Oggi sviluppiamo piani di trattamento che non prevedono l’inserimento implantare sulla base della sola anatomia esistente ma anche sulla base delle necessità protesiche e riabilitative. L’idea di base è quella di progettare una simulazione protesica ideale per valutare se e come l’anatomia della zona edentula possa essere compatibile con il progetto protesico.
Implantologia protesicamente guidata: l’importanza della pianificazione protesica
Questo è possibile da realizzare attraverso un percorso digitale, in ambienti CAD quali i software di chirurgia Guidata, sovrapponendo (Matching) dati DICOM (ottenuti dalla CBCT) a file STL (da IOS) sia della situazione iniziale del paziente sia quelli relativi al progetto protesico (ceratura diagnostica).
Appare quindi subito chiaro come la prima fase del nostro processo diagnostico e terapeutico debba essere un piano di trattamento corretto. Il nostro approccio terapeutico parte quindi da una progettazione protesica che permetta un inserimento implantare ideale e anche un’eventuale aumento programmato dei tessuti duri mediante GBR.
Implantologia e incremento osseo protesicamente guidati
Il concetto dell’implantologia protesicamente guidata rappresenta oggi un principio consolidato. La relazione tra il futuro restauro implanto-protesico e la posizione tridimensionale dell’impianto è molto importante. Diventa addirittura fondamentale nelle zone estetiche. Questo approccio è stato evidenziato negli atti della IV Consensus Conference dell’ITI del 2008. Nelle conclusioni e raccomandazioni cliniche finali si legge infatti che “Le tecniche di aumento osseo dovrebbero sempre seguire un piano di trattamento protesicamente guidato finalizzato ad ottenere un ideale posizionamento 3D dell’impianto. Quando possibile, si dovrebbe quindi fare riferimento al concetto di Incremento Osseo Protesicamente Guidato”1.
Si tratta del punto focale dell’approccio clinico proposto in questo lavoro. In presenza di difetti ossei, l’analisi parte da una impronta digitale rilevata mediante scanner intraorale (IOS), associata alla ceratura diagnostica eseguita dall’odontotecnico e acquisita da scanner da laboratorio o realizzata digitalmente. Il nostro obiettivo è quello di previsualizzare sia il difetto osseo che la possibilità di inserimento implantare tridimensionale avendo cura, nei difetti verticali, di stabilire con esattezza la profondità di inserimento dell’impianto.
Per essere predicibile e semplificare l’intervento abbiamo la possibilità di generare digitalmente un sistema che consenta di rispettare i principi fondamentali della rigenerazione ossea2, cioè la vascolarizzazione, la presenza di cellule osteoprogenitrici e la stabilità meccanica. La stabilità meccanica è un aspetto chiave della GBR. Bisogna quindi assicurare stabilità al coagulo attraverso uno scaffold progettato digitalmente grazie alla conoscenza della morfologia del difetto e dell’entità della rigenerazione necessaria.
L’uso di mesh in titanio nella rigenerazione ossea guidata è una procedura diffusa per l’aumento della cresta orizzontale e verticale3. In letteratura, l’analisi clinica e istologica ha evidenziato un aumento della cresta e la formazione di nuovo osso dopo l’uso di una griglia in titanio con osso bovino deproteinizzato minerale (DBBM) e osso autologo4, 5.
Le griglie in titanio sono state ampiamente usate in passato. Mantengono stabile l’innesto osseo sottostante ed evitano il collasso dei tessuti molli sul difetto grazie alla loro rigidità e conseguente effetto tenda5-9. In letteratura è dimostrato inoltre come gli onlay ossei protetti da griglia mostrano meno riassorbimento osseo di quelli non protetti10 e possano rappresentare un’alternativa alle membrane non riassorbibili11.
Le griglie tradizionali devono essere adattate e quindi manipolate durante la chirurgia e questo porta a svantaggi circa il taglio (manual cutting), la curvatura (bending) e la rifinitura (trimming) per raggiungere la forma finale desiderata nonché un prolungamento della durata della chirurgia6, 7. Inoltre angoli taglienti e poco arrotondati possono aumentare il rischio di esposizione della griglia stessa.
