Il 2024 è stato un periodo intenso ed entusiasmante per l’industria dell’odontoiatria digitale: quest’anno sono stati rilasciati molti nuovi prodotti ogni tre o quattro settimane. Due lanci in particolare hanno catturato l’attenzione: iTero Lumina, l’ultimo scanner intraorale (IOS) di Align Technology, successore iTero Element 5D, e Medit i900, lo scanner Medit di fascia più alta e uno degli IOS più leggeri sul mercato.
All'Institute of Digital Dentistry abbiamo la fortuna di poter testare tutti i nostri scanner intraorali su casi reali e pazienti veri in ambiente clinico. In questo modo, possiamo fornire una recensione onesta e imparziale quando confrontiamo le prestazioni di ciascun IOS. Abbiamo messo alla prova questi IOS per verificarne le prestazioni rispetto ad alcuni IOS più diffusi attualmente sul mercato e in questo articolo potrete vedere i risultati delle singole scansioni a colori, degli STL esportati, delle mesh tassellate e delle immagini ravvicinate dei margini di preparazione.
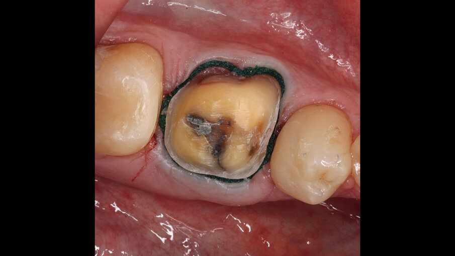
Per la valutazione, ho scansionato la preparazione della corona del dente n. 36 dello stesso paziente con i seguenti cinque scanner (Fig. 1) nello stesso giorno:
TRIOS 5 (3Shape);
Aoralscan 3 (SHINING 3D);
Medit i900;
iTero Lumina;
CEREC Primescan (Dentsply Sirona).
Scansioni individuali nel loro software nativo Ogni IOS è dotato del proprio software di scansione. La maggior parte degli scanner è in grado di rimuovere automaticamente gli artefatti della scansione, come i tessuti molli mobili, le guance e la lingua, grazie ad algoritmi basati sull'intelligenza artificiale.
Possiamo vedere in anteprima come questi scanner catturino il colore (chiamato texture) utilizzando il software nativo dello scanner. Ogni scanner acquisisce il colore in modo leggermente diverso, a seconda dell'accuratezza con cui lo scanner riesce a rilevare la luce che rimbalza sul dente preparato e sui denti adiacenti. Dipende anche dagli algoritmi software che convertono questi dati in colore (Fig. 2). Le scansioni a colori della stessa preparazione dentale sono state acquisite con i cinque scanner e visualizzate in anteprima nei rispettivi software. La scansione TRIOS 5 è risultata meno luminosa (valore inferiore) rispetto alle altre (Fig. 3). Sia la scansione di TRIOS 5 che quella di Medit i900 avevano un colore (tonalità) meno caldo rispetto alle scansioni più ricche e calde di Aoralscan 3, iTero Lumina e CEREC Primescan. La scansione di Aoralscan 3 è apparsa la più fotorealistica in confronto. Questo tipo di texture di scansione è caratteristico di molti IOS prodotti in Cina: se si preferisce un'acquisizione realistica delle strutture intraorali o una rappresentazione più illustrativa è una scelta puramente personale.
Le scansioni monocromatiche possono anche essere acquisite e visualizzate in anteprima nel software nativo dello scanner. Le scansioni in monocromia forniscono una visione migliore della qualità della preparazione e sono addirittura consigliate per verificare eventuali problemi di scansione che non sono così evidenti quando vengono visualizzati a colori. Le scansioni monocromatiche della stessa preparazione dentale sono state acquisite con i cinque scanner e visualizzate in anteprima nei rispettivi software nativi. A differenza del rendering a colori nativo, solo due differenze notevoli sono risultate evidenti tra le cinque scansioni (Fig. 4). La scansione monocromatica iTero Lumina era luminosa, quasi sovraesposta, e i bordi apparivano ben definiti. La scansione CEREC Primescan presentava una definizione leggermente superiore della morfologia occlusale e dei margini mesiali e distali.
