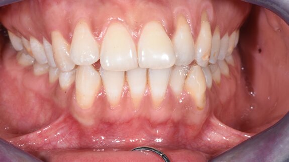
HANOI, Vietnam: I metodi tradizionali per il fissaggio dei bottoni ausiliari nella terapia con allineatori riducono i significativi benefici clinici per la trazione elastica in casi che richiedono forze più intense o complesse. Tra gli svantaggi si segnalano il distacco occasionale, l’aumento del tempo alla poltrona e la riduzione della traslucenza dell’allineatore quando sono visibili i margini di resina. Un recente rapporto tecnico descrive una nuova tecnica di incorporamento termico che mira a eliminare queste limitazioni.
Il rapporto, a firma del dottor Viet Anh Nguyen, ricercatore presso la Facoltà di Odontoiatria dell’Università Phenikaa di Hanoi, presenta un protocollo clinico che utilizza l’ammorbidimento termico e l’ingaggio meccanico per incorporare gli ausiliari direttamente negli allineatori, anziché attaccare i bottoni ai denti, come avviene solitamente. Trasmettendo calore al polimero dell’allineatore tramite i bottoni in acciaio inox, l’ammorbidimento localizzato consente alla flangia del bottone di affondare parzialmente nel polimero. Al raffreddamento, il polimero si solidifica nuovamente avvolgendo e bloccando meccanicamente l’ausiliare, ottenendo così un legame privo di adesivi.
Il dottor Nguyen afferma che le osservazioni cliniche hanno confermato l’ingaggio meccanico senza distacchi sotto forze standard, indicando che si raggiunge la resistenza di legame desiderata. Le principali indicazioni per la tecnica sono i casi che richiedono trazione elastica immediata, tra cui il trattamento della malocclusione di Classe III e l’esposizione di canini inclusi, oltre che come soluzione di riserva in situazioni in cui i tagli di precisione non sono disponibili. La tecnica non è raccomandata per l’uso con materiali a bassa resistenza termica.
Il rapporto conclude che, sebbene siano necessari ulteriori studi per convalidare la tecnica, la sua efficacia meccanica è stata dimostrata. Il dottor Nguyen ha spiegato a Dental Tribune International: «Nella pratica ortodontica quotidiana, la ritenzione si è dimostrata affidabile durante il normale intervallo di utilizzo degli allineatori. Poiché la maggior parte delle mascherine viene sostituita ogni una o due settimane, l’attacco deve durare solo per un breve periodo. Anche nei casi in cui un singolo bottone deve rimanere sulla stessa mascherina per molte settimane, come nei dispositivi di contenzione, abbiamo riscontrato che il metodo funziona efficacemente».
Ha inoltre spiegato i benefici della tecnica in termini di efficienza clinica e i vantaggi estetici per la terapia con allineatori. «Dal punto di vista clinico, il fissaggio senza adesivi semplifica la visita: non è necessario utilizzare primer né polimerizzazione, quindi la preparazione è più rapida. Inoltre, riduce i costi perché i clinici non devono più tenere a magazzino primer e adesivi per il bonding. Dopo un semplice addestramento, un assistente dentale formato può eseguire la procedura sotto adeguata supervisione - nel rispetto delle normative locali - il che contribuisce a standardizzare il flusso di lavoro e a liberare tempo per il dentista».
Il rapporto, intitolato «Adhesiveless bonding of metal buttons to clear aligners: A technical report», è stato pubblicato online il 28 luglio 2025 sulla rivista Cureus Journal of Medical Science.
Tag:
L’Organizzazione mondiale della Sanità definisce il dolore come «un’esperienza sensoriale ed emozionale spiacevole associata a ...
La perdita di tessuto osseo di sostegno rappresenta un segno caratteristico della malattia parodontale. Molti fattori legati al paziente, al dente e al sito...
Corone anteriori in ceramica integrale (disilicato di litio IPS e.max Press) applicate con Monobond Etch & Prime.
È noto che il cavo orale dei bambini alla nascita è sterile e che, successivamente, acquisisce dall’ambiente i microrganismi del sistema...
Il 24 e 25 novembre si terrà a Firenze, presso il Palazzo della Camera di Commerci, il 10° Congresso della SIALIGN . Per anticipare ai lettori le ...
UN PARERE CRISTALLINO DELLA COMMISSIONE DEONTOLOGICA DI OMCEO UDINE
«Per la prima volta l’Antitrust anziché gli Ordini professionali mette nel mirino i...
Giovedì 27 marzo a Curno, nei locali della Nordental, la Rhein83 ha organizzato una conferenza dal titolo “Un mondo senza denti“. I ...
San Francisco ‒ Un approccio a vari livelli che includa una valutazione del rischio di carie, misure preventive energiche e restauri conservativi può ...
Risalgono al lontano 1985 gli approfondimenti di Bruno Fornengo, medico dentista già professore associato all’Università di Torino e dal...
TAMPERE, Finlandia: La relazione di lunga data tra i batteri orali e le malattie sistemiche ha assunto un nuovo significato grazie ai recenti progressi ...
Deepak Simkhada RDHT, BSc, MSc, PGCE, FSET, Cat Edney
Live webinar
lun. 15 dicembre 2025
11:30 (CET) Rome
Live webinar
lun. 15 dicembre 2025
20:00 (CET) Rome
Dr. Andrew Ip, Przemek Seweryniak
Live webinar
lun. 15 dicembre 2025
23:00 (CET) Rome
Live webinar
mer. 17 dicembre 2025
12:00 (CET) Rome
Dr. Piet Haers Oral and Maxillofacial Surgeon
Live webinar
mer. 17 dicembre 2025
15:00 (CET) Rome
Prof. Hani Ounsi DDS PhD FICD, Dr. Amr Ghanem
To post a reply please login or register