La correzione di disallineamenti, di diastemi o di malocclusioni sia in età infantile che durante l’adolescenza o in età adulta può essere curata con un approccio terapeutico utilizzando differenti presidi:
- Apparecchi mobili, per correggere soprattutto difetti di occlusione sia in età infantile che nell’adolescenza;
- Apparecchi fissi, tramite attacchi metallici fissati ai denti a supporto di fili metallici per fornire la forza indispensabile per attuare gli spostamenti programmati;
- Apparecchi trasparenti (ortodonzia invisibile).
È sempre più frequente la richiesta di trattamenti ortodontici invisibili per evitare al paziente ansia e imbarazzo legati ai problemi estetici sul sorriso dati da attacchi posizionati sulle superfici dentali. È questa la motivazione che porta alla larga diffusione delle metodiche attraverso le quali è possibile riuscire a elargire cure ortodontiche senza creare il disagio di inficiare la vita di relazione al paziente. Queste tecniche prevedono l’utilizzo di mascherine trasparenti, chiamate allineatori, che sono quasi “invisibili”, semitrasparenti ed elastiche, realizzate in un materiale resinoso realizzate dopo la simulazione dell’evoluzione della terapia attraverso un piano digitale personalizzato in 3D. Questa scelta terapeutica ha il vantaggio di essere più confortevole rispetto alle terapie ortodontiche fisse poiché non provoca disconfort dato dalla presenza di brachets e fili metallici che possono creare lesioni alle mucose. Altro rischio è dato dalle white spots circolari, tipiche lesioni sullo smalto post terapia ortodontica fissa. Inoltre limita il rischio all’infiammazione sul parodonto dovuta alla difficoltà oggettive del controllo domiciliare del biofilm batterico generate dai brackets e dalle parti metalliche della terapia fissa. Altro vantaggio è dato da terapia ortodontica più veloce poiché agisce su più denti e quindi risulta essere più apprezzata dal paziente rispetto agli apparecchi tradizionali. Il management dell’igiene orale domiciliare dei pazienti in terapia ortodontica deve comunque essere efficace e deve prevedere la necessaria igienizzazione della mascherina ortodontica.
Case report
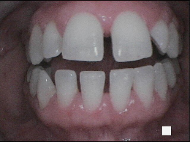
Si presenta alla nostra attenzione un giovane paziente di anni 26, non fumatore, in apparente salute sistemica, in terapia ortodontica con mascherina invisibile lamentando un cattivo odore dell’allineatore, percepito in maniera fastidiosa grazie all’utilizzo obbligato della mascherina per le norme di sicurezza anti-Covid 19. Invitiamo il paziente a rimuovere le mascherine al fine di eseguire un esame obiettivo intra-orale e valutare le condizioni di integrità degli allineatori.
Il paziente ha un buon controllo del biofilm batterico. Viene consigliato il controllo dell’alito attraverso il test organolettico sniff test e il paziente si rassicura poiché non avverte cattivo odore. Chiediamo al paziente in che modo igienizza invece il dispositivo ortodontico e ricordiamo al paziente di aver consigliato l’utilizzo della compressa igienizzante. Il paziente ci riferisce di non aver usato la pastiglia poiché divide l’abitazione con suoi colleghi universitari e non ha piacere di immergere il dispositivo in un bicchiere d’acqua con l’aggiunta della pastiglia igienizzante, poiché lo trova sconveniente e se ne vergogna. Il paziente chiede se può disinfettarla facendola bollire (Figg. 1-9).
Igienizzazione della mascherina
Proponiamo al paziente di igienizzare il dispositivo ortodontico in maniera efficace e più ergonomica: chiediamo di disorganizzare il biofilm batterico attraverso l’azione meccanica di uno spazzolino idoneo con setole a fiamma rigide. Dopo aver sciacquato il dispositivo ortodontico sotto un flusso costante di acqua, chiediamo di asciugare il dispositivo per applicare a 5 cm di distanza un’efficace spray igienizzante all’olio ozonizzato, IalozonClean (Gemavip), ideale per la capacità di proteggere il dispositivo da batteri, funghi, lieviti e virus a lungo termine. I suoi ingredienti, e in particolare l’olio d’oliva ozonizzato, il cetylpiridinio cloruro oltre ad igienizzare ,deodorano il dispositivo ortodontico e permettono di lasciare che rimanga del suo colore originale. Si raccomanda al paziente di non metterlo in lavastoviglie e di non farlo bollire e di usare altre soluzioni o materiale disinfettante per la pulizia e la conservazione dello stesso per non danneggiarlo, opacizzarlo e farlo ingiallire. Condividiamo con il paziente la necessità di igienizzare la mascherina ortodontica ogni volta che ha necessità di toglierla come ad esempio durante i pasti.
Modalità d’uso
Chiediamo di spruzzare 3-4 volte sull’apparecchio mobile a distanza di 5 cm lo IalozoClean e successivamente di spazzolare con uno spazzolino dedicato e risciacquare con acqua. Toglierlo prima di mangiare e riporlo sempre nella scatola di protezione e spruzzare IalozoClean anche sulle cavità del dispositivo 3-4 spruzzi e riporlo senza risciacquare e asciugare.
