Il primo protocollo della moderna implantologia, fondata sul concetto di osteointegrazione, prevedeva la riabilitazione di pazienti totalmente edentuli tramite posizionamento degli impianti in osso guarito1. Il favorevole tasso di successo degli impianti ha spostato l’attenzione di ricercatori e clinici verso la realizzazione di protocolli chirurgico-protesici che garantiscano il risultato funzionale abbinato a un’estetica favorevole. In questo ambito numerosi autori hanno evidenziato come il mascellare superiore, nella sede compresa tra i premolari contro laterali, rappresenti una regione assai impegnativa da trattare perché la richiesta estetica e le aspettative dei pazienti sono molto alte.
Oggi i clinici hanno a disposizione soluzioni implantari e componentistiche protesiche che consentono di compiere scelte terapeutiche agendo in sicurezza e con elevata predicibilità. Tuttavia non bisogna trascurare l’aspetto che riguarda le interazioni tra il sito ricevente e il complesso implanto-protesico. Com’è ben noto il processo di guarigione del sito implantare coinvolge i diversi tipi cellulari costituenti i tessuti, mediante complessi processi di interazione coordinati a livello spaziale e temporale.
Nel caso dei denti naturali la guarigione dell’alveolo successiva all’estrazione è un processo fisiologico che esita nella contrazione di entità variabile dell’osso alveolare e nella riduzione dei tessuti molli sovrastanti (mucosa cheratinizzata), soprattutto sull’aspetto vestibolare2. Nel caso dei premolari superiori la contrazione tissutale vestibolare determina un inestetismo, a causa della zona d’ombra che si determina apicalmente alle corone protesiche nel corridoio buccale.
Il mantenimento della morfologia tissutale dopo l’estrazione, in particolare della mucosa cheratinizzata (festonatura, presenza della papilla, livello e simmetria del margine gengivale rispetto all’elemento controlaterale), riveste un ruolo determinante nel successo in area estetica. A tal proposito la preservazione dell’alveolo (socket preservation/alveolar ridge preservation), messa in pratica al momento dell’estrazione, risulta essere una strategia utile per ridurre il riassorbimento della cresta alveolare e nell’incremento della mucosa cheratinizzata. Tale pratica consente di contenere i cambiamenti bidimensionali e tridimensionali della cresta alveolare e dei futuri tessuti perimplantari3.
Nei casi di impianti post-estrattivi precoci4, inseriti a 8 settimane dall’estrazione e quindi in selle edentule guarite, il ricorso all’innesto di connettivo con tecnica bilaminare può favorire l’incremento del tessuto aderente perimplantare e una migliore integrazione estetica dei manufatti protesici. L’incremento dello spessore vestibolare della cresta residua rende più agevole la realizzazione di corone protesiche definitive con un profilo d’emergenza molto simile a quella dei denti naturali. Contemporaneamente consente di eliminare le aree di sottosquadro tissutale apicali alle corone, sedi di ristagno del cibo e conseguente discomfort per il paziente. Un adeguato spessore della mucosa aderente vestibolare migliora, inoltre, il mimetismo degli impianti e delle componenti metalliche delle protesi. La procedura dell’innesto connettivale implica un’accurata scelta del sito donatore, in modo da prelevare un tessuto che sia quantitativamente e qualitativamente idoneo (privo di tessuto adiposo e ghiandolare), riducendo al minimo i rischi di complicanze post operatorie e la morbilità ad esso associata.
_Background e esame intraorale
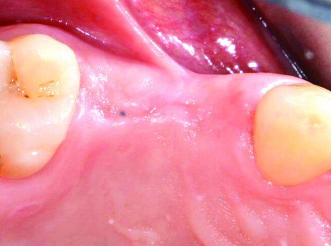
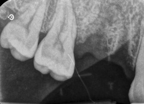
Paziente donna di 45 anni, non fumatrice, presenta alla nostra attenzione un’edentulia parziale superiore, in seguito all’estrazione di 2 elementi avvenuta 8 settimane prima (Fig. 1). L’anamnesi medica per patologie sistemiche risulta negativa. Gli indici di placca (FMPS) e sanguinamento (FMBS) presentano valori rispettivi di 16 e 12. L’esame intraorale rivela una sella edentula estesa per circa 18 mm in senso mesio-distale, dall’elemento 13 al 16 (Figg. 2, 3).
