Suscettibilità e orgoglio professionale spinto sono talvolta cattivi consiglieri, un po’ come l’ira. Meglio forse contare fino a cento, magari anche fino a mille, e lasciar emergere un pizzico di umiltà e di buon senso, prima di prendere atteggiamenti e decisioni che possono incidere dolorosamente sulla tasca. In questo caso, sarebbe stato certamente meglio se l’“imputato” si fosse presentato all’incontro di mediazione, creato apposta per “smussare” certi spigoli.
Nel maggio 2015 un insegnante quarantenne si rivolge ad un odontoiatra per estrarre e sostituire con un impianto l’incisivo laterale superiore di sinistra, 22. In tale occasione scopre la necessità di trattare endodonticamente l’incisivo centrale destro, 11 (l’odontoiatra non ha documentazione a riguardo), trattamento che, nonostante risulti lungo e complesso, viene terminato nel settembre dello stesso anno con piena soddisfazione dell’odontoiatra.
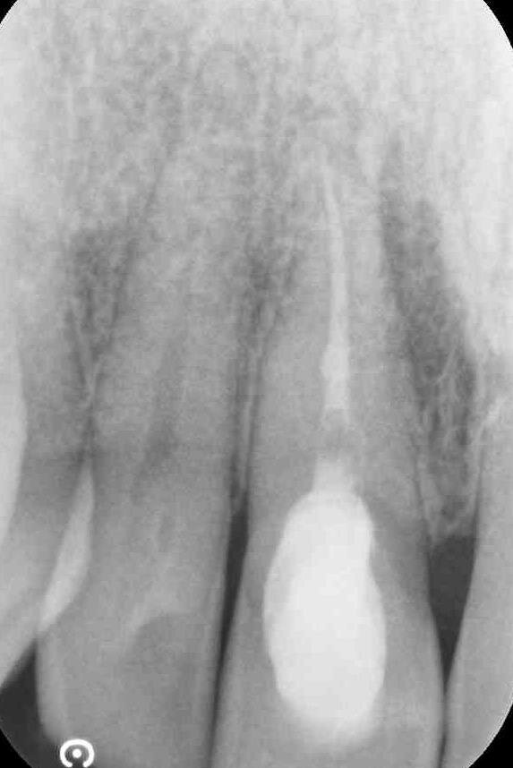
Nei primi mesi del 2016, tuttavia, il paziente perde l’impianto in sede 22, ha fastidio nel settore frontale e nota un “brufolino”, ma per il professionista è tutto a posto. Non convinto, l’insegnante effettua una consulenza da un altro odontoiatra e scopre che il dente 11 ha dei problemi. È compromesso da un processo infettivo cronico (area di rarefazione radiograficamente evidenziabile) con evidenza radiografica e una fistola, prima inesistente. C’è una perforazione iatrogena della radice del dente, con sbuffo di materiale radiopaco nel parodonto.
In parole semplici il paziente scopre che la terapia è stata mal eseguita e ha prodotto un danno (falsa strada). Risulta necessario un secondo intervento ortogrado e retrogrado da parte di uno specialista in endodonzia dal costo di 850 euro. Ai controlli successivi le problematiche rientrano. Il giovane insegnante protesta con il primo odontoiatra, chiede indietro quanto ha speso per il trattamento del dente 11 (ossia 250 euro) e per l’intervento endodontico di recupero del dente, 850 euro, per un totale di 1.100 euro.
Nasce la lite, il professionista sostiene di aver ben adempiuto al suo compito, non si presenta a mediazione. L’insegnante, a fronte del limitato valore del contendere, preferisce non incardinare una causa di merito e tenta un’ATP 696bis (Accertamento Tecnico Preventivo) a scopo conciliativo, ossia un procedimento cautelare dai costi più limitati. Costi che però ci sono e di fatto risultano superiori al valore del contendere (avvocato, consulenza, costi di apertura, CTU etc.).
La consulenza tecnica d’ufficio (CTU) conferma la fondatezza delle richieste dell’insegnante, apprezza l’accuratezza del secondo intervento eseguito e intravede il diritto anche al risarcimento di qualche giorno di invalidità temporanea minima (ITP, invalidità temporanea parziale). A questo punto l’odontoiatra si decide a transare e a chiudere l’incresciosa vicenda. L’accordo prevede la restituzione di parcella (250 euro) spese di ripristino (850), legali e di CTU (2.500 + 1.874,67) che paga in buona parte di tasca propria.
L’assicurazione, infatti, interviene solo per la quota in esubero rispetto ai 2.500 euro di franchigia prevista dalle condizioni di polizza e non copre la restituzione dell’onorario o parcella (contrattuale). Le spese legali di giudizio personali restano a carico dell’odontoiatra in quanto non coperte da specifica polizza.
All’odontoiatra l’errore è costato 7.250 euro (€ 250 + € 2.500 + spese di assistenza tecnica e legale personale € 4.500) cifra più elevata delle iniziali richieste avanzate, ossia 1.100 euro.
Morale della favola: fondamentale per un odontoiatra il dono dell’autocritica, oltre che la capacità di lavorare bene. Utile riconoscere e rimediare all’errore. E magari, chiedere anche scusa!
Tag:
È con piacere che vi vogliamo informare che EthOss Regeneration Ltd. e Isasan hanno raggiunto un accordo per cui è immediatamente disponibile ...
Un annetto fa la telefonata di un collega, Direttore sanitario di un grosso Centro odontoiatrico, mi richiedeva la disponibilità a risolvere un contenzioso...
Ogni crisi sociale, economica, sanitaria impone di trovare nuovi modelli, le aziende sono obbligate a sperimentare nuovi modi di comunicare e di interagire ...
Ogni crisi sociale, economica, sanitaria impone di trovare nuovi modelli, le aziende sono obbligate a sperimentare nuovi modi di comunicare e di interagire ...
Cassazione Penale Sentenza n. 13127/16 – Errore diagnostico – È principio ribadito nella giurisprudenza di questa Corte come, in tema di ...
Minneapolis (Usa) – Sbilenchi, grandi, affollati timidi: i sorrisi sono descritti in molti modi. Tuttavia, come le persone percepiscono ...
Nella Giornata Mondiale del Rifugiato, la FDI World Dental Federation ha presentato un documento politico fondamentale intitolato “Addressing Oral Health ...
Elevate il vostro studio con Dfab, la stampante laser TSLA per restauri protesici policromatici alla poltrona. Offrite ai pazienti precisione senza pari e ...
Belmont nasce nel 1967 in Giappone come divisione dentale del gruppo giapponese Takara Belmont, fondato a sua volta nel 1921 è tra i leader mondiali nelle ...
Ted Dreifuss è stato il vice presidente del reparto Sales, Marketing and New Product Development dell’Henry Schein dal 2013. Attualmente ...
Live webinar
gio. 7 maggio 2026
2:00 (CET) Rome
Ms. Ellen Karlin, Dr. Sara Karlin
Live webinar
gio. 7 maggio 2026
17:00 (CET) Rome
Live webinar
gio. 7 maggio 2026
18:00 (CET) Rome
Live webinar
gio. 7 maggio 2026
18:00 (CET) Rome
Dra. Maria Carolina Erhardt, Dra. Thais Tomé Feldens
Live webinar
gio. 7 maggio 2026
20:30 (CET) Rome
Live webinar
lun. 11 maggio 2026
18:00 (CET) Rome
Live webinar
lun. 11 maggio 2026
19:00 (CET) Rome
To post a reply please login or register