Nella sua vasta complessità, la scienza del colore abbraccia, tra molti altri, fisica, matematica, geometria, misurazione, percezione, chimica, ottica, arte e psicologia umana. In poche parole, il colore è psicofisica. Nella letteratura odontoiatrica si trovano spesso concetti errati della scienza del colore e la loro errata applicazione. Spesso è difficile spiegare concetti complessi di scienza del colore, rilevanti per il campo dentale, usando parole facilmente comprensibili. Nelle pagine seguenti cercheremo di tradurre alcuni di questi concetti in un linguaggio più facilmente comprensibile.
La determinazione del colore dentale è molto importante e richiede un’estrema precisione nella misurazione, nel calcolo e nell’esecuzione; in altre parole il restauro definitivo deve essere perfetto per gli occhi del clinico, del tecnico e del paziente. Questa attività può essere eseguita in modo digitale o analogico.
La determinazione del colore a occhio è, per ovvi motivi, il metodo di presa del colore più comunemente utilizzato dai medici. Nonostante ciò, la comunità scientifica sembra non apprezzarlo a causa della sua mancanza di obiettività, poiché diversi fattori possono influenzare il modo in cui percepiamo il colore dei denti. Tuttavia ha il vantaggio di essere il mezzo definitivo per valutare il colore dentale indipendentemente dal metodo di determinazione del colore utilizzato, poiché ciò che conta di più è l’aspetto del restauro definitivo.
Nonostante siano disponibili da oltre 30 anni, i metodi di determinazione digitale del colore sono diventati popolari solo quando le loro misurazioni hanno trovato applicazione in situazioni cliniche e di laboratorio. Senza la determinazione digitale del colore, che ha un vero vantaggio in termini di risultati clinici, dentisti e tecnici hanno avuto la tendenza a fare affidamento sulla determinazione del colore a occhio.
Tonalità dentali Per molto tempo, le guide colore sono state la prima risorsa per la determinazione del colore dentale e, per diversi motivi, c’è sempre stata una scusa per migliorarle o un trucco per renderle più affidabili. La scala colori VITA classical A1–D4 (VITA Zahnfabrik) è sempre stata l’impostazione predefinita quando altri metodi non hanno funzionato. La corrispondenza di tonalità VITA è da sempre legata alle capacità artistiche e ad una profonda conoscenza dei materiali e dei loro specifici strumenti, come le scale cromatiche.
Nel corso degli anni sono state proposte strategie comuni del fai-da-te, al fine di ottimizzare l’uso delle guide colori originali. Ad esempio, l’incremento di composito rosa conferisce alla scala colori un contesto più realistico, facendo sembrare il campione più simile a un vero dente che emerge dalla gengiva (Fig. 1). Sebbene ciò non risolva il problema principale delle guide colori originali, aiuta a concentrare l’attenzione sul dente intero. Tuttavia, questo espediente ha avuto un successo limitato. A tal fine sono stati proposti supporti per guide colore rosa commerciali di varie marche, ma sono facilmente realizzabili con resina acrilica da qualsiasi medico.
Un altro metodo fai-da-te per ottimizzare le guide cromatiche originali e aumentare la precisione della corrispondenza cromatica è la rifinitura delle porzioni cervicale e incisale (Fig. 2), lasciando solo l’area in cui il colore è più uniforme su tutta la superficie. Ciò elimina tutte le interferenze in corrispondenza della tonalità, poiché per molte persone la massa traslucida nell’area incisale e l’area cervicale opaca distolgono anziché aiutare. Questa rifinitura dell’area fa sembrare i campioni di tonalità più simili a tonalità solide. Questo tipo di rifinitura non solo ha avuto scarso successo, ma dà anche origine ad altri problemi, uno dei quali è che l’area utile di riferimento del colore, che è il centro della scala colori, è notevolmente ridotta.
Fig. 1: VITA classical A1–D4 shade guide with the pink additions to improve its contextuality and increase its efficiency in shade matching.
