L’ortodonzia intercettiva rappresenta un momento fondamentale della terapia ortodontica del paziente in età pediatrica, in quanto si pone l’obiettivo di risolvere o di migliorare una determinata malocclusione in fase di sviluppo. Una problematica particolarmente importante da affrontare è rappresentata dalla terapia intercettiva dei canini inclusi. Questa tipologia di trattamento richiede una accurata fase di diagnosi ed una meticolosa programmazione terapeutica.
La terapia intercettiva dei canini a rischio di inclusione, si pone come obiettivo quello di consentire l’eruzione corretta dei canini e di permettere una seconda fase terapeutica più facile e veloce. Ad oggi, particolare importanza viene data al comfort del paziente e dell’operatore. Le moderne tecnologie ci consentono di stabilire una diagnosi e un piano terapeutico molto precisi e dettagliati, avendo allo stesso tempo un flusso di lavoro ad elevato comfort per i nostri pazienti.
L’uso combinato della TAC Cone Beam, dello scanner intraorale, di tecnopolimeri e di tecnologie di laboratorio quali il laser melting e la stampa 3D ci consentono di lavorare al massimo dell’efficacia e dell’efficienza. I nuovi metodi di lavorazione in ortodonzia, rappresentano una evoluzione delle tecnologie CAD/CAM. Infatti, oggi possiamo parlare di tecnologie CAD/CAT (computer aided technofacturing) in quanto, si tratta di device ortodontici ottenuti per tecnofattura.
Mostreremo, attraverso dei casi clinici, come il flusso di lavoro ortodontico si sia evoluto passando dalla fase analogica a quella full digital 4.0.
_Caso 1
Ortodonzia 1.0. Sofia, 8 anni
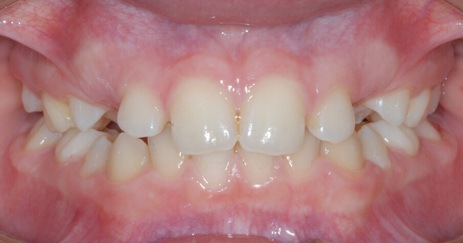
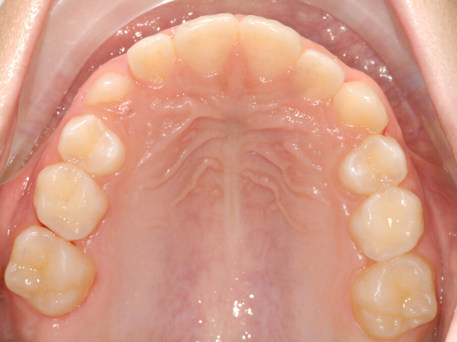
La piccola Sofia viene sottoposta a una prima visita ortodontica all’età di 8 anni, l’esame obiettivo (Figg. 1, 2) e l’ortopantomografia (Fig. 3) delle arcate dentarie evidenziano una mancanza di spazio per la corretta eruzione dei canini superiori (1.3-2.3).
Per motivi personali, i genitori di Sofia la sottopongono nuovamente alla nostra attenzione un anno dopo. Viene eseguita una nuova ortopantomografia (Fig. 4) che mostra un peggioramento del percorso eruttivo dei canini.
Dopo aver rilevato delle impronte con polivinilsilossano per realizzare un espansore del palato, si esegue l’espansione rapida del mascellare (Figg. 5, 6) superiore con il dispositivo cementato sui secondi molari decidui (5.5-6.5). Al termine dell’espansione, sono rilevate delle nuove impronte con polivinilsilossano per realizzare una barra palatale (Fig. 6) ancorata sui primi molari permanenti (1.6-2.6); viene eseguito un protocollo di estrazioni anticipate dei primi molari decidui e dei canini decidui (Figg. 7-9).
