Gestione dei tessuti molli peri-implantari nei post-estrattivi a carico immediato con viti di guarigione digitalmente customizzate, matrice in collagene e gel a base di Polinucleotidi e Acido Ialuronico. Case report.
Introduzione
L’inserimento immediato dell’impianto si presenta come una soluzione predicibile per la sostituzione di un dente1, 2, evidenziando diversi vantaggi sia nelle riabilitazioni singole che multiple. Questo approccio terapeutico, oltre a ridurre i tempi di trattamento, i costi e il trauma chirurgico3, richiede determinate caratteristiche iniziali dei tessuti molli e duri per garantire un risultato estetico e funzionale di successo4, 5.
La letteratura indica che il protocollo di inserimento immediato degli impianti non è in grado di prevenire completamente il rimodellamento dei tessuti molli e duri, sia in senso verticale che orizzontale6. Nel corso degli anni, sono state sviluppate varie tecniche chirurgiche e protesiche per prevenire potenziali complicazioni future dell’inserimento immediato dell’impianto7. Procedure come l’approccio chirurgico atraumatico flapless e il posizionamento palatale dell‘impianto8, il riempimento dello spazio tra l’impianto e le pareti ossee con minerale osseo bovino deproteinizzato (DBBM)9, l’impiego di viti di guarigione customizzate10 e l’applicazione di un innesto di tessuto connettivo autologo11, 12 sembrano contrastare la contrazione nell’area peri-implantare. In alternativa agli innesti di tessuto autologo, sono state valutate anche matrici in collagene xenogenico, dimostrando risultati comparabili13.
Sono stati condotti diversi studi per valutare l’efficacia delle viti di guarigione customizzate, al fine di identificare i vantaggi associati a questa modalità di trattamento14-17. L’impiego di una tecnica CAD/CAM per la produzione di viti di guarigione in polimetilmetacrilato (PMMA) su misura mira a replicare con precisione i contorni dell’area del terzo cervicale, preservando i tessuti molli durante il processo di osteointegrazione e la guarigione della mucosa peri-implantare. Inoltre, questa procedura sembra garantire risultati predicibili, riducendo il numero di interventi chirurgici, il disagio post-operatorio, la morbilità associata all’approccio open-flap e la durata complessiva del trattamento18. Questo case report descrive l’utilizzo di una metodica digitale per creare una vite di guarigione customizzata con l’aggiunta di matrice in collagene volumetricamente stabile, imbibita di gel a base di polinucleotidi e acido ialuronico, a sigillare e a favorire la creazione di tessuto cheratinizzato, per mantenere l’architettura rosa attorno all’impianto immediato.
Materiali e metodi
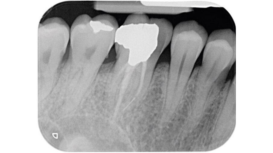
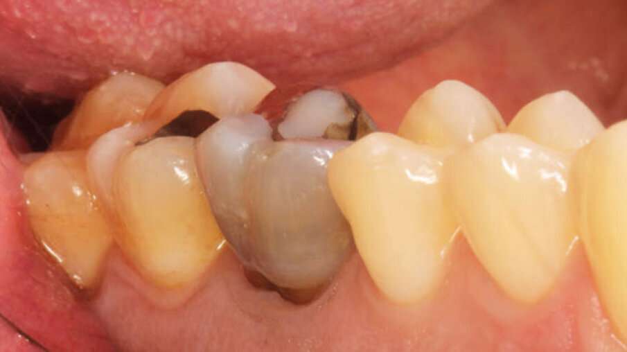
Un paziente maschio (ASA I), senza patologie croniche sistemiche e non fumatore, è stato sottoposto all’estrazione dell’elemento 16 a seguito del fallimento di terapie endodontiche e dell’impossibilità di eseguire un restauro coronale (Figg. 1a, 1b). Nella selezione del paziente sono stati criteri di esclusione: pregressa radioterapia nel distretto testa/collo, assunzione di farmaci che possano indurre ONJ, disordini ematici coagulativi, bruxismo, scarsa igiene orale domiciliare, occlusione instabile, carie non trattate, malattia parodontale non controllata, denti adiacenti a quelli da estrarre con mobilità di grado I o superiore, aspettative di risultato irreali, impossibilità o non propensi a tornare ai controlli di routine e di follow-up. La situazione dei tessuti è stata valutata pre-operatoriamente tramite radiografia periapicala (Fig. 1c) (VistaScan Mini Plus, Dürr Dental). Tramite la CBCT pre-operatoria è stato possibile fare una programmazione implantare. Sulla base dell’anatomia coronale è stata definita la posizione implantare (OnDemand3D, Cybermed), da questa analisi sono stati decisi anche il diametro e la lunghezza dell’impianto.