_Obiettivi del trattamento e piano di lavoro
In questo caso si mostra come un incremento stabile dei tessuti molli, eseguito contestualmente all’inserimento di impianti, possa essere intrapreso senza far ricorso a prelievi di tessuto dal palato, eliminandone i rischi correlati, ovvero sanguinamento eccessivo, infezione tissutale post-operatoria, edema e compromissione della guarigione del sito donatore e morbilità per la presenza di due diversi siti chirurgici in sedi distanti (sella edentula e palato)5. Il piano di trattamento prevede una procedura chirurgico-protesica con utilizzo di impianti postestrattivi precoci a carico immediato in sede 14 e 15, abbinati a innesto di connettivo vestibolare (Fig. 4). La scelta ricade su due impianti ICE (Alpha-Bio Tec, Israele) di diametro 3,75 x 11,5 in sede 14 e 4,2 x 11,5 in sede 15. La consegna del manufatto protesico definitivo avviene a 4 mesi dall’intervento chirurgico.
_Fase chirurgica
La preparazione dei siti implantari avviene mediante frese DNT2 (Alpha-Bio Tec, Israele) che dispongono di tacche di profondità evidenziate in contrasto cromatico e codici-colore per una migliore identificazione della profondità dell’osteotomia. Tali frese presentano tre scanalature e un’innovativa conformazione delle lame per praticare l’ostoetomia con precisione e massima stabilità nel taglio6. L’innovativo design delle frese DNT2 consente, inoltre, una ridotta produzione di calore durante la perforazione e l’alesatura del sito implantare (Fig. 5). La procedura osteotomica viene eseguita con tecnica flapless in modo da ridurre al minimo il riassorbimento vestibolare dell’osso crestale7 e la sintomatologia nel post-operatorio.
L’impianto ICE ha un corpo leggermente conico con spire piatte sul margine libero che si riducono di spessore procedendo dal terzo coronale fino al terzo apicale. Pertanto, nella fase di avvitamento, agisce come un osteotomo condensando lateralmente l’osso. Al raggiungimento della sede finale della preparazione la percentuale di BIC (Bone Implant Contact) risulta molto elevata. La parte coronale dell’impianto ha inoltre una conicità inversa rispetto al corpo e consente una ridotta compressione dell’osso crestale, garantendo una maggiore stabilità dei tessuti circostanti e, quindi, il risultato estetico a lungo termine. Gli impianti sono posizionati rispettando la distanza minima inter-implantare di 3,5 mm e la distanza dente-impianto di 1,5 cm.
La fibromucosa rimossa è stata disepitelizzata e, mediante sutura riassorbibile 6-0 con punti a materassaio orizzontale, fissata in due tasche chirurgiche di dimensione idonea, sovrastanti al margine libero della cresta alveolare. Le tasche sono state realizzate mediante incisione a spessore parziale del tessuto gengivale apicale al margine libero della sella edentula e in corrispondenza dei due siti implantari, in modo da simulare a guarigione avvenuta la bozza radicolare (Fig. 6). L’incisione a spessore parziale favorisce un rapido attecchimento del tessuto connettivo innestato per la presenza di un doppio letto vascolare (periostale sull’aspetto interno e mucoso sull’esterno). La chiusura dei due siti riceventi mediante punti singoli protegge il connettivo in esse contenuto dalla contaminazione della saliva e dei batteri nelle prime fasi della guarigione. Al termine della fase chirurgica sono state applicate due corone provvisorie avvitate, ottenute adattando due corone preformate su abutment provvisori in titanio (Alpha-Bio Tec, Israele) (Figg. 7, 8).
_Fase protesica
Dopo una fase di maturazione di 3 mesi è stato osservato un significativo aumento sia dello spessore che dell’altezza della mucosa cheratinizzata perimplantare. La maturazione dei tessuti evidenzia come l’inserzione del frenulo vestibolare sia migrata apicalmente rispetto alla sua posizione originale (Figg. 9, 10).
Il condizionamento dei tessuti molli realizzato con modifiche progressive delle corone provvisorie mediante l’aggiunta di resina composita, associato all’innesto del tessuto connettivo, riveste un ruolo chiave nella modellazione del tessuto molle perimplantare (Fig. 11).