Negli ultimi anni sono state messe a punto delle griglie in titanio customizzate che sfruttano la tecnologia digitale per realizzare una griglia difetto-specifica. Utilizzando la tomografia computerizzata (TC) o la tomografia computerizzata Cone Beam (CBCT) del paziente infatti, viene progettata una griglia conformata esattamente per il difetto relativo e viene stimato il volume di aumento necessario per il difetto. Gli scaffold in titanio customizzati (cCTS, customized CAD/CAM-produced titanium scaffolds) vengono realizzati utilizzando i dati DICOM e in questo modo esitano in una griglia perfettamente coincidente con il piano rigenerativo ipotizzato, permettendo di evitare l’adattamento intraoperatorio delle griglie tradizionali in titanio. L’applicazione di un cCTS, oltre a semplificare la procedura, riduce i tempi dell’intervento e può ridurre così i costi complessivi del trattamento6, 12-14.
È noto come la complicanza più comune degli scaffold in titanio è la deiscenza del lembo, con conseguente esposizione della griglia15-17. Sagheb et al. hanno pubblicato un lavoro sull’uso del cCTS per l’aumento della cresta alveolare e hanno dimostrato come non vi sia alcun impatto negativo delle eventuali deiscenze occorse sull’esito del trattamento12, risultato confermato anche dal recente studio di Chiapasco et al.14.
Le griglie in titanio customizzate vengono riempite con miscele di osso autologo e osso eterologo di origine bovina. L’osso autologo è il materiale “gold standard” in qualsiasi procedura GBR. Esso infatti è l’unico materiale che ha proprietà osteogeniche, osteoconduttive e osteoinduttive. L’uso di particolato osseo è preferibile rispetto all’utilizzo della forma a blocchi; esso ha un potenziale rigenerativo maggiore, grazie alla superficie più ampia dell’innesto esposta ai fattori di crescita. Nella maggior parte delle procedure di GBR, è normalmente sufficiente prelevare chips di osso autologo con safe scrapers.
Anche l’uso di materiale osseo eterologo, nello specifico osso bovino deproteinizzato è molto comune nella procedura GBR. Questo materiale ha un elevato potenziale osteoconduttivo e può essere combinato con l’osso autologo; la maggior parte delle pubblicazioni suggerisce di combinare osso autologo con materiale da innesto osseo osteoconduttivo con rapporto 1:1, anche per limitare il riassorbimento fisiologico dell’osso autologo18.
Caso Clinico
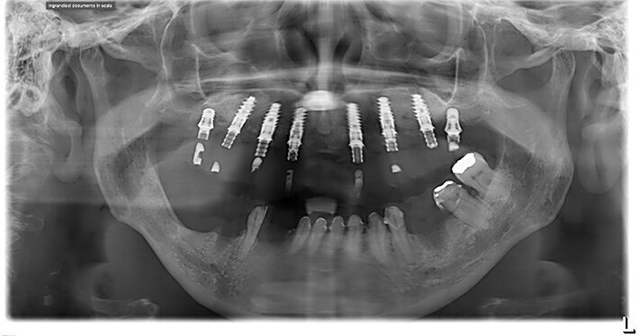
Nei casi di atrofie marcate, è fondamentale ricostruire l’osso mancante ma anche poter dare all’arcata una forma ideale. In questo caso clinico la paziente si presenta alla mia osservazione con una marcata atrofia del mascellare superiore (Fig. 1). La valutazione clinica è stata effettuata con esami radiografici di routine, OPM ed endorali, ma soprattutto con una Cone Beam TC. Da alcuni anni infatti, effettuo tutte le valutazioni diagnostiche in ambiente CAD con un software di chirurgia computer guidata che consente di valutare l’osso residuo in relazione al posizionamento tridimensionale dell’impianto protesicamente guidato.
