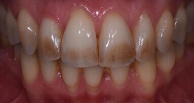
FAYETTEVILLE USA: un team di ricercatori internazionali ha sviluppato un nuovo modello che permette ai paleontologi di risalire alla dieta dei nostri antenati e degli animali attraverso l’aspetto dei denti. Gli scienziati hanno, inoltre, appurato che l’usura nei fossili riflette sia la dieta che l’habitat a conferma di ricerche di decenni.
Il logorio subito dai denti nella masticazione è fra le tecniche di punta che i dentisti usano nella ricostruzione e nell’analisi dei modelli di dieta degli antenati e animali. Tuttavia i ricercatori hanno recentemente messo in discussione la validità di tale analisi, dichiarando che ne sono verosimilmente responsabili anche gli elementi ambientali, come ad esempio, la sabbia nel cibo,
«Questa sfida scientifico ha costretto i paleontologi ad interrogarsi sulla validità di ricerche durate decenni» dice Peter Ungar, illustre professore e presidente del Dipartimento di Antropologia dell’Università dell’Arkansas. «Le nostre scoperte confermano che si può partire dall’usura dentale per comprendere quale fosse la dieta degli animali preistorici».
Insieme a Ryan Tian, professore di Chimica dell’Università dell’Arkansas e ricercatore alla Tribology Research Institute all’Università Southwest Jiaotong in Cina, Ungar ha approfondito il nesso tra usura e dieta. «Abbiamo trovato che i materiali più morbidi dello smalto possono usurare i denti – dice Ungar – il che ci ha permesso di prendere in considerazione un modo del tutto nuovo per modellarne l’aspetto».
«Lo smalto consiste di particelle legate da un collante proteico – spiega dicendo di aver scoperto, attraverso vari esperimenti col suo team, che tali legami si spezzano durante la masticazione e minuscole particelle di smalto si staccano dal dente». La scoperta conferma che l’aspetto usurato dei denti può essere collegato a specifici tipi di dieta e d’ambiente. Per esempio, i graffi su un dente fossile indicano una masticazione basata su carni dure e di vegetali, mentre i buchi una dieta naturale, dura ma sgretolabile, come ossa di animali o noci. «Abbiamo pertanto stabilito che la microusura dentale non è determinata solo dalla sabbia presente nell’ambiente – dice Ungar – anche se può esserci stata certamente una dieta con tale componente».
La scoperta fatta dal team apre la via a studi sulle proprietà di altri materiali. «Ciò che Madre Natura fa nello smalto dei denti ci spinge a rivisitare le teorie accreditate sui nanocristalli, i polimeri, i compositi, la biomineralizzazione – conclude Tian».
Intitolato “New model to explain tooth wear with implications for microwear formation and diet reconstruction” la ricerca è stata pubblicata online prima di andare in stampa nel Proceedings of the National Accademy of Sciences americana USA il 3 Agosto.
PERTH, Australia: Nuotare regolarmente può offrire importanti benefici sia per la salute cardiovascolare che per quella sistemica. Tuttavia, un effetto ...
In occasione della Giornata Mondiale del Diabete (14.11), ecco le informazioni da sapere secondo gli esperti tra ruolo della prevenzione e un approccio ...
KUOPIO, Finlandia: un ampio studio finlandese basato sulla popolazione ha valutato la parodontite utilizzando biomarcatori salivari, invece di esami orali ...
Rochester (USA) e Vancouver (Canada). L’interruzione della secrezione delle ghiandole salivari gioca un ruolo importante in alcune malattie della ...
Monaco di Baviera – Stando agli esperti, i biofilm orali vengono di solito giudicati un problema a causa delle minacce che costituiscono per esseri umani ...
Madrid, Spagna: Un gruppo di ricercatori spagnolo ha sequenziato per la prima volta un genoma completo di un cacciatore raccoglitore europeo. Il team ...
Incompetenza labiale come fattore predisponente
Un fattore al quale si presta poca attenzione e che può influire sull’estetica del sorriso è ...
Chicago e Londra. Un nuovo studio presentato alle recenti sessioni scientifiche dell’American Heart Association svoltesi nel 2018 suggerisce che il ...
CHENGDU, Cina: I dati epidemiologici suggeriscono che i dentisti presentano una prevalenza più elevata di patologie oculari rispetto ad altre categorie ...
BUFFALO, N.Y., USA: In un nuovo studio, i ricercatori hanno cercato di comprendere meglio il legame tra obesità e malattia parodontale. Hanno scoperto che ...
Live webinar
gio. 7 maggio 2026
2:00 (CET) Rome
Ms. Ellen Karlin, Dr. Sara Karlin
Live webinar
gio. 7 maggio 2026
17:00 (CET) Rome
Live webinar
gio. 7 maggio 2026
18:00 (CET) Rome
Live webinar
gio. 7 maggio 2026
18:00 (CET) Rome
Dra. Maria Carolina Erhardt, Dra. Thais Tomé Feldens
Live webinar
gio. 7 maggio 2026
20:30 (CET) Rome
Live webinar
lun. 11 maggio 2026
18:00 (CET) Rome
Live webinar
lun. 11 maggio 2026
19:00 (CET) Rome
To post a reply please login or register