Numerose procedure chirurgiche prevedono ancora oggi l’utilizzo di lame bisturi tradizionali in acciaio al carbonio inossidabile, esistono tuttavia diverse situazioni cliniche dove nuovi strumenti di precisione possono essere favorevolmente impiegati per il vantaggio biologico ottenibile1.
Nell’ultimo ventennio tecniche minimamente invasive si sono diffuse e affermate, supportate da strumenti moderni tra cui endoscopi, radiobisturi, ultrasuoni e laser.
Questi ultimi sono utilizzati per specifiche finalità a seconda della lunghezza d’onda e del loro mezzo attivo. I laser a diodi con emissione nel vicino infrarosso vengono applicati con successo da anni nella chirurgia dei tessuti molli orali ed extraorali2-4.
I laser a diodi Near InfraRed (NIR) da 915 nm possono essere considerati una scelta versatile per le applicazioni sui tessuti molli intra ed extra-orali oro-maxillofacciali: hanno come target specifici cromofori endogeni come melanina ed emoglobina e una affinità per l’acqua superiore rispetto ai laser da 808 nm9-12. Presentano inoltre unì affinità per l’emoglobina superiore rispetto a 980 nm ed incontrano inoltre uno dei picchi di assorbimento del tessuto adiposo 9-12.
Nonostante i comprovati vantaggi in termini di capacità battericida, biostimolazione ed emostasi, a oggi alcune criticità permangono relativamente alle modalità di incisione ottenibile per i laser con la fibra ottica, non sempre ergonomica se comparata alla tradizionale lama fredda1, 3.
Lo zaffiro è da tempo noto componente di alcuni sofisticati sistemi laser con emissione nel vicino infrarosso, più specificamente nei laser allo stato solido allo zaffiro di titanio (Ti: Al2O3), ove il mezzo attivo è costituito da un cristallo di zaffiro (Al2O3) drogato con ioni titanio Ti3+5. Lo zaffiro è inoltre da tempo utilizzato come componente di sistemi endoscopici, come filtro per test di laboratorio, e ancora per impianti ortopedici e maxillo-facciali, in ragione delle sue peculiari proprietà fisiche5-7.
Recentemente campi di applicazione sono stati estesi alla neurochirurgia con l’introduzione di sonde multicanale e alla microchirurgia dove si è avuta la comparsa di sofisticati e accurati microbisturi5-7. Lo zaffiro in ragione delle sue proprietà ottiche (Tabella 1) costituisce in ultimo il componente finale del mezzo di conduzione di alcuni laser tra cui Er Yag, e solo recentemente Nd Yag e laser diodici3.
Tabella 1 - Proprietà dello Zaffiro.
Le caratteristiche dello zaffiro includono:Lo zaffiro è un cristallo trasparente formato da ossido di alluminio (Al2O3), anisotropo. Il materiale può essere costruito in diversi modalità così da poter sfruttare le sue peculiari proprietà, particolarmente quelle ottiche5.
Elevata durezza;
Elevata resistenza ad agenti chimici;
Elevata resistenza, conservata alle alte temperature;
Elevata temperatura d’esercizio massima;
Eccellente resistenza agli shock termici.
Finalità dello studio Si intende valutare clinicamente la capacità di taglio dei tessuti molli a opera di laser a diodi equipaggiati con inserti in zaffiro in procedure di chirurgia implantare.
Materiali e metodi 10 pazienti (6M, 4F) di età compresa tra i 27 ed i 74 anni (49 media) sono stati sottoposti a procedure di chirurgia implantare in due tempi così suddivise: 10 incisioni per il disegno di altrettanti lembi mucoperiostei, 10 scoperture implantari. Tutti sono stati trattati mediante l’utilizzo di un laser a diodi da 915 nm dotato di uno specifico manipolo chirurgico equipaggiato di inserti in zaffiro (Pocket Laser, 8853 Pero-MI). L’incisione dei tessuti molli è stata eseguita in modalità di emissione continua (CW) e la potenza richiesta per poter eseguire agevolmente l’incisione è stata registrata. Gli inserti in Zaffiro sono stati attivati prima dell’utilizzo. L’attenzione è stata rivolta alla comparsa di complicazioni intraoperatorie o postoperatorie, dolore nel post-operatorio espresso in Numeric Rating Scale (N.R.S.), qualità dell’emostasi, ricorso a suture, presenza di aree di carbonizzazione dei tessuti molli, valutata macroscopicamente. La maneggevolezza, l’ergonomia ed il grado di precisione del nuovo strumento nel corso del suo utilizzo è stata indagata e le relative osservazioni preliminari sono state registrate.
