L’ozonoterapia è una disciplina specialistica che, negli ultimi anni, sta trovando finalmente la sua collocazione all’interno delle procedure odontoiatriche. Le evidenze scientifiche e la determinazione di protocolli clinici ben definiti hanno fatto si che le procedure terapeutiche siano sempre più predicibili e diffuse.
Proponiamo in questo articolo il tema della salute nell’ambito dell’odontoiatria estetica. Sono sempre in numero crescente i trattamenti di riabilitazione del sorriso finalizzati al recupero dell’estetica dentale e della salute orale. Trattamenti sbiancanti, ricostruzioni estetiche, faccette dentali: sono ormai uno dei trattamenti più richiesti dai pazienti in uno studio odontoiatrico. La diffusione di queste procedure ha comunque posto un punto di domanda: qual è la durata di questi trattamenti?
È di conseguenza emersa la volontà di determinare dei protocolli di mantenimento di questi trattamenti che siano in grado di migliorarne il risultato e la durata. In questo contesto si inserisce l’ozonoterapia topica ad uso sia professionale che domiciliare.
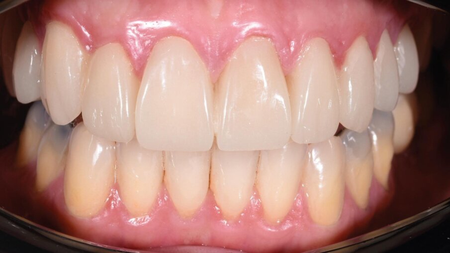
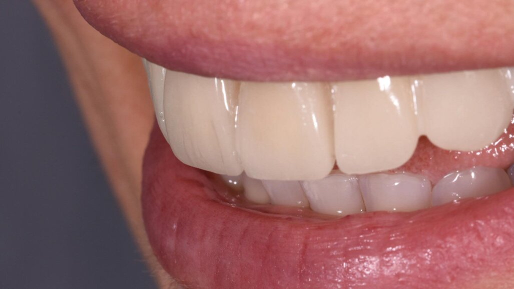
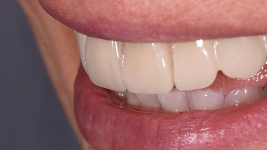
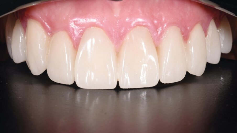
L’uso di dentifricio e collutorio a base di olio extravergine d’oliva ozonizzato sta emergendo come una delle strategie più interessanti per il mantenimento della salute orale, soprattutto per i pazienti che hanno eseguito trattamenti protesici estetici con l’applicazione di faccette dentali e desiderano conservarne l’integrità e l’estetica nel tempo. Proponiamo di qui seguito un trattamento di recupero estetico del sorriso di una paziente, di anni 54, alla quale nell’arcata superiore sono state applicate delle faccette additive LUMINEERS e all’arcata inferiore è stato eseguito uno sbiancamento dentale (Figg. 1a, 1b).
Nel protocollo di mantenimento sono stati inseriti un dentifricio a base di olio extravergine d’oliva ozonizzato IALOZON ROSA e collutorio basato sulla stessa tecnologia chimica, IALOZON ROSA.
L’ozono, veicolato in un olio nobile come l’extravergine d’oliva, sviluppa una potente azione antibatterica e antinfiammatoria, capace di agire in profondità senza però risultare aggressiva sulle superfici dentali o sui tessuti molli. Appartenendo alla categoria dei perossidi, risulta altamente compatibile con i principi biologici alla base dell’adesione e della preservazione cromatica dello smalto. A differenza dei dentifrici tradizionali, spesso ricchi di agenti abrasivi, le formulazioni ozonizzate detergono con delicatezza: questo è cruciale per le faccette, la cui brillantezza può essere alterata da prodotti troppo aggressivi. L’olio ozonizzato crea una sorta di microfilm protettivo che ostacola l’adesione della placca, salvaguardando i margini tra faccetta e dente naturale, uno dei punti più delicati da mantenere pulito. Non causa alcuna alterazione della croma in quanto non è caratterizzato da effetti secondari che possano portare alla formazione di pigmentazioni.