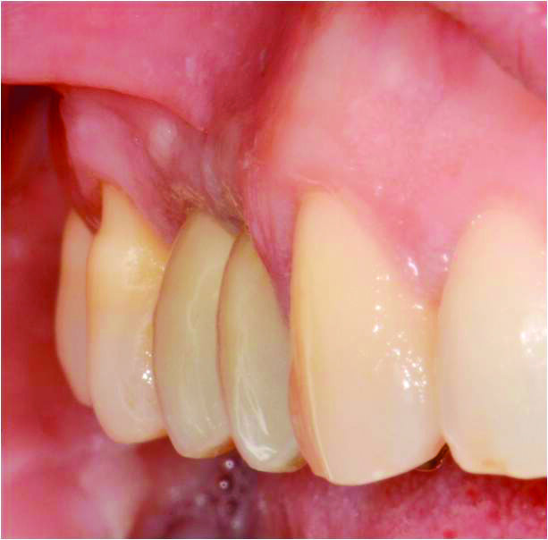
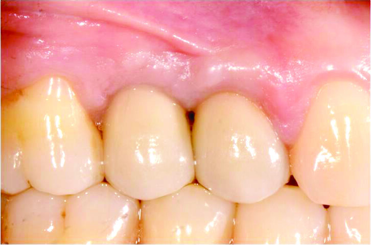
Il profilo di emergenza ottenuto con i provvisori è stato trasferito al restauro definitivo. Il caso è stato completato dopo 4 mesi dalla chirurgia con 2 corone in zirconia monolitica avvitate (Laboratorio Mutone, Napoli). Il risultato finale mostra la completa copertura dell’abutment e la presenza di tessuti tonici e privi di infiammazione (Figg. 12-14).
Fig. 1_Radiografia periapicale a 8 settimane dall’estrazione di 14 e 15.
Fig. 2_Visione laterale della sella edentula in sede 14 e 15: è ben visibile la contrazione tissutale sull’aspetto vestibolare della cresta residua.
Fig. 3_Visione occlusale della sella edentula: si può apprezzare l’inserzione bassa del frenulo vestibolare laterale.
Fig. 4_Prelievo di connettivo dalla sella edentula.
Fig. 5_Il pin di profondità guida la preparazione del sito del 14 con una leggera inclinazione distale della fresa per evitare di impattare la radice del 13.
Fig. 6_Il connettivo prelevato dalla cresta è stato inserito e stabilizzato mediante sutura riassorbibile nelle due tasche, realizzate nella mucosa al lato dei siti implantari.
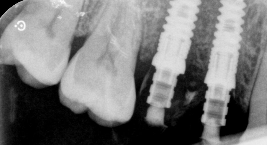
Fig. 7_Rx post-operatoria.
Fig. 8_Al termine della chirurgia la paziente è stata dimessa con due corone provvisorie avvitate.
Figg. 9, 10_Dopo una fase di maturazione di 3 mesi, è stato osservato un significativo aumento del volume dei tessuti molli buccali e un miglioramento del deficit verticale dei tessuti molli.
Figg. 9, 10_Dopo una fase di maturazione di 3 mesi, è stato osservato un significativo aumento del volume dei tessuti molli buccali e un miglioramento del deficit verticale dei tessuti molli.
Fig. 11_Il condizionamento del tessuto molle è stato ottenuto modificando gradualmente l’emergenza della protesi provvisoria in diversi appuntamenti e trasferito con l’impronta al laboratorio.
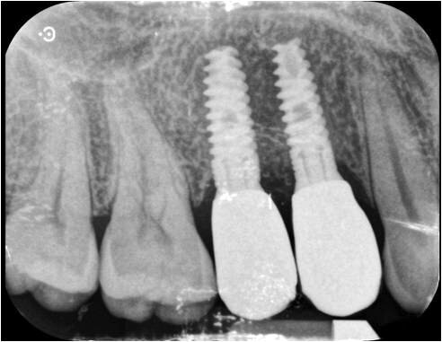
Fig. 12-14_Corone definitive e rx di controllo a due anni dalla chirurgia.
Fig. 12-14_Corone definitive e rx di controllo a due anni dalla chirurgia.
Fig. 12-14_Corone definitive e rx di controllo a due anni dalla chirurgia.
_Conclusioni
La procedura chirurgica bilaminare utilizzata in questo caso è semplice e di rapida esecuzione. Determina un incremento stabile dei tessuti molli e, essendo eseguita contestualmente all’inserimento degli impianti e senza dover far ricorso a prelievi di tessuto dal palato, ne elimina i rischi correlati. Il risultato estetico e l’integrazione tissutale a distanza di due anni dal termine delle procedure chirurgico-protesiche possono essere ritenuti soddisfacenti.
Questa tecnica di incremento tissutale deve essere applicata in casi selezionati e non può sostituire le procedure classiche di rigenerazione ed incremento tissutale, soprattutto in casi di grossi deficit.