Fig. 2: VITA classical A1–D4 shade guide with the cervical and incisal portions trimmed.
Fig. 3: Two-layer personalised shade guide. This makes composite layering more predictable, but has limitations and some problems.
Le scale cromatiche personalizzate sono facili da produrre autonomamente utilizzando gli stessi materiali utilizzati per il restauro intraorale vero e proprio. Questi sono stati proposti come la soluzione definitiva, ma presentano diversi problemi. Il primo problema non è legato alla scala colori in sé, ma all’utente finale. Farsi più campioni da soli richiede molto tempo, soprattutto se si considera l’elevato numero di combinazioni di campioni necessari per un set che funzioni, spiegando così il successo delle guide colori standard come la scala colori VITA, che richiedono poca o nessuna modifica prima dell’utilizzo. Realizzare una scala cromatica personalizzata perfetta (senza bolle, di spessore adeguato e di composito incontaminato) richiede abilità ed esperienza, indipendentemente dal sistema scala cromatico personalizzato utilizzato, per ottenere una perfetta corrispondenza cromatica con la scala colori originale ed evitare discrepanze nel restauro definitivo (Fig. 3). La scala colori personalizzata tende ad avere uno spessore diverso rispetto a quello del restauro vero e proprio, modificando notevolmente il colore reale e quello percepito e ottenendo così una scarsa corrispondenza cromatica sia per i restauri in ceramica sia per quelli in composito (Fig. 4). Inoltre, le guide colori personalizzate mancano di contesto, poiché non c’è gengiva o denti adiacenti, modificando l’effetto ottico.
Fig. 4: Spessore della scala colori personalizzata rispetto allo spessore ideale in un restauro intraorale. Lo spessore non è armonizzato in modo ottimale.
Perché passare alla colorimetria digitale?
È impossibile dare informazioni complete e precise sulla tonalità usando le parole, perché la percezione anche di una minima sfumatura è diversa da persona a persona. La colorimetria digitale presenta molti vantaggi rispetto al metodo visivo:
linguaggio chiaro e oggettivo;
contesto delle strutture limitrofe;
ripetibilità molto elevata;
semplicità nell’ottenere misure;
facilità di standardizzazione.
Lo spazio colore L * a * b * supera le barriere linguistiche, consentendo a chiunque di comunicare facilmente sfumature e differenze di tonalità (Fig. 5). L’asse L * va da chiaro a scuro, 100 è bianco e 0 nero. L’asse a * va dal rosso al verde, un valore positivo indica il rosso e un valore negativo verde. L’asse b * va dal giallo al blu, un valore positivo indica il giallo e un valore negativo blu.
Fig. 5: The L*a*b* colour space. L = light–dark, a- = green; a+ = red; b- = blue; b+ = yellow. L = light–dark and L* C* h* color space where L = light–dark, C = chroma, H = hue expressed in degrees.
Fig. 6: Graphic representation. (albeit highly inaccurate) for didactical purposes, of the colour mixture of the L*a *b* dimensions to obtain a dental shade (i.e. A3).
Fig. 7: Matching the reference shade against the sample shade.
Fig. 8: When graphically located in the full L*a*b* colour space, the dental colour space looks like a small irregular-shaped bean.
Quando è posizionato graficamente nell’intero spazio colore L * a * b *, lo spazio colore dentale umano appare come un piccolo fagiolo di forma irregolare (Figg. 6–8). Questo sottospazio è estremamente importante nella nostra professione. Si trova principalmente nella zona giallo-rossa e luminosa ed ha una cromaticità molto bassa, toccando l’asse neutro in quasi tutto il suo spettro. Questo spazio è composto da colori pastello beige molto chiari.