L’approccio è quello di duplicare la protesi mobile utilizzata quotidianamente dalla paziente per renderla, attraverso punti di repere radiopachi, protesi radiologica. La paziente eseguirà la Cone Beam con la protesi radiologica e grazie alla presenza dei punti di repere radiopachi si potrà fare il matching tra i dati DICOM e la protesi della paziente (Figg. 2-4). Durante questa prima valutazione risulta evidente l’assenza di osso attorno agli impianti. La marcata perdita ossea è prevalentemente orizzontale e si estende in senso antero-posteriore su tutta l’arcata mascellare. Nella zona degli incisivi il posizionamento protesicamente guidato non è possibile a causa dell’assenza orizzontale dell’osso. Nelle zone posteriori inoltre si evidenziano i prolassi dei seni mascellari che riducono ulteriormente la disponibilità ossea. Di fronte a un quadro clinico così complesso si rende necessaria una scelta oculata della tecnica ricostruttiva adeguata.
Materiali e metodi
È stata scelta la strada delle griglie customizzate in titanio perché consentono di ottenere molteplici vantaggi. Come precedentemente descritto, le griglie in titanio permettono di assicurare una buona stabilità dell’innesto e del coagulo, il mantenimento del volume dell’area da rigenerare e la ricostruzione della forma ideale dell’arcata soprattutto nella zona anteriore della pre-maxilla. In questo caso specifico, l’obiettivo era ottenere la forma ad arco originale dell’arcata, cosa impossibile da ottenere con altre metodiche in un difetto così esteso. Oltre agli indubbi vantaggi precedentemente descritti, l’utilizzo di una griglia customizzata consente di ridurre il tempo chirurgico, di non dover rimodellare intraoperativamente la griglia e di poter dedicare più tempo al management dei lembi e dei tessuti molli.
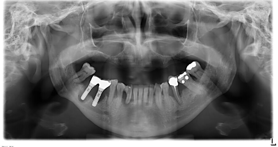
Stabilita la tecnica rigenerativa è necessario fare delle valutazioni sul periodo post operatorio e quindi sul tipo di protesi provvisoria da far indossare alla paziente. Escludendo tutte le tipologie di protesi mobili per almeno sei mesi (compresa quindi una protesi sostenuta da un impianto posizionato nel palato), sempre con l’ausilio del software di chirurgia guidata ho quindi ipotizzato l’inserimento di due impianti nella zona della tuberosità (Fig. 5). Con l’ausilio della dima chirurgica sono stati inseriti tre impianti, due nelle tuberosità mascellari e uno nel palato (Fig. 6). Sui tre impianti è stato progettato insieme ai tecnici un dispositivo in metallo che potesse sostenere dei denti fissi non rimovibili (Fig. 7). Il risultato ottenuto è stato eccellente perché la paziente ha portato una protesi fissa fin dal giorno dell’intervento per tutto il periodo di guarigione, di circa nove mesi. La progettazione della ricostruzione ossea è stata quindi fatta in maniera Protesicamente Guidata, sono stati posizionati gli impianti virtuali e poi valutata l’entità della rigenerazione necessaria.
Una volta ottenute tutte le informazioni necessarie dei dati ossei (Cone Beam), della pianificazione protesica (STL della ceratura, dei tessuti e della situazione iniziale) l’azienda (ReOss, Filderstadt, Germany) invia il progetto della griglia Yxoss CBR che può essere visualizzato in maniera tridimensionale ed eventualmente modificato a discrezione del professionista. Suggerite le eventuali modifiche si esegue la validazione finale del progetto per la realizzazione della griglia (Fig. 8).Con la Customized Bone Regeneration (CBR) l’obiettivo della Rigenerazione Protesicamente Guidata in senso digitale viene così raggiunto. Le griglie sono prodotte attraverso una stampa tridimensionale e il loro fit al difetto è sempre accuratissimo consentendo di concentrare l’attenzione alle altre fasi dell’intervento.
La rigidità della struttura rigida può portare a un rischio di esposizione della griglia per lacerazione del lembo. Per questo motivo la gestione dei tessuti molli diventa fondamentale. È importante considerare che per la gestione di difetti importanti ereditiamo dei tessuti che hanno esiti cicatriziali. Per questo motivo è necessario saper valutare un’eventuale correzione dei tessuti molli che ha l’obiettivo di aumentare la quantità e la qualità della gengiva aderente.