Risultati La potenza applicata necessaria per poter eseguire l’incisione nelle procedure indagate è stata di 2,5-3 W in modalità di emissione continua. Nessuna complicanza intra o post-operatoria è stata osservata (tra cui deiscenza della ferita, sovrainfezione, sanguinamento, necrosi) (0/20).
Il valore del dolore medio rilevato è stato di 2.8 N.R.S. Macroscopicamente non è stato possibile osservare aree di carbonizzazione del tessuto inciso(0/20). Il grado di emostasi intraoperatoria è stato considerato adeguato nella totalità dei casi e non sono state richieste ulteriori suture per finalità emostatiche, ma solo per un esclusivo riposizionamento in caso di lembi mucoperiostei (12/20). La rimozione delle suture, quando necessarie, è stata possibile a cinque giorni.
Lo strumento si è dimostrato adeguatamente preciso nella totalità delle situazioni cliniche (20/20). Sono state rilevate difficoltà di accesso al sito chirurgico in alcuni casi (4/20). La riattivazione degli inserti e la loro detersione è stata eseguita in 12 casi (12/20) al fine di mantenere la precisione di taglio.
Discussioni In nessun caso è stata richiesta l’applicazione di suture con finalità emostatiche e la visibilità del campo operatorio è sempre stata adeguata. Il presente dato è confermato da altri studi per laser a diodi N.I.R. con fibre ottiche. Il comportamento del laser da 915 nm equipaggiato con inserti in zaffiro è apparso in tal senso simile a quello ottenibile con fibre ottiche. In termini di potenza applicata tuttavia i valori richiesti per poter ottenere un’azione di taglio sono stati mediamente superiori rispetto a quelli generalmente utilizzati per le fibre ottiche. Con fibre ottiche da 400 µm è possibile tagliare i tessuti con circa 1,5 W-2 W in modalità di emissione continua. La maggior richiesta di potenza risiede verosimilmente nella forma del puntale, in questo caso prismatico che offre una superficie attiva per il taglio di circa 0.4 x 3.5 mm, certamente maggiore rispetto a una superficie a sezione circolare di 0.4 mm, tipica delle fibre ottiche. Tale morfologia è tuttavia più simile a quella di una tradizionale lama fredda.
Le caratteristiche costruttive di uno specifico manipolo con diverse lenti di collimazione al suo interno predispongono a una inevitabile seppur moderata dispersione in potenza, se comparate a una fibra ottica. La precisione di taglio, valutata clinicamente dall’operatore, si è sempre dimostrata adeguata, a sostegno della versatilità degli inserti in zaffiro. Gli inserti sono stati riattivati nel corso dell’utilizzo al fine di mantenere l’efficacia di taglio. Diversamente rispetto a quanto accade con le fibre ottiche, l’attivazione è reversibile, rieseguibile e gli inserti non sono apparentemente soggetti a usura. Al termine delle procedure è stato possibile rimuovere eventuali depositi di tessuto organico dagli inserti detergendoli con garze imbevute di soluzione fisiologica o ancora clorexidina o perossido di idrogeno. A differenza delle fibre ottiche, la cui gestione e manutenzione (denudamento e taglio della fibra) può apparire inizialmente complessa, la gestione degli inserti autoclavabili e riutilizzabili è apparsa semplificata, anche quando comparata ai più recenti puntali monouso.
Le difficoltà di accesso ad alcuni siti si sono verificate in presenza di lacune intercalate e di settori posteriori in pazienti con limitazione dell’apertura. Sono state ovviate, con una variazione dell’angolazione dell’impugnatura del manipolo, e potrebbero essere risolte con l’adozione di inserti in zaffiro di maggior lunghezza. Alternativamente sarebbe auspicabile la realizzazione di manipoli dedicati con angolazioni terminali specifiche ricomprese tra i 30° ed i 45°. La necessità di ricorrere in questo caso ad un sistema di specchi e lenti per la collimazione del fascio potrebbe tuttavia comportare un certo grado di complessità costruttiva del manipolo chirurgico oltre ad una possibile ulteriore dispersione di energia erogata ed andrebbe pertanto valutata. È utile ricordare che esiste con le fibre ottiche la possibilità di pre-curvare appositi puntali di diversa sezione e forma. Attualmente in caso di siti chirurgici difficilmente accessibili, le fibre ottiche rappresentano quindi la scelta più indicata.
