Introduzione
Il disallineamento dentale rappresenta un grave problema dal punto di vista funzionale, estetico ma soprattutto igienico.
Per il controllo di questo parametro è necessaria una sinergia simbiotica tra più figure professionali, che prevede la compartecipazione di diverse figure: odontoiatra, ortodontista, igienista dentale e del paziente che diverrà, dopo istruzione e motivazione dei professionisti del team odontoiatrico, professionista di se stesso mediante l’acquisizione di buona manualità nell’utilizzo dei sussidi personalizzati alle sue esigenze. La presenza di denti affollati induce a una più facile formazione prima di placca e, se non rimossa, di tartaro. Questi processi, a differenza di chi possiede un’armonia dentale, sono molto più rapidi nella loro formazione e progressione: questo perché, nelle zone in cui i denti tendono ad accavallarsi, vi è una maggiore difficoltà nel controllo del biofilm batterico con aumentata formazione di tartaro e discromie di origine acquisita. Inoltre, vi è una maggiore difficoltà nella rimozione di pigmenti e del tartaro formatosi.
A lungo andare si può instaurare un quadro di gengivite caratterizzato da cambiamento del colore della gengiva che acquista una tonalità rossastra, modifica del contorno gengivale con gonfiore in direzione sia coronale sia bucco-linguale, con formazione di pseudotasche, incremento dell’essudato e sanguinamento al sondaggio o semplicemente allo spazzolamento. L’eliminazione della noxa patogena può determinare la guarigione con restitutio ad integrum dei tessuti. La noxa patogena primaria è il disallineamento degli elementi dentali, il quale permette una più facilitata ritenzione della noxa patogena, inteso come biofilm e tartaro, per cui l’intervento da effettuare è su due fronti interventivi: trattamento ortodontico e igienico perpetuato diligentemente, così procedendo si sommerà l’ottenimento di una triplice funzionalità; ovvero: salute orale mediante accurata e mirata terapia causale (pre-, durante, post-trattamento ortodontico), ripristino di un accurato rapporto tra gli elementi dentari appartenenti ad ambedue le arcate dentarie (riequilibrio funzionale masticatorio ed estetico del sorriso), e prevenzione di eventuali insorgenze di patologie, che possano contornarsi ad un nucleo persistente rappresentato da continui insulti, provocati da una non corretta distribuzione dei carichi masticatori individuati nelle malocclusioni. I pazienti con il disallineamento dentario devono necessariamente dedicare più tempo all’igiene domiciliare.
Il kit di igiene orale domiciliare deve contenere sussidi idonei nella gestione del controllo delle discromie di origine acquisite. L’ausilio di fili interdentali fluorati, soprattutto nella zona di accavallamento e infine coloranti, per esempio alla fluoresceina, per evidenziare le superfici maggiormente interessate dall’accumulo di placca; essi inoltre necessitano di sottoporsi a un numero maggiore di sedute di igiene e, se conseguentemente trattati ortodonticamente, dovranno essere monitorati sull’andamento della compliance acquisita, che in entrambi i casi dovrà essere eseguita correttamente e costantemente così da ottenere una sempre più rafforzata consapevolezza sul proprio stato di salute orale, sociale e sistemico.
Metodi e materiali
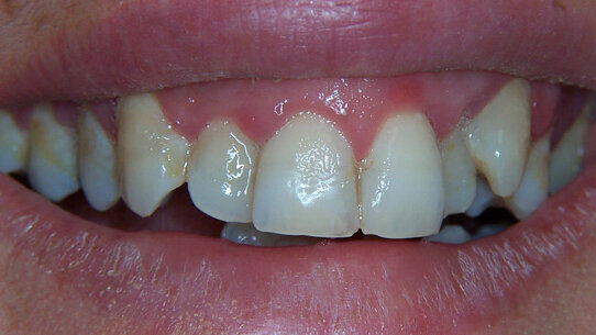
Si prende qui in esame una paziente di 37 anni, poco incline al sorriso poiché manifesta un problema estetico legato a un marcato disallineamento ed affollamento dei denti anteriori, superiore e inferiore, che le causano maggiormente disagio nel momento in cui sulle superfici dentali si formano pigmenti, inficiando la vita di relazione. Vengono effettuate le classiche sequenze anamnestiche: si esegue l’anamnesi personale fisiologica, quella familiare e patologica prossima, non si riporta nessun genere di malattia o problema tale da indurre a prendere particolari procedure cautelative; dall’anamnesi patologica remota risulta che la paziente è stata sottoposta da ragazza a trattamento ortodontico mobile e successivamente fisso, sospeso senza averlo più portato a termine. «La possibilità di una recidiva post-trattamento ortodontico non portato a termine rappresenta per gli ortodontisti una delle problematiche più importanti da tenere in considerazione, sia nella fase di programmazione della terapia sia nella scelta della contenzione a termine del trattamento. Se da un lato i sistemi di contenzione rimovibili non comportano impedimenti allo svolgimento delle comuni manovre di igiene orale, dall’altro essi richiedono una collaborazione attiva del paziente in una fase in cui peraltro non sempre risulta facile ottenerla. Viceversa, le contenzioni bandate non necessitano di cooperazione da parte del paziente ma possono rendere difficoltoso il mantenimento di una buona igiene orale».