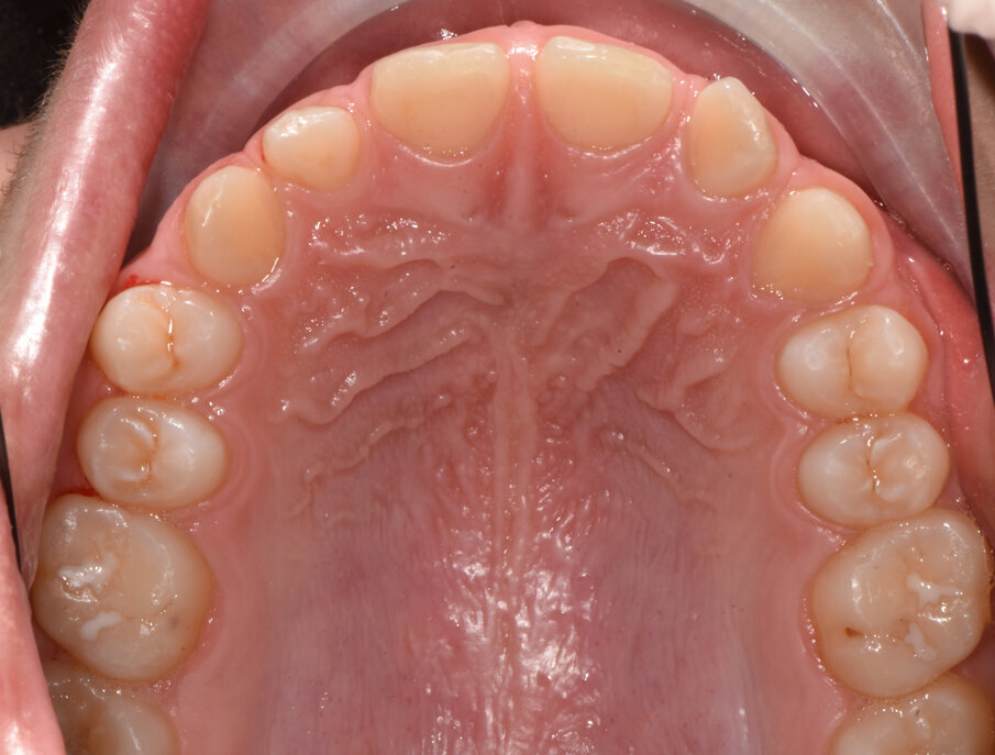
Al termine della terapia si può vedere una normalizzazione della permuta (Fig. 10) con la corretta comparsa in arcata dei canini permanenti al follow-up di 1 anno (Fig. 11).
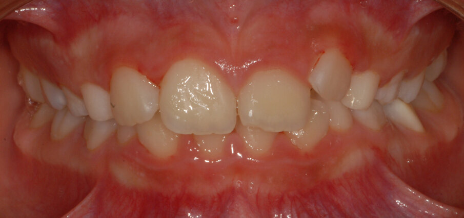
Fig. 1_Foto frontale iniziale.
Fig. 2_Vista occlusale iniziale.
Fig. 3_Ortopantomografia iniziale.
Fig. 4_Ortopantomografia 1 anno dopo.
Fig. 5_Espansore rapido del palato ancorato su “E”.
Fig. 6_Termine dell’espansione.
Fig. 7_Barra palatale, exo “D” ed eruzione 1.4-2.4.
Fig. 8_Ortopantomografia, correzione del percorso eruttivo di 1.3-2.3.
Fig. 9_Estrazione 5.3-6.3.
Fig. 10_Normalizzazione permuta.
Fig. 11_Follow-up 1 anno.
_Caso 2
Riccardo, 6 anni
Riccardo 6 anni, viene sottoposto in prima visita ad ortopantomografia (Figg. 12, 13) delle arcate dentarie che evidenzia un deficit di spazio per l’eruzione dei canini permanenti. Si acquisiscono i modelli virtuali tramite scanner intraorale, viene fatta la prova bande e viene realizzato un espansore del palato modello Leaf expander® (Leone, Sesto Fiorentino (FI), Italia). L’espansore viene cementato su “E” (Fig. 14).
Al termine dell’espansione calibrata del mascellare superiore (Fig. 15), vengono presi dei nuovi modelli virtuali con i quali si realizza una barra di Nance (Figg. 16, 17) customizzata in Trilor® (Bioloren, Seregno, Italia). Il Trilor è una resina rinforzata con fibre, ha la caratteristica di essere molto leggera ed ha una rigidità ottimale; ciò consente il suo impiego in sostituzione del metallo per la fabbricazione di diversi device ortodontici.