L’incisione primaria del lembo è fondamentale. Devono essere attentamente valutati gli esiti cicatriziali presenti in casi di atrofie così marcate. In questo caso, e in generale nei casi di arcate edentule si tende a fare una incisione in cresta. Il nostro obiettivo deve essere quello di creare e quindi lasciare una porzione palatale del lembo primario adeguata alla ricopertura della griglia perché la parte del palato non è estendibile (Fig. 9). Nelle zone in cui il difetto è più marcato le incisioni si spingono verso la parte vestibolare del lembo primario; in questo modo lasciamo tanto tessuto palatale mentre la parte vestibolare del lembo sarà alla fine dell’intervento riadattata attraverso tecniche di rilascio del lembo dai piani muscolari sottostanti e dal periostio. Il lembo primario vestibolare deve essere sbrigliato dagli eventuali esiti cicatriziali presenti effettuando manovre con molta attenzione per non lacerare il lembo.
Quello che troviamo è un’atrofia marcata in senso orizzontale nella zona della pre-maxilla che si estende anche nei settori latero-posteriori. Terminata la parte più importante dell’intervento ci dedichiamo a verificare il fit della griglia customizzata. È sorprendente ogni volta constatare l’alta affidabilità del posizionamento tridimensionale (Fig. 10). Il riempimento della griglia viene effettuato con osso autologo raccolto con Safe Scraper e con pinze ossivore che ci consentono anche di regolarizzare la cresta nella zona di intervento, miscelato al 50% con osso Bovino Deproteinizzato (Geistlich Bio-Oss, Geistlich Pharma).
In casi come questo, consiglio di non riempire completamente la griglia con l’innesto per evitare difficoltà nel posizionamento; prima di posizionare la griglia si colmano eventuali lacune nel riempimento con biomateriale (Geistlich Bio-Oss, Geistlich Pharma AG, Wolhusen, Switzerland). Dopo aver posizionato la griglia si utilizzano quattro viti, due vestibolari e due palatali, per renderla totalmente stabile (Figg. 11, 12). La griglia viene quindi ricoperta con una membrana in collagene riassorbibile Geistlich Bio-Gide (Geistlich Pharma AG) per migliorare la guarigione dei tessuti e per prevenire la migrazione del tessuto molle all’interno dell’innesto (Fig. 13).
Il lembo dopo essere stato liberato dal periostio e dai piani muscolari si riposiziona quasi naturalmente senza tensioni (Fig. 14). Le suture sono effettuate con materassai orizzontali associate a suture a punti staccati nella parte superficiale del lembo; la chiusura per prima intenzione è decisiva per il risultato finale. Fondamentale risulta essere il controllo post-operatorio. Le suture vengono rimosse a 15 gg e il controllo ad un mese evidenzia la buona guarigione dei tessuti (Fig. 15). Dopo sei mesi dalla prima chirurgia, sono stati eseguiti i grandi rialzi dei seni mascellari che mi hanno dato la possibilità di poter pianificare gli impianti anche nei settori posteriori. Essendo stati inseriti in modo contestuale si è reso necessario un rimodellamento agli angoli della griglia (Fig. 16-18).
L’attesa della guarigione dei seni mascellari ci offre la possibilità di poter completare anche la guarigione dell’innesto sotto la griglia. In questo caso ho ottenuto una guarigione senza esiti cicatriziali, i tessuti sono guariti al di sopra della griglia e la stessa è rimasta coperta per i 9 mesi necessari. A nove mesi si effettua la rimozione della griglia e questo rappresenta un momento importante perché è necessario anche in questa fase trattare bene i tessuti molli.