Fig. 2 - Esempio di acquisizione di scansioni a colori.
Fig. 3 - Scansioni a colori elaborate sulla base della stessa preparazione dentale, visualizzate in anteprima nel software nativo dello scanner. TRIOS 5 (a). Aoralscan 3 (b). Medit i900 (c). ITero Lumina (d). CEREC Primescan (e).
Fig. 4 - Scansioni monocromatiche elaborate sulla base della stessa preparazione dentale, visualizzate in anteprima nel software nativo dello scanner. TRIOS 5 (a). Aoralscan 3 (b). Medit i900 (c). ITero Lumina (d). CEREC Primescan (e).
Scansioni esportate in software di terze parti Tutti gli IOS hanno un'architettura aperta che consente di esportare le scansioni e di inviarle ai laboratori. Queste scansioni vengono solitamente esportate in tre diversi formati: STL, PLY o OBJ. I file STL vengono esportati come scansioni monocromatiche, mentre i file OBJ e PLY memorizzano i colori. Non tutti i sistemi operativi sono in grado di esportare file OBJ e PLY, mentre i file STL sono ampiamente utilizzati come standard nell'intero settore. Questo particolare set di scanner è in grado di esportare scansioni in questi formati:
Aoralscan 3 e Medit i900: STL, PLY e OBJ
TRIOS 5 e iTero Lumina: STL e PLY
CEREC Primescan: STL
I file delle scansioni esportate per tutti gli scanner avevano dimensioni simili, tranne che per CEREC Primescan (esportato con l'opzione ad alta risoluzione), che era tre volte più grande (Tabella 1). La risoluzione più elevata o la codifica di oggetti più grandi richiede un numero maggiore di sfaccettature (triangoli all'interno della tassellatura) per coprire la superficie 2D della scansione.
Tabella 1 - Dimensioni dei formati dei file che ciascuno scanner è in grado di esportare.
I laboratori spesso utilizzano software CAD di terze parti come exocad. In questo caso, abbiamo utilizzato Medit Design per visualizzare l'anteprima dei file STL, PLY o OBJ ricevuti e per esaminare più da vicino i dettagli catturati in ogni scansione e la quantità di dati (Fig. 5). Esportando le scansioni al di fuori del loro software nativo, possiamo visualizzarle in modo oggettivo senza la personalizzazione del colore e l'ottimizzazione del rendering delle superfici del software integrato nel singolo scanner. Anche i margini di preparazione possono essere esaminati con questo software (Figg. 6-10). Nelle immagini ravvicinate dei margini di preparazione e della mesh tassellata (Fig. 11), CEREC Primescan sembra avere la mesh più densa, seguito da vicino da Aoralscan 3 e poi da Medit i900, TRIOS 5 e iTero Lumina. Non sono ancora stati condotti studi sul significato clinico della densità della mesh ed è importante notare che una mesh più densa non indica necessariamente una scansione migliore.
Fig. 6 - Scansione dei margini di preparazione con TRIOS 5.
Fig. 7 - Scansione dei margini di preparazione con Aoralscan 3.
Fig. 8 - Scansione dei margini di preparazione con Medit i900.
Fig. 9 - Scansione dei margini di preparazione con iTero Lumina.
Fig. 10 - Scansione dei margini di preparazione con CEREC Primescan.
Fig. 11 - Immagini ravvicinate delle scansioni di preparazione del dente e delle relative maglie tassellate. TRIOS 5 (a). Aoralscan 3 (b). Medit i900 (c). ITero Lumina (d). CEREC Primescan (e).
