Scopo di questo lavoro è presentare il trattamento di un caso di edentulia totale nell’arcata superiore. Il caso è stato finalizzato proponendo una riabilitazione implanto-protesica amovibile in presenza di una retrazione ossea elevata. Il piano di trattamento proposto e accettato dal paziente doveva tenere in considerazione il ripristino della funzionalità, elevate aspettative estetiche, stabilità del manufatto e apportare un adeguato sostegno labiale.
La riabilitazione implanto-protesica realizzata è stata frutto di un lavoro interdisciplinare, clinico e tecnico, che ha integrato alle tecniche tradizionali quelle digitali.
Materiali utilizzati
- Denti: SR Vivodent S PE Ivoclar Vivadent.
- Cere: Pam wax.
- Resina trasparente: Report N Apex Dental.
- Impianti: Outlink, Sweden & Martina.
- Materiale per impronta definitiva: Identium Kettenbach.
- Resina per dima su impianti: Pattern resin GC.
- Gesso per modello definitivo: Elite Master Zhermack.
- Scanner: Sinergia/Exocad.
- Centro produzione: New Ancorvis.
- Sistemi ritentivi: Rhein83.
- Resina rosa: Probase Cold Ivoclar Vivadent.
Caso clinico
Il problema principale che porta la paziente alla nostra osservazione è la condizione di edentulia totale presente nell’arcata superiore, che motiva una richiesta di ripristino funzionale con particolare attenzione al risultato estetico. La pianificazione sui tessuti molli del viso della riabilitazione protesica evidenzia, in visione frontale e laterale, una grossa riduzione del sostegno labiale causata dall’elevata retrazione ossea centripeta. Non solo, la mancanza di sostegno osseo, sagittale e verticale, riduce il grado di esposizione dento-gengivale in caso di progettazione protesica peri-crestale (Figg. 1-2).
Considerando i suddetti parametri, per ottenere una maggiore aderenza ai requisiti estetici si propone alla paziente una riabilitazione implanto-protesica amovibile con l’obiettivo di realizzare, con la flangia protesica, una “ricostruzione protesica” dell’atrofia ossea, favorendo quindi un adeguato sostegno labiale e un montaggio protesico con esposizione dento-gengivale nel sorriso, relazione coerente con i parametri della mini estetica.
La sequenza operativa ha pertanto previsto la verifica del sostegno ai tessuti molli con esecuzione e prova intra-orale di manufatto di progettazione protesica, realizzato con montaggio denti su base in resina e cera, ottenuto da impronte rilevate in alginato (Fig. 3).
Controllata e confermata l’adeguatezza estetica con coinvolgimento e approvazione della paziente della soluzione protesica amovibile, la paziente richiedeva come condizione aggiuntiva di non avere la zona del palato e parimenti di ottenere un’ottima stabilità della protesi. Guidati dalla replica del montaggio denti, sono stati posizionati gli impianti nei siti più idonei in numero utile a costruire una protesi removibile stabile estetica e senza palato. Durante la fase di guarigione la paziente ha potuto indossare la protesi provvisoria tenuta scaricata nelle zone adiacenti agli impianti, e dopo il periodo di osteointegrazione, riapertura, e completa guarigione dei tessuti, siamo passati alla fase definitiva seguendo anche tutte le indicazioni date dalla paziente della protesi provvisoria.
embedImagecenter("Imagecenter_1_2649",2649, "large");
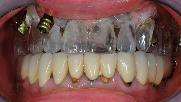
Tutte queste informazioni sono fondamentali per migliorare gli aspetti estetico-funzionali nella fase definitiva. Per questo motivo sono state rilevate delle impronte preliminari in alginato e si è proceduto alla realizzazione di un porta impronte individuale, per poi eseguire il modello edentulo preliminare e una placca di registrazione al fine di montare i modelli in articolatore tramite arco facciale. Dopo questa prima fase è stato realizzato un montaggio denti, ripristinando estetica e funzione (Fig. 5). Una volta determinati questi parametri, il montaggio denti è stato duplicato utilizzando mascherine in silicone con resina trasparente (Fig. 6). La stessa è stata forata in corrispondenza degli impianti ed è servita per rilevare l’impronta definitiva in centrica e con la stessa dimensione verticale ritrovata dal montaggio denti (Figg. 7-8). Dopo aver eseguito il modello di lavoro è stata realizzata una dima in resina, avvitando i transfert sul modello e, dopo averla ritagliata in corrispondenza di ogni impianto, è stata riconsegnata allo studio per essere riunita nel cavo orale, riproducendo così la posizione corretta degli impianti. Una volta riconsegnata al laboratorio è stato realizzato un piccolo modellino con dei nuovi analoghi, così da avere un modello per la verifica della passivazione e precisione delle strutture (Figg. 9-10). Con la stessa dima si è verificata anche la precisione della posizione degli analoghi del modello di lavoro rispetto a quella degli impianti, quindi si è proceduto alla progettazione tramite sistemi digitali, eseguendo le scansioni del modello, del