Si effettuano gli esami radiografici di controllo dai quali si evidenziano i segnali della guarigione. L’aspetto clinico dei tessuti nella zona della pre-maxilla evidenzia l’entità della ricostruzione effettuata. La guarigione ha portato la mucosa alveolare in cresta e quindi è fondamentale conservare un’adeguata quantità di gengiva aderente. È necessario anche in questa fase decidere la linea dell’incisione primaria; l’incisione fatta conserva parte della gengiva aderente nella porzione vestibolare del lembo primario. Si rimuovono le viti di fissaggio e poi si procede a separare le due porzioni della griglia, quella vestibolare e quella palatale attraverso una leva in corrispondenza dell’esclusiva linea di separazione disegnata nella griglia (Fig. 19). Quello che appare subito è l’eccellente rigenerazione ottenuta e la ricostruzione della forma ad arco originale dell’arcata (Fig 20). Se confrontiamo la situazione critica di partenza a quella finale evidenziamo l’entità della ricostruzione ottenuta (Figg. 21-24).
La valutazione clinica dell’eccellente aspetto dell’osso neoformato deve però avere anche un riscontro istologico. Per questo, ma anche per decidere il timing successivo del posizionamento implantare, decidiamo di eseguire delle carote nei siti di successivo posizionamento implantare per effettuare l’esame istomorfometrico che conferma un’ottima qualità dell’osso neoformato (Fig. 25); l’osso infatti presenta normale morfologia, caratterizzata da trabecole ossee neoformate che vanno a delimitare ampi spazi midollari ricchi di vasi. La vascolarizzazione si presenta in entrambi i siti sotto forma di vasi sanguigni dall’ampio lume distribuiti in gruppi di 5-7 (Figg. 26, 27). Si notano osteociti di grandi dimensioni e alcuni osteoblasti in fase attiva di deposizione di matrice osteoide (Figg. 28, 29). Non si riscontrano cellule osteoclastiche, segno che il rimodellamento risulta minimo e indice quindi del fatto che l’osso si trova in uno stadio avanzato di organizzazione e maturazione (Figg. 30-32).
La chiusura dei lembi viene effettuata dopo aver posizionato una matrice Geistlich Mucograft (Geistlich Pharma) (Fig. 33) allo scopo di migliorare la qualità e la quantità del tessuto molle. Da questo momento in poi inizia la vera pianificazione degli impianti protesicamente guidati. I nostri riferimenti estetici e funzionali, in questo momento della terapia, sono quelli della protesi fissa ancorata ai tre impianti che la paziente ha portato per tutto il periodo post-operatorio. Scegliamo la strada del flusso totalmente digitale che darà innumerevoli vantaggi. Ripartiamo quindi dalle impronte digitali della situazione attuale per iniziare digitalmente a fare una ceratura che dovrà mantenere inalterati i rapporti tra le arcate, ma che avrà anche lo scopo di migliorare l’estetica (Fig. 34).
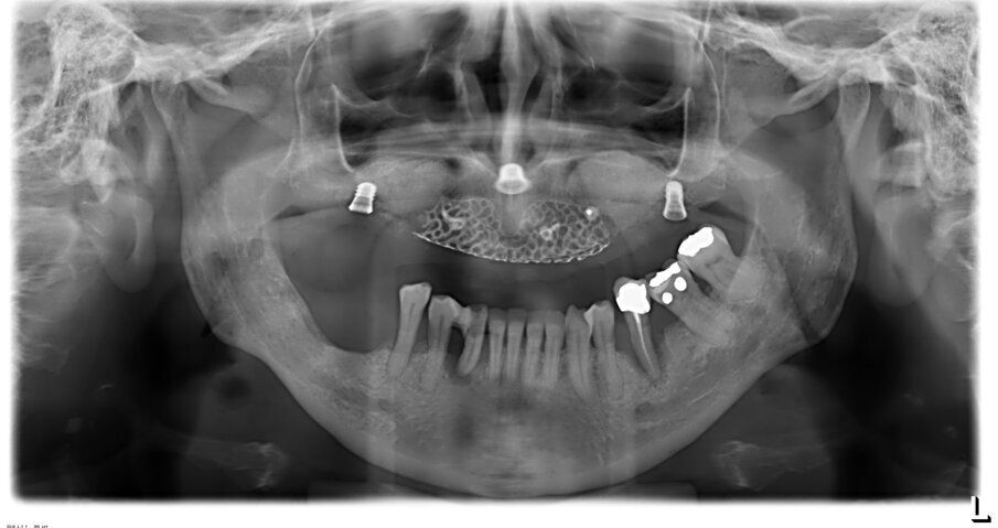
Inoltre da questa nuova ceratura dobbiamo ricavare una protesi radiografica con i punti di repere radiopachi che ci servirà per fare il matching con i nuovi file DICOM dell’osso rigenerato (Figg. 35, 36). Fatte le opportune verifiche nel software di chirurgia guidata, si pianifica l’intervento di posizionamento implantare (Figg. 37-40). Si programma lo stesso giorno della chirurgia anche il carico immediato degli impianti; decisione supportata dalla verifica istologica dell’osso rigenerato che dovrà comunque essere confermata il giorno del posizionamento implantare durante il quale si misurerà il torque di inserimento degli impianti e la stabilità primaria con il sistema OSSTELL mentor (Integration Diagnostics) che sfrutta l’analisi della frequenza di risonanza.
