Più di 20 anni fa, Torabinejad et al. (1993) hanno descritto per la prima volta un nuovo materiale per l’otturazione dei canali radicolari chiamato minerale triossido aggregato (MTA). MTA ha mostrato in vitro una migliore capacità di tenuta rispetto all’amalgama o al Super EBA se usato come materiale per l’otturazione dei canali radicolari. In seguito, diversi studi in vivo e in vitro hanno dimostrato un maggior numero di applicazioni per l’MTA.
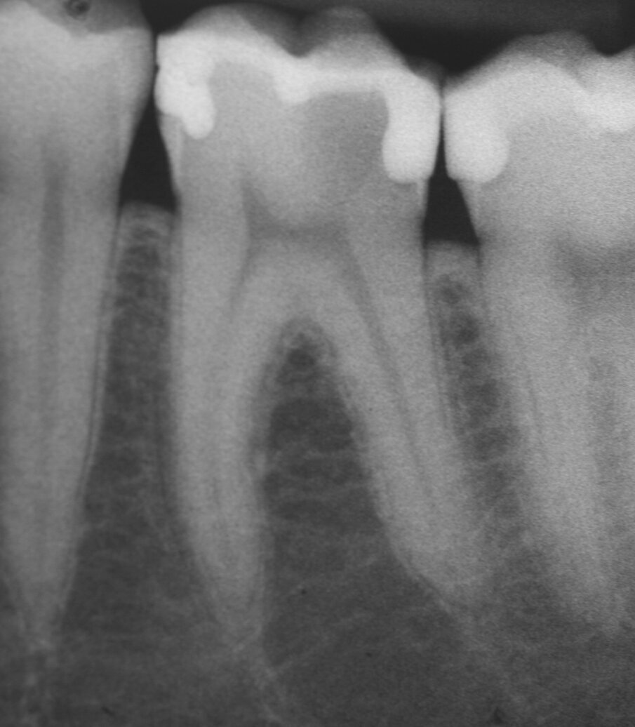
L’incappucciamento della polpa, l’apecificazione, la riparazione delle perforazioni radicolari e l’otturazione dei canali radicolari sono comunemente descritti come procedure cliniche per sigillare il percorso di comunicazione tra il sistema canalare radicolare e la superficie esterna del dente. L’applicazione dell’MTA è stata inizialmente ottenuta con l’ausilio di spatole in plastica o metallo (Torabinejad e Chivian 1999). Sfortunatamente non è stato possibile realizzare in tal modo un posizionamento adeguato (Figg. 1a-1e).
Pertanto, Produits Dentaires ha introdotto un sistema universale specifico per il posizionamento clinico e chirurgico dell’MTA. Questo sistema di posizionamento micro-apicale (MAP) offre diversi puntali di applicazione per ogni situazione clinica. Il Kit Intro e il Kit Universale sono dedicati all’otturazione ortograda mentre il Kit Chirurgico è l’ideale per l’otturazione retrograda. I puntali NiTi a memoria di forma possono essere sagomate manualmente per adattarsi a qualsiasi curvatura. Dopo la sterilizzazione in autoclave, il puntale ritorna alla sua forma iniziale. Grazie all’uso di MAP System, il corretto posizionamento dell’MTA è diventato un compito facile per ogni dentista.
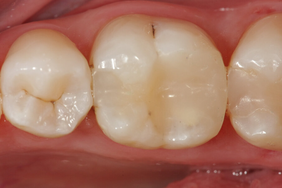
In combinazione con MAP System, Produits Dentaires offre un MTA bianco appositamente sviluppato per il posizionamento con i puntali MAP. Le dimensioni pratiche ottimizzate consentono un’applicazione economica per ogni trattamento. Ci sono molte indicazioni per il PD MTA White, e con il sistema MAP il corretto posizionamento è facile in ogni situazione (Figg. 2a-2g).