Fig. 1a - Foto iniziale occlusale.
Fig. 1b - Foto iniziale vestibolare.
Fig. 1c - Radiografia con cura canalare non ritrattabile, strumento rotto e probabile frattura verticale con sintomatologia da parte del paziente.
Procedura chirurgica
Nei 3 mesi antecedenti l’intervento, il paziente ha eseguito una seduta di igiene orale professionale, accompagnata da istruzioni dettagliate sulle corrette pratiche di igiene orale domiciliare, sia quotidiana che post-operatoria. Gli sono stati consegnati i presidi per l’igiene orale domiciliare (Filari Gel-Orale e Filari Siero-orale) con le indicazioni sulla modalità e frequenza di utilizzo. Nelle 2 settimane prima dell’intervento, è stata eseguita un’ulteriore sessione di igiene orale professionale per valutare la compliance del paziente con l’igiene domiciliare e per confermare l’assenza di infiammazioni gengivali. È stato prescritto 1 grammo di amoxicillina da assumere un’ora prima dell’intervento chirurgico, seguito da un trattamento antibiotico continuativo per 6 giorni, con una dose di 1 grammo ogni 12 ore. Prima dell’anestesia, il paziente ha eseguito uno sciacquo orale con un collutorio specifico (Filari siero-orale, Valdobbiadene, Italia) per un minuto (Fig. 2). Gli sciacqui, con lo stesso collutorio, sono stati eseguiti per 5 giorni con la posologia di uno sciacquo ogni 12 ore. Prima della rimozione del dente è stata eseguita un’impronta intraoperatoria dell’elemento da estrarre, dei denti contigui, dell’emiarcata antagonista e della loro intercuspidazione (iTero, Align Technology).
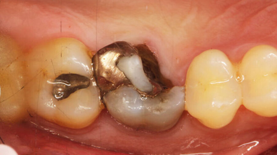
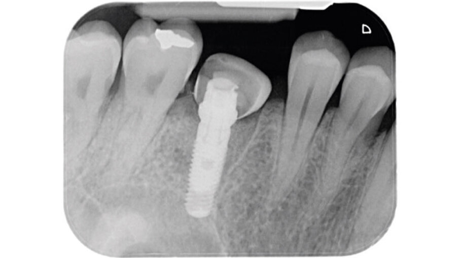
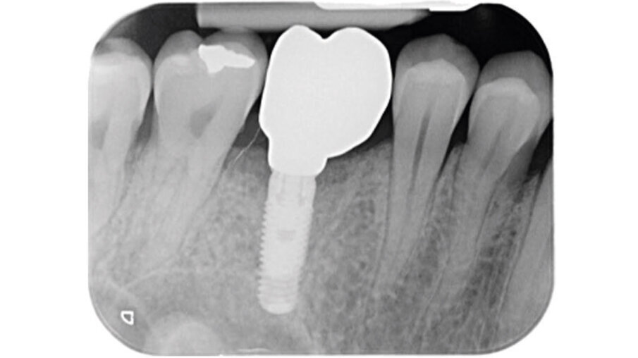
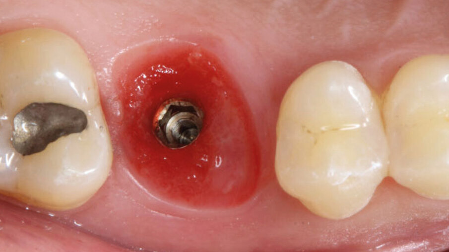
Dopo l’esecuzione dell’anestesia locale, il dente è stato rimosso e l’alveolo pulito dai residui del legamento parodontale. È stato inserito l’impianto (Zimmer TSV, Zimmer, Parsippany) 4.1 x 11,5 TSVM posizionato seguendo il protocollo consigliato dal produttore (Fig. 3). L’impianto è stato inserito a livello della cresta alveolare. È stato avvitato lo scan-abutment (Zfx Intrascan Matchholder, Zfx,). È stata rilevata un’impronta ottica intra-operatoria dell’emiarcata in cui è stato posizionato l’impianto con lo scan abutment (Fig. 3). Il gap tra l’osso vestibolare e l’impianto è stato riempito con Bio-Oss (Geistlich Pharma) (Fig. 4). Al termine della chirurgia è stato progettato e fresato il provvisorio, che è stato applicato appena pronto, dopo aver inserito la matrice in collagene volumetricamente stabile Fibro-Gide (Geistlich Pharma) precedentemente imbibita con il gel a base di polinucleotidi e acido ialuronico Regenfast (Officine Bio-Farmaceutiche Mastelli), al di sotto della vite stessa (Figg. 5, 6). Data l’accuratezza della vite non sono state necessarie suture. Al termine della procedura è stata eseguita una radiografia di controllo (Fig. 7).
