Search Dental Tribune

Impianti in paziente con terapia farmacologica per infiammazione renale e inizio di osteoartrosi: cortisoni a lungo termine

Dell’Anna Salvatore

Dell’Anna Salvatore

lun. 3 marzo 2014

salvare

Con questo lavoro si vuole verificare se la somministrazione di corticosteroidi a lungo termine ostacola la normale osteointegrazione degli impianti e se esiste una differenza a livello degli outcomes clinici tra carico immediato e carico differito.

Situazione iniziale
Paziente di sesso femminile di anni 74, presenta un quadro di infiammazione renale e inizio di osteoartrosi alle articolazioni.

Terapia consigliata: Bentelan 25 mg. cpr. 1 cpr. al dì.
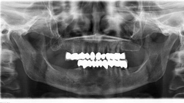
Situazione generale buona, nessuna sofferenza cardiovascolare e respiratoria. A livello della cavità orale la paziente è portatrice di una protesi fissa full arch su denti naturali, sia dell’arcata superiore che inferiore (Fig. 1). In zona 23-26 presenta una infiammazione acuta dei tessuti molli e la presenza di uno splint acrilico tra la protesi dell’arcata superiore in particolare in zona 22-23 (Figg. 2, 3).

Diagnosi: frattura della radice del dente 23, parodontopatia avanzata del 24-25, parodontopatia generale diffusa, assenza degli elementi 45-46-47.

Piano di trattamento

  • avulsione del gruppo 23-26;
  • impianti 23-24-26;
  • carico immediato con protesi provvisoria 23-26 impianti 45-46;
  • carico differito a guarigione avvenuta con corone 45-46.


Finalità e risultati attesi

Lo scopo di questo trattamento implantare è di verificare se l’impianto ANKYLOS, DENTSPLY Implants, conduce a buoni risultati clinici durante il processo di osteointegrazione, anche in situazioni sfavorenti  quali l’assunzione prolungata di farmaci corticosteroidei valutandone l’utilizzo anche in questi casi sia con carico immediato che differito.
I risultati attesi sono quelli di avere un’osteointegrazione ottimale in entrambe le procedure, senza differenza alcuna di rimaneggiamento osseo a livello crestale.

embedImagecenter("Imagecenter_2_1084",1084,"small");

Procedure chirurgiche
La paziente è stata preparata con somministrazione di antibiotico per via sistemica 2 g. Amoxicillina (Augmentin 875/125 mg compresse, GlaxoSmithKline) un’ora prima dell’intervento. Dopo anestesia locale (Alfacaina 40 mg/ml con adrenalina 1:100000, DENTSPLY) della zona da trattare è stato sollevato un lembo a tutto spessore con incisione perisulculare agli elementi residui, sono state avulse le radici dei denti 23 (fratturata) 24-25, (Fig. 4), eseguito courretage degli alveoli, sono stati applicati tramite preparazione con osteotomi 3 impianti ANKYLOS DENTSPLY Implants, (Figg. 5-11), di diametro rispettivamente due 3.5 x 11 mm e uno 4.5 x 9.5 mm.
Dopo l’applicazione degli impianti sono stati inseriti i monconi Syncone, DENTSPLY Implants in modo da rendere parallelo tutto il sistema implantare (Fig. 12).
Sono state inserite sui monconi delle cappe in titanio, (Fig. 13), che sono state solidarizzate con una barra elettrosaldata (Figg. 14-17). Successivamente sono stati ribasati con resina duale, Unifast GC dei provvisori già preconfezionati (Figg. 18-23). Quindi è stata effettuata la sutura dei lembi con filo 3.0 all’arcata inferiore sono stati posizionati 2 impianti ANKYLOS 3.5 x 8 mm in zona 45-46 e applicate immediatamente le viti di guarigione (Fig. 24).
La paziente è stata dimessa con impacco di ghiaccio sintetico da tenere sulla guancia della zona trattata e consigliato il proseguimento della terapia antibiotica 1 cpr. ogni 12 ore per 3-4 giorni insieme a terapia antiinfiammatoria e antidolorifica con Oky bust 80 mg Dompè, una bust ogni 12 ore per 3-4 giorni.

A distanza di 7 giorni sono state rimosse le suture e controllato il livello di igiene che è stato proseguito periodicamente ogni mese.

Dopo circa 6 mesi, è stato effettuato un controllo clinico e radiografico, (Figg. 25, 26), e sono state prese le impronte di precisione con materiale polietere andando a realizzare gli elementi definitivi su pilastri Syncone, DENTSPLY Implants, su entrambe le arcate in metallo-ceramica (Figg. 27-34).

Risultati ottenuti
Dall’esame radiografico e clinico si può affermare che entrambe le procedure chirurgiche hanno consentito di ottenere un’ottima osteointegrazione e che la presenza di una costante somministrazione di corticosteoidi non ha influito sul risultato finale. Inoltre, è emerso che non vi è differenza tra le due procedure di carico, in quanto i risultati clinici e radiografici sono sovrapponibili.

Conclusioni
Si può affermare da questo case report che l’osteointegrazione con gli impianti ANKYLOS, DENTSPLY Implants sia con procedura a carico immediato che con carico differito non è influenzata dalla presenza di corticosteroidi a lunga somministrazione e segue quindi il normale decorso analogamente a quanto avviene in pazienti in buono stato di salute.

To post a reply please login or register
advertisement
advertisement