Conclusioni Lo zaffiro è un materiale durissimo che trasmette efficacemente la radiazione laser. Questa fuoriesce dalla punta dell’inserto, situato sul finale di un manipolo dedicato: mentre l’inserto segue l’operatore in un movimento del tutto simile all’incisione a lama fredda, il fascio laser interagisce con i tessuti e si ottiene un’incisione precisa con ridotti fenomeni di carbonizzazione.
Utilizzati in associazione con il laser a diodi da 915 nm, gli inserti in zaffiro hanno consentito all’operatore di eseguire agevolmente incisioni precise. La ridotta percezione del dolore, le guarigioni indisturbate, le capacità emostatiche, la maneggevolezza e la precisione (ora più simili alla tradizionale lama fredda) rendono il bisturi laser in zaffiro un valido strumento per le procedure di chirurgia implantare: innovativo, minimamente invasivo, ben tollerato dai pazienti ed ergonomico per l’operatore (Figg. 1-11).
Fig. 1 - Inserto intercambiabile in zaffiro montato su specifico manipolo. In modalità non attivata è possibile osservare la proiezione del fascio guida attraverso il prisma in zaffiro.
Fig. 3 - Caso clinico 1. Incisione dei tessuti molli con laser a diodi da 915 nm ed inserto in zaffiro. Si osservi l’annerimento della porzione terminale dell’inserto, ad indicarne l’avvenuta attivazione.
Fig. 4 - Caso clinico 1. Incisione dei tessuti molli con laser a diodi da 915 nm e inserto in zaffiro. L’inserto viene condotto lentamente con un movimento simile a quello della lama fredda.
Fig. 5 - Caso clinico 1. Incisione dei tessuti molli con laser a diodi da 915 nm e inserto in zaffiro. Si apprezza macroscopicamente l’assenza di fenomeni di carbonizzazione.
Fig. 6 - Caso clinico 1. Sollevamento di un lembo mucoperiosteo ed esposizione della corticale ossea. Si apprezza macroscopicamente l’assenza di fenomeni di carbonizzazione e danni termici dei tessuti molli e del tessuto osseo che mantiene un’adeguata vascolarizzazione.
Fig. 7 - Caso clinico 1. Posizionamento di una fixture di dimensioni adeguate al caso clinico in esame.
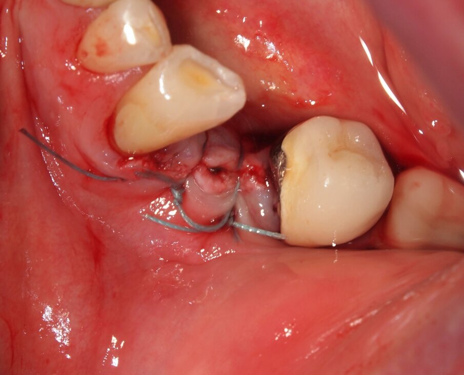
Fig. 8 - Caso clinico 1. Sutura di riposizionamento in poliammide 4/0.
Fig. 9 - Caso clinico 2. Incisione dei tessuti molli: si apprezza il controllo dell’emostasi.
Fig. 10 - Caso clinico 3. Scopertura implantare: è possibile eseguire una precisa opercolectomia.
Fig. 11 - Caso clinico 3. Posizionamento della vite di guarigione.
Bibliografia
John Kirkup. SURGICAL HISTORY: The history and evolution of surgical Instruments - VI The surgical blade: from finger nail to ultrasound Ann R Coll Surg Engl. 1995; 77: 380-388.
Ronald W. Waynant, Ilko K. Ilev and Israel Gannot. Mid-infrared laser applications in medicine and biology. Phil. Trans. R. Soc. Lond. A 2001 359, 635-644.
Ruga Emanuele, Amerio Ettore, Garrone Marco, Carbone Vincenzo, Volante Marco, Gandolfo Sergio. Preliminar evaluation of a new surgical laser scalpel. Journal of Osseointegration. January-April 2017; 9(1) 234.