Si procede all’esame obiettivo dal quale si può notare una curva di spee nel terzo e quarto quadrante accentuata, l’assenza di chiave canina, deviazione della linea mediana; è evidente la presenza di un elevato affollamento dentale superiore con incisivi laterali posti più palatalmente, inferiormente accavallamento degli incisivi causato molto probabilmente dalla mancanza di spazio disponibile per un corretto allineamento e dall’eruzione dei denti del giudizio. Proprio quest’ultima causa è una delle più frequenti a determinare affollamento come anche le avulsioni precoci di denti decidui, la presenza di una base apicale insufficiente, la macrodonzia, la disarmonia dento-dentaria, l’ipertono muscolare periorale.
Viene effettuato un sondaggio parodontale, che costituisce il momento chiave della visita parodontale perché permette di individuare la presenza di tasche gengivali, di valutare l’entità della distruzione dei tessuti duri del parodonto (osso alveolare, legamento parodontale, cemento radicolare) e la perdita di attacco connettivale. Vengono valutate: le zone di sanguinamento al sondaggio dal quale si deduce il grado di infiammazione della gengiva e l’entità della risposta infiammatoria; l’indice di placca presente è rappresentato da una percentuale molto alta soprattutto nei settori frontali in cui è presente l’affollamento; inoltre, si procede alla valutazione di presenza di tasche e del grado di recessioni. Dal sondaggio effettuato si riscontrano tasche profonde anche 4-5 mm, perdita di attacco clinico di 2 mm e mobilità di grado 1 per gli elementi 2.1, 3.2, 4.1, 4.2 e di grado 2 per l’elemento 3.1. Si esegue un test per verificare la presenza di batteri della malattia parodontale. Con la videocamera intraorale (cs 1600 carestream dental) si acquisiscono le immagini del cavo orale della paziente e in modo interattivo si procede all’esame clinico del cavo orale (Fig. 1), e delle aree a rischio per un evidente affollamento (Figg. 2a, b). La videocamera in modalità “aiuto rivelazione carie” visualizza le aree di demineralizzazione sulle superfici dentali, mettendo in evidenza sul monitor del computer in vari colori le zone di potenziale carie. Una volta esaminati i valori, vanno forniti i giusti suggerimenti per il trattamento e il tutto va salvato nella cartella personale del paziente.
Prima di iniziare con il full mouth debridement, viene utilizzato un rilevatore di placca a base di fluoresceina, per evidenziare e rendere visibile le zone inquinate, lingua compresa, che, a causa della particolare conformazione, rappresenta un habitat ideale per i germi patogeni.
La paziente viene istruita nell’effettuare corrette manovre per l’uso del filo interdentale in PTFE, (tessuto speciale molto resistente che non si sfilaccia interdental floss) ENA ORAL CARE MICERIUM con una struttura a nastro per agire su una superficie maggiore del dente, che entri in maniera più agevole negli spazi stretti.
In alcuni siti dove la paziente ha presentato difficoltà nella pratica di tali manovre, è stato consigliato l’utilizzo dello scovolino (interdental brush), costituito da setole a clessidra che si adattano all’anatomia dei denti, permettendo una rimozione ottimale della placca e di eventuali residui di cibo che possano restare bloccati nelle zone prossimali.