Il collutorio, avendo un’azione sinergica con il dentifricio, sfrutta la capacità dell’ozono di ossigenare i tessuti, contribuendo a mantenere gengive toniche e prive di irritazioni, migliorando la stabilità biologica attorno alle faccette. L’effetto è una sensazione di freschezza persistente accompagnata da un’azione disinfettante naturale. Possiamo osservare nelle Figure 2 e 3 lo stato dei tessuti parodontali e la luminosità delle faccette dentali a 12 mesi di distanza dall’applicazione.
In definitiva, questi prodotti rappresentano una soluzione moderna e funzionale, capace di coniugare biocompatibilità, delicatezza ed efficacia. Per chi ha investito nel proprio sorriso con faccette dentali, integrare l’olio ozonizzato nella routine quotidiana significa prolungarne la bellezza e proteggere la salute del cavo orale in modo rispettoso e naturale senza alterare il microbioma del cavo orale.
Nota editoriale:
- Dietrich L, de Assis Costa MDM, Blumenberg C, Nascimento GG, Paranhos LR, da Silva GR. A meta-analysis of ozone effect on tooth bleaching. Sci Rep. 2021 Jun 23;11(1):13177. doi: 10.1038/s41598-021-92733-8. PMID: 34162984; PMCID: PMC8222366.
- Al-Omiri MK, Hassan RS, AlZarea BK, Lynch E. Effects of combining ozone and hydrogren peroxide on tooth bleaching: A clinical study. J Dent. 2016 Oct;53:88-93. doi: 10.1016/j.jdent.2016.08.002. Epub 2016 Aug 4. PMID: 27498085.
- Bin Hassan SA. Tooth Sensitivity Following Hydrogen Peroxide Bleaching With and Without Ozone: A Randomized Controlled Trial: Tooth Sensitivity Following H2O2 Versus H2O2/Ozone Bleaching. Pain Res Manag. 2024 Oct 30;2024:2695533. doi: 10.1155/2024/2695533. PMID: 39512891; PMCID: PMC11540894
Tag:
La dott.ssa Paola Campagna si è laureata a Catania in Odontoiatria nel 2015 e si è specializzata in Ortognatodonzia nel 2019. Ha conseguito anche il ...
La richiesta estetica è in progressivo aumento per medici e odontoiatri. Ma dopo gli orrori delle labbra a canotto, dei lifting chirurgici che ...
Attualmente è molto di moda parlare di esami posturali in connessione con terapie odontoiatriche. Uno stuolo di figure professionali si affiancano al...
L’osteopatia, ormai, vive in un confronto costante con le varie realtà mediche in tutta Italia. In un momento storico fondamentale per la professione ...
La qualità dell’offerta odontoiatria vista come risultato di un lavoro in team è stato il tema delle due giornate di corsi tenutisi a ...
Il tema della medicina estetica all’interno degli studi dentistici continua ad essere tra i più dibattuti in ambito odontoiatrico. In KEY-STONE, abbiamo ...
L’evoluzione dell’odontoiatria contemporanea richiede una visione sempre più integrata tra funzione, estetica e benessere dei tessuti del volto. In ...
Anche nel 2025 la Sergio Noviello Academy – fondata dal Prof. Sergio Noviello, Medico e Chirurgo Estetico di Milano – sarà presente a Expodental, ...
Negli ultimi anni, la medicina estetica ha subito una trasformazione significativa, spostando l’attenzione da trattamenti puramente correttivi verso ...
A pochi giorni dal congresso Internazionale Andi Torino, 1° Memorial Giuseppe Cardaropoli, 31 gennaio 1° febbraio 2020, abbiamo avuto modo di intervistare...
Live webinar
mar. 17 marzo 2026
18:00 (CET) Rome
Prof. Dr. Nadine Schlüter
Live webinar
mar. 17 marzo 2026
18:00 (CET) Rome
Dr. Giuseppe Luongo MD, DDS, Dr. Fabrizia Luongo DMD, MS, Dr. Robert Gottlander DDS
Live webinar
gio. 19 marzo 2026
0:00 (CET) Rome
Live webinar
gio. 19 marzo 2026
18:00 (CET) Rome
Live webinar
ven. 20 marzo 2026
10:00 (CET) Rome
Mr. Andrew Terry Cert.DT. GradDipDH. Med, Cat Edney
Live webinar
lun. 23 marzo 2026
14:30 (CET) Rome
Prof. Gianluca Gambarini MD, DDS
Live webinar
mar. 24 marzo 2026
18:00 (CET) Rome
To post a reply please login or register