Incappucciamento della polpa
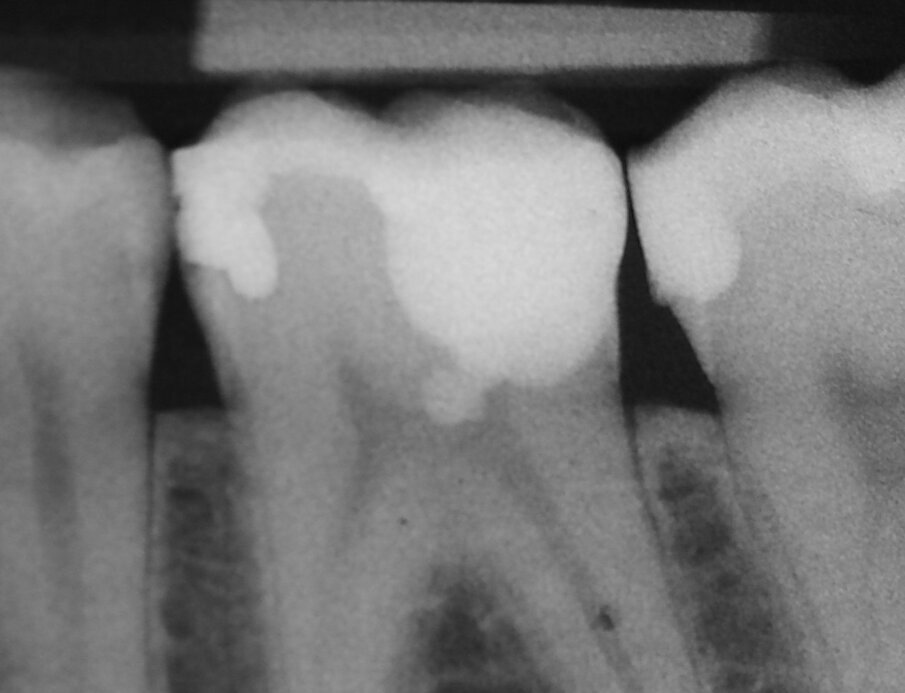
La terapia della polpa vitale è diventata più popolare negli ultimi anni. L’idrossido di calcio è stato il materiale più comune per l’incappucciamento della polpa, ma l’MTA ha mostrato risultati migliori in termini di biocompatibilità e risultati (Aguilar e Linsuwanont 2011). I casi con una grande esposizione della polpa cariosa possono essere trattati con successo con la pulpotomia parziale e l’MTA per l’incappucciamento, mantenendo i denti vitali (Figg. 1a-1e).
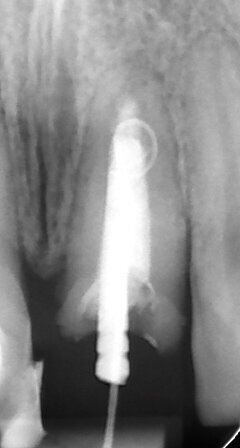
Apecificazione
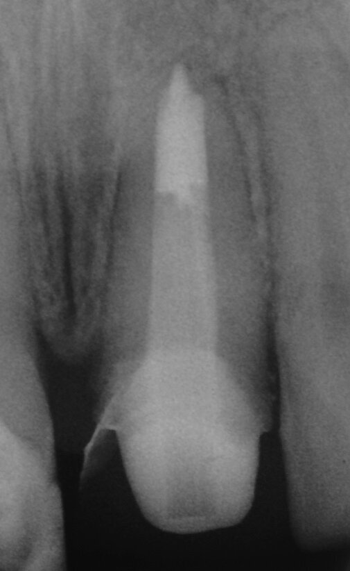
Per evitare l’estrusione di materiale da otturazione del canale radicolare in denti immaturi con apici aperti, si utilizza MTA come sigillo apicale. I risultati di molti studi hanno dimostrato che l’MTA induce più spesso la formazione di tessuto duro apicale e che il suo uso è associato ad una minore infiammazione rispetto ad altri materiali di prova (Simon et al. 2007) (Figg. 2a-2g).