Grazie al flusso digitale, possiamo inserie nel software anche il file STL del provvisorio pre-chirurgico preparato e quindi progettare il provvisorio immediato (Fig. 41). La pianificazione degli impianti a questo punto viene effettuata in modo protesicamente guidato ed è facile posizionare correttamente l’impianto e verificarlo nelle cross del software. Si progetta e si disegna quindi la dima chirurgica (Fig. 42). Il giorno dell’intervento abbiamo già tutto pronto e la paziente presenta uno stato di salute dei tessuti ottimale grazie anche al fatto che ha potuto portare per tutto il periodo una protesi fissa.
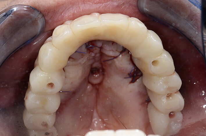
Procediamo quindi all’inserimento di sei impianti BLX Straumann (Straumann Group) (Fig. 43, 44), ed utilizziamo gli impianti posizionati nella tuberosità per stabilizzare la dima chirurgica e il provvisorio sul modello master di lavoro digitale. La funzionalizzazione del provvisorio immediato subito dopo l’intervento viene effettuata con l’utilizzo della tecnica DIL19 (Figg. 45, 46).
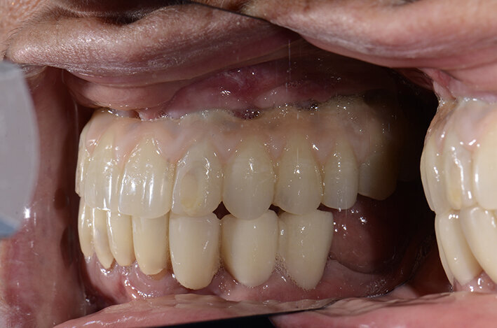
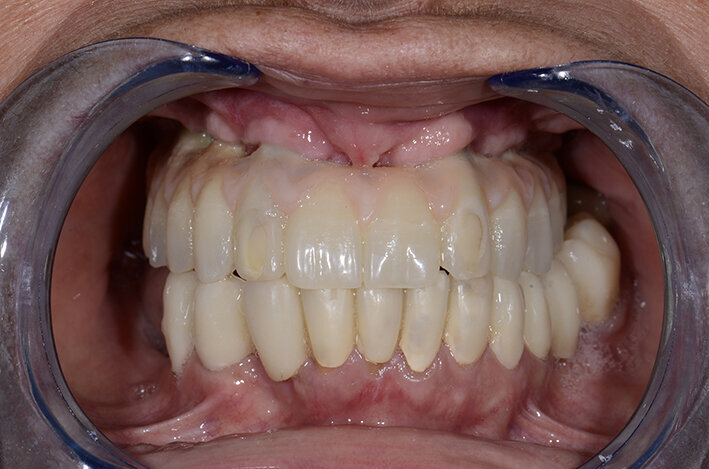
Il provvisorio immediato così funzionalizzato creerà un condizionamento ideale dei tessuti (Figg. 47-49) che porterà alla realizzazione del lavoro definitivo con la serenità di aver creato le condizioni per un successo a lungo termine del trattamento. L’immagine dei tessuti a tre mesi dal posizionamento implantare evidenzia i buoni auspici per un mantenimento a lungo termine degli impianti (Fig. 50).