Rizzi et al. ha delineato il sottospazio del colore dentale umano. 1 Hanno scoperto che la migliore formula di differenza di colore, che si comporta in modo più isotropico e uniforme lungo tutti gli assi di questo sottospazio, era la formula ΔE 94 . 1 Per la colorimetria digitale, la conoscenza precisa del contenuto e dei confini dello spazio colore dentale rende più specifici la progettazione del macchinario, i calcoli della stratificazione e della miscelazione della ceramica, la calibrazione dei dispositivi di misurazione della tonalità e la precisione dell’hardware.
Fig. 9: Il colorimetro dentale OPTISHADE StyleItaliano fornisce misurazioni del colore accurate e precise. La fotocamera esterna si collega ai dispositivi Apple.
OPTISHADE StyleItaliano Al giorno d’oggi, è facile determinare il colore dentale in pochi secondi con un dispositivo portatile molto compatto, OPTISHADE StyleItaliano (Smile Line), e in un modo incredibilmente semplice che non dipende dalle competenze del medico. Imparare a utilizzare il dispositivo è facile e può essere fatto dal dentista, dall’assistente o dal tecnico, semplificando il lavoro di ogni membro del team.
Il colorimetro OPTISHADE StyleItaliano è stato lanciato nel 2021 specificamente per i dentisti. Funziona con i dispositivi Apple tramite un’app e può essere disinfettato (Fig. 9). La sua elevata precisione (ΔE 94 : 0,2–0,4) e l’accuratezza nella misurazione della tonalità negli spazi colore L * a * b * e L * C * h consentono il controllo incrociato in tempo reale dei dati con diverse guide colore precaricate, come la scala colori VITA classical A1–D4 e VITA Toothguide 3D-MASTER.
In un’epoca in cui la comunicazione è fondamentale, questo dispositivo sfrutta la capacità di condivisione dei moderni cellulari. In pochi secondi è possibile misurare il colore di un dente e comunicare la misurazione del colore ad altri, il tutto con la sicurezza e la stabilità delle piattaforme Apple.
Corrispondenza tonalità riproducendo lo stesso schema Quando disponiamo di un metodo accurato e affidabile per la corrispondenza cromatica, dovremmo ottenere gli stessi valori numerici quando si misura lo stesso soggetto. Il nostro compito consiste nel ripetere lo stesso schema per ogni misurazione; in altre parole, la struttura dovrebbe essere misurata utilizzando un dispositivo che presenti una discrepanza minima nelle misurazioni (precisione intra-dispositivo) e una discrepanza minima rispetto ad altri dispositivi del suo genere (precisione tra dispositivi), con lo stesso sfondo, centratura e posizionamento, con i denti puliti e idratati e senza contaminazione da luce esterna.
Fig. 10: Riproduzione dello schema nell’applicazione pratica
Con questi semplici parametri è possibile riprodurre accuratamente lo schema e ottenere una misurazione affidabile della sfumatura (Fig. 10). Quando le misurazioni vengono effettuate dallo stesso soggetto, i valori risultanti devono rientrare nella soglia di 0,4 ΔE 94 . Se si ottengono misurazioni con valori più elevati, è necessario analizzare cosa potrebbe essere andato storto nel processo di standardizzazione, come lo sfondo del dente, il posizionamento del dispositivo, la pulizia del dente o il livello di idratazione del dente (Figg. 11a–f).
Fig. 11a: Same tooth, same surface (clean), same time frame, same positioning, same device, same background. Shade difference: 0.12. Reliable measurement.
Fig. 11b: Same tooth, same surface (clean), *different time frame, same positioning, same device, same background. Shade difference: 0.29. Reliable measurement. The asterisk indicates the parameter critical to the reliability of the measurement.
Fig. 11c: Same tooth, same surface (clean), *different time frame, same positioning, *different device, same background. Shade difference: 0.31. Reliable measurement. The asterisks indicate the parameters critical to the reliability of the measurement.
Fig. 11d: Same tooth, same surface (clean), same time frame, same positioning, same device, *different background. Shade difference: 1.89. Unreliable measurement. The asterisk indicates the parameter critical to the reliability of the measurement.