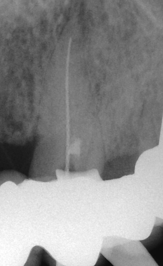
Riparazione delle perforazioni radicolari
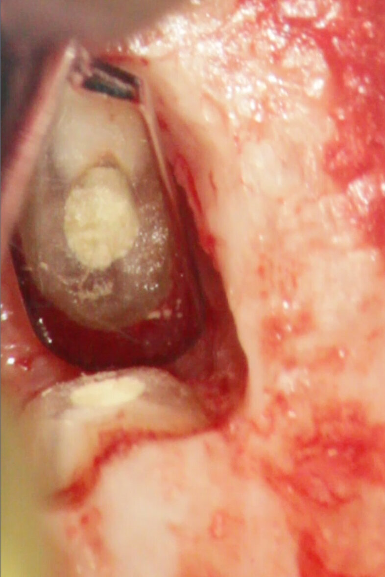
La perforazione accidentale della camera pulpare o del canale radicolare modifica in modo significativo la prognosi del dente. La riparazione della perforazione con un materiale sigillante biocompatibile come MTA può salvare i denti compromessi (Mente et al. 2014) (Figg. 3a-3e).
Chirurgia apicale
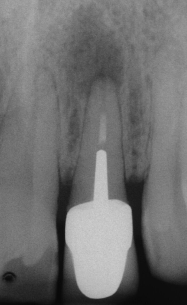
MTA è il materiale che vanta i migliori risultati come materiale da otturazione per la chirurgia apicale. L’MTA è stato associato ad una minore infiammazione, a formazione di nuovo cemento e alla rigenerazione del tessuto periradicolare (Torabinejad e Chivian 1999) (Figg. 4a-4f).
Tag:
Inutile pensare un 2024 per il settore odontoiatrico senza osservare i dati globali dell’economia italiana. Aldilà degli accadimenti mondiali ...
Re-invent Dental Products è lieta di annunciare il lancio dei suoi nuovi anelli NiTin™.
PERTH, Australia: alcuni ricercatori hanno recentemente ricevuto finanziamenti dal governo australiano per un progetto di sviluppo di un sistema che ...
Nelle aree esteticamente critiche, la scelta del momento del posizionamento dell'impianto immediato, precoce o tardivo, può influenzare il risultato. Nel ...
Il caso riguarda l’esecuzione di un restauro interprossimale col sistema di matrici sezionali anelli separatori e cunei Composi-Tight 3D Fusion. Il ...
È questa la domanda che l’AISO si pone da qualche mese. Ma facciamo un passo indietro e chiariamo a cosa si riferisce. L’annosa questione...
La robotica ha continuato a fare passi da gigante in diversi campi medici e l’implantologia dentale non fa eccezione. Il sistema Yomi di Neocis, l’unico...
La nuova matrice sezionale Composi-Tight® 3D Fusion™ di Garrison è concepita per completare con successo un’ampia varietà di restauri in composito di...
In occasione del prossimo Summer Meeting della Digital Implant & Restorative Academy, evento apripista verso una nuova riprtenza degli eventi residenziali, ...
Negli ultimi anni, lo sviluppo nel settore dentale a livello globale è stato caratterizzato da una rapida diffusione della digitalizzazione. Henry ...
Live webinar
mer. 22 aprile 2026
17:00 (CET) Rome
MDT Andreas Chatzimpatzakis
Live webinar
mer. 22 aprile 2026
17:00 (CET) Rome
Live webinar
mer. 22 aprile 2026
18:00 (CET) Rome
Live webinar
gio. 23 aprile 2026
17:00 (CET) Rome
Live webinar
gio. 23 aprile 2026
18:30 (CET) Rome
Live webinar
gio. 23 aprile 2026
19:00 (CET) Rome
Live webinar
gio. 30 aprile 2026
1:00 (CET) Rome
Dr. Renato Leonardo D.M.D.
To post a reply please login or register