In questo articolo gli autori illustreranno mediante la descrizione di un caso clinico esemplificativo il loro protocollo di carico immediato per protesi avvitate tipo Toronto.
Materiali e metodi
La paziente di sesso femminile di 63 anni si è rivolta a noi per riabilitare l’arcata superiore con una soluzione protesica fissa. Durante la prima visita si eseguono delle foto iniziali (Fig. 1), RX OPT, TAC CBCT e le prime impronte sia dell’arcata da trattare che dell’arcata antagonista. La registrazione del rapporto occlusale viene effettuata con Stone Byte. Dopo una prima analisi della situazione clinica e radiografica si illustrano alla paziente le opzioni possibili e si decide, di comune accordo, per una protesi avvitata tipo Toronto a carico immediato.
Pianificazione
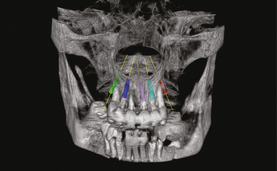
Con il software della CBCT viene progettato il posizionamento di cinque impianti nelle posizioni 15, 13, 21, 22, 25 inclinando i due impianti distali lungo la parete dei seni mascellari (Fig. 2). Questo studio iniziale software-assistito ci sarà di grande aiuto anche se non tradotto in una dima chirurgica per implantologia guidata.
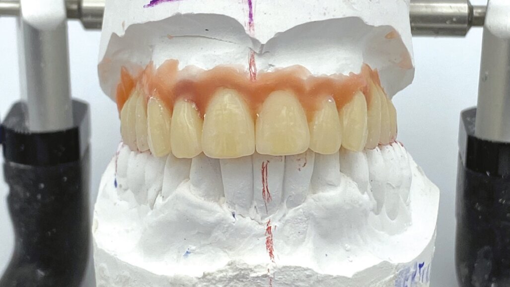
Nel laboratorio odontotecnico vengono messi in articolatore i modelli iniziali e si esegue uno studio del caso con Digital Smile Design e della situazione occlusale, per valutare eventuali rialzi della dimensione verticale e le correzioni estetiche. Le informazioni così ottenute vengono riportate nella ceratura diagnostica che in questo caso è un montaggio diagnostico/definitivo (Fig. 3). Definitivo in quanto si utilizzano già i denti del lavoro finale per il montaggio diagnostico, che vengono sfruttati per realizzare due protesi identiche in resina (Fig. 4). La prima verrà consegnata alla paziente immediatamente dopo aver inserito gli impianti. La seconda diventerà una dima protesica per la realizzazione della protesi definitiva, che verrà applicata a 7 giorni dall’intervento chirurgico.
Fig. 2 - Progettazione 3D.
Fig. 3 - Montaggio diagnostico.
Fig. 4 - Due protesi in resina bianca: una diventerà il provvisorio immediato per il paziente, l’altra la dima protesica.
Chirurgia
Dopo l’estrazione dei 6 elementi naturali residui non recuperabili si esegue una chirurgia a cielo aperto. Con questa metodica si hanno innumerevoli vantaggi.
Essa permette:
- di progettare l’emergenza del singolo impianto all’interno del tessuto cheratinizzato;
- di trattare l’alveolo postestrattivo in termini di curettage alveolare, modellazione dei margini e trattamento antibiotico;
- una migliore modellazione della cresta ossea edentula per ottenere una morfologia crestale più omogenea;
- una migliore valutazione dell’osso nelle sue varianti da D1 a D4 sia nelle zone post-estrattive che in quelle edentule facilitando la scelta del tipo di impianto relativamente ad altezza, diametro e tipo di spira finalizzandone al meglio la stabilità primaria;
- l’utilizzo della piezochirurgia, ottimale per conservare maggiormente l’osso quando lo spessore si presenta esiguo e associato ad una qualità precaria;
- l’utilizzo di tecniche rigenerative, come in questo caso, dove sono stati utilizzati dei biomateriali per colmare i difetti ossei.