Quando si confrontano gli IOS, di solito li confrontiamo con CEREC Primescan, che è comunemente considerato uno dei migliori IOS in termini di precisione. È anche uno scanner che uso quotidianamente in ufficio per realizzare corone in giornata che si adattano perfettamente. Alla luce di ciò, quando abbiamo confrontato i margini di preparazione acquisiti da ogni IOS (Fig. 12), anche la scansione di iTero Lumina è apparsa piuttosto nitida. I margini buccali e linguali erano molto definiti (Fig. 13). Nel complesso, tutti gli scanner hanno fatto un ottimo lavoro, soprattutto sul margine linguale, che era sopragengivale e più nitido. Il margine buccale, più vicino al cordone di retrazione, sembrava meno netto ma comunque accettabile.
Si tenga presente che iTero Lumina non era approvato dall'azienda per l'uso protesico nel momento del confronto. Questa opzione è stata rilasciata nel corso dell'anno. L'azienda afferma che le scansioni saranno ancora migliori. Lo scopriremo presto. A titolo informativo, la tecnologia di scansione di iTero Lumina ha una distanza massima di acquisizione di 25 mm, mentre CEREC Primescan può misurare una profondità fino a 20 mm. Medit i900 misura circa 30 mm.
Abbiamo utilizzato CEREC Primescan come punto di riferimento per cercare le deviazioni di acquisizione da confrontare con gli altri scanner (Fig. 14). In base alla deviazione colorata, le mesh delle scansioni effettuate con gli altri scanner si trovavano entro 50 μm rispetto alla scansione effettuata con CEREC Primescan. Nella stessa modalità di visualizzazione, abbiamo anche visto le scansioni allineate in una vista sezionale, che ha mostrato differenze minime tra le scansioni.
Fig. 14 - Mappa di deviazione delle scansioni rispetto alla scansione di CEREC Primescan (a; scala di 50 μm) e vista in sezione (b, c). Deviazione minima intorno all’area di preparazione.
Conclusione È importante ricordare che la precisione nell'acquisizione dei dettagli della preparazione del restauro può variare leggermente in base alla combinazione della tecnica di scansione del clinico e dello scanner specifico utilizzato. Questa variazione può influenzare il risultato finale del margine di restauro del laboratorio odontotecnico. Nel complesso, iTero Lumina e Medit i900 sembrano promettenti e si aggiungono alla lunga lista di IOS di qualità presenti sul mercato in questo momento. Hanno funzionato bene come pensavate? Fateci sapere le vostre opinioni su www.instituteofdigitaldentistry.com.
Nota editoriale:
L’articolo è stato pubblicato per la prima volta su digital international magazine of digital dentistry vol. 5, issue 2/2024.
Dal 01 giugno 2013 anche le aziende che occupano meno di dieci dipendenti devono dotarsi del DVR, elaborato secondo i criteri stabiliti dagli art.28 e 29 ...
Il recente sviluppo delle tecnologie digitali ha prodotto una vera e propria rivoluzione in tutte le discipline odontoiatriche. La radiografia digitale ...
Restauri semplici di altra qualità possono essere realizzati rapidamente e direttamente nello studio dentistico grazie al Ceramill DRS Production Kit+ di ...
Nella seduta del Consiglio dei Ministri n. 50 del 16/10/2012 sono state approvate nuove misure sulla semplificazione a favore dei cittadini e delle imprese ...
L’evoluzione della tecnologia digitale e dei sistemi di progettazione e la fabbricazione assistita da computer (CAD/CAM) di manufatti ad uso odontoiatrico...
Vendere uno studio dentistico rappresenta un momento cruciale per qualsiasi professionista, ed è fondamentale evitare errori costosi durante il processo di...
Obiettivo: valutazione CAD dei cambiamenti dimensionali dopo l’utilizzo di matrici in collagene suino volumetricamente stabili nella gestione dei difetti ...
Formazione
Live webinar mar. 9 dicembre 2025 18:30 (CET) Rome
Il restauro di Classe II rimane una delle procedure più comuni e tecnicamente impegnative dell’odontoiatria. Ogni giorno, i medici devono realizzare ...
In ortodonzia la gestione degli spazi interprossimali è fondamentale per ottenere un risultato predicibile. Questo caso presentava affollamento dentale ...
To post a reply please login or register