Lo scanner intraorale 3D è sempre più utilizzato nella pratica odontoiatrica quotidiana. Semplifica il lavoro del clinico poiché consente di rilevare in modo rapido una immagine digitale estremamente precisa e dettagliata delle arcate dentarie, elemento fondamentale per le riabilitazioni protesiche o implantari. Oltre a offrire al paziente un maggiore comfort rispetto alla metodica tradizionale, migliora il flusso di comunicazione con il laboratorio, velocizzando i tempi di lavorazione e riducendo il rischio di errori o incomprensioni.
Caso clinico
Una paziente di 51 anni si è presentata nel nostro studio con due premolari superiori di sinistra con due ricostruzioni oltre i limiti
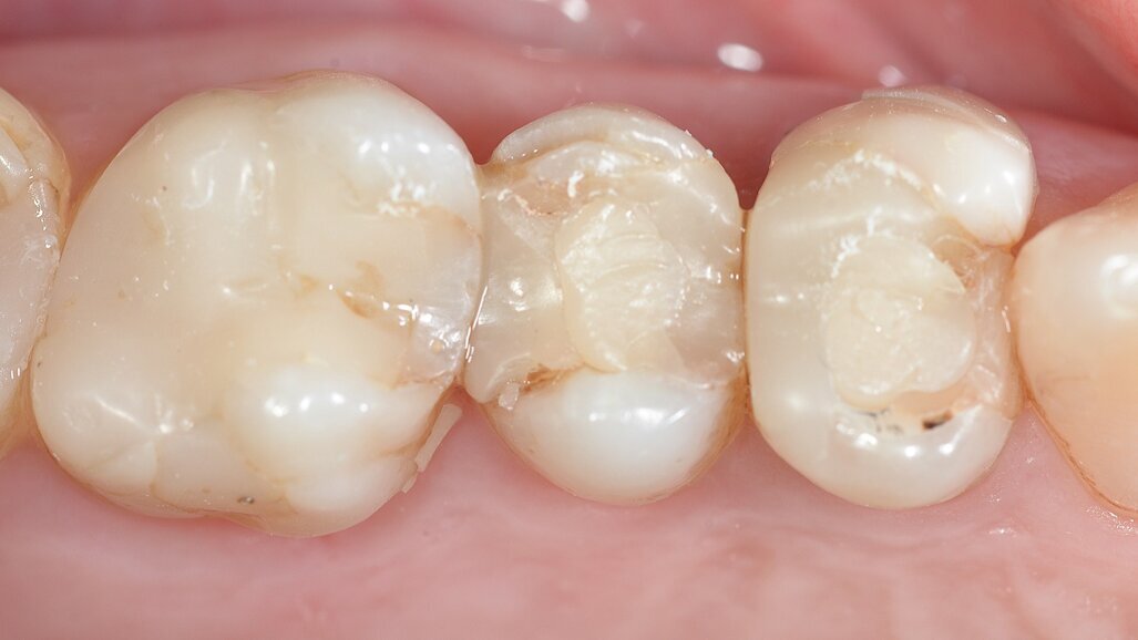
Poiché la paziente desidera migliorare l'aspetto estetico, verranno posizionate due corone in zirconia sui denti n. 24 e n. 25 (Fig. 1).
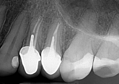
Dopo un ritrattamento canalare (Fig. 2) dei due premolari e un dente ricostruito con perno-moncone fuso (Fig. 3), sono stati posizionati due provvisori.
Utilizzando lo scanner intraorale DEXIS IS 3800 è stata realizzata un’impronta digitale di entrambe le arcate e la scansione del morso (Figg. 4a–c), per poi inviarle al laboratorio odontotecnico tramite DEXIS IS Connect per la progettazione e il fresaggio di due nuove corone in zirconia (Fig. 5).