Fig. 3 - Scansione intra-chirurgica con scanbody.
Fig. 4 - Inserimento implantare con zappatura del gap con Bio-Oss.
Fig. 5 - Applicazione del gel Regenfast sulla matrice Fibro-Gide per imbibirla.
Fig. 6 - Vite customizzata in situ con interposta la matrice in collagene Fibro-Gide, precedentemente imbibita di gel Regenfast.
Fig. 7 - Radiografia di controllo dopo il posizionamento della vite di guarigione customizzata.
Vite di guarigione customizzata
La vite di guarigione è stata costruita con tecnica CAM mediante fresatore 5X a partire da un blocchetto riempito di Polimetilmetacrilato (PMMA), con residuo di monomero inferiore allo 0,02%. La progettazione CAD è stata fatta con apposito software exocad (Figg. 8a-8c). L’impronta pre-operatoria e intra-operatoria sono state confrontate per ottenere il progetto della vite. L’impronta pre-operatoria del dente da estrarre è stata utilizzata come base per la forma del provvisorio. L’unica modifica apportata è stata quella di abbassare il piano occlusale in modo che la vite non interferisse con i carichi. L’impronta intra-operatoria invece è stata usata per ottenere la corretta posizione dell’impianto.
Figg. 8a-8c - Progettazione CAD della vite di guarigione customizzata.
Figg. 8a-8c - Progettazione CAD della vite di guarigione customizzata.
Figg. 8a-8c - Progettazione CAD della vite di guarigione customizzata.
Corona definitiva
Dopo 3 mesi (Fig. 9) dall’inserimento del provvisorio è stata inserita la corona definitiva in zirconia. Per la sua realizzazione è stata utilizzata la scansione del dente prima dell’estrazione, ed è stata eseguita una scansione del tunnel mucoso guarito con iTero (Align Technology) (Figg. 9, 10). Dopo 2 anni i tessuti molli peri-implantari appaiono ben rappresentati e la radiografia evidenzia la stabilità dei tessuti duri (Figg. 11-13).
Fig. 9 - Guarigione a 3 mesi.
Fig. 10 - Scansione definitiva del tunnel transmucoso.
Fig. 11 - Foto controllo (vista vestibolare) a 2 anni.
Fig. 12 - Radiografia di controllo a 2 anni.
Fig. 13 - Foto controllo (vista occlusale) a 2 anni.
Discussione
Il seguente caso clinico mostra come la simultanea stabilizzazione del sito osseo e il riempimento del gap esistente con Bio-Oss, permette il mantenimento dei volumi orizzontali e verticali del sito9. La velocità e la comodità di eseguire una vite di guarigione customizzata, consente di migliorare il sigillo del perimetro mucoso e preservare la morfologia e il volume pre-esistenti. Sebbene l’impiego di viti di guarigione non anatomiche, ma di diametro maggiore, possa garantire un sigillo maggiore rispetto alle classiche viti di guarigione presenti in commercio, queste non permetterebbero di riprodurre esattamente i confini del sito come una vite di guarigione customizzata, ottenuta con metodica analogica e/o digitale19. La digitalizzazione consente una sostanziale riduzione dei tempi di esecuzione e una maggior personalizzazione del manufatto ottenuto, riproducendo al meglio la situazione esistente e riducendo al minimo il numero di interventi necessari, come avvitamenti e svitamenti durante le fasi di prova, per garantire il successo dell’impianto20.