Elena R Dobrovinskaya, Leonid A Lytvynov, Valerian Pishchik. Sapphire, Material, Manufacturing, Applications. 2013 Springer Science. p31-42.
I A Shikunova and V N Kurlov. Sapphire shaped crystals for medicine. Journal of Physics: Conference Series 672 (2016) 012018.
A.Lytvynov. Peculiarity of sapphire application in medicine. Functional Materials 21, No.3 (2014).
Angiero F, Parma L, Crippa R, Benedicenti S. Diode laser (808 nm) applied to oral soft tissue lesions: a retrospective study to assess histopathological diagnosis and evaluate physical damage. Lasers Med Sci. 2012 Mar;27(2):383–8.
Mitchel P. Goldman, Richard E. Fizpatrick et al. Lasers and energy devices for the skin 2° ed. 100,101CRC 2013.
Ronald Waynant, Darrell B. Tata Proceedings of Light-Activated Tissue Regeneration and Therapy Conference Springer Science & Business Media, p335 11 set 2008.
Elma BaronLight-Based Therapies for Skin of Color. Springer Science & Business Media, p15 2009.
Jenny Kim, Gary P. Lask Comprehensive Aesthetic Rejuvenation: A Regional Approach CRC Press p 37,141.2011.
Autori Emanuele Ruga*, Marco Garrone**, Ettore Amerio**, Raffaele Calvi°, Annamaria Agnone**, Valerio Partipilo***, Vincenzo Carbone****, Maurizio Maggioni°°
* Odontoiatra; Specialista in Chirurgia Odontostomatologica. Socio Straordinario e Coordinatore del gruppo di ricerca AIOLA ** Odontoiatra, Specialista in Chirurgia Odontostomatologica. Gruppo di ricerca AIOLA ° Odontoiatra, Socio Ordinario, Gruppo di ricerca AIOLA *** Medico Chirurgo, Odontoiatra; Specialista in Chirurgia Vascolare. Socio Straordinario, Presidente AIOLA **** Medico Chirurgo; Specialista in Odontostomatologia; Specialista in Chirurgia Odontostomatologica. Gruppo di Ricerca AIOLA. °° Odontoiatra, Dir. U. O. Odontoiatria Policlinico San Pietro Gruppo San Donato. Socio Fondatore AIOLA
Molto interessante la possibilità di utilizzare un diodo con punta in zaffiro per la chirurgia dei tessuti molli. Per diminuire la potenza ed avere un punto di taglio e non un’area non sarebbe possibile progettare una punta conica con diametro finale di 0,4?
Introduzione
Il laser viene utilizzato in chirurgia orale per numerose indicazioni. In questo articolo ci focalizziamo sul suo utilizzo chirurgico. Il ...
Dopo il completamento della terapia parodontale iniziale (costituita dalla terapia causale e dalla terapia meccanica non chirurgica) il paziente dovrà ...
Da una intuizione di Einstein, nel 1960 Maiman realizzò una macchina in grado di generare un flusso di radiazioni elettromagnetiche caratterizzate da...
Da una intuizione di Einstein, nel 1960 Maiman realizzò una macchina in grado di generare un flusso di radiazioni elettromagnetiche caratterizzate da...
LIPSIA, Germania: Le tecnologie robotiche computer assistite stanno cominciando a trasformare la chirurgia implantare dentale, sebbene il loro utilizzo ...
Obiettivi: comparazione tra la tecnica chirurgica tradizionale e quella laser analizzando parametri clinici (anestesia, sutura, discomfort, dolore, ...
Mectron ha recentemente lanciato sul mercato un nuovo set di inserti dedicato alla pulizia degli impianti dentali, disponibile sia per tutti i dispostivi ...
La preservazione della cresta alveolare riveste un ruolo fondamentale nel mantenimento della struttura ossea dopo l’estrazione dentaria, garantendo ...
Esiste attualmente un inserto conico di diametro 400-500 micrometri, indicato per recontouring,scappucci amenti, meno per incisioni lineari.
Molto interessante la possibilità di utilizzare un diodo con punta in zaffiro per la chirurgia dei tessuti molli. Per diminuire la potenza ed avere un punto di taglio e non un’area non sarebbe possibile progettare una punta conica con diametro finale di 0,4?