Dopo aver completato la chirurgia con le estrazioni, il posizionamento di cinque impianti (due Max Stability Ø 3,75 mm nelle posizioni 21 e 22 e tre Narrow Ø 2,9 mm nelle posizioni 15, 13 e 25) e la ricostruzione ossea, si esegue una sutura sintetica non riassorbibile.
Protesi provvisoria tipo Toronto a carico immediato
Si scelgono quindi i monconi MUA con i GH e gli angoli di compensazione adeguati per il raggiungimento del miglior parallelismo. Il posizionamento dei MUA viene eseguito con l’ausilio di viti polifunzionali che permettono di visionare e confermare il parallelismo di emergenza. Dopo aver stabilito la posizione, i MUA vengono battuti con un percussore con punta in PEEK secondo l’asse implantare, attivando così la connessione cono Morse. Successivamente si avvitano i cilindri da incollaggio sui coni dei MUA (Fig. 5).
Si procede successivamente alla perforazione della protesi provvisoria in resina in corrispondenza delle emergenze implantari. Si controlla che l’allettamento della protesi avvenga passivamente sui cilindri precedentemente scorciati quanto basta (Fig. 6). Si procede facendo chiudere la bocca alla paziente, in occlusione con l’arcata antagonista. A questo punto si bloccano due cilindri monolateralmente con resina composita in posizione di intercuspidazione massima (Fig. 7). Dopo questo primo fissaggio, che permette di registrare correttamente l’occlusione, vengono bloccati tutti gli altri cilindri. Si ribasano infine gli spazi vuoti della protesi provvisoria sulla sella edentula dovuti alle estrazioni.
Prima di consegnare alla paziente il giorno stesso della chirurgia la protesi provvisoria rifinita e lucidata (Figg. 8, 9) si realizza una replica della stessa utilizzando la seconda protesi in resina precostruita, bloccando con la stessa procedura i cilindri da incollaggio al suo interno e ribasando la sella edentula per rilevare i dettagli della cresta gengivale. Su questa replica, controllata e fotografata direttamente in bocca alla paziente, il tecnico troverà tutte le informazioni necessarie per realizzare il Toronto definitivo ovvero emergenze implantari, morfologia della sella edentula, relazione centrica, linea mediana, linea del sorriso, forma, posizione e colore dei denti (Figg. 10-12).
Fig. 5 - Cilindri da incollaggio posizionati sopra i monconi MUA già definitivamente fissati negli impianti.
Fig. 6 - Adattamento e posizionamento della protesi in resina.
Fig. 7 - Controllo del rapporto occlusale e fissaggio dei cilindri alla struttura.
Fig. 8 - Protesi provvisoria tipo Toronto (carico immediato).
Fig. 9 - Radiologia impianti, MUA, cilindri da incollaggio (protesi provvisoria).
Fig. 10 - Realizzazione della protesi definitiva.
Fig. 11 - Protesi definitiva pronta per la consegna.
Fig. 12 - Dettaglio del lavoro inviato allo studio.
Protesi definitiva tipo Toronto
Dopo una settimana il provvisorio viene sostituito dal Toronto definitivo. Secondo uno studio condotto dal Dr. Salama esiste un tempo critico per la stabilità degli impianti identificato nella seconda/terza settimana dall’inserimento. In questi giorni si passa dalla stabilità primaria dovuta al vecchio osso nativo, alla stabilità secondaria dovuta all’osso neoformato. È consigliabile manipolare gli impianti o prima o dopo questo periodo critico. La nostra scelta è quella di intervenire prima per una serie di motivi:
- rimozione delle suture non riassorbibili dopo 7 gg., periodo ottimale per la guarigione dei tessuti molli;
- sostituzione precoce del Toronto provvisorio in resina con il definitivo più solido in quanto provvisto di struttura metallica. Questo garantisce una più robusta stabilità di collegamento fra gli impianti e quindi una più sicura osteointegrazione e un minor rischio di rottura della protesi;
- ottimo adattamento dei tessuti molli sul Toronto definitivo a livello della cresta edentula, grazie alla perfetta morfologia, rifinitura e lucidatura della protesi definitiva ottenuta in laboratorio;
- maggiore soddisfazione estetica della paziente fin da subito, ottenuta grazie a una protesi definitiva particolarmente curata in laboratorio.