Discussione
L’utilizzo dei flussi digitali ci consente di ottenere innumerevoli vantaggi clinici. La ricostruzione di creste atrofiche mediante griglie in titanio customizzate ci ha permesso di semplificare alcune fasi dell’intervento ma soprattutto ha dato la possibilità di ricostruire la forma originale dell’arcata, cosa non facile da ottenere con altre metodiche tradizionali.
L’ottimo adattamento della griglia e la sua grande stabilità rendono più predicibili i processi di rimodellamento e rigenerazione ossea. La semplificazione dell’intervento è dovuto all’utilizzo di uno scaffold che non deve essere modellato durante l’intervento ma solo fissato con delle mini viti. L’esame istologico effettuato mostra un osso neoformato di ottima qualità che a distanza di circa nove mesi mostra capacità di ulteriore differenziazione verso un osso completamente maturo. Il torque di inserimento degli impianti infatti ha mostrato valori incoraggianti e il carico immediato effettuato ha permesso di gestire anche la parte mucogengivale del nostro intervento. In casi così estesi l’utilizzo di griglie customizzate rappresenta oggi una valida opzione terapeutica ricostruttiva.
Ringraziamenti
Ringrazio i tecnici Antonino Scala ed Ottavio Di Somma di MAGMA CENTER per il prezioso supporto nei processi digitali.
Bibliografia
- Proceedings of the 4th International Team for Implantology (ITI) Consensus Conference, August 2008, Stuttgart, Germany. Int J Oral Maxillofac Implants. 2009;24 Suppl:7-278.
- Wang HL, Boyapati L. “PASS” principles for predictable bone regeneration. Implant Dent. 2006 Mar;15(1):8-17.
- Xie Y, Li S, Zhang T, Wang C, Cai X. Titanium mesh for bone augmentation in oral implantology: current application and progress. Int J Oral Sci. 2020 Dec 30;12(1):37.
- Maiorana C, Santoro F, Rabagliati M, Salina S. Evaluation of the use of iliac cancellous bone and anorganic bovine bone in the reconstruction of the atrophic maxilla with titanium mesh: a clinical and histologic investigation. Int J Oral Maxillofac Implants. 2001 May–Jun;16(3):427–32.
- Artzi Z, Dayan D, Alpern Y, Nemcovsky CE. Vertical ridge augmentation using xenogenic material supported by a configured titanium mesh: clinichistopathologic and histochemical study. Int J Oral Maxillofac Implants. 2003 May–Jun;18(3):440–6.
- Sumida T, Otawa N, Kamata YU, Kamakura S, Mtsushita T, Kitagaki H, et al. Custom-made titanium devices as membranes for bone augmentation in implant treatment: clinical application and the comparison with conventional titanium mesh. J Craniomaxillofac Surg. 2015;43(10):2183–8.
- Ciocca L, Ragazzini S, Fantini M, Corinaldesi G, Scotti R. Work flow for the prosthetic rehabilitation of atrophic patients with a minimal-intervention CAD/CAM approach. J Prosthet Dent. 2015 Jul;114(1):22–6.
- Boudet C. Platelet-rich fibrin in mesh exposure repair. Dentistry today. 2014; 33(1):112–3.
- Lizio G, Corinaldesi G, Marchetti C. Alveolar ridge reconstruction with titanium mesh: a three-dimensional evaluation of factors affecting bone augmentation. Int J Oral Maxillofac Implants. 2014;29(6):1354–63.
- Roccuzzo M, Ramieri G, Bunino M, Berrone S. Autogenous bone graft alone or associated with titanium mesh for vertical alveolar ridge augmentation: a controlled clinical trial. Clinical Oral Implants Research; 2007, 18(3):286-94.
- Cucchi A, Vignudelli E, Napolitano A, Marchetti C, Corinaldesi G. Evaluation of complication rates and vertical bone gain after guided bone regeneration with non- resorbable membranes versus titanium meshes and resorbable membranes. A randomized clinical trial. Clin Implant Dent Relat Res. 2017;19:821–832.