Riccardo viene sottoposto ad un protocollo di estrazioni anticipate dei canini decidui e dei primi molari decidui (Fig. 18). Viene ripristinata una corretta permuta e tutti gli elementi dentari terminano facilmente il loro percorso eruttivo (Figg. 19, 20).
Fig. 12_Ortopantomografia iniziale.
Fig. 13_Vista frontale iniziale.
Fig. 14_Leaf expander cementato.
Fig. 15_Leaf expander al termine dell’espansione.
Fig. 16_Progetto CAD della barra di Nance customizzata.
Fig. 17_Nance realizzata in Trilor.
Fig. 18_Nance bondata e protocollo di estrazioni anticipate.
Fig. 19_Normalizzazione della permuta.
Fig. 20_Completamento della permuta.
_Caso 3
Alessandro, 8 anni – ortodonzia 4.0 full digital
Alessandro, 8 anni, viene sottoposto ad una CBCT (Figg. 21, 22) dopo una valutazione iniziale dove si è riscontrato un percorso di permuta difficile dei canini permanenti (1.3-2.3).
Tramite scansione digitale delle arcate vengono ottenuti dei modelli virtuali, i file .STL vengono inviati al laboratorio ortodontico per la realizzazione di un espansore lento del palato Leaf Expander® (Leone, Sesto Fiorentino (FI), Italia).
Il dispositivo customizzato e prodotto tramite laser sinterizzazione (Fig. 23), viene cementato su “E” e riattivato periodicamente. Dopo la fase di espansione e stabilizzazione (Fig. 24), vengono ottenuti dei nuovi modelli virtuali per la progettazione (Fig. 25) e produzione (Fig. 26) tramite fresatura di una barra di Nance in Trilor® (Bioloren, Seregno, Italia). Alessandro, una volta cementata la barra di Nance (Fig. 27), viene sottoposto ad estrazione anticipata dei canini (5.3-6.3) e dei primi molari decidui (5.4-6.4).
Si ottiene così una normalizzazione della permuta (Figg. 28, 29), che consentirà una seconda fase terapeutica più efficiente.
Fig. 21_CBCT mascellare superiore.
Fig. 22_Dettaglio del percorso di eruzione dei canini.
Fig. 23_Cementazione Leaf expander full digital.
Fig. 24_Leaf expander a 6 mesi.
Fig. 25_Progetto CAD della Nance in Trilor.
Fig. 27_Nance bondata ed estrazioni anticipate decidui.
Fig. 28_Normalizzazione della permuta.
Fig. 29_Percorso eruttivo dei canini completato.
_Discussione e conclusioni
L’introduzione di nuove tecnologie e materiali in ortodonzia, ha permesso la trasformazione del flusso di lavoro dall’analogico al full digital. In particolare, in ortodonzia intercettiva si è visto come rimanendo validi i tradizionali principi terapeutici e biologici l’uso di scanner intraorale, tecnopolimeri e nuovi mezzi di produzione abbia aumentato drasticamente la velocità e l’efficacia del workflow ortodontico.
L’Ortodonzia 4.0 ci consente di aumentare il comfort dei nostri piccoli pazienti, infatti tramite l’uso di scanner intraorali il riflesso faringeo viene totalmente eliminato, andando così a togliere una grossa fonte di stress.
Altro aspetto importante è la possibilità di realizzare device totalmente customizzati che ci consentono di rispondere pienamente alle singole esigenze che si presentano nella pratica quotidiana.
Infine, risulta particolarmente importante la possibilità di sostituire le leghe metalliche tradizionali con materiali metal-free in grado di rispondere alle esigenze meccaniche e biomeccaniche dell’ortodontista. L’uso di tecnopolimeri, ci consente di trattare pazienti special needs che devono sottoporsi periodicamente ad esami strumentali quali la Risonanza Magnetica Nucleare (RMN).
La direzione futura dell’Ortodonzia 4.0 deve continuare verso lo sviluppo di nuovi materiali che consentano di poter realizzare tutte le tipologie di apparecchi ortodontici, andando oltre gli attuali limiti tecnologici.
Bibliografia
- Baccetti T., Crescini A., Nieri M., Rotundo R., Pini Prato G.P.. Orthodontic treatment of impacted maxillary canines: an appraisal of prognostic factors. Prog Orthod. 2007;8(1):6-15.