montaggio denti e degli scan abutment, verificando spazi, numero e posizione degli impianti, scegliendo di eseguire una struttura idonea agli spazi a disposizione e al tipo di protesi da eseguire, e vagliando inoltre sistemi ritentivi che garantiscano una buona ritenzione senza modificare il progetto eseguito con il montaggio denti (Figg. 11-21). Terminato il progetto della struttura, il file è stato inviato al centro di produzione New Ancorvis per la realizzazione in Cr.Co. fresato. Dopo pochi giorni la barra è arrivata in laboratorio, è stata provata prima sul modellino di verifica per accertarsi della sua buona precisione e passivazione (Fig. 22), e successivamente sul modello di lavoro per verificare il suo buon adattamento anche rispetto ai tessuti, ai tragitti trasmucosi e agli spazi per igiene (Figg. 23-24). In seguito, è stata rimandata in studio dove sono state verificate precisione, passività e zone vicine ai tessuti, anche con l’aiuto di lastre (Figg. 25-28). Solo dopo aver verificato che tutto risultasse preciso e corretto si è proceduto alla prima rifinitura e lucidatura, e quindi alla scelta del sistema ritentivo più adeguato al tipo di protesi e al progetto, avvitandoli alla struttura (in questa fase si possono avvitare alla barra più attacchi con caratteristiche diverse tra di loro con lo stesso filetto; Fig. 29). Determinato il sistema ritentivo, si è lucidata a specchio la struttura (Fig. 30). Ultimata la barra è stata eseguita la sovrastruttura e dopo la lucidatura sono state provate le cappette ritentive (Figg. 31-32). Con l’aiuto delle mascherine in silicone, i denti sono stati riposizionati e cerati sulla sovrastruttura, così da poterli provare nella prova finale (Figg. 33-35), ricontrollando che tutto fosse corretto: fonetica, estetica e sostegno dei tessuti. Ultimata la modellazione delle parti rosa, la protesi è stata posizionata nella muffola per la trasformazione da cera a resina (Fig. 36). Questi sistemi garantiscono una buona precisione e un’ottima riproduzione dei dettagli. Una volta resinata, la protesi è stata estratta e rifinita (Fig. 37) e si è quindi proceduto alla lucidatura finale prima della consegna (Figg. 38-40). Il giorno della consegna sono state posizionate la sovrastruttura e la protesi (Figg. 41-43), verificando la buona estetica, la funzione e la soddisfazione della paziente (Figg. 44-46).
Conclusioni
Progettare e poter visualizzare prima il risultato finale tramite montaggio denti o sistemi digitali ci permette di poter progettare in modo accurato una riabilitazione completa; un passaggio così importante che permette di evidenziare dalle prime fasi quale soluzione (fissa o removibile) è più indicata per quel determinato paziente. In questo caso la soluzione removibile su barra ha reso possibile un risultato estetico funzionale ottimale.
Ringraziamenti
Carlo Borromeo desidera ringraziare tutti i propri collaboratori e in particolare Massimilano Teruzzi per il supporto tecnologico.
L'articolo è stato pubblicato su Cad/Cam Italian Edition, dicembre 2016.
Scopo di questo lavoro è presentare il trattamento di un caso di edentulia totale nell’arcata superiore. Il caso è stato finalizzato ...
“Dottore vorrei di nuovo il mio sorriso”. Questa è sempre più spesso la domanda che il paziente edentulo rivolge al proprio ...
“Dottore vorrei di nuovo il mio sorriso”. Questa è sempre più spesso la domanda che il paziente edentulo rivolge al proprio ...
Dopo il successo ottenuto nell’edizione del 2015 che ha visto la partecipazione di 430 tra odontoiatri e odontotecnici, di cui 120 stranieri, il 9 e ...
La paziente donna 64 anni si presenta all’attenzione del dentista con un quadro clinico generale complesso. Eseguita l’anamnesi si procede a ...
“L’approccio moderno alla protesi rimovibile” cui era dedicato l'International Days della Rhein83 ha preso vita giovedì 8 giugno al...
«Il processo di una scoperta scientifica è un continuo conflitto di meraviglie», affermava lo scienziato Albert Einstein. Negli ultimi ...
La riabilitazione protesica del cavo orale ha come passaggio fondamentale e imprescindibile l’esecuzione di un corretto piano di trattamento che deve ...
Monaco, Germania – La produzione additiva sta rapidamente diventando sempre più rilevante nella protesi rimovibile. Una recente revisione ha illustrato ...
Gli ultimi anni sono stati caratterizzati da una vera rivoluzione che ha riguardato le conoscenze della microbiologia. La definizione del microbiota, ovvero...
Live webinar
dom. 3 maggio 2026
18:00 (CET) Rome
Dr. Rickard Brånemark MSc, MD, PhD, Dr. Robert Gottlander DDS
Live webinar
lun. 4 maggio 2026
2:00 (CET) Rome
Live webinar
mar. 5 maggio 2026
16:00 (CET) Rome
Live webinar
mar. 5 maggio 2026
18:00 (CET) Rome
Live webinar
mar. 5 maggio 2026
19:00 (CET) Rome
Dr. Maximilian Dobbertin M.Sc
Live webinar
mar. 5 maggio 2026
21:00 (CET) Rome
Live webinar
mer. 6 maggio 2026
19:00 (CET) Rome
To post a reply please login or register