Utilizzando questa metodica, abbiamo ottenuto una guida per la maturazione dei tessuti molli, al fine di preparare la sede per l’inserimento della corona definitiva in una morfologia che non richiede ulteriori interventi o modifiche con protesi provvisorie o altri metodi. L’applicazione della matrice in collagene Fibro-Gide, precedentemente imbibita con il gel a base di polinucleotidi e acido ialuronico Regenfast, ha migliorato le fasi di guarigione, permettendo la formazione di una notevole quota di gengiva cheratinizzata perimplantare che fornisce un sicuro sigillo per difendersi dall’infiltrazione batterica. Regenfast è stato impiegato con l’obiettivo di potenziare e ottimizzare i processi rigenerativi. Recenti studi hanno evidenziato che i polinucleotidi, in sinergia con l’acido ialuronico, favoriscono la guarigione delle ferite21, la rigenerazione dei difetti ossei alveolari orizzontali22 e il trattamento delle tasche residue associate ai difetti infraossei23. La fase CAD gestisce la programmazione del pezzo, agendo sul profilo di emergenza per gestire la variazione dei tessuti molli. Conseguentemente, bisogna stimare un intervallo di produzione, che varia dai 45 ai 60 minuti a seconda del tipo di stampante e del materiale utilizzato.
Conclusioni
Questo caso è stato il primo di una serie che ha determinato un nuovo flusso di lavoro estetico e funzionale, realizzato in un numero di casi selezionati. Nei limiti di un singolo caso clinico, l’approccio digitale al flusso di lavoro, per la creazione di una vite digitale customizzata, risulta essere affidabile e accurato, velocizzando e migliorando il comfort sia del paziente che del clinico. In conclusione, l’utilizzo della vite di guarigione customizzata e l’applicazione combinata di Bio-Oss per colmare il gap impianto-osso, insieme alla matrice in collagene Fibro-Gide e al gel Regenfast, rappresenta un approccio promettente per mantenere i volumi dei tessuti duri e molli, aspetto essenziale per garantire la stabilità del risultato nel tempo.
Bibliografia
- Ortega-Martínez, J., Pérez-Pascual, T., Mareque-Bueno, S., Hernández- Alfaro, F., & Ferrés-Padró, E. (2012). Immediate implants following tooth extraction. A systematic review. Medicina Oral, Patología Oral y Cirugía Bucal, 17, e251–e261. https://doi.org/10.4317/medor al.17469
- Vignoletti, F., & Sanz, M. (2014). Immediate implants at fresh extraction sockets: From myth to reality. Periodontology 2000, 66, 132–152. https://doi.org/10.1111/prd.12044
- Noelken, R., Moergel, M., Kunkel, M., & Wagner, W. (2018). Immediate and flapless implant insertion and provisionalization using autoge- nous bone grafts in the esthetic zone: 5-year results. Clinical Oral Implants Research, 29, 320–327. https://doi.org/10.1111/clr.13119
- Moraschini, V., Velloso, G., Luz, D., & Barboza, E. P. (2015). Implant survival rates, marginal bone level changes, and complications in full-mouth rehabilitation with flapless computer-guided surgery: A systematic review and meta-analysis. International Journal of Oral and Maxillofacial Surgery, 44, 892–901. https://doi.org/10.1016/j. ijom.2015.02.013
- Pieralli, S., Kohal, R. J., Rabel, K., von Stein-Lausnitz, M., Vach, K., & Spies, B. C. (2018). Clinical outcomes of partial and full-arch all-ceramic implant-supported fixed dental prostheses. A systematic review and meta-analysis. Clinical Oral Implants Research, 29, 224–236.