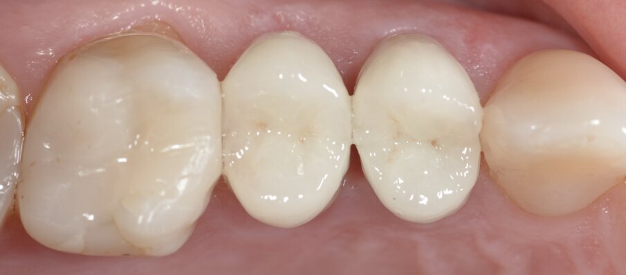
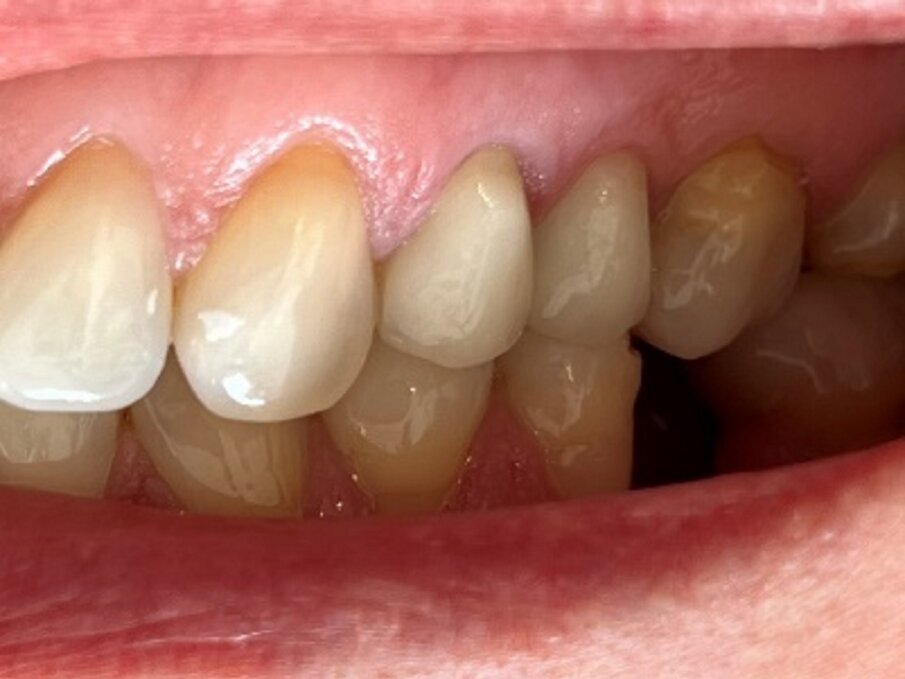
Dopo la prova, il restauro finale è stato cementato in bocca utilizzando vetroionomero, Fuji One (GC). Le immagini finali mostrano un follow up postoperatorio della situazione clinica a due e dieci mesi e una gengiva perfetta (Figg. 6 e 7).
Fig. 2: Radiografia dei ritrattamenti canalari.
Fig. 3: Denti preparati per l’impronta digitale.
Figg. 4a–c: Impronte digitali dei premolari realizzate con lo scanner intraorale DEXIS IS 3800.
Fig. 5: Corone in zirconia dopo la glasatura sui modelli stampati.
Fig. 6: Situazione postoperatoria dopo due mesi.
Fig: 7: Controllo dopo dieci mesi.
Nota editoriale:
Per maggiori informazioni visitate il sito DEXIS.com o richiedete una demo qui.
Tag:
Una paziente di 38 anni si è presentata nel nostro studio dentistico lamentando un fastidio all’area superiore sinistra. L’esame clinico ha rivelato ...
Quando si discute delle ultime innovazioni in implantologia dentale, uno degli argomenti più popolari è la tecnologia che supporta i flussi di lavoro ...
Il flusso di lavoro completamente digitale è un argomento da anni oggetto di discussione e dibattito all’interno dell’ambiente odontoiatrico.
Planmeca è l'unico produttore al mondo in grado di offrire, in un’unica piattaforma software, un flusso di lavoro completo per ...
Immagina di poter offrire trattamenti dentali affidabili ed economici, senza compromessi sulla qualità o sulla durata nel tempo. Questo è il cuore del ...
In questo articolo viene presentato un caso di edentulismo totale superiore trattato e gestito con una nuova sistematica implanto-protesica e con flusso ...
La digitalizzazione dello studio odontoiatrico è una tendenza chiaramente in crescita, che offre vantaggi al clinico e al paziente. Con SmileCloud è ...
Ha preso inizio con una sala gremita la giornata pre-congressuale dell’Accademia Italiana di Odontoiatria Protesica – AIOP, giunta al suo 37° Congresso...
CHARLOTTE, USA – CEREC su DS Core semplifica i flussi di lavoro chairside per i team che iniziano a introdurre l’odontoiatria digitale. La soluzione ...
Sebbene la tecnologia CAD/CAM sia stata tradizionalmente al centro dell’odontoiatria digitale, l’emergere dell’intelligenza artificiale (IA) sta ...
Live webinar
ven. 17 aprile 2026
18:00 (CET) Rome
Live webinar
ven. 17 aprile 2026
19:00 (CET) Rome
Dr. Stuart Yeaton BDentSc, MOrth
Live webinar
lun. 20 aprile 2026
19:00 (CET) Rome
Dr. Alberto Monje DDS, MS, PhD
Live webinar
mer. 22 aprile 2026
17:00 (CET) Rome
MDT Andreas Chatzimpatzakis
Live webinar
mer. 22 aprile 2026
17:00 (CET) Rome
Live webinar
mer. 22 aprile 2026
18:00 (CET) Rome
Live webinar
gio. 23 aprile 2026
17:00 (CET) Rome
To post a reply please login or register