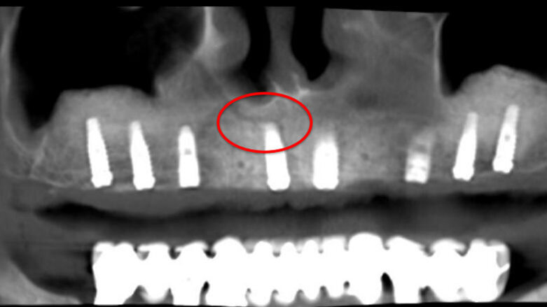
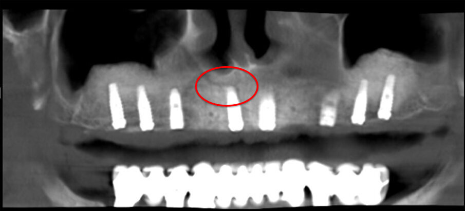
Una paziente di 62 anni, ASA 1 si rivolge alla nostra attenzione per richiedere una riabilitazione dell’arcata mascellare superiore essendo portatrice di protesi mobile totale. L’esame radiologico iniziale evidenzia una marcata atrofia ossea quindi viene progettato l’inserimento di 8 impianti dopo elevazione bilaterale dei seni mascellari al fine di realizzare un a protesi tipo Toronto-Bridge. Trascorsi 8 mesi dai sinus lift e dopo aver accertato la totale guarigione dei siti innestati con una CBCT viene eseguito l’intervento implantare in anestesia locale, sotto profilassi antibiotica, con chiusura dei lembi per prima intenzione e senza eseguire procedure di carico immediato. La paziente viene quindi controllata regolarmente ed a distanza di 7 giorni manifesta una sintomatologia algica localizzata alla zona 1.1 che inizialmente appariva compatibile con il normale decorso post-operatorio. Successivamente a 15 giorni la situazione era nettamente peggiorata trasformandosi in dolore localizzato e persistente con acutizzazioni che la paziente descriveva come “scosse elettriche” o “stilettate”. A questo punto è stata eseguita una nuova analisi della CBCT postoperatoria (Fig. 5) al fine di indagare in maniera più approfondita tale zona, l’analisi delle immagini ha evidenziato la presenza di un CS destro compresso dall’apice dell’impianto in posizione 1.1 (Figg. 6, 7). Tale condizione veniva subito riconosciuta compatibile con la sintomatologia della paziente e si procedeva a rimuovere e sostituire la fixture con una di lunghezza inferiore che non interessasse il decorso del CS (Fig. 8). Veniva quindi prescritta una terapia farmacologica post-operatoria comprensiva di antibiotici, antinfiammatori ed integratori di complessi vitaminici B. La paziente è stata controllata giornalmente manifestando un graduale miglioramento fino a scomparsa della sintomatologia algica a 15 giorni.
Fig. 1 - Decorso del CS simulato in un volume (rendering).
Fig. 2 - Decorso del CS simulato in un preparato anatomico.
Fig. 3 - Decorso del CS evidenziato nella ricostruzioni coronali di una CBCT.
Fig. 4 - Immagine parassiale di CBCT raffigurante il forame accessorio del CS.
Fig. 5 - Panorex Postoperatoria con CS in evidenza.
Fig. 6 - Immagine parassiale raffigurante l’impianto in sede 1.1 che comprime il CS.
Fig. 7 - Volume rendering con CS in evidenza.
Fig. 8 - Rx endorale dopo sostituzione impianto.
Conclusioni
Ottenere tutte le informazioni possibili, specialmente da un punto di vista radiologico riguardo le possibili varianti anatomiche, si rivela quindi un elemento fondamentale al fine di rendere più sicuro l’approccio chirurgico minimizzando così il rischio di lesioni iatrogene dell’ASAN. Queste complicanze possono recare un serio discomfort nel periodo post-operatorio fino ad arrivare alla comparsa di dolore cronico non trattabile farmacologicamente e che quindi richieda un rientro chirurgico.
Nella moderna chirurgia odontoiatrica la CBCT ha assunto un ruolo predominante nella valutazione pre-operatoria delle riabilitazioni di pazienti parzialmente e totalmente edentuli fornendo immagini affidabili ad alta risoluzione di gran lunga superiori alle precedenti tecnologie bidimensionali. È quindi facilmente capibile come un’attenta valutazione delle immagini pre-operatorie sia necessaria al fine di individuare l’eventuale presenza di un CS: l’immagine migliore per evidenziare il CS è la ricostruzione Panorex (Fig. 5), ricavata dalle immagini assiali, oppure l’immagine coronale (Fig. 3). Qui infatti possiamo evidenziare l’origine del CS dal nervo infraorbitario, la doppia curva a livello dell’apertura piriforme ed il decorso coronale fino all’emergenza nel forame accessorio. Da un punto di vista radiologico tuttavia bisogna ricordare che tutte le ricostruzioni (specialmente quelle con panorex e cross-sections/parassiali) possono portare alla formazione di artefatti quindi il nostro sospetto diagnostico andrà verificato sulle immagini assiali originali ripartendo dal forame infraorbitario e seguendo il percorso fino all’emergenza palatina (se radiologicamente evidente). Gli aspetti chiave da ricercare nelle immagini assiali sono la radiotrasparenza del contenuto del CS circondata da un orletto radiopaco come tipico di un canale infraosseo contenente un fascio vascolo-nervoso.
