CURITIBA (Brasile) ‒ Per l’intensità e la durata degli allenamenti necessari per gare di grande impegno, atleti di alto livello possono subire, da due a cinque volte, lesioni facciali più traumatiche degli amatoriali.
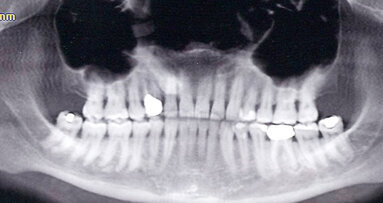
Uno studio rivela che la disfunzione temporo mandibolare (TMD) è significativamente più diffusa tra coloro che praticano le arti marziali da professionisti rispetto agli amatori.
Il gruppo di studio comprendeva 24 praticanti di karate professionale, 17 atleti non professionisti, 13 combattenti di arti marziali miste e 28 non atleti.
Nel complesso, la prevalenza di TMD è stata più alta tra i professionisti, mentre era ad un livello similare tra gli amatoriali e quelli che non praticano questa disciplina.
Mentre circa il 54 per cento dei professionisti del karate e quasi il 62 per cento dei praticanti di arti marziali miste hanno avuto una qualche forma di TMD, la disfunzione è stata diagnosticata solo nel 14 per cento circa degli amatoriali e dei non atleti.
Secondo la ricerca, la diagnosi di artralgia discale è stata più frequente tra i professionisti (46 per cento) e nei praticanti di arti marziali miste (39 per cento) rispetto ai non atleti (7 per cento).
Intitolato “Professional karate-do and mixed martial arts fighters present with a high prevalence of temporomandibular disorders” e pubblicato online il 29 ottobre sul the Dental Traumatology prima della stampa, lo studio è stato condotto all'Università federale del Paraná, in collaborazione con i ricercatori della Positivo University e della Pontifícia Universidade Católica di Paraná (Brasile).
Goteborg, Svezia: La gomma da masticare e i piercing sono comuni tra gli adolescenti. Tuttavia, le ricerche suggeriscono che entrambi provocherebbero un ...
Guglielmo Ramieri, Direttore della Scuola di Chirurgia Maxillofacciale dell’Università di Torino, parla di un evento di alto profilo svoltosi ...
Le “patie disfunzionali” sono un eterogeneo gruppo di patologie che colpiscono l’articolazione temporo-mandibolare (ATM), i muscoli ...
Negli ultimi anni si è presentato un aumento significativo di pazienti affetti da disfunzioni dell’articolazione temporo-mandibolare. Il disturbo ...
Estratto dalla tesi di Master in Posturologia, La Sapienza Università di Roma, anno accademico 2008-2009. Il lavoro trae origine dalla ...
Gli apprezzamenti delle precedenti edizioni del Master ed anche il grande interesse riscontrato al “45° SIDO International Congress” ...
Negli ultimi cinque anni la carie è aumentata di circa il 15% in età pediatrica. Un dato che chiama in causa la lunga crisi economica del ...
La causa della disfunzione erettile potrebbe essere dovuta a batteri orali che passano nel flusso sanguigno
STONY BROOK, N.Y., USA: L’applicabilità e l’efficacia dell’intelligenza artificiale (IA) nell’ambito dell’odontoiatria sembrano non avere limiti....
Colgate porta l’igiene orale in classe per educare anche i più piccoli all’importanza della salute orale e di abitudini alimentari sane.
Live webinar
lun. 11 maggio 2026
18:00 (CET) Rome
Live webinar
lun. 11 maggio 2026
19:00 (CET) Rome
Live webinar
mar. 12 maggio 2026
19:00 (CET) Rome
Live webinar
gio. 14 maggio 2026
18:00 (CET) Rome
Live webinar
gio. 14 maggio 2026
20:00 (CET) Rome
Prof. Hani Ounsi DDS PhD FICD
Live webinar
mar. 19 maggio 2026
17:00 (CET) Rome
Live webinar
mar. 19 maggio 2026
19:00 (CET) Rome
Prof. Dr. med. dent. Ivo Krejci
To post a reply please login or register