Fig. 11e: Same tooth, same surface (clean), same time frame, same positioning, same device, *different background. Shade difference: 0.89. Unreliable measurement. The asterisk indicates the parameter critical to the reliability of the measurement.
Fig. 11f: Same tooth, *different surface (not clean), same time frame, same positioning, same device, same background. Shade difference: 2.32. Unreliable measurement. The asterisk indicates the parameter critical to the reliability of the measurement.
Previsioni di miscelazione e stratificazione digitale della ceramica
Tra le applicazioni di OPTISHADE ci sono la stratificazione della ceramica e le previsioni di miscelazione, i calcoli delle prescrizioni di stratificazione dei compositi, il monitoraggio dello sbiancamento e il controllo della qualità del materiale, solo per citarne alcuni. Per rendere il sistema più versatile, OPTISHADE è compatibile con un sistema integrale di miscelazione e stratificazione della ceramica (Matisse) in modo tale che la personalizzazione e l’armonizzazione cromatica dei restauri estetici e del lavoro protesico in ceramica raggiungano la perfezione.
Una delle maggiori sfide nel colore dentale è l’integrazione del restauro anteriore a unità singola. Questo si è dimostrato molto affidabile se eseguito con calcoli matematici precisi, in particolare con la miscelazione e la stratificazione della ceramica.
Per il miglior risultato delle previsioni del software di miscelazione e stratificazione della ceramica, è essenziale utilizzare un dispositivo di corrispondenza del colore ad alta precisione. OPTISHADE ha dimostrato di essere il migliore per questo utilizzo. Devono essere fornite due misurazioni perfette del colore (Fig. 12):
Tonalità desiderata: Questa è la tonalità target. Viene calcolato dai denti sani vicini o dai restauri vicini.
Colore del substrato: è il colore del dente preparato su cui verrà cementato il restauro. Poiché ciò può modificare la tonalità finale del restauro, è necessario tenerne conto.
Fig. 12: Previsioni sulla stratificazione della ceramica. (a) Tonalità desiderata. (b) Substrato. (c) Restauro grezzo. (d) Restauro integrato con il supporto.
Fig. 13: Ottenere una buona corrispondenza cromatica per il restauro integrato.
Con tutte queste informazioni è possibile calcolare più strati di un restauro che, insieme al moncone, genereranno una tonalità finale. Il restauro grezzo, cioè prima della prova in bocca, ha un aspetto diverso dalla tonalità desiderata. È fuori contesto e quindi senza l’influenza del substrato. Con il restauro grezzo è possibile modificare il supporto sfavorevole in modo che sia molto simile o uguale alla tonalità desiderata. La tonalità del restauro grezzo viene calcolata matematicamente, in modo da ottenere gli strati e le opacità giusti per bilanciare il cambiamento cromatico che si verificherà quando il restauro e il supporto saranno posizionati. Il restauro integrato, ovvero il restauro posizionato sul supporto in bocca, cementato in modo permanente o provvisorio, deve avere come risultato finale la tonalità desiderata o almeno essere molto vicino ad essa (Fig. 13).
Corona anteriore singola: un caso clinico Probabilmente la situazione in cui la determinazione digitale del colore fa la differenza ed è la più utile è quella della realizzazione di corone estetiche singole nella regione anteriore. In questo caso clinico, la corona dell’impianto n. 11 aveva ceduto meccanicamente ed esteticamente (Fig. 14a). La soluzione ideale per un caso del genere è ripristinarlo in una sola volta, senza che il tecnico veda mai il paziente e ovviamente evitando qualsiasi tipo di rifacimento. Ciò si può ottenere fornendo le misurazioni OPTISHADE della tonalità desiderata e della tonalità del moncone (Fig. 14b).
Fig. 14a: Failed anterior crown.
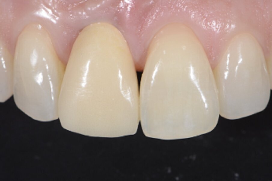
Fig. 14b: The ant erior crown restored.