Bibliografia
- Olenczak JB., Hui-Chou HG., Aguila DJ. 3rd, Shaeffer CA., Dellon AL., Manson PN.. Posttraumatic Midface Pain: Clinical Significance of the Anterior Superior Alveolar Nerve and Canalis Sinuosus. Ann Plast Surg 2015;75:543-547.
- Machado VC., Chrcanovic BR., Felippe MB., Manhães Júnior LR., de Carvalho PS.. Assessment of accessory canals of the canalis sinuosus: a study of 1000 cone beam computed tomography examinations. Int J Oral Maxillofac Surg 2016;45:1586-1591.
- Wanzeler AM., Marinho CG., Alves Junior SM., Manzi FR., Tuji FM.. Anatomical study of the canalis sinuosus in 100 cone beam computed tomography examinations. Oral Maxillofac Surg 2015;19:49-53.
- Neves FS., Crusoé-Souza M., Franco LC., Caria PH., Bonfim-Almeida P., Crusoé-Rebello I.. Canalis sinuosus: a rare anatomical variation. Surg Radiol Anat 2012;34:563-566.
- von Arx T., Lozanoff S., Sendi P., Bornstein MM.. Assessment of bone channels other than the nasopalatine canal in the anterior maxilla using limited cone beam computed tomography. Surg Radiol Anat 2013;35:783-90.
- Torres MG., de Faro Valverde L., Vidal MT., Crusoé-Rebello IM.. Branch of the canalis sinuosus: a rare anatomical variation--a case report. Surg Radiol Anat 2015;37:879-881.
- Shelley AM.1, Rushton VE., Horner K.. Canalis sinuosus mimicking a periapical inflammatory lesion. Br Dent J 1999;186:378-379.
Tag:
Nei 4 giorni dal 9 al 12 ottobre 2019, presso il Dipartimento di scienze cliniche e sperimentali, nel settorato anatomico della sezione di anatomia e ...
Anche per il 2011 è prevista l'edizione (la XII) del Corso di Anatomia Chirurgica e di dissezione su preparati anatomici. Ce ne illustra i contenuti ...
Il Dental Tribune Study Club (DTSC) è una comunità on line basata sulla formazione, che fa nascere nuove possibilità di aggiornamento, ...
Spesso leggiamo articoli su applicazioni software che ci mostrano tutti i loro pregi, senza inquadrarle nel reale contesto in cui opera l’utilizzatore...
Spesso leggiamo articoli su applicazioni software che ci mostrano tutti i loro pregi, senza inquadrarle nel reale contesto in cui opera l’utilizzatore...
Profiling, vale a dire delineare il profilo di chi abbiamo di fronte identificando dati personali circa le sue caratteristiche e le sue abitudini. Questo ...
Scopri come rafforzare la tua identità, migliorare la tua organizzazione e creare un brand di successo al Congresso di Management dello studio e della ...
L’esperienza di un odontoiatra di Roma. Un’analisi di quel che comporta la scelta di trasferirsi, nasce dall’esperienza di un ...
Impressionante il cambiamento subito nell’ultimo ventennio dalla professione odontoiatrica, più di ogni altra disciplina medica. Il dentista ...
La proposta del profilo Aso (assistente studio odontoiatrico), s’inserisce in un complesso contesto che vede la contrapposizione tra due modelli di ...
Live webinar
gio. 7 maggio 2026
2:00 (CET) Rome
Ms. Ellen Karlin, Dr. Sara Karlin
Live webinar
gio. 7 maggio 2026
17:00 (CET) Rome
Live webinar
gio. 7 maggio 2026
18:00 (CET) Rome
Live webinar
gio. 7 maggio 2026
18:00 (CET) Rome
Dra. Maria Carolina Erhardt, Dra. Thais Tomé Feldens
Live webinar
gio. 7 maggio 2026
20:30 (CET) Rome
Live webinar
lun. 11 maggio 2026
18:00 (CET) Rome
Live webinar
lun. 11 maggio 2026
19:00 (CET) Rome
To post a reply please login or register