- Buser, D., Chappuis, V., Belser, U. C., & Chen, S. (2017). Implant place- ment post extraction in esthetic single tooth sites: When immedi- ate, when early, when late? Periodontology, 73, 84–102. https://doi. org/10.1111/prd.12170
- Blanco, J., Carral, C., Argibay, O., & Liñares, A. (2019). Implant place- ment in fresh extraction sockets. Periodontology 2000, 79, 151–167. https://doi.org/10.1111/prd.12253
- Raes, F., Cosyn, J., Crommelinck, E., Coessens, P., & De Bruyn, H. (2011). Immediate and conventional single implant treatment in the ante- rior maxilla: 1-year results of a case series on hard and soft tissue response and aesthetics. Journal of Clinical Periodontology, 38, 385– 394. https://doi.org/10.1111/j.1600-051X.2010.01687.x
- Zaki, J., Yusuf, N., El-Khadem, A., Scholten, R., & Jenniskens, K. (2021). Efficacy of bone-substitute materials use in immediate dental implant placement: A systematic review and meta-analysis. Clinical Implant Dentistry and Related Research, 23, 506–519. https://doi. org/10.1111/cid.13014
- Fernandes, D., Nunes, S., López-Castro, G., Marques, T., Montero, J., & Borges, T. (2021). Effect of customized healing abutments on the peri-implant linear and volumetric tissue changes at maxillary im- mediate implant sites: A 1-year prospective randomized clinical trial. Clinical Implant Dentistry and Related Research, 23, 745–757. https://doi.org/10.1111/cid.13044
- Seyssens, L., De Lat, L., & Cosyn, J. (2021). Immediate implant placement with or without connective tissue graft: A systematic review and meta-analysis. Journal of Clinical Periodontology, 48, 284–301. https://doi.org/10.1111/jcpe.13397
- Raghoebar, G. M., Korfage, A., Meijer, H., Gareb, B., Vissink, A., & Delli, K. (2021). Linear and profilometric changes of the mucosa following soft tissue augmentation in the zone of aesthetic priority: A systematic review and meta-analysis. Clinical Oral Implants Research, 32, 138–156. https://doi.org/10.1111/clr.13759
- De Angelis P, Manicone PF, Gasparini G, De Angelis S, Liguori MG, De Filippis I, D’Addona A. Influence of Immediate Implant Placement and Provisionalization with or without Soft Tissue Augmentation on Hard and Soft Tissues in the Esthetic Zone: A One-Year Retrospective Study. Biomed Res Int. 2021 Jan 5;2021:8822804. doi: 10.1155/2021/8822804.
- Joda T, Ferrari M, Braegger U. A digital approach for one-step formation of the supra-implant emergence profile with an individualized CAD/CAM healing abutment. J Prosthodont Res. 2016;60(3):220-223. https://doi.org/10.1016/j.jpor.2016.01.005
- Finelle G, Lee SJ. Guided immediate implant placement with wound closure by computer-aided design/computer-assisted manufacture sealing socket abutment: case report. Int J Oral Maxillofac Implants. 2017;32(2):e63-e67. https://doi.org/10.11607/jomi.4770
- Mihali SG, Freiman PC, Bratu EA. Maintaining tissue architecture in immediate implant placement following extraction of natural teeth using custom healing screw. Biomed J Sci Tech Res. 2018;7(5):1-6. https://doi.org/10.26717/BJSTR.2018.07.001554
- Ruales-Carrera E, Pauletto P, Apaza-Bedoya K, Volpato C, Özcan M, Benfatti C. Peri-implant tissue management after immediate implant placement using a customized healing abutment. J Esthet Restor Dent. 2019;31(6):533-541. https://doi.org/10.1111/jerd.12512
- Menchini-Fabris GB, Crespi R, Toti P, Crespi G, Rubino L, Covani U. A 3-year retrospective study of fresh socket implants: CAD/CAM customized healing abutment vs cover screws. Int J Comput Dent. 2020; 23(2):109-117
- Sarnachiaro GO, Chu SJ, Sarnachiaro E, Gotta SL, Tarnow DP. Immediate Implant Placement into Extraction Sockets with Labial Plate Dehiscence Defects: A Clinical Case Series.Clin Implant Dent Relat Res. 2016 Aug;18(4):821-9. doi: 10.1111/cid.12347. Epub 2015 Apr 27.