Fig. 15: Desired shade (neighbouring tooth).
Fig. 16: Measurement of the shade of the maxillary lateral incisor.
Fig. 17: Taking the shade of the prepared tooth into account.
La tonalità desiderata in questo caso è stata trovata nel dente vicino. È importante eseguire la misurazione con il provvisorio posizionato e il dente perfettamente idratato (Fig. 15). È stata inoltre misurata la tonalità dell’incisivo laterale superiore (Fig. 16). I denti nella stessa arcata possono sembrare simili o addirittura identici, ma generalmente sono di tonalità diverse. È necessario tenere in considerazione il colore del moncone, utilizzando una misurazione individuale inclusa nei calcoli per il restauro (Fig. 17).
Fig. 18: Selezione della tonalità delle diverse regioni di Matisse. In rosso, le tre regioni della tonalità desiderata (colore dentinale). In blu, le tre regioni della preparazione si sfumano.
Le misurazioni del colore OPTISHADE vengono caricate su Matisse e queste, insieme al tipo di restauro, sono fondamentali per la pianificazione di un perfetto restauro grezzo (Fig.18). Successivamente, la ceramica viene miscelata secondo una perfetta prescrizione personalizzata fornita da Matisse (Tabella 1). La corona definitiva ha mostrato un’ottima integrazione (Fig. 19). Ciò è stato ottenuto in un solo tentativo.
Tabella 1: Strategia di miscelazione della ceramica per una prescrizione perfetta e personalizzata. I numeri in blu indicano le unità di miscelazione, dove un’unità è la quantità minima di ceramica da miscelare. Le unità possono essere grandi o piccole purché tutte le unità siano uguali. Si consiglia l’uso di un dosatore in ceramica di qualità.
Conclusione La determinazione digitale del colore elimina la soggettività dell’occhio. Finché la misurazione viene eseguita correttamente, il colorimetro non può essere ingannato come può fare l’occhio umano. La comunicazione tramite numeri è il modo più preciso per definire una sfumatura. Con dati precisi possiamo calcolare la miscelazione della ceramica, la stratificazione e molto altro. Le nuove tecnologie citate in questo articolo, oltre ad essere precise, sono ora di più facile utilizzo, consentono una facile condivisione e salvataggio dei dati, sono più universali e non richiedono alcun aggiornamento hardware.
Madrid, Spagna: Un gruppo di ricercatori spagnolo ha sequenziato per la prima volta un genoma completo di un cacciatore raccoglitore europeo. Il team ...
Paziente di sesso femminile di anni 27 con anamnesi generale negativa e senza storia di malattia parodontale, si presenta in prima visita lamentando ...
Lo scanner intraorale 3D è sempre più utilizzato nella pratica odontoiatrica quotidiana. Semplifica il lavoro del clinico poiché consente di rilevare in ...
Style Italiano è una comunità internazionale di clinici appassionati e ricercatori specializzati in odontoiatria estetica e restaurativa. Nasce nei primi ...
Il dott. Cucchi, un giovane emergente di soli 36 anni ma già avanti. Nella sua relazione al congresso della Digital Dentistry Society ha presentato un caso...
I disturbi dello spettro autistico (DSA) sono un sottogruppo dei disturbi pervasivi dello sviluppo. In Italia, gli osservatori indicano una prevalenza ...
Dagli scienziati della University School of Medicine di Nagoya (Giappone) si apprende che le cellule staminali derivanti dai denti del cane e dalla relativa...
SOLNA, Svezia: Quacquarelli Symonds (QS), uno dei principali analisti globali dell’istruzione superiore, ha recentemente pubblicato la sua classifica ...
LONDRA, Inghilterra: Gli atleti professionisti possono rappresentare il massimo della prestazione fisica, ma crescenti evidenze suggeriscono che la loro ...
To post a reply please login or register