Una volta individuata la dimensione più indicata a seconda degli spazi, è stato mostrato come lo scovolino entri facilmente se introdotto con una lieve inclinazione dal basso verso l’alto per l’arcata inferiore, e dall’alto verso il basso per l’arcata superiore. In seguito, si effettuano delicati movimenti obliqui, compiuti almeno tre volte per ogni zona, dando così allo scovolino la possibilità di rimuovere la placca dalle zone interessate. Alla paziente è stato mostrato, alla luce della lampada fotopolimerizzatrice, la placca trattenuta nelle setole dello scovolino (Fig. 16), per meglio motivarla alla necessità di controllo del risultato efficace di igiene dello spazio interdentale. Lo scovolino può essere intriso di dentifricio al fluoro multifunzionale a bassa abrasività RDA 25 (Enamal plus), con azione desensibilizzante e rinforzante per lo smalto, delicato sul tessuto gengivale. Un problema frequente, dovuto al sovraffollamento, è caratterizzato dalla frequente comparsa di macchie estrinseche sulla superficie dentale. L’inestetismo può esser limitato, grazie all’utilizzo di una vera e propria gomma smacchiante (tooth stain remover) (Fig. 18). Alla paziente è stato consigliato di usare in maniera delicata, e non di frequente, la gommina, che viene passata ripetutamente sulla superficie dalla quale si vuole rimuovere la macchia sino ad una evidente, quanto totale, sparizione della stessa; utilizzando la gomma più sottile per le zone interdentali e la gomma più tonda per le altre superfici del dente. Si è raccomandato di apporre successivamente sulla superficie del dente pulito il dentifricio Enamal plus per remineralizzare la stessa.
Si consiglia alla paziente l’uso di garzine monouso igienizzanti e antisettiche alla clorexidina (digital brush), utili per il suo affollamento e per il controllo dei residui di cibo e placca dalle superfici dentali vestibolari e palatali e sulla lingua (Fig. 14) quando non ha la possibilità di utilizzare uno spazzolino, onde evitare l’accumulo immediato di placca nelle zone sovraffollate. Per lo spazzolamento quotidiano è stato indicato l’uso dello spazzolino elettrico rotante oscillante performante per l’affollamento, e il controllo chimico con uso di colluttorio al fluoro. Dopo aver istruito la paziente sul corretto uso dei sussidi per l’igiene domiciliare si è passati al trattamento di igiene professionale. Inizia cosi il trattamento. Viene eseguito un deplaquing con l’utilizzo di air polishing con glicina (< 63 μm), riesce più rapidamente e più efficacemente a rimuovere biofilm batterico e discromie presenti. Si passa all’utilizzo dell’ablatore con l’inserto parodontale, che ci permette di agire in spazi in cui sarebbe complicato arrivare con una punta standard. L’impiego di curette viene riservato esclusivamente nei siti che richiedono una decontaminazione più approfondita. Nei siti con presenza di tasche superiori ai 4 mm si è fatto un trattamento di terapia fotodinamica con il laser a diodi Helbo (Bredent) per una decontaminazione più approfondita, inserendo nella tasca il cromoforo, lasciandolo agire per un minuto. Si è risciacquata la superficie e si è inserita la punta del laser un minuto intorno al sito del dente da trattare; il controller timer indica con un bip lo spostamento della punta laser nei sei punti intorno al dente (Figg. 22a, b). Successivamente viene utilizzata la GLUMA Desensitizer PowerGel: questo gel innovativo agisce desensibilizzando i tubuli dentinali esposti fino a 200 micron, funge da barriera antimicrobica, rivitalizza le fibre di collagene collassate. Infine, viene distribuita sulle superfici dei denti, in particolar modo a livello del colletto e nelle zone di recessione, una mousse (GC Tooth Mousse) a base di fosfopeptide caseinico-calcio fosfato amorfo: esso agisce legandosi al biofilm, alla placca, ai batteri, all’idrossiapatite e al tessuto molle rilasciando calcio e fosfato al fine di rinforzare i tessuti sui quali viene distribuita; viene lasciata in loco e fatta agire per circa due minuti, dopo di che può evitare di sciacquarsi la bocca e attendere che il prodotto si dissolva gradualmente. Maggiore è il tempo di applicazione, migliori saranno i risultati.