- Abrahamsson I, Berglundh T, Lindhe J.The mucosal barrier following abutment dis/reconnection. An experimental study in dogs.J Clin Periodontol. 1997 Aug;24(8):568-72.
- Colangelo, M. T., Belletti, S., Govoni, P., Guizzardi, S. & Galli, C. A Biomimetic Polynucleotides–Hyaluronic Acid Hydrogel Promotes Wound Healing in a Primary Gingival Fibroblast Model. Appl Sci 11, 4405 (2021).
- Beretta M, Manfredini M, Dellavia CPB, Pellegrini G, Maiorana C, Poli PP. Xenograft Combined with a Mixture of Polynucleotides and Hyaluronic Acid (PNs-HA) for Horizontal Alveolar Bone Regeneration: Clinical and Histologic Assessments in a Case Series. Int J Periodontics Restorative Dent. 2024 Feb 16;0(0):1-23. doi: 10.11607/prd.7042
- Cairo F, Cavalcanti R, Barbato L, Nieri M, Castelluzzo W, di Martino M, Pilloni A. Polynucleotides and Hyaluronic Acid (PN-HA) Mixture With or Without Deproteinized Bovine Bone Mineral as a Novel Approach for the Treatment of Deep Infra-Bony Defects: A Retrospective Case-Series. Int J Periodontics Restorative Dent. 2024 Feb 16;0(0):1-24. doi: 10.11607/prd.7065.
L'articolo è stato pubblicato su CAD/CAM international magazine of digital dentistry Italian Edition n. 1/24.
Gestione dei tessuti molli peri-implantari nei post-estrattivi a carico immediato con viti di guarigione digitalmente customizzate, matrice in collagene e ...
Ivoclar Digital, è il nome di un nuovo e forte marchio sviluppato da Ivoclar Vivadent. Questo marchio rappresenta un partner in ambito digitale, ...
Ivoclar Digital, è il nome di un nuovo e forte marchio sviluppato da Ivoclar Vivadent. Questo marchio rappresenta un partner in ambito digitale, ...
SALONICCO, Grecia: Con la diffusione sempre più ampia dei flussi di lavoro digitali nell’odontoiatria restaurativa, l’accuratezza degli scanner ...
Neoss celebra 25 anni di attività all’insegna della Intelligent Simplicity, il principio che ha guidato l’Azienda in ogni innovazione: creare soluzioni...
SprintRay, presente come espositore a Expodental Meeting, continua a ridefinire i confini dell’innovazione in odontoiatria, introducendo una gamma di ...
Introduzione
L’elevazione del seno mascellare con approccio laterale è una tecnica chirurgica con molta evidenza nella letteratura scientifica ...
Dopo esattamente un anno torna puntale l'appuntamento con l'aggiornamento professionale proposto da Phibo. Il clima dell'Expo, di confronto e innovazione, ...
Una serie di nuove funzionalità consente ai pazienti di visualizzare in modo completo le proprie condizioni di salute orale e il potenziale futuro sorriso ...
Dopo esattamente un anno torna puntale l'appuntamento con l'aggiornamento professionale proposto da Phibo®. Il clima dell'Expo, di confronto e ...
Live webinar
mer. 15 aprile 2026
20:00 (CET) Rome
Live webinar
gio. 16 aprile 2026
2:00 (CET) Rome
Linda Hecker MS, BSDH, RDH
Live webinar
gio. 16 aprile 2026
18:00 (CET) Rome
Dr. Pär-Olov Östman, Dr. Robert Gottlander DDS
Live webinar
ven. 17 aprile 2026
18:00 (CET) Rome
Live webinar
ven. 17 aprile 2026
19:00 (CET) Rome
Dr. Stuart Yeaton BDentSc, MOrth
Live webinar
lun. 20 aprile 2026
19:00 (CET) Rome
Dr. Alberto Monje DDS, MS, PhD
Live webinar
mer. 22 aprile 2026
17:00 (CET) Rome
MDT Andreas Chatzimpatzakis
To post a reply please login or register