Dopo aver tolto le suture (Fig. 13) e consegnato il Toronto definitivo (Figg. 14, 15), si effettuano due visite di controllo a 2 e 4 mesi di distanza in cui si valutano il rapporto occlusale, il serraggio delle viti di connessione effettuato con chiave dinamometrica tarata a 20 Ncm, RX di controllo e la chiusura degli alloggi delle viti con resina composita (al controllo dopo 4 mesi).
Fig. 13 - Rimozione suture (a 7 giorni dall’intervento chirurgico).
Fig. 14 - Protesi definitiva tipo Toronto in sede (a 7 giorni dall’intervento chirurgico).
Fig. 15 - Protesi definitiva tipo Toronto in sede (a 7 giorni dall’intervento chirurgico).
Tag:
Il carico immediato può essere ormai considerato una procedura terapeutica di elevata affidabilità ed efficacia, anche a distanza di tempo. Elemento ...
Siamo ormai ai titoli di coda dell’approvazione del nuovo Regolamento UE sui dispositivi medici. Manca infatti solo la sua pubblicazione sulla ...
È ora disponibile sul sito del DTStudyClub la registrazione del live webinar realizzato dal Dott. Giuseppe Cirronis, l’Odt. Luigi Colombo e l’ Odt. Ugo...
La possibilità di riabilitare un mascellare superiore a carico immediato, con una protesi fissa, mediante l’utilizzo di soli quattro impianti ...
Molti sono i fattori che possono essere correlati al riassorbimento apicale delle radici e al loro arrotondamento, tra questi il movimento ortodontico e il ...
La sindrome algico-disfunzionale dell'articolazione temporo-mandibolare (ATM) riconosce una genesi multifattoriale ed è spesso conseguenza di ...
Lipsia, Germania/Atene, Grecia. Per aggiornare i professionisti sulle recenti novità digitali in implantologia e odontoiatria estetica, la Dental ...
I piani di trattamenti clinici che prevedono il carico immediato o il posizionamento post-estrattivo immediato dell’impianto, rappresentano una procedura ...
Candulor Kunst Zahn Werk presenta la nuova linea di denti NFC+. L'idea su cui si basa è: migliorare ancora un po’ un prodotto geniale.
Rochester (USA) e Vancouver (Canada). L’interruzione della secrezione delle ghiandole salivari gioca un ruolo importante in alcune malattie della ...
Live webinar
mar. 17 febbraio 2026
18:00 (CET) Rome
Live webinar
mer. 18 febbraio 2026
15:00 (CET) Rome
Dr. Anna Lella, Ms. Francesca Nava
Live webinar
mer. 18 febbraio 2026
18:00 (CET) Rome
Prof. Dr. João Caramês CODE expert, Dr. Robert Gottlander DDS
Live webinar
lun. 23 febbraio 2026
9:00 (CET) Rome
Ass. Prof. Elizabeth Shick, Dr. Zehra Yonel
Live webinar
mar. 24 febbraio 2026
19:00 (CET) Rome
Prof. Dr. Markus B. Hürzeler
Live webinar
mar. 24 febbraio 2026
21:00 (CET) Rome
Prof. Dr. Marcel A. Wainwright DDS, PhD
Live webinar
mer. 25 febbraio 2026
17:00 (CET) Rome
Prof. Dr. Daniel Edelhoff
To post a reply please login or register