Verifichiamo che il protocollo Tailored Brushing Method (TBM), basato sulla scelta concordata di delle tecnologie più opportune per l’efficacia del controllo del biofilm batterico, è risultato agevole e ha portato esito positivo con indice di placca migliorato e sanguinamento assente. Il paziente ha apprezzato il massaggio gengivale procurato dallo scovolino in silicone che ha accelerato il processo di guarigione della lieve infiammazione a livello interprossimale. È stato eseguito il deplaquing delle superfici dentali con polishing selettivo con l’ausilio di gommini e paste abrasive di diverse granulometrie (Figg. 10-13).
Al paziente è stato consigliato a livello domiciliare anche l’utilizzo del collutorio all’olio ozonizzato Ialozon per raggiungere tutte le zone del cavo orale, anche le più difficili, da utilizzare 3 volte al giorno per 15 giorni. L’ozono è un gas altamente instabile; questa sua caratteristica fa di esso un potente antisettico e cicatrizzante con riattivazione del microcircolo, in quanto facilita la cessione di ossigeno da parte dell’emoglobina; azione antisettica, grazie all’azione di perossidi, i quali hanno un’attività diretta sui patogeni con distruzione della membrana esterna per lisi, arresto del meccanismo di riproduzione virale e impossibilità di contatto tra virus e cellula bersaglio. L’ozono, se stabilizzato con olio d’oliva extravergine, riesce ad essere utilizzato per uso topico domiciliare e a conservare tutte le proprietà e l’efficacia dell’ozono in forma gassosa, quindi può essere utilizzato come presidio chimico per il controllo della placca domiciliare. Questi prodotti a base di ozono hanno diversi meccanismi di azione, tra cui: azione anestetica, antinfiammatoria e antiedemigena, grazie all’ossidazione reversibile dei trasmettitori nervosi (neurofibrille) che determinano il dolore e un aumento dell’afflusso di ossigeno nella sede dell’infiammazione.
Mantenimento sbiancamento domiciliare
Per il mantenimento del sorriso luminoso, abbiamo consigliato di implementare la seduta di igiene con uno sbiancamento a base di aloe vera (moro white smile). Al controllo il paziente riferisce assenza di percezione di odori sgradevoli nel cavo orale e sul dispositivo invisibile con sensazione di freschezza dopo l’utilizzo del collutorio e di aver spazzolato e igienizzato la mascherina ortodontica con frequenza .Gli indici clinici sono PI pari al 10%, BoP negativo, PDD medio fisiologico (Figg. 14-16).
Conclusioni
È fondamentale l’ascolto dei bisogni del paziente per scegliere terapie che assicurino benessere psicofisico. Assicurare al paziente l’estetica del sorriso significa instaurare un rapporto di empatia e fidelizzarlo ai follow up. L’uso di un kit domiciliare con terapia proattiva con olio ozonizzato all’olio d’oliva è sicuramente una tecnologia opportuna per permettere il mantenimento in salute del cavo orale. L’igienizzazione degli allineatori invisibili è indispensabile e la soluzione spray all’olio ozonizzato permette una gestione ergonomica e apprezzata dai pazienti.
Tag:
Onco Oral Care è un progetto educazionale che si pone l’obiettivo di fornire a Odontoiatri e Igienisti gli strumenti formativi, operativi e di ...
Londra, GB / Lipsia, Germania: Gli scienziati del Regno Unito affermano che gli ancoraggi ortodontici, se non adeguatamente puliti, sono una potenziale ...
Il concetto di microbioma è un concetto di recente interesse in ambito odontoiatrico. Esso consiste nell’insieme del patrimonio genomico dei ...
SONGKHLA, Tailandia – Un nuovo studio ha fornito evidenze supplementari sui benefici dei batteri probiotici contro un gran numero di disturbi orali. ...
L’espansione del mascellare superiore rappresenta una fase cruciale nel trattamento ortodontico precoce. Grazie all’innovativo Invisalign Palatal ...
La città di Rio de Janeiro ha accolto dal 25 al 27 settembre 2025 l’VIII Congresso Latino-americano di Odontoiatria per Pazienti con Bisogni Speciali ...
Lo sport è una pratica salutare a livello cardiovascolare, muscolare e posturale, ma se praticato a livello agonistico espone a una serie di rischi ...
Lo sport è una pratica salutare a livello cardiovascolare, muscolare e posturale, ma se praticato a livello agonistico espone a una serie di rischi ...
Ginevra: L’FDI (Fédération Dentaire Internationale) ha lanciato la campagna "Sorriso per la vita" legata alla Giornata ...
La ricerca del sorriso estetico ha portato tutte le branche della medicina odontoiatrica a cercare delle soluzioni terapeutiche che coniughino la conoscenza...
Dr. Bruce McFarlane Certified Specialist in Orthodontics Fellow: Royal College of Dentists of Canada Diplomate: American Board of Orthodontics
Live webinar
mer. 15 aprile 2026
20:00 (CET) Rome
Live webinar
gio. 16 aprile 2026
2:00 (CET) Rome
Linda Hecker MS, BSDH, RDH
Live webinar
gio. 16 aprile 2026
18:00 (CET) Rome
Dr. Pär-Olov Östman, Dr. Robert Gottlander DDS
Live webinar
ven. 17 aprile 2026
18:00 (CET) Rome
Live webinar
ven. 17 aprile 2026
19:00 (CET) Rome
Dr. Stuart Yeaton BDentSc, MOrth
Live webinar
lun. 20 aprile 2026
19:00 (CET) Rome
Dr. Alberto Monje DDS, MS, PhD
To post a reply please login or register