- Sagheb K., Schiegnitz E., Moergel M., Walter C. Al-Nawas B., Wagner W.. Clinical outcome of alveolar ridge augmentation with individualized CAD-CAM-produced titanium mesh. International Journal of Implant Dentistry. 2017, 3:36.
- Seiler M., Kämmerer PW., Peetz M., Hartmann A.. Customized lattice structure in reconstruction of three-dimensional alveolar defects. Int J Comput Dent. 2018;21(3):261-267.
- Chiapasco M, Casentini P, Tommasato G, Dellavia C, Del Fabbro M. Customized CAD/CAM Titanium meshes for the guided bone regeneration of severe alveolar ridge defects: preliminary results of a retrospective clinical study in humans. Clin Oral Implants Res. 2021, Feb 6.
- Her S, Kang T, Fien MJ. Titanium mesh as an alternative to a membrane for ridge augmentation. Journal of Oral and Maxillofacial Surgery; 2012, 70:803–810.
- Miyamoto I, Funaki K, Yamauchi K, Kodama T, Takahashi T. Alveolar ridge reconstruction with titanium mesh and autogenous particulate bone graft: computed tomography-based evaluations of augmented bone quality and quantity. Clinical Implant Dentistry and Related Research; 2012, 14(2):304-11.
- Briguglio F, Falcomatà D, Marconcini S, Fiorillo L, Briguglio R, Farronato D. The Use of Titanium Mesh in Guided Bone Regeneration: A Systematic Review. International Journal of Dentistry; 2019:9065423.
- Maiorana C, Beretta M, Salina S, Santoro F. Reduction of autogenous bone graft resorption by means of bio-oss coverage: a prospective study. Int J Periodontics Restorative Dent. 2005; 25(1): 19-25.
- Garocchio et al. Digital Immediate Load. Implants n. 1/2021.
L'articolo è stato pubblicato su Implants international magazine of oral implantology, Italian Edition 2/21.
Tag:
Informazioni sul paziente e sul trattamento
Il paziente, un uomo di 59 anni, si è presentato con la richiesta di una ricostruzione fissa ...
Il tema di quest’articolo, scritto a quattro mani, è stato trattato da Giampietro Farronato nel corso di una “lectio magistralis” ...
Il carico immediato può essere ormai considerato una procedura terapeutica di elevata affidabilità ed efficacia, anche a distanza di tempo. Elemento ...
BOSTON, USA: Circa 120 partecipanti provenienti da 27 Paesi si sono riuniti a Boston dal 16 al 18 giugno per un momento storico nell’odontoiatria ...
Lo scorso 8 febbraio, presso la Sede del Ministero della Salute di Roma, si è insediato il Consiglio Superiore di Sanità per il triennio ...
I primi molari superiori si distinguono per la complessa morfologia del loro sistema canalare. Le radici mesio-buccali (MB) sono caratterizzate da una ...
Intervista al Dott. Sean K. Carlson.
L’aumento della durata media della vita ha portato a un significativo incremento della percentuale di popolazione anziana e quindi a un notevole ...
L’aumento della durata media della vita ha portato a un significativo incremento della percentuale di popolazione anziana e quindi a un notevole ...
Molti pazienti richiedono il restauro dei settori posteriori-superiori con impianti dentali. Purtroppo molti di essi rinunciano al trattamento perché ...
Live webinar
mer. 15 aprile 2026
20:00 (CET) Rome
Live webinar
gio. 16 aprile 2026
2:00 (CET) Rome
Linda Hecker MS, BSDH, RDH
Live webinar
gio. 16 aprile 2026
18:00 (CET) Rome
Dr. Pär-Olov Östman, Dr. Robert Gottlander DDS
Live webinar
ven. 17 aprile 2026
18:00 (CET) Rome
Live webinar
ven. 17 aprile 2026
19:00 (CET) Rome
Dr. Stuart Yeaton BDentSc, MOrth
Live webinar
lun. 20 aprile 2026
19:00 (CET) Rome
Dr. Alberto Monje DDS, MS, PhD
Live webinar
mer. 22 aprile 2026
17:00 (CET) Rome
MDT Andreas Chatzimpatzakis
To post a reply please login or register