Il Prof. Myron Nevins intervistato in esclusiva dalla redazione del Dental Tribune Italia, illustra le ultime novità nel campo della chirurgia parodontale ed implantare
Segui la video intervista realizzata a Myron Nevins, D.D.S. è l’Editor dell’International Journal of Periodontics & Restorative Dentistry e Professore Associato presso la Clinica di Parodontologia della Harvard School of Dental Medicine.
embedVideo("Mediathek_3_446",446, "small");
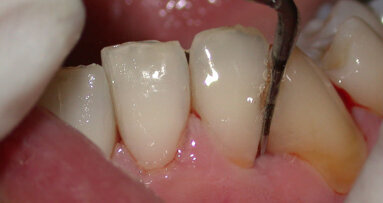
Paziente di sesso femminile, 30 anni, non fumatrice, con anamnesi sistemica silente, assenza di allergie a farmaci e sostanze alimentari, familiarità ...
Tra gli innumerevoli riconoscimenti attribuitigli durante la carriera, forse quello più prestigioso assegnato a Myron Nevins, professore di ...
L’evoluzione nelle conoscenze sul microbiota e sulle problematiche orali ha cambiato radicalmente i piani di trattamento nelle varie tipologie di ...
LIPSIA, Germania: Le tecnologie robotiche computer assistite stanno cominciando a trasformare la chirurgia implantare dentale, sebbene il loro utilizzo ...
Conseguentemente all’aumento della prospettiva di vita, gli studi odontoiatrici si trovano oggi ad accogliere un numero crescente di pazienti ...
Conseguentemente all’aumento della prospettiva di vita, gli studi odontoiatrici si trovano oggi ad accogliere un numero crescente di pazienti ...
Un percorso lungo e ordinato quello del Prof. Guglielmo Ramieri, durante il quale ha acquisito competenze scientifiche e didattiche, abilità chirurgiche ...
Il prossimo 19 Maggio 2016 avrà inizio la quarta edizione del corso di Continuing Dental Education tenuto dal Dr. Luca Briccoli con una proposta ...
Il Centro Corsi ProEd di Torino ospiterà anche nel 2015 il consolidato percorso formativo teorico-pratico “La terapia parodontale: Chirurgia ...
Così il direttore dell’Istituto Stomatologico Toscano, Ugo Covani in un’intervista effettuata durante la V edizione del Congresso svoltosi a Viareggio ...
Live webinar
gio. 7 maggio 2026
2:00 (CET) Rome
Ms. Ellen Karlin, Dr. Sara Karlin
Live webinar
gio. 7 maggio 2026
17:00 (CET) Rome
Live webinar
gio. 7 maggio 2026
18:00 (CET) Rome
Live webinar
gio. 7 maggio 2026
18:00 (CET) Rome
Dra. Maria Carolina Erhardt, Dra. Thais Tomé Feldens
Live webinar
gio. 7 maggio 2026
20:30 (CET) Rome
Live webinar
lun. 11 maggio 2026
18:00 (CET) Rome
Live webinar
lun. 11 maggio 2026
19:00 (CET) Rome
To post a reply please login or register