Sebbene l’efficacia dell’innesto connettivale (CTG) con tecnica bilaminare per l’incremento della mucosa perimplantare sia indiscutibile, vi sono una serie di complicanze in cui si può incorrere, come ad esempio la formazione di tessuto cicatriziale, l’infezione dell’innesto, la perforazione e necrosi del lembo (formazione di cisti cheratiniche per incompleta rimozione dell’epitelio dal connettivo inserito nel sito ricevente). Aspetti che devono essere tenuti in debita considerazione.
Una quantità sufficiente di tessuto cheratinizzato intorno agli impianti è un fattore essenziale nel mantenimento della stabilità funzionale. L’incremento della mucosa cheratinizzata è anche un fattore chiave nella protezione dell’implantoprotesi dall’azione batterica e favorisce, inoltre, la pratica di una corretta igiene orale domiciliare. Predisporre un’adeguata quantità di tessuti cheratinizzati intorno agli impianti può essere considerato uno dei requisiti fondamentali per il successo a lungo termine delle riabilitazioni implanto-protesiche.
_bibliografia
- Adell R., Lekholm U., Rockler B., Brånemark PI.. A 15-year study of osseointegrated implants in the treatment of the edentulous jaw. Int J Oral Surg 1981 Dec; 10(6):387-416.
- Araujo MG., Lindhe J.. Dimensional ridge alterations following tooth extraction. An experimental study in the dog. J Clin Periodontol 2005;32:212-218.
- Hammerle CH., Araujo MG., Simion M.. Osteology Consensus Group 2011. Evidence-based knowledge on the biology and treatment of extraction sockets. Clin Oral Implants Res 2012;23 Suppl 5:80-82.
- Buser D., Chappuis V., Belser UC., Chen S.. Implant placement post extraction in esthetic single tooth sites: when immediate, when early, when late? Periodontology 2000 2017; Vol.73:84–102.
- Zuhr O., Baumer D., Hürzeler M.. The addition of soft tissue replacement grafts in plastic periodontal and implant surgery: critical elements in design and execution. J Clin Periodontol 2014; 41 (Suppl. 15): S123–S142.
- Hyun Jun Oh., Beom Ik Kim, Hae-Young Kim, In-Sung Yei, Ulf ME Wikesjo. Implant drill characteristics: thermal and mechanical effects of two-, three-, and four-fluted drills. Int J Oral Maxillofac Implants 2017; 32:483-488.
- Araujo MG., Lindhe J.. Ridge alterations following tooth extraction with and without flap elevation: an experimental study in the dog. Clin Oral Implants Res 2009a; 20:545-549.
L'articolo è stato pubblicato su Implants Italian Edition, n. 1 2019.
Tag:
L’inserimento di impianti postestrattivi immediati comporta vantaggi e svantaggi, ma in generale è considerata una terapia chirurgica ...
I piani di trattamenti clinici che prevedono il carico immediato o il posizionamento post-estrattivo immediato dell’impianto, rappresentano una procedura ...
Nella valutazione di elementi dentali irreparabilmente compromessi ci troviamo a dover effettuare delle scelte sul piano di trattamento post-estrattivo1, 2....
Con un avvio a esordio a “carattere anglosassone” – così l’ha definito Ugo Covani – ha aperto puntualmente alle 9:30 di...
Introduzione
La guarigione del sito alveolare post estrattivo è un processo biologico che induce un parziale riassorbimento dell’osso ...
Esiti di malattia parodontale, riassorbimenti interni ed esterni, lesioni cariose non sanabili e fratture sono ancora oggi causa di estrazione di molti ...
La corretta gestione dei tessuti duri e molli per raggiungere l’estetica ideale.
La difficile scelta clinica nel mantenimento di elementi compromessi e la loro eventuale sostituzione con impianti dentali, porta all’individuazione dei ...
L’inserimento immediato degli impianti negli alveoli postestrattivi è una procedura complessa. Il requisito principale è costituito dall’integrità e ...
Nelle aree esteticamente critiche, la scelta del momento del posizionamento dell'impianto immediato, precoce o tardivo, può influenzare il risultato. Nel ...
Live webinar
mer. 22 aprile 2026
17:00 (CET) Rome
MDT Andreas Chatzimpatzakis
Live webinar
mer. 22 aprile 2026
17:00 (CET) Rome
Live webinar
mer. 22 aprile 2026
18:00 (CET) Rome
Live webinar
gio. 23 aprile 2026
17:00 (CET) Rome
Live webinar
gio. 23 aprile 2026
18:30 (CET) Rome
Live webinar
gio. 23 aprile 2026
19:00 (CET) Rome
Live webinar
gio. 30 aprile 2026
1:00 (CET) Rome
Dr. Renato Leonardo D.M.D.
To post a reply please login or register