- Mangano A., Beretta M., Luongo G., Mangano C., Mangano F.. Conventional Vs Digital Impressions: Acceptability, Treatment Comfort and Stress Among Young Orthodontic Patients.Open Dent J. 2018;12:118-124.
- Lanteri V., Gianolio A., Gualandi G., Beretta M.. Maxillary tridimensional changes after slow expansion with leaf expander in a sample of growing patients: a pilot study. Eur J Paediatr Dent. 2018;19(1):29-34.
- Ierardo G., Luzzi V., Lesti M., Vozza I., Brugnoletti O., Polimeni A., Bossù M.. Peek polymer in orthodontics: A pilot study on children. J Clin Exp Dent. 2017;9: 1271-1275.
- Beretta M., Cirulli, N.. Metal-free space maintainer for special needs patients. Adv Dent and Oral Health. 2017; DOI: 10.19080/ADOH.2017.06.555683.
- Beretta M., Lanteri C., Lanteri V., Cherchi C., Franchi L., Gianolio A.. Evolution of the leaf expander: a maxillary self expander. J. Clin. Orthod. 53:286-292. 2019.
- Lanteri C., Beretta M., Lanteri V., Gianolio A., Cherchi C., Franchi L.. The Leaf expander for no compliance treatment in the mixed dentition. J. Clin. Orthod. 50:552-560. 2016.
- Rosa M., Lucchi P., Manti G., Caprioglio A.. Rapid palatal expansion in the absence of posterior cross-bite to intercept maxillary incisor crowding in the mixed dentition: a CBCT evaluation of spontaneous changes of untouched permanent molars. Eur. J. Paediat. Dent. 17:286-294.2016.
L'articolo è stato pubblicato su Cad Cam italian edition n. 2/2019.
Tag:
In vista del Congresso DDS (Digital Dental Society) organizzato da SIRIO in programma alla Sapienza di Roma il 4 e 5 maggio, Dental Tribune ha posto, ...
In occasione di Scandefa, grande fiera del dentale in Scandinavia, DTI ha recentemente visitato la sede di 3Shape, nel cuore di Copenhagen, per conoscere i ...
In occasione di Scandefa, grande fiera del dentale in Scandinavia, DTI ha recentemente visitato la sede di 3Shape, nel cuore di Copenhagen, per conoscere i ...
Dentsply Sirona presenta la sua gamma di prodotti e soluzioni cliniche per l’ortodonzia, che vanno dalle procedure di imaging fino alla produzione ...
Neoss celebra 25 anni di attività all’insegna della Intelligent Simplicity, il principio che ha guidato l’Azienda in ogni innovazione: creare soluzioni...
Da un’idea della dottoressa Marisa Roncati con il producer Giangi Cappai e il sostegno della fondazione Elisabetta Sgarbi. Online il video con le semplici...
Valutazione ragionata e utilizzo clinico di un nuovo dispositivo da masticare, per la diagnosi e la correzione dei fattori muscolari che favoriscono la ...
Valutazione ragionata e utilizzo clinico di un nuovo dispositivo da masticare, per la diagnosi e la correzione dei fattori muscolari che favoriscono la ...
Introduzione
Il canino mascellare permanente si sviluppa nella profondità del mascellare superiore, completando la sua formazione ed erompendo nella ...
Dove eravamo rimasti? Nell’articolo precedente (si veda Dental Tribune Italian Edition, n. 3 marzo 2014, Speciale Ortho Tribune) ci eravamo occupati ...
Live webinar
mer. 22 aprile 2026
17:00 (CET) Rome
MDT Andreas Chatzimpatzakis
Live webinar
mer. 22 aprile 2026
17:00 (CET) Rome
Live webinar
mer. 22 aprile 2026
18:00 (CET) Rome
Live webinar
gio. 23 aprile 2026
17:00 (CET) Rome
Live webinar
gio. 23 aprile 2026
18:30 (CET) Rome
Live webinar
gio. 23 aprile 2026
19:00 (CET) Rome
Live webinar
gio. 30 aprile 2026
1:00 (CET) Rome
Dr. Renato Leonardo D.M.D.
To post a reply please login or register