Come ogni Congresso anche quello della Sisio, VII Edizione che si è aperto oggi 7 maggio a Genova e che durerà fino al 9 si fregia di un leitmotiv qualificante “La gestione perimplantare degli impianti”, in inglese “The hygienic management of implant patient”.
Basterà infatti un dato ufficiale per dare le dimensioni del problema “manutenzione” come affiora dall’ultimo Consensus Report European del 2008 da cui emerge che le percentuali di mucositi e perimplantiti dei siti implantari sono elevate, rispettivamente il 50% e 12-40% dopo 5-10 anni. Quindi anche le tecniche di recupero dei danni perimplantari necessitano di una valutazione attenta e responsabile dal punto di vista diagnostico e terapeutico.
Ne deriva che anche gli Igienisti Dentali sono sempre più coinvolti in questo “buon mantenimento” dell’unità biologica perimplantare e delle strutture protesiche annesse e necessitano di conseguenza di un aggiornamento continuo per mantenerle al meglio senza danneggiarle. Con il Congresso pertanto la Sisio vuole dare una visione prospettica attuale e futura delle varie problematiche che ruotano intorno al mantenimento implantare mirando ad un approccio operativo-preventivo responsabile per chi, sottolinea una nota di presentazione, dell’igienista dentale fa una professione e non solo un mestiere.
“Società volta all’accrescimento culturale” come la definisce la sua attuale presidente Consuelo Sanavia, con questo congresso la Sisio del resto non fa che riaffermare quella che è una sua vocazione statutaria originale: proporre a tutti coloro che vogliono condividere la passione per “l’igiene orale”, di partecipare attivamente ai lavori di ricerca per creare protocolli clinici aggiornati ed in linea con i cambiamenti della società e delle tecnologie.
All’appello “ideale” lanciato dalla Sisio con il Congresso hanno risposto nomi noti e relatori di vaglia (Mario Bosco, Silvia Cotellessa, Fabio Currarino, Renato Custurone, Giulia Fantozzi, Annamaria Genovesi, Alessia Iommiello, Chiara Lorenzi, Maria Menini, Lorenzo Messeri, Gianna Maria Nardi, Paolo Pera, Elisabetta Polizzi, Silvia Sabatini, Consuelo Sanavia, Susan Wingrove e Paola Zunino
Nel corso della giornata di studio sugli impianti post-estrattivi, svoltasi sabato 30 novembre al Museo dell’Automobile di Torino, coordinata da Mario...
Con questo articolo desidero mostrare un caso clinico di gestione dei tessuti molli periimplantari mediante l’associazione di matrice in collagene ...
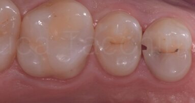
Presentiamo un caso report realizzato dal dott. Luca Tacchini inerente alla gestione del punto di contatto nelle II classi.
L’agenesia è la più frequente tra le anomalie dentarie che l’ortodontista o l’odontoiatra multispecialista si trova a dover fronteggiare1, 2.
Le ...
A Portonovo di Ancona, nella cornice del Golfo del Conero si è tenuto dal 7 al 9 maggio il WINSIXDAY, congresso promosso dall'azienda BioSAF IN. Il ...
Da un punto di vista estetico, un impianto malposizionato specialmente nella regione anteriore, porta inevitabilmente alla realizzazione di un lavoro ...
La Sisio è lieta di annunciare che il VI Congresso si terrà nella città di Verona il 16 e 17 maggio 2014 e sarà intitolato ...
L’implantologia orale sta rapidamente entrando in una nuova fase influenzata sia da mutamenti socio-economici sia da fattori biologici e biomeccanici....
Strutture disponibili, personale sufficiente, liste d'attesa accettabili: quando si parla di trattamenti medici su pazienti disabili o non collaborativi, ...
Oggi parliamo di overdenture. Negli ultimi anni in ambito odontoiatrico sta cambiando la consapevolezza degli addetti ai lavori nei confronti del ...
Live webinar
gio. 2 aprile 2026
18:00 (CET) Rome
Live webinar
mer. 8 aprile 2026
19:00 (CET) Rome
Live webinar
gio. 9 aprile 2026
19:00 (CET) Rome
Live webinar
gio. 9 aprile 2026
20:00 (CET) Rome
Prof. Moritz Kebschull, Cat Edney
Live webinar
ven. 10 aprile 2026
16:00 (CET) Rome
Live webinar
ven. 10 aprile 2026
17:00 (CET) Rome
Dr. med. dent. Henrik-Christian Carl Hollay
Live webinar
ven. 10 aprile 2026
18:00 (CET) Rome
Prof. Dr. Ali Murat Kökat
To post a reply please login or register