Terminato il trattamento, il paziente viene istruito e motivato al mantenimento della propria igiene tramite congrue procedure domiciliari, comprendenti utilizzo di filo interdentale cerato utilizzato con maggior cura nelle zone d’affollamento, uso di spazzolino elettrico impiegato maggiormente in quei siti quali per esempio superfici linguali/palatali degli incisivi, in cui è più difficile il controllo e più rapida la formazione di placca e tartaro, l’uso di un pulisci lingua e l’utilizzo di collutorio a base di clorexidina allo 0,12%.
embedImagecenter("Imagecenter_2_746",746,"small");
Conclusioni
L’affollamento dei denti è un problema che deve essere curato nella sua completezza fin da quando il paziente è in giovane età tramite trattamento ortodontico e, se necessario, tramite avulsioni mirate con il fine di creare spazio necessario all’allineamento.
Nei casi in cui il paziente manifesti disallineamento dentale, è necessario che l’operatore esegua delle procedure minuziose e minimamente invasive, al fine di ristabilire il corretto equilibrio batterico del cavo orale e miglioramento dell’eutrofia dei tessuti gengivali.
Per salvaguardare l’estetica del sorriso il professionista dovrà indicare al paziente sussidi domiciliari personalizzati che lo aiutino nella gestione del problema usando tecnologie innovative, e abituino il paziente al controllo dell’efficacia e lo riportino in studio per dei follow-up ravvicinati.
Bibliografia
G. Nardi, O. Marchisio (2008).Strumenti e metodi di igiene orale tra conoscenza e autovalutazione. Prevenzione & assistenza dentale, vol. 34 3, 29-33.
FA. Booth, JM. Edelman, WR. Proffit. Twenty years follow-up of patients with permanently bonded mandibular retrainers AmJ Orthod Dentofacial Orthop 2008;133:70-6.
F. Carinci, A. Girardi, A. Palmieri,M. Martinelli, L. Scapoli, A. Avantaggiato, G.M. Nardi, D. Lauritano (2012). Lab-test 2:microflora and periodontal disease.European Jornal of Inflammation, 10:99-110.
L'articolo è stato pubblicato sul numero 1 di Hygiene Tribune Italy 2013
Gli allineatori trasparenti hanno guadagnato grande popolarità negli ultimi vent’anni, specialmente nel trattamento ortodontico dei pazienti adulti. ...
La gestione del paziente diabetico con malattia parodontale richiede un approccio integrato e personalizzato. Ne parliamo con la Dott.ssa Elisabetta ...
L’argomento è delicato perché spesso genera uno strano pudore, un senso di riservatezza in particolare negli operatori sanitari. È indiscutibile che ...
Case report di un paziente diabetico.
L’obiettivo che un professionista deve perseguire, se vuole occuparsi di wellness, è mantenere la salute dei tessuti del cavo orale sani per ...
Cos’è il Risk Management? Si può definire come il sistema fondato su una metodologia logico-sistematica che attraverso step successivi ...
ADELAIDE, Australia - I risultati di una ricerca pubblicata di recente indicano che la perdita dei denti non interferisce necessariamente con la ...
AJMAN, Emirati Arabi Uniti: Uno studio condotto da ricercatori in Iraq e negli Emirati Arabi Uniti ha rilevato che i dentisti che lavorano in questi paesi ...
Strutture disponibili, personale sufficiente, liste d'attesa accettabili: quando si parla di trattamenti medici su pazienti disabili o non collaborativi, ...
I disturbi del comportamento alimentare (DCA) sono patologie caratterizzate da un’alterazione delle abitudini alimentari e da un’eccessiva ...
Live webinar
gio. 30 aprile 2026
1:00 (CET) Rome
Dr. Renato Leonardo D.M.D.
Live webinar
gio. 30 aprile 2026
19:00 (CET) Rome
Live webinar
dom. 3 maggio 2026
18:00 (CET) Rome
Dr. Rickard Brånemark MSc, MD, PhD, Dr. Robert Gottlander DDS
Live webinar
lun. 4 maggio 2026
2:00 (CET) Rome
Live webinar
mar. 5 maggio 2026
16:00 (CET) Rome
Live webinar
mar. 5 maggio 2026
18:00 (CET) Rome
Live webinar
mar. 5 maggio 2026
19:00 (CET) Rome
Dr. Maximilian Dobbertin M